JavaScript is disabled in your browser. Please enable JavaScript to view this website.
AB206398

Anti-ICAM1 antibody [EPR19938]

4

(1 Review)

|

(6 Publications)

Rabbit Recombinant Monoclonal ICAM1 antibody. Suitable for WB, IHC-P and reacts with Rat samples. Cited in 6 publications.

View Alternative Names

CD54, Icam-1, Icam1, Intercellular adhesion molecule 1, ICAM-1

3 Images
Immunohistochemistry (Formalin/PFA-fixed paraffin-embedded sections) - Anti-ICAM1 antibody [EPR19938] (AB206398)
  • IHC-P

Supplier Data

Immunohistochemistry (Formalin/PFA-fixed paraffin-embedded sections) - Anti-ICAM1 antibody [EPR19938] (AB206398)

Immunohistochemical analysis of paraffin-embedded rat liver tissue labeling ICAM1 with ab206398 at 1/2000 dilution followed by Goat Anti-Rabbit IgG H&L (HRP) (ab97051) at 1/500 dilution.

Membranous staining on sinusoidal endothelial cells of rat liver [PMID : 17058232].

Counter stained with Hematoxylin.

Secondary antibody only control : Used PBS instead of primary antibody secondary antibody is Goat Anti-Rabbit IgG H&L (HRP) (ab97051) at 1/500 dilution.

Perform heat mediated antigen retrieval with Tris/EDTA buffer pH 9.0 before commencing with IHC staining protocol.

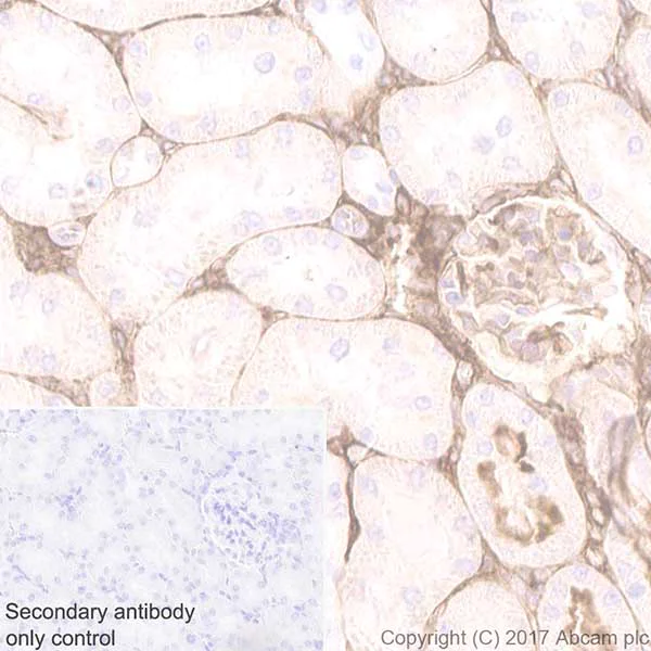
Immunohistochemistry (Formalin/PFA-fixed paraffin-embedded sections) - Anti-ICAM1 antibody [EPR19938] (AB206398)
  • IHC-P

Supplier Data

Immunohistochemistry (Formalin/PFA-fixed paraffin-embedded sections) - Anti-ICAM1 antibody [EPR19938] (AB206398)

Immunohistochemical analysis of paraffin-embedded rat kidney tissue labeling ICAM1 with ab206398 at 1/2000 dilution followed by Goat Anti-Rabbit IgG H&L (HRP) (ab97051) at 1/500 dilution.

Positive staining on extracellular matrix and blood vessels of rat kidney [PMID : 9198039] [PMID 7902311].

Counter stained with Hematoxylin.

Secondary antibody only control : Used PBS instead of primary antibody secondary antibody is Goat Anti-Rabbit IgG H&L (HRP) (ab97051) at 1/500 dilution.

Perform heat mediated antigen retrieval with Tris/EDTA buffer pH 9.0 before commencing with IHC staining protocol.

Western blot - Anti-ICAM1 antibody [EPR19938] (AB206398)
  • WB

Supplier Data

Western blot - Anti-ICAM1 antibody [EPR19938] (AB206398)

Blocking/Dilution buffer : 5% NFDM/TBST.

Exposure time : Lanes 1-4 : 5 seconds; Lanes 5/6 : 1 minute.

The observed molecular weight is consistent with the literature (PMID : 1712683).

All lanes:

Western blot - Anti-ICAM1 antibody [EPR19938] (ab206398) at 1/5000 dilution

Lane 1:

Rat spleen lysate at 20 µg

Lane 2:

Rat lung lysate at 20 µg

Lane 3:

C6 (Rat glial tumor cell line) whole cell lysate at 10 µg

Lane 4:

L6 (Rat skeletal muscle cell line) whole cell lysate at 10 µg

Lane 5:

Rat liver lysate at 20 µg

Lane 6:

Rat kidney lysate at 20 µg

Secondary

All lanes:

Western blot - Goat Anti-Rabbit IgG H&L (HRP) (<a href='/en-us/products/secondary-antibodies/goat-rabbit-igg-h-l-hrp-ab97051'>ab97051</a>) at 1/100000 dilution

Predicted band size: 57 kDa

Observed band size: 80-110 kDa

false

  • Carrier free

    Anti-ICAM1 antibody [EPR19938] - BSA and Azide free

Key facts

Host species

Rabbit

Clonality

Monoclonal

Clone number

EPR19938

Isotype

IgG

Carrier free

No

Reacts with

Rat

Applications

WB, IHC-P

applications

Immunogen

The exact immunogen used to generate this antibody is proprietary information.

Reactivity data

{ "title": "Reactivity Data", "filters": { "stats": ["", "Species", "Dilution Info", "Notes"], "tabs": { "all-applications": {"fullname" : "All Applications", "shortname": "All Applications"}, "WB" : {"fullname" : "Western blot", "shortname":"WB"}, "IHCP" : {"fullname" : "Immunohistochemistry (Formalin/PFA-fixed paraffin-embedded sections)", "shortname":"IHC-P"} }, "product-promise": { "all": "all", "testedAndGuaranteed": "tested", "guaranteed": "expected", "predicted": "predicted", "notRecommended": "not-recommended" } }, "values": { "Rat": { "WB-species-checked": "testedAndGuaranteed", "WB-species-dilution-info": "1/5000", "WB-species-notes": "<p></p>", "IHCP-species-checked": "testedAndGuaranteed", "IHCP-species-dilution-info": "1/2000", "IHCP-species-notes": "<p></p>" } } }

Product details

Patented technology
Our RabMAb® technology is a patented hybridoma-based technology for making rabbit monoclonal antibodies. For details on our patents, please refer to RabMAb® patents.

What are the advantages of a recombinant monoclonal antibody?
This product is a recombinant monoclonal antibody, which offers several advantages including:

  • - High batch-to-batch consistency and reproducibility
  • - Improved sensitivity and specificity
  • - Long-term security of supply
  • - Animal-free batch production

For more information, read more on recombinant antibodies.

Properties and storage information

Form
Liquid
Purification technique
Affinity purification Protein A
Storage buffer
pH: 7.2 - 7.4 Preservative: 0.01% Sodium azide Constituents: PBS, 40% Glycerol (glycerin, glycerine), 0.05% BSA
Shipped at conditions
Blue Ice
Appropriate short-term storage duration
1-2 weeks
Appropriate short-term storage conditions
+4°C
Appropriate long-term storage conditions
-20°C
Aliquoting information
Upon delivery aliquot
Storage information
Avoid freeze / thaw cycle

Product protocols

For this product, it's our understanding that no specific protocols are required. You can visit:

Target data

ICAM proteins are ligands for the leukocyte adhesion protein LFA-1 (integrin alpha-L/beta-2). During leukocyte trans-endothelial migration, ICAM1 engagement promotes the assembly of endothelial apical cups through ARHGEF26/SGEF and RHOG activation (By similarity).
See full target information Icam1

Publications (6)

Recent publications for all applications. Explore the full list and refine your search

Pain 164:1965-1975 PubMed37027145

2023

Local analgesia of electroacupuncture is mediated by the recruitment of neutrophils and released β-endorphins.

Applications

Unspecified application

Species

Unspecified reactive species

Jing-Tao Shi,Wan-Ying Cao,Xiao-Ning Zhang,Hong-Ye Wan,Yang-Shuai Su,Zheng-Yang Qu,Rui Wang,Wei He,Xiang-Hong Jing,Xiao-Yu Wang

Oxidative medicine and cellular longevity 2022:6934812 PubMed35178159

2022

Serum Pharmacochemistry Combining Network Pharmacology to Discover the Active Constituents and Effect of Xijiao Dihuang Tang Prescription for Treatment of Blood-Heat and Blood-Stasis Syndrome-Related Disease.

Applications

Unspecified application

Species

Unspecified reactive species

Yuxin Chen,Yang Dai,Jie Xia,Jing Liu,Guisheng Zhou,Cuihua Chen,Baoping Jiang,Lian Yin,Guochun Li

Frontiers in pharmacology 12:561237 PubMed33927611

2021

Danhong Injection Attenuates Cerebral Ischemia-Reperfusion Injury in Rats Through the Suppression of the Neuroinflammation.

Applications

Unspecified application

Species

Unspecified reactive species

Haixia Du,Yu He,Yuanjiang Pan,Mengdi Zhao,Zhiwei Li,Yu Wang,Jiehong Yang,Haitong Wan

Experimental and therapeutic medicine 21:303 PubMed33717246

2021

Diammonium glycyrrhizinate lipid ligand ameliorates lipopolysaccharide-induced acute lung injury by modulating vascular endothelial barrier function.

Applications

Unspecified application

Species

Unspecified reactive species

Mei-Mei Liu,Jin Zhou,Dan Ji,Jun Yang,Yan-Ping Huang,Qi Wang

Journal of cellular and molecular medicine 23:2849-2862 PubMed30784177

2019

The role of dendritic cells regulated by HMGB1/TLR4 signalling pathway in myocardial ischaemia reperfusion injury.

Applications

Unspecified application

Species

Unspecified reactive species

Jiyang Xue,Hanwei Ge,Zhiyong Lin,Hanlei Wang,Wei Lin,Yong Liu,Guowei Wu,Jie Xia,Qifeng Zhao

Scientific reports 8:10346 PubMed29985461

2018

Cobra Venom Factor-induced complement depletion protects against lung ischemia reperfusion injury through alleviating blood-air barrier damage.

Applications

Unspecified application

Species

Unspecified reactive species

Chang Haihua,Wang Wei,Huang Kun,Liao Yuanli,Lin Fei
View all publications

Product promise

We are committed to supporting your work with high-quality reagents, and we're here for you every step of the way. In the unlikely event that one of our products does not perform as expected, you're protected by our Product Promise.
For full details, please see our Terms & Conditions

Please note: All products are 'FOR RESEARCH USE ONLY. NOT FOR USE IN DIAGNOSTIC OR THERAPEUTIC PROCEDURES'.

For licensing inquiries, please contact partnerships@abcam.com