JavaScript is disabled in your browser. Please enable JavaScript to view this website.
AB251453

Anti-ICAM1 antibody [EPR19938] - BSA and Azide free

Be the first to review this product! Submit a review

|

(1 Publication)

Rabbit Recombinant Monoclonal ICAM1 antibody. Carrier free. Suitable for WB, IHC-P and reacts with Rat samples. Cited in 1 publication.

View Alternative Names

CD54, Icam-1, Icam1, Intercellular adhesion molecule 1, ICAM-1

3 Images
Immunohistochemistry (Formalin/PFA-fixed paraffin-embedded sections) - Anti-ICAM1 antibody [EPR19938] - BSA and Azide free (AB251453)
  • IHC-P

Supplier Data

Immunohistochemistry (Formalin/PFA-fixed paraffin-embedded sections) - Anti-ICAM1 antibody [EPR19938] - BSA and Azide free (AB251453)

This data was developed using ab206398, the same antibody clone in a different buffer formulation.

Immunohistochemical analysis of paraffin-embedded rat liver tissue labeling ICAM1 with ab206398 at 1/2000 dilution, followed by Goat Anti-Rabbit IgG H&L (HRP) (ab97051) at 1/500 dilution.

Membranous staining on sinusoidal endothelial cells of rat liver [PMID : 17058232].

Counter stained with Hematoxylin.

Secondary antibody only control : Used PBS instead of primary antibody, secondary antibody is Goat Anti-Rabbit IgG H&L (HRP) (ab97051) at 1/500 dilution.

Perform heat mediated antigen retrieval with Tris/EDTA buffer pH 9.0 before commencing with IHC staining protocol.

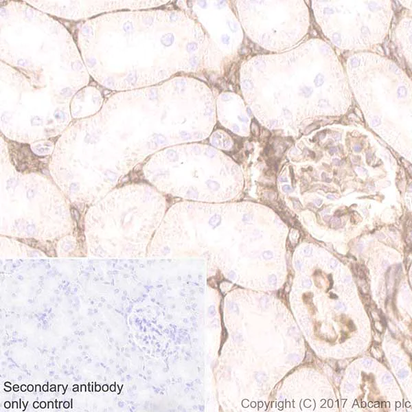
Immunohistochemistry (Formalin/PFA-fixed paraffin-embedded sections) - Anti-ICAM1 antibody [EPR19938] - BSA and Azide free (AB251453)
  • IHC-P

Supplier Data

Immunohistochemistry (Formalin/PFA-fixed paraffin-embedded sections) - Anti-ICAM1 antibody [EPR19938] - BSA and Azide free (AB251453)

This data was developed using ab206398, the same antibody clone in a different buffer formulation.

Immunohistochemical analysis of paraffin-embedded rat kidney tissue labeling ICAM1 with ab206398 at 1/2000 dilution, followed by Goat Anti-Rabbit IgG H&L (HRP) (ab97051) at 1/500 dilution.

Positive staining on extracellular matrix and blood vessels of rat kidney [PMID : 9198039] [PMID 7902311].

Counter stained with Hematoxylin.

Secondary antibody only control : Used PBS instead of primary antibody, secondary antibody is Goat Anti-Rabbit IgG H&L (HRP) (ab97051) at 1/500 dilution.

Perform heat mediated antigen retrieval with Tris/EDTA buffer pH 9.0 before commencing with IHC staining protocol.

Western blot - Anti-ICAM1 antibody [EPR19938] - BSA and Azide free (AB251453)
  • WB

Supplier Data

Western blot - Anti-ICAM1 antibody [EPR19938] - BSA and Azide free (AB251453)

This data was developed using ab206398, the same antibody clone in a different buffer formulation.

Blocking and dilution buffer : 5% NFDM/TBST.

Exposure time : Lanes 1-4 : 5 seconds; Lanes 5-6 : 1 minute.

The observed molecular weight is consistent with the literature (PMID : 1712683).

All lanes:

Western blot - Anti-ICAM1 antibody [EPR19938] (<a href='/en-us/products/primary-antibodies/icam1-antibody-epr19938-ab206398'>ab206398</a>) at 1/5000 dilution

Lane 1:

Rat spleen lysate at 20 µg

Lane 2:

Rat lung lysate at 20 µg

Lane 3:

C6 (Rat glial tumor cell line) whole cell lysate at 10 µg

Lane 4:

L6 (Rat skeletal muscle cell line) whole cell lysate at 10 µg

Lane 5:

Rat liver lysate at 20 µg

Lane 6:

Rat kidney lysate at 20 µg

Secondary

All lanes:

Western blot - Goat Anti-Rabbit IgG H&L (HRP) (<a href='/en-us/products/secondary-antibodies/goat-rabbit-igg-h-l-hrp-ab97051'>ab97051</a>) at 1/100000 dilution

Predicted band size: 57 kDa

Observed band size: 80-110 kDa

false

Key facts

Host species

Rabbit

Clonality

Monoclonal

Clone number

EPR19938

Isotype

IgG

Carrier free

Yes

Reacts with

Rat

Applications

WB, IHC-P

applications

Immunogen

The exact immunogen used to generate this antibody is proprietary information.

Reactivity data

{ "title": "Reactivity Data", "filters": { "stats": ["", "Species", "Dilution Info", "Notes"], "tabs": { "all-applications": {"fullname" : "All Applications", "shortname": "All Applications"}, "WB" : {"fullname" : "Western blot", "shortname":"WB"}, "IHCP" : {"fullname" : "Immunohistochemistry (Formalin/PFA-fixed paraffin-embedded sections)", "shortname":"IHC-P"} }, "product-promise": { "all": "all", "testedAndGuaranteed": "tested", "guaranteed": "expected", "predicted": "predicted", "notRecommended": "not-recommended" } }, "values": { "Rat": { "WB-species-checked": "testedAndGuaranteed", "WB-species-dilution-info": "", "WB-species-notes": "<p></p>", "IHCP-species-checked": "testedAndGuaranteed", "IHCP-species-dilution-info": "", "IHCP-species-notes": "<p></p>" } } }

Product details

ab251453 is the carrier-free version of ab206398.

Patented technology
Our RabMAb® technology is a patented hybridoma-based technology for making rabbit monoclonal antibodies. For details on our patents, please refer to RabMAb® patents.

What are the advantages of a recombinant monoclonal antibody?
This product is a recombinant monoclonal antibody, which offers several advantages including:

  • - High batch-to-batch consistency and reproducibility
  • - Improved sensitivity and specificity
  • - Long-term security of supply
  • - Animal-free batch production

For more information, read more on recombinant antibodies.

Conjugation ready
Our carrier-free antibodies are typically supplied in a PBS-only formulation, purified and free of BSA, sodium azide and glycerol. This conjugation-ready format is designed for use with fluorochromes, metal isotopes, oligonucleotides, and enzymes, which makes them ideal for antibody labelling, functional and cell-based assays, flow-based assays (e.g. mass cytometry) and Multiplex Imaging applications.

Use our conjugation kits for antibody conjugates that are ready-to-use in as little as 20 minutes with 1 minute hands-on-time and 100% antibody recovery: available for fluorescent dyes, HRP, biotin and gold.

Compatibility
This product is compatible with the Maxpar® Antibody Labeling Kit from Fluidigm, without the need for antibody preparation. Maxpar® is a trademark of Fluidigm Canada Inc.

Properties and storage information

Form
Liquid
Storage buffer
pH: 7.2 - 7.4 Constituents: PBS
Shipped at conditions
Blue Ice
Appropriate short-term storage conditions
+4°C
Appropriate long-term storage conditions
+4°C
Storage information
Do Not Freeze

Product protocols

For this product, it's our understanding that no specific protocols are required. You can visit:

Target data

ICAM proteins are ligands for the leukocyte adhesion protein LFA-1 (integrin alpha-L/beta-2). During leukocyte trans-endothelial migration, ICAM1 engagement promotes the assembly of endothelial apical cups through ARHGEF26/SGEF and RHOG activation (By similarity).
See full target information Icam1

Publications (1)

Recent publications for all applications. Explore the full list and refine your search

Scientific reports 14:26521 PubMed39489850

2024

GABPA inhibits tumorigenesis in clear cell renal cell carcinoma by regulating ferroptosis through ACSL4.

Applications

Unspecified application

Species

Unspecified reactive species

Yaqian Wu,Zonglong Wu,Mengfei Yao,Li Liu,Yimeng Song,Lulin Ma,Cheng Liu
View all publications

Product promise

We are committed to supporting your work with high-quality reagents, and we're here for you every step of the way. In the unlikely event that one of our products does not perform as expected, you're protected by our Product Promise.
For full details, please see our Terms & Conditions

Please note: All products are 'FOR RESEARCH USE ONLY. NOT FOR USE IN DIAGNOSTIC OR THERAPEUTIC PROCEDURES'.

For licensing inquiries, please contact partnerships@abcam.com