JavaScript is disabled in your browser. Please enable JavaScript to view this website.
AB53013

Anti-ICAM1 antibody [EP1442Y]

Be the first to review this product! Submit a review

|

(70 Publications)

Rabbit Recombinant Monoclonal ICAM1 antibody. Suitable for WB, IHC-P and reacts with Human samples. Cited in 70 publications.

View Alternative Names

CD54, Intercellular adhesion molecule 1, ICAM-1, Major group rhinovirus receptor, ICAM1

6 Images
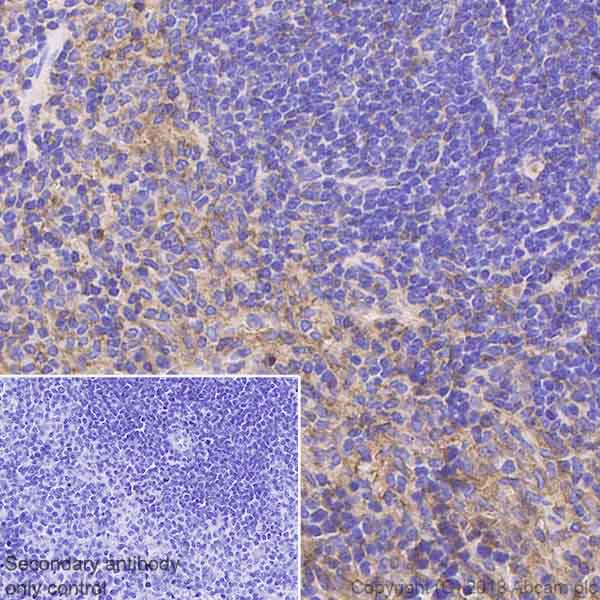
Immunohistochemistry (Formalin/PFA-fixed paraffin-embedded sections) - Anti-ICAM1 antibody [EP1442Y] (AB53013)
  • IHC-P

Lab

Immunohistochemistry (Formalin/PFA-fixed paraffin-embedded sections) - Anti-ICAM1 antibody [EP1442Y] (AB53013)

Immunohistochemistry (Formalin/PFA-fixed paraffin-embedded sections) analysis of Human tonsil tissue sections labeling ICAM1 with purified ab53013 at 1/500 dilution (0.22 µg/mL). Heat mediated antigen retrieval using Bond™ Epitope Retrieval Solution 2 (pH 9.0). The immunostaining was performed on a Leica Biosystems BOND® RX instrument. Rabbit specific IHC polymer detection kit HRP/DAB (ab209101) was used as the secondary antibody. Negative control : PBS instead of the primary antibody. Hematoxylin was used as a counterstain.

Immunohistochemistry (Formalin/PFA-fixed paraffin-embedded sections) - Anti-ICAM1 antibody [EP1442Y] (AB53013)
  • IHC-P

Lab

Immunohistochemistry (Formalin/PFA-fixed paraffin-embedded sections) - Anti-ICAM1 antibody [EP1442Y] (AB53013)

Immunohistochemistry (Formalin/PFA-fixed paraffin-embedded sections) analysis of Human kidney tissue sections labeling ICAM1 with purified ab53013 at 1/500 dilution (0.22 µg/mL). Heat mediated antigen retrieval using Bond™ Epitope Retrieval Solution 2 (pH 9.0). The immunostaining was performed on a Leica Biosystems BOND® RX instrument. Rabbit specific IHC polymer detection kit HRP/DAB (ab209101) was used as the secondary antibody. Negative control : PBS instead of the primary antibody. Hematoxylin was used as a counterstain.

Western blot - Anti-ICAM1 antibody [EP1442Y] (AB53013)
  • WB

Lab

Western blot - Anti-ICAM1 antibody [EP1442Y] (AB53013)

Lanes 1-4 : Merged signal (red and green). Green - ab53013 observed at 90 kDa. Red - loading control ab8245 observed at 36 kDa.

ab53013 Anti-ICAM1 antibody [EP1442Y] was shown to specifically react with ICAM1 in wild-type HeLa cells. Loss of signal was observed when knockout cell line ab261742 (knockout cell lysate ab256947) was used. Wild-type and ICAM1 knockout samples were subjected to SDS-PAGE. ab53013 and Anti-GAPDH antibody [6C5] - Loading Control (ab8245) were incubated overnight at 4°C at 1 in 1000 dilution and 1 in 20000 dilution respectively. Blots were developed with Goat anti-Rabbit IgG H&L (IRDye® 800CW) preadsorbed (ab216773) and Goat anti-Mouse IgG H&L (IRDye® 680RD) preadsorbed (ab216776) secondary antibodies at 1 in 20000 dilution for 1 hour at room temperature before imaging.

All lanes:

Western blot - Anti-ICAM1 antibody [EP1442Y] (ab53013) at 1/1000 dilution

Lane 1:

Wild-type HeLa cell lysate at 20 µg

Lane 2:

ICAM1 knockout HeLa cell lysate at 20 µg

Lane 2:

Western blot - Human ICAM1 knockout HeLa cell line (<a href='/en-us/products/cell-lines/human-icam1-knockout-hela-cell-line-ab261742'>ab261742</a>)

Lane 3:

Raji cell lysate at 20 µg

Lane 4:

Ramos cell lysate at 20 µg

Secondary

All lanes:

Western blot - Goat anti-Rabbit IgG H&L (IRDye® 800CW) preadsorbed (<a href='/en-us/products/secondary-antibodies/goat-rabbit-igg-h-l-irdye-800cw-preadsorbed-ab216773'>ab216773</a>) at 1/10000 dilution

Predicted band size: 57 kDa

Observed band size: 90 kDa

false

Western blot - Anti-ICAM1 antibody [EP1442Y] (AB53013)
  • WB

Lab

Western blot - Anti-ICAM1 antibody [EP1442Y] (AB53013)

False colour image of Western blot : Anti-ICAM1 antibody [EP1442Y] staining at 1/1000 dilution, shown in green; Mouse anti-Alpha Tubulin [DM1A] (ab7291) loading control staining at 1/20000 dilution, shown in red. In Western blot, ab53013 was shown to bind specifically to ICAM1. A band was observed at 90 kDa in wild-type HeLa cell lysates with no signal observed at this size in Icam1 CRISPR-Cas9 edited cell line ab261742 (CRISPR-Cas9 edited cell lysate ab256947). The band observed in the CRISPR-Cas9 edited lysate lane below 90 kDa (not observed by this antibody) is likely to represent a truncated form of ICAM1. This has not been investigated further and the functional properties of the gene product have not been determined. To generate this image, wild-type and Icam1 CRISPR-Cas9 edited HeLa cell lysates were analysed. First, samples were run on an SDS-PAGE gel then transferred onto a nitrocellulose membrane. Membranes were blocked in 3 % milk in TBS-0.1 % Tween® 20 (TBS-T) before incubation with primary antibodies overnight at 4 °C. Blots were washed four times in TBS-T, incubated with secondary antibodies for 1 h at room temperature, washed again four times then imaged. Secondary antibodies used were Goat anti-Rabbit IgG H&L (IRDye® 800CW) preabsorbed (ab216773) and Goat anti-Mouse IgG H&L (IRDye® 680RD) preabsorbed (ab216776) at 1/20000 dilution.

All lanes:

Western blot - Anti-ICAM1 antibody [EP1442Y] (ab53013) at 1/1000 dilution

Lane 1:

Wild-type HeLa cell lysate at 20 µg

Lane 2:

ICAM1 CRISPR-Cas9 edited HeLa cell lysate at 20 µg

Lane 3:

A549 cell lysate at 20 µg

Lane 4:

Ramos cell lysate at 20 µg

Predicted band size: 57 kDa

Observed band size: 90 kDa

false

Western blot - Anti-ICAM1 antibody [EP1442Y] (AB53013)
  • WB

Lab

Western blot - Anti-ICAM1 antibody [EP1442Y] (AB53013)

False colour image of Western blot : Anti-ICAM1 antibody [EP1442Y] staining at 1/1000 dilution, shown in green; Mouse anti-Alpha Tubulin [DM1A] (ab7291) loading control staining at 1/20000 dilution, shown in red. In Western blot, ab53013 was shown to bind specifically to ICAM1. A band was observed at 90 kDa in wild-type HeLa cell lysates with no signal observed at this size in Icam1 knockout cell line ab261742 (knockout cell lysate ab256947). The band observed in the knockout lysate lane below 90 kDa (not observed by this antibody) is likely to represent a truncated form of ICAM1. This has not been investigated further and the functional properties of the gene product have not been determined. To generate this image, wild-type and Icam1 knockout HeLa cell lysates were analysed.First, samples were run on an SDS-PAGE gel then transferred onto a nitrocellulose membrane. Membranes were blocked in 3 % milk in TBS-0.1 % Tween® 20 (TBS-T) before incubation with primary antibodies overnight at 4 °C. Blots were washed four times in TBS-T, incubated with secondary antibodies for 1 h at room temperature, washed again four times then imaged. Secondary antibodies used were Goat anti-Rabbit IgG H&L (IRDye® 800CW) preabsorbed (ab216773) and Goat anti-Mouse IgG H&L (IRDye® 680RD) preabsorbed (ab216776) at 1/20000 dilution.

All lanes:

Western blot - Anti-ICAM1 antibody [EP1442Y] (ab53013) at 1/1000 dilution

Lane 1:

Wild-type HeLa cell lysate at 20 µg

Lane 2:

ICAM1 knockout HeLa cell lysate at 20 µg

Lane 3:

A549 cell lysate at 20 µg

Lane 4:

Ramos cell lysate at 20 µg

Predicted band size: 57 kDa

Observed band size: 90 kDa

false

Western blot - Anti-ICAM1 antibody [EP1442Y] (AB53013)
  • WB

Unknown

Western blot - Anti-ICAM1 antibody [EP1442Y] (AB53013)

The molecular mass observed is consistent with what has been described in the literatures (PMID : 29777158, 30082828, 31244919).

All lanes:

Western blot - Anti-ICAM1 antibody [EP1442Y] (ab53013) at 1/1000 dilution

Lane 1:

Untreated HUVEC (Human umbilical vein endothelial cell) whole cell lysate at 20 µg

Lane 2:

HUVEC (Human umbilical vein endothelial cell) treated with 50ng/ml TNF-α for 24 hours whole cell lysate at 20 µg

Lane 3:

Raji (Human Burkitt's lymphoma B lymphocyte) whole cell lysate at 20 µg

Secondary

All lanes:

Western blot - Goat Anti-Rabbit IgG H&L (HRP) (<a href='/en-us/products/secondary-antibodies/goat-rabbit-igg-h-l-hrp-ab97051'>ab97051</a>) at 1/20000 dilution

Predicted band size: 57 kDa

false

Key facts

Host species

Rabbit

Clonality

Monoclonal

Clone number

EP1442Y

Isotype

IgG

Carrier free

No

Reacts with

Human

Applications

WB, IHC-P

applications

Immunogen

The exact immunogen used to generate this antibody is proprietary information.

Reactivity data

{ "title": "Reactivity Data", "filters": { "stats": ["", "Species", "Dilution Info", "Notes"], "tabs": { "all-applications": {"fullname" : "All Applications", "shortname": "All Applications"}, "WB" : {"fullname" : "Western blot", "shortname":"WB"}, "IHCP" : {"fullname" : "Immunohistochemistry (Formalin/PFA-fixed paraffin-embedded sections)", "shortname":"IHC-P"} }, "product-promise": { "all": "all", "testedAndGuaranteed": "tested", "guaranteed": "expected", "predicted": "predicted", "notRecommended": "not-recommended" } }, "values": { "Human": { "WB-species-checked": "testedAndGuaranteed", "WB-species-dilution-info": "1/1000", "WB-species-notes": "<p></p>", "IHCP-species-checked": "testedAndGuaranteed", "IHCP-species-dilution-info": "1/500", "IHCP-species-notes": "<p></p> Perform heat-mediated antigen retrieval with Tris/EDTA buffer pH 9.0 before commencing with IHC staining protocol." } } }

Product details

Species reactivity
Mouse, Rat: We have preliminary internal testing data to indicate this antibody may not react with these species.
Please contact us for more information.

Patented technology
Our RabMAb® technology is a patented hybridoma-based technology for making rabbit monoclonal antibodies. For details on our patents, please refer to RabMAb® patents.

What are the advantages of a recombinant monoclonal antibody?
This product is a recombinant monoclonal antibody, which offers several advantages including:

  • - High batch-to-batch consistency and reproducibility
  • - Improved sensitivity and specificity
  • - Long-term security of supply
  • - Animal-free batch production

For more information, read more on recombinant antibodies.

Properties and storage information

Form
Liquid
Purification technique
Affinity purification Protein A
Storage buffer
pH: 7.2 - 7.4 Preservative: 0.01% Sodium azide Constituents: PBS, 40% Glycerol (glycerin, glycerine), 0.05% BSA
Shipped at conditions
Blue Ice
Appropriate short-term storage conditions
+4°C
Appropriate long-term storage conditions
-20°C
Storage information
Stable for 12 months at -20°C

Product protocols

For this product, it's our understanding that no specific protocols are required. You can visit:

Target data

ICAM proteins are ligands for the leukocyte adhesion protein LFA-1 (integrin alpha-L/beta-2). During leukocyte trans-endothelial migration, ICAM1 engagement promotes the assembly of endothelial apical cups through ARHGEF26/SGEF and RHOG activation.. (Microbial infection) Acts as a receptor for major receptor group rhinovirus A-B capsid proteins.. (Microbial infection) Acts as a receptor for Coxsackievirus A21 capsid proteins.. (Microbial infection) Upon Kaposi's sarcoma-associated herpesvirus/HHV-8 infection, is degraded by viral E3 ubiquitin ligase MIR2, presumably to prevent lysis of infected cells by cytotoxic T-lymphocytes and NK cell.
See full target information ICAM1

Publications (70)

Recent publications for all applications. Explore the full list and refine your search

Cell death & disease 16:701 PubMed41053006

2025

Lactate-mediated histone lactylation promotes melanoma angiogenesis via IL-33/ST2 axis.

Applications

Unspecified application

Species

Unspecified reactive species

Mao Zhao,Yuxuan Qian,Lin He,Taoxin Peng,Hanbin Wang,Xiangxu Wang,Linhan Jiang,Jinrong Fan,Hengxiang Zhang,Di Qu,Qing Zhu,Hao Wang,Shida Zhang,Chenyang Li,Xiwen Dong,Xianya Zhao,Huina Wang,Yuqi Yang,Xiuli Yi,Tao Zhao,Yu Liu,Jianglin Zhang,Guoqiang Zhang,Qiong Shi,Tianwen Gao,Chunying Li,Weinan Guo

Molecular medicine (Cambridge, Mass.) 30:132 PubMed39187765

2024

Secretome of brain microvascular endothelial cells promotes endothelial barrier tightness and protects against hypoxia-induced vascular leakage.

Applications

Unspecified application

Species

Unspecified reactive species

Rodrigo Azevedo Loiola,Johan Hachani,Sophie Duban-Deweer,Emmanuel Sevin,Paulina Bugno,Agnieszka Kowalska,Eleonora Rizzi,Fumitaka Shimizu,Takashi Kanda,Caroline Mysiorek,Maciej Mazurek,Fabien Gosselet

Biochimica et biophysica acta. Molecular basis of disease 1870:167479 PubMed39181516

2024

25-Hydroxycholesterol attenuates tumor necrosis factor alpha-induced blood-brain barrier breakdown in vitro.

Applications

Unspecified application

Species

Unspecified reactive species

Rodrigo Azevedo Loiola,Cindy Nguyen,Shiraz Dib,Julien Saint-Pol,Lucie Dehouck,Emmanuel Sevin,Marie Naudot,Christophe Landry,Jens Pahnke,Caroline Pot,Fabien Gosselet

iScience 27:110350 PubMed39108722

2024

Heterozygous Gnaq deficiency enhances Ifi202b/IFI16 and NF-κB activation in endothelial cells and exacerbates lupus nephritis pathology.

Applications

Unspecified application

Species

Unspecified reactive species

Lu Zhang,Yan He,Mengqin Zhang,Jimin Zhang,Wuwei Zhuang,Yuechi Sun,Xing Chen,Hangzhou Fu,Xuanli Tang,Guixiu Shi

iScience 27:108898 PubMed38322992

2024

Remodeling of the endothelial cell transcriptional program via paracrine and DNA-binding activities of MPO.

Applications

Unspecified application

Species

Unspecified reactive species

Ruiyuan Zheng,Kyle Moynahan,Theodoros Georgomanolis,Egor Pavlenko,Simon Geissen,Athanasia Mizi,Simon Grimm,Harshal Nemade,Rizwan Rehimi,Jil Bastigkeit,Jan-Wilm Lackmann,Matti Adam,Alvaro Rada-Iglesias,Peter Nuernberg,Anna Klinke,Simon Poepsel,Stephan Baldus,Argyris Papantonis,Yulia Kargapolova

Cell communication and signaling : CCS 22:82 PubMed38291428

2024

Extracellular succinate derived from ectopic milieu drives adhesion and implantation growth of ectopic endometrial stromal cells via the SUCNR1 signal in endometriosis.

Applications

Unspecified application

Species

Unspecified reactive species

Qi Tian,Jingyao Ruan,Yuning Wang,Yinping Xiao,Qi Cheng,Yun Chen,Mingqing Li,Kaikai Chang,Xiaofang Yi

Clinical and translational medicine 13:e1377 PubMed37598403

2023

SIRT6 deficiency in endothelial cells exacerbates oxidative stress by enhancing HIF1α accumulation and H3K9 acetylation at the Ero1α promoter.

Applications

Unspecified application

Species

Unspecified reactive species

Zhenyang Guo,Xueting Yu,Shuang Zhao,Xin Zhong,Dong Huang,Runyang Feng,Peng Li,Zheyan Fang,Yiqing Hu,Zhentao Zhang,Mukaddas Abdurahman,Lei Huang,Yun Zhao,Xiangdong Wang,Junbo Ge,Hua Li

FASEB journal : official publication of the Federation of American Societies for Experimental Biology 37:e22942 PubMed37178006

2023

Endothelial cell-released extracellular vesicles trigger pyroptosis and vascular inflammation to induce atherosclerosis through the delivery of HIF1A-AS2.

Applications

Unspecified application

Species

Unspecified reactive species

Pengcheng Li,Jin Hong,Cui Liang,Yapeng Li,Lu Gao,Leiming Wu,Rui Yao,Yanzhou Zhang

Frontiers in oncology 13:973871 PubMed37124539

2023

miR-1246 in tumor extracellular vesicles promotes metastasis increased tumor cell adhesion and endothelial cell barrier destruction.

Applications

Unspecified application

Species

Unspecified reactive species

Masahiro Morimoto,Nako Maishi,Takuya Tsumita,Mohammad Towfik Alam,Hiroshi Kikuchi,Yasuhiro Hida,Yusuke Yoshioka,Takahiro Ochiya,Dorcas A Annan,Ryo Takeda,Yoshimasa Kitagawa,Kyoko Hida

Frontiers in cardiovascular medicine 9:1059124 PubMed36794234

2023

Pro-inflammatory role of Wnt/β-catenin signaling in endothelial dysfunction.

Applications

Unspecified application

Species

Unspecified reactive species

Kerry S Wadey,Alexandros Somos,Genevieve Leyden,Hazel Blythe,Jeremy Chan,Lawrence Hutchinson,Alastair Poole,Aleksandra Frankow,Jason L Johnson,Sarah J George
View all publications

Product promise

We are committed to supporting your work with high-quality reagents, and we're here for you every step of the way. In the unlikely event that one of our products does not perform as expected, you're protected by our Product Promise.
For full details, please see our Terms & Conditions

Please note: All products are 'FOR RESEARCH USE ONLY. NOT FOR USE IN DIAGNOSTIC OR THERAPEUTIC PROCEDURES'.

For licensing inquiries, please contact partnerships@abcam.com