JavaScript is disabled in your browser. Please enable JavaScript to view this website.
AB271852

Anti-ICAM1 antibody [EP1442Y] - BSA and Azide free

Be the first to review this product! Submit a review

|

(0 Publication)

Rabbit Recombinant Monoclonal ICAM1 antibody. Carrier free. Suitable for WB, IHC-P and reacts with Human samples.

View Alternative Names

CD54, Intercellular adhesion molecule 1, ICAM-1, Major group rhinovirus receptor, ICAM1

4 Images
Western blot - Anti-ICAM1 antibody [EP1442Y] - BSA and Azide free (AB271852)
  • WB

Unknown

Western blot - Anti-ICAM1 antibody [EP1442Y] - BSA and Azide free (AB271852)

The molecular mass observed is consistent with what has been described in the literatures (PMID : 29777158, 30082828, 31244919).

All lanes:

Western blot - Anti-ICAM1 antibody [EP1442Y] (<a href='/en-us/products/primary-antibodies/icam1-antibody-ep1442y-ab53013'>ab53013</a>) at 1/1000 dilution

Lane 1:

Untreated HUVEC (Human umbilical vein endothelial cell) whole cell lysate at 20 µg

Lane 2:

HUVEC (Human umbilical vein endothelial cell) treated with 50ng/ml TNF-α for 24 hours whole cell lysate at 20 µg

Lane 3:

Raji (Human Burkitt's lymphoma B lymphocyte) whole cell lysate at 20 µg

Secondary

All lanes:

Western blot - Goat Anti-Rabbit IgG H&L (HRP) (<a href='/en-us/products/secondary-antibodies/goat-rabbit-igg-h-l-hrp-ab97051'>ab97051</a>) at 1/20000 dilution

Predicted band size: 57 kDa

false

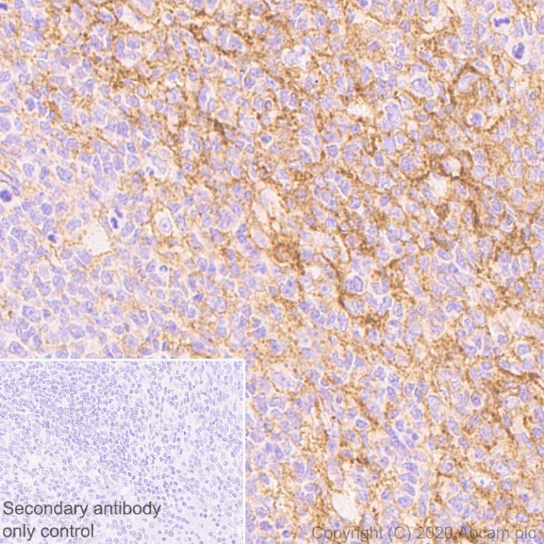
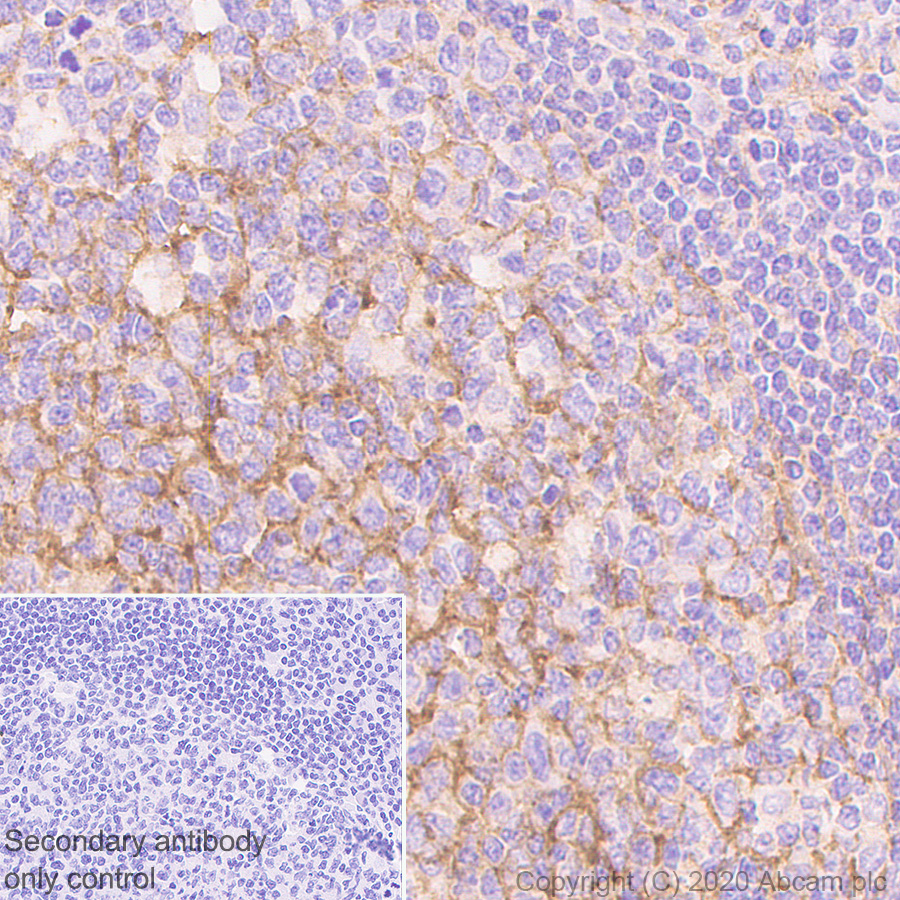
Immunohistochemistry (Formalin/PFA-fixed paraffin-embedded sections) - Anti-ICAM1 antibody [EP1442Y] - BSA and Azide free (AB271852)
  • IHC-P

Lab

Immunohistochemistry (Formalin/PFA-fixed paraffin-embedded sections) - Anti-ICAM1 antibody [EP1442Y] - BSA and Azide free (AB271852)

This data was developed using ab53013, the same antibody clone in a different buffer formulation.
Immunohistochemistry (Formalin/PFA-fixed paraffin-embedded sections) analysis of Human tonsil tissue sections labeling ICAM1 with purified ab53013 at 1/500 dilution (0.22 µg/mL). Heat mediated antigen retrieval using Bond™ Epitope Retrieval Solution 2 (pH 9.0). The immunostaining was performed on a Leica Biosystems BOND® RX instrument. Rabbit specific IHC polymer detection kit HRP/DAB (ab209101) was used as the secondary antibody. Negative control : PBS instead of the primary antibody. Hematoxylin was used as a counterstain.

Immunohistochemistry (Formalin/PFA-fixed paraffin-embedded sections) - Anti-ICAM1 antibody [EP1442Y] - BSA and Azide free (AB271852)
  • IHC-P

Lab

Immunohistochemistry (Formalin/PFA-fixed paraffin-embedded sections) - Anti-ICAM1 antibody [EP1442Y] - BSA and Azide free (AB271852)

This data was developed using ab53013, the same antibody clone in a different buffer formulation.
Immunohistochemistry (Formalin/PFA-fixed paraffin-embedded sections) analysis of Human kidney tissue sections labeling ICAM1 with purified ab53013 at 1/500 dilution (0.22 µg/mL). Heat mediated antigen retrieval using Bond™ Epitope Retrieval Solution 2 (pH 9.0). The immunostaining was performed on a Leica Biosystems BOND® RX instrument. Rabbit specific IHC polymer detection kit HRP/DAB (ab209101) was used as the secondary antibody. Negative control : PBS instead of the primary antibody. Hematoxylin was used as a counterstain.

Western blot - Anti-ICAM1 antibody [EP1442Y] - BSA and Azide free (AB271852)
  • WB

Lab

Western blot - Anti-ICAM1 antibody [EP1442Y] - BSA and Azide free (AB271852)

False colour image of Western blot : Anti-ICAM1 antibody [EP1442Y] staining at 1/1000 dilution, shown in green; Mouse anti-Alpha Tubulin [DM1A] (ab7291) loading control staining at 1/20000 dilution, shown in red. In Western blot, ab53013 was shown to bind specifically to ICAM1. A band was observed at 90 kDa in wild-type HeLa cell lysates with no signal observed at this size in Icam1 knockout cell line ab261742 (knockout cell lysate ab256947). The band observed in the CRISPR-Cas9 edited lysate lane below 90 kDa (not observed by this antibody) is likely to represent a truncated form of ICAM1. This has not been investigated further and the functional properties of the gene product have not been determined. To generate this image, wild-type and Icam1 CRISPR-Cas9 edited HeLa cell lysates were analysed. First, samples were run on an SDS-PAGE gel then transferred onto a nitrocellulose membrane. Membranes were blocked in 3 % milk in TBS-0.1 % Tween® 20 (TBS-T) before incubation with primary antibodies overnight at 4 °C. Blots were washed four times in TBS-T, incubated with secondary antibodies for 1 h at room temperature, washed again four times then imaged. Secondary antibodies used were Goat anti-Rabbit IgG H&L (IRDye® 800CW) preabsorbed (ab216773) and Goat anti-Mouse IgG H&L (IRDye® 680RD) preabsorbed (ab216776) at 1/20000 dilution.

All lanes:

Western blot - Anti-ICAM1 antibody [EP1442Y] (<a href='/en-us/products/primary-antibodies/icam1-antibody-ep1442y-ab53013'>ab53013</a>) at 1/1000 dilution

Lane 1:

Wild-type HeLa cell lysate at 20 µg

Lane 2:

ICAM1 CRISPR-Cas9 edited HeLa cell lysate at 20 µg

Lane 3:

A549 cell lysate at 20 µg

Lane 4:

Ramos cell lysate at 20 µg

Predicted band size: 57 kDa

Observed band size: 90 kDa

false

Key facts

Host species

Rabbit

Clonality

Monoclonal

Clone number

EP1442Y

Isotype

IgG

Carrier free

Yes

Reacts with

Human

Applications

IHC-P, WB

applications

Immunogen

The exact immunogen used to generate this antibody is proprietary information.

Reactivity data

{ "title": "Reactivity Data", "filters": { "stats": ["", "Species", "Dilution Info", "Notes"], "tabs": { "all-applications": {"fullname" : "All Applications", "shortname": "All Applications"}, "WB" : {"fullname" : "Western blot", "shortname":"WB"}, "IHCP" : {"fullname" : "Immunohistochemistry (Formalin/PFA-fixed paraffin-embedded sections)", "shortname":"IHC-P"} }, "product-promise": { "all": "all", "testedAndGuaranteed": "tested", "guaranteed": "expected", "predicted": "predicted", "notRecommended": "not-recommended" } }, "values": { "Human": { "WB-species-checked": "testedAndGuaranteed", "WB-species-dilution-info": "", "WB-species-notes": "<p></p>", "IHCP-species-checked": "testedAndGuaranteed", "IHCP-species-dilution-info": "", "IHCP-species-notes": "<p></p>" } } }

Product details

ab271852 is the carrier-free version of ab53013.

Species reactivity
Mouse, Rat: We have preliminary internal testing data to indicate this antibody may not react with these species.
Please contact us for more information.

Patented technology
Our RabMAb® technology is a patented hybridoma-based technology for making rabbit monoclonal antibodies. For details on our patents, please refer to RabMAb® patents.

What are the advantages of a recombinant monoclonal antibody?
This product is a recombinant monoclonal antibody, which offers several advantages including:

  • - High batch-to-batch consistency and reproducibility
  • - Improved sensitivity and specificity
  • - Long-term security of supply
  • - Animal-free batch production

For more information, read more on recombinant antibodies.

Conjugation ready
Our carrier-free antibodies are typically supplied in a PBS-only formulation, purified and free of BSA, sodium azide and glycerol. This conjugation-ready format is designed for use with fluorochromes, metal isotopes, oligonucleotides, and enzymes, which makes them ideal for antibody labelling, functional and cell-based assays, flow-based assays (e.g. mass cytometry) and Multiplex Imaging applications.

Use our conjugation kits for antibody conjugates that are ready-to-use in as little as 20 minutes with 1 minute hands-on-time and 100% antibody recovery: available for fluorescent dyes, HRP, biotin and gold.

Compatibility
This product is compatible with the Maxpar® Antibody Labeling Kit from Fluidigm, without the need for antibody preparation. Maxpar® is a trademark of Fluidigm Canada Inc.

Properties and storage information

Form
Liquid
Purification technique
Affinity purification Protein A
Storage buffer
pH: 7.2 - 7.4 Constituents: PBS
Shipped at conditions
Blue Ice
Appropriate short-term storage conditions
+4°C
Appropriate long-term storage conditions
+4°C
Storage information
Do Not Freeze

Product protocols

For this product, it's our understanding that no specific protocols are required. You can visit:

Target data

ICAM proteins are ligands for the leukocyte adhesion protein LFA-1 (integrin alpha-L/beta-2). During leukocyte trans-endothelial migration, ICAM1 engagement promotes the assembly of endothelial apical cups through ARHGEF26/SGEF and RHOG activation.. (Microbial infection) Acts as a receptor for major receptor group rhinovirus A-B capsid proteins.. (Microbial infection) Acts as a receptor for Coxsackievirus A21 capsid proteins.. (Microbial infection) Upon Kaposi's sarcoma-associated herpesvirus/HHV-8 infection, is degraded by viral E3 ubiquitin ligase MIR2, presumably to prevent lysis of infected cells by cytotoxic T-lymphocytes and NK cell.
See full target information ICAM1

Product promise

We are committed to supporting your work with high-quality reagents, and we're here for you every step of the way. In the unlikely event that one of our products does not perform as expected, you're protected by our Product Promise.
For full details, please see our Terms & Conditions

Please note: All products are 'FOR RESEARCH USE ONLY. NOT FOR USE IN DIAGNOSTIC OR THERAPEUTIC PROCEDURES'.

For licensing inquiries, please contact partnerships@abcam.com