JavaScript is disabled in your browser. Please enable JavaScript to view this website.
AB222736

Anti-ICAM1 antibody [EPR22161-284]

Be the first to review this product! Submit a review

|

(18 Publications)

Anti-ICAM1 antibody [EPR22161-284] (ab222736) is a rabbit monoclonal antibody detecting ICAM1 in Western Blot, Flow Cytometry, IP, IHC-P, ICC/IF. Suitable for Mouse.

- Biophysical QC for unrivalled batch-batch consistency
- Over 10 publications

View Alternative Names

CD54, Icam-1, Icam1, Intercellular adhesion molecule 1, ICAM-1, MALA-2, MyD10

6 Images
Western blot - Anti-ICAM1 antibody [EPR22161-284] (AB222736)
  • WB

Supplier Data

Western blot - Anti-ICAM1 antibody [EPR22161-284] (AB222736)

Blocking/Diluting buffer and concentration : 5% NFDM/TBST.

Exposure time : 48 seconds.

The 110-KDa apparent molecular mass is due to glycosylation (PMID : 1680698).

All lanes:

Western blot - Anti-ICAM1 antibody [EPR22161-284] (ab222736) at 1/1000 dilution

Lane 1:

Mouse kidney tissue lysate at 20 µg

Lane 2:

Mouse spleen tissue lysate at 20 µg

Lane 3:

Mouse liver tissue lysate at 20 µg

Lane 4:

A20 (mouse reticulum sarcoma b lymphocyte) whole cell lysate at 20 µg

Secondary

All lanes:

Western blot - Goat Anti-Rabbit IgG H&L (HRP) (<a href='/en-us/products/secondary-antibodies/goat-rabbit-igg-h-l-hrp-ab97051'>ab97051</a>) at 1/100000 dilution

Predicted band size: 57 kDa

Observed band size: 110 kDa

false

Flow Cytometry - Anti-ICAM1 antibody [EPR22161-284] (AB222736)
  • Flow Cyt

Supplier Data

Flow Cytometry - Anti-ICAM1 antibody [EPR22161-284] (AB222736)

Flow cytometric analysis of Mouse primary splenocytes labeling ICAM1 with ab222736 at 1/500 dilution (Red) compared with a Rabbit monoclonal IgG (ab172730) isotype control (Black) and an unlabeled control (Cell without incubation with primary antibody and secondary antibody, Blue). Goat anti rabbit IgG (Alexa Fluor® 488, ab150077) at 1/200 dilution was used as the secondary antibody. Gated on viable cells.

ICAM1 negative population (left half of red peak) was also observed in mouse splenocytes which is consistent with IHC staining pattern.

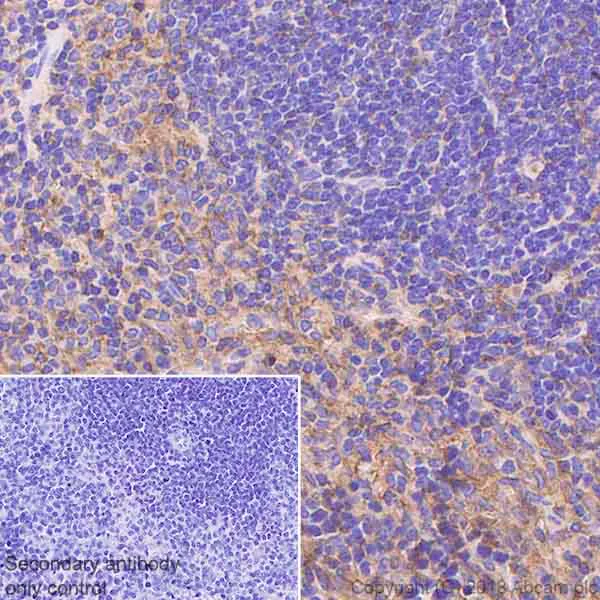
Immunohistochemistry (Formalin/PFA-fixed paraffin-embedded sections) - Anti-ICAM1 antibody [EPR22161-284] (AB222736)
  • IHC-P

Supplier Data

Immunohistochemistry (Formalin/PFA-fixed paraffin-embedded sections) - Anti-ICAM1 antibody [EPR22161-284] (AB222736)

Immunohistochemical analysis of paraffin-embedded mouse spleen tissue labeling ICAM1 using ab222736 at 1/1000 dilution, followed by a ready to use Rabbit specific IHC polymer detection kit HRP/DAB (ab209101). Cytoplasmic staining on the marginal zone of mouse spleen (PMID : 12130787; PMID : 17947659) is observed. Counterstained with Hematoxylin.

Secondary antibody only control : Used PBS instead of primary antibody, secondary antibody is Rabbit specific IHC polymer detection kit HRP/DAB (ab209101) ready to use.

Heat mediated antigen retrieval with Tris-EDTA buffer (pH 9.0, epitope retrieval solution 2) for 20 mins.

Immunostaining was performed on a Leica Biosystems BOND® RX instrument. The section was incubated with ab222736 for 30 mins at room temperature.

Immunocytochemistry/ Immunofluorescence - Anti-ICAM1 antibody [EPR22161-284] (AB222736)
  • ICC/IF

Supplier Data

Immunocytochemistry/ Immunofluorescence - Anti-ICAM1 antibody [EPR22161-284] (AB222736)

Immunofluorescent analysis of 4% paraformaldehyde-fixed, 0.1% Triton X-100 permeabilized A20 (mouse reticulum sarcoma cell line) cells labeling ICAM with ab222736 at 1/50 dilution, followed by Goat Anti-Rabbit IgG H&L (Alexa Fluor® 488) (ab150077) secondary antibody at 1/1000 dilution (green). Confocal image showing membranous staining in A20 cells with distinct staining of the target protein being transported from Golgi to cell surfaces (PMID : 17486117) is observed. Anti-alpha Tubulin antibody [DM1A] - Microtubule Marker (Alexa Fluor® 594) (ab195889) was used as a countertsain (Red) at 1/200 dilution. The nuclear counterstain is DAPI (Blue).

Secondary antibody only control : Used PBS instead of primary antibody, secondary antibody is Alexa Fluor®488 Goat anti-Rabbit secondary (ab150077) at 1/1000 dilution.

Immunohistochemistry (Formalin/PFA-fixed paraffin-embedded sections) - Anti-ICAM1 antibody [EPR22161-284] (AB222736)
  • IHC-P

Supplier Data

Immunohistochemistry (Formalin/PFA-fixed paraffin-embedded sections) - Anti-ICAM1 antibody [EPR22161-284] (AB222736)

Immunohistochemical analysis of paraffin-embedded mouse lung tissue labeling ICAM1 using ab222736 at 1/1000 dilution, followed by a ready to use Rabbit specific IHC polymer detection kit HRP/DAB (ab209101). Membranous and cytoplasmic staining on mouse lung (PMID : 14568945; PMID : 9802985) is observed. Counterstained with DAPI.

Secondary antibody only control : Used PBS instead of primary antibody, secondary antibody is Rabbit specific IHC polymer detection kit HRP/DAB (ab209101) ready to use.

Heat mediated antigen retrieval with Tris-EDTA buffer (pH 9.0, epitope retrieval solution 2) for 20 mins.

Immunostaining was performed on a Leica Biosystems BOND® RX instrument. The section was incubated with ab222736 for 30 mins at room temperature.

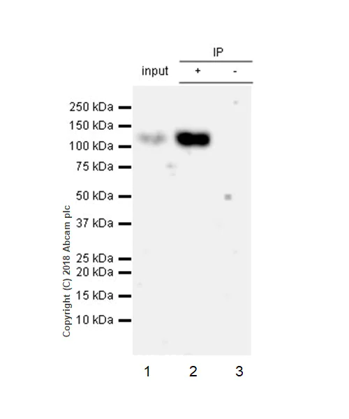
Immunoprecipitation - Anti-ICAM1 antibody [EPR22161-284] (AB222736)
  • IP

Supplier Data

Immunoprecipitation - Anti-ICAM1 antibody [EPR22161-284] (AB222736)

ICAM1 was immunoprecipitated from 0.35 mg Mouse spleen lysate with ab222736 at 1/30 dilution. Western blot was performed from the immunoprecipitate using ab222736 at 1/1000 dilution. VeriBlot for IP Detection Reagent (HRP) (ab131366) was used for detection at 1/5000 dilution.

Lane 1 : Mouse spleen tissue lysate 10 μg (input).
Lane 2 : ab222736 IP in mouse spleen tissue lysate.
Lane 3 : Rabbit monoclonal IgG (ab172730) instead of ab222736 in Mouse spleen lysate.

Blocking and dilution buffer and concentration : 5% NFDM/TBST.
Exposure time : 3 minutes.

110-kDa molecular mass is due to glycosylation (PMID : 1680698).

All lanes:

Immunoprecipitation - Anti-ICAM1 antibody [EPR22161-284] (ab222736)

Predicted band size: 57 kDa

Observed band size: 110 kDa

false

Key facts

Host species

Rabbit

Clonality

Monoclonal

Clone number

EPR22161-284

Isotype

IgG

Carrier free

No

Reacts with

Mouse

Applications

IHC-P, WB, Flow Cyt, ICC/IF, IP

applications

Immunogen

The exact immunogen used to generate this antibody is proprietary information.

Reactivity data

{ "title": "Reactivity Data", "filters": { "stats": ["", "Species", "Dilution Info", "Notes"], "tabs": { "all-applications": {"fullname" : "All Applications", "shortname": "All Applications"}, "IP" : {"fullname" : "Immunoprecipitation", "shortname":"IP"}, "FlowCyt" : {"fullname" : "Flow Cytometry", "shortname":"Flow Cyt"}, "WB" : {"fullname" : "Western blot", "shortname":"WB"}, "ICCIF" : {"fullname" : "Immunocytochemistry/ Immunofluorescence", "shortname":"ICC/IF"}, "IHCP" : {"fullname" : "Immunohistochemistry (Formalin/PFA-fixed paraffin-embedded sections)", "shortname":"IHC-P"} }, "product-promise": { "all": "all", "testedAndGuaranteed": "tested", "guaranteed": "expected", "predicted": "predicted", "notRecommended": "not-recommended" } }, "values": { "Mouse": { "IP-species-checked": "testedAndGuaranteed", "IP-species-dilution-info": "1/30", "IP-species-notes": "<p></p>", "FlowCyt-species-checked": "testedAndGuaranteed", "FlowCyt-species-dilution-info": "1/500", "FlowCyt-species-notes": "<p></p>", "WB-species-checked": "testedAndGuaranteed", "WB-species-dilution-info": "1/1000", "WB-species-notes": "<p></p>", "ICCIF-species-checked": "testedAndGuaranteed", "ICCIF-species-dilution-info": "1/50", "ICCIF-species-notes": "<p></p>", "IHCP-species-checked": "testedAndGuaranteed", "IHCP-species-dilution-info": "1/1000", "IHCP-species-notes": "<p>Heat mediated antigen retrieval with Tris-EDTA buffer (pH 9.0, epitope retrieval solution 2) for 20 mins.</p>" }, "Rat": { "IP-species-checked": "notRecommended", "IP-species-dilution-info": "", "IP-species-notes": "", "FlowCyt-species-checked": "notRecommended", "FlowCyt-species-dilution-info": "1/500", "FlowCyt-species-notes": "<p></p>", "WB-species-checked": "notRecommended", "WB-species-dilution-info": "1/1000", "WB-species-notes": "<p></p>", "ICCIF-species-checked": "notRecommended", "ICCIF-species-dilution-info": "", "ICCIF-species-notes": "", "IHCP-species-checked": "notRecommended", "IHCP-species-dilution-info": "", "IHCP-species-notes": "" } } }

You may be interested in:

AB252355

Mouse ICAM 1 ELISA Kit

0

0 Reviews

View product

We recommend this product because it’s often used in the same experiment or related research.

We advise that you always check the datasheet to ensure it fits your experiments, or contact ourtechnical teamfor help.

Product details

Properties and storage information

Form
Liquid
Purification technique
Affinity purification Protein A
Storage buffer
pH: 7.2 - 7.4 Preservative: 0.01% Sodium azide Constituents: PBS, 40% Glycerol (glycerin, glycerine), 0.05% BSA
Shipped at conditions
Blue Ice
Appropriate short-term storage duration
1-2 weeks
Appropriate short-term storage conditions
+4°C
Appropriate long-term storage conditions
-20°C
Aliquoting information
Upon delivery aliquot
Storage information
Avoid freeze / thaw cycle

Product protocols

For this product, it's our understanding that no specific protocols are required. You can visit:

Target data

ICAM proteins are ligands for the leukocyte adhesion protein LFA-1 (integrin alpha-L/beta-2). During leukocyte trans-endothelial migration, ICAM1 engagement promotes the assembly of endothelial apical cups through ARHGEF26/SGEF and RHOG activation (By similarity).
See full target information Icam1

Publications (18)

Recent publications for all applications. Explore the full list and refine your search

Journal of neuroinflammation 20:301 PubMed38102677

2023

Inhaled nitric oxide suppresses neuroinflammation in experimental ischemic stroke.

Applications

Unspecified application

Species

Unspecified reactive species

Rebecca I Sienel,Uta Mamrak,Janina Biller,Stefan Roth,Andreas Zellner,Tipparat Parakaw,Rayomand S Khambata,Arthur Liesz,Christof Haffner,Amrita Ahluwalia,Burcu F Seker,Nikolaus Plesnila

Frontiers in aging neuroscience 15:1250685 PubMed38020765

2023

CCL5 promotes LFA-1 expression in Th17 cells and induces LCK and ZAP70 activation in a mouse model of Parkinson's disease.

Applications

Unspecified application

Species

Unspecified reactive species

Jingwei Zhao,Ke An,Zhijuan Mao,Yi Qu,Danlei Wang,Jiangting Li,Zhe Min,Zheng Xue

PeerJ 11:e16320 PubMed37901475

2023

ET-1 receptor type B (ETBR) overexpression associated with ICAM-1 downregulation leads to inflammatory attenuation in experimental autoimmune myocarditis.

Applications

Unspecified application

Species

Unspecified reactive species

Peng Yang,Fangfei Li,Jiangfeng Tang,Qingshan Tian,Zhenzhong Zheng

Nature communications 14:5178 PubMed37620331

2023

Biosynthesized gold nanoparticles that activate Toll-like receptors and elicit localized light-converting hyperthermia for pleiotropic tumor immunoregulation.

Applications

Unspecified application

Species

Unspecified reactive species

Hao Qin,Yang Chen,Zeming Wang,Nan Li,Qing Sun,Yixuan Lin,Wenyi Qiu,Yuting Qin,Long Chen,Hanqing Chen,Yiye Li,Jian Shi,Guangjun Nie,Ruifang Zhao

Journal for immunotherapy of cancer 11: PubMed37369391

2023

Tobacco exposure primes the secretion of CCL21 positively associated with tertiary lymphoid structure and response to immunotherapy.

Applications

Unspecified application

Species

Unspecified reactive species

Xuewen Yin,Hui Wang,Rutao Li,Xuming Song,Te Zhang,Yingkuan Liang,Yu-Zhong Chen,Xinnian Yu,Qixing Mao,Wenjie Xia,Bing Chen,Lin Xu,Gaochao Dong,Feng Jiang

ACS nano 17:7562-7575 PubMed37022097

2023

Extracellular Vesicle ITGAM and ITGB2 Mediate Severe Acute Pancreatitis-Related Acute Lung Injury.

Applications

Unspecified application

Species

Unspecified reactive species

Qian Hu,Shu Zhang,Yue Yang,Juan Li,Hongxin Kang,Wenfu Tang,Christopher J Lyon,Meihua Wan

Cellular & molecular biology letters 27:105 PubMed36447138

2022

Targeting uridine-cytidine kinase 2 induced cell cycle arrest through dual mechanism and could improve the immune response of hepatocellular carcinoma.

Applications

Unspecified application

Species

Unspecified reactive species

Dehai Wu,Congyi Zhang,Guanqun Liao,Kaiming Leng,Bowen Dong,Yang Yu,Huilin Tai,Lining Huang,Feng Luo,Bin Zhang,Tiexiang Zhan,Qiuhui Hu,Sheng Tai

Cells 11: PubMed36496993

2022

Single-Cell Sequencing Reveals the Regulatory Role of Maresin1 on Neutrophils during Septic Lung Injury.

Applications

Unspecified application

Species

Unspecified reactive species

Fuquan Wang,Ming Chen,Chenchen Wang,Haifa Xia,Dingyu Zhang,Shanglong Yao

Cancer immunology, immunotherapy : CII 72:1169-1181 PubMed36357599

2022

Combined pembrolizumab and bevacizumab therapy effectively inhibits non-small-cell lung cancer growth and prevents postoperative recurrence and metastasis in humanized mouse model.

Applications

Unspecified application

Species

Unspecified reactive species

Tianyun Qiao,Jinbo Zhao,Xiangbing Xin,Yanlu Xiong,Wenwen Guo,Fancheng Meng,Hui Li,Yangbo Feng,Hui Xu,Changhong Shi,Yong Han

eLife 11: PubMed36197007

2022

Single-cell transcriptomics reveals functionally specialized vascular endothelium in brain.

Applications

Unspecified application

Species

Unspecified reactive species

Hyun-Woo Jeong,Rodrigo Diéguez-Hurtado,Hendrik Arf,Jian Song,Hongryeol Park,Kai Kruse,Lydia Sorokin,Ralf H Adams
View all publications

Product promise

We are committed to supporting your work with high-quality reagents, and we're here for you every step of the way. In the unlikely event that one of our products does not perform as expected, you're protected by our Product Promise.
For full details, please see our Terms & Conditions

Associated Products

Select an associated product type
Alternative Product
Primary Antibodies

AB2213

Anti-ICAM1 antibody [MEM-111]

primary-antibodies

icam1-antibody-mem-111-ab2213

4

(12 reviews)

Alternative Product
Primary Antibodies

AB7815

Biotin Anti-ICAM1 antibody

primary-antibodies

biotin-icam1-antibody-ab7815

4

(3 reviews)

Alternative Product
Primary Antibodies

AB119871

Anti-ICAM1 antibody [YN1/1.7.4]

primary-antibodies

icam1-antibody-yn1-174-ab119871

5

(1 reviews)

Alternative Product
Primary Antibodies

AB25007

Biotin Anti-ICAM1 antibody [YN1/1.7.4]

primary-antibodies

biotin-icam1-antibody-yn1-174-ab25007

0

(0 reviews)

Alternative Product
Primary Antibodies

AB25553

PE Anti-ICAM1 antibody [YN1/1.7.4]

primary-antibodies

pe-icam1-antibody-yn1-174-ab25553

5

(1 reviews)

Alternative Product
Primary Antibodies

AB20

Anti-ICAM1 antibody [15.2]

primary-antibodies

icam1-antibody-152-ab20

1

(1 reviews)

Alternative Product
Primary Antibodies

AB24869

FITC Anti-ICAM1 antibody [YN1/1.7.4]

primary-antibodies

fitc-icam1-antibody-yn1-174-ab24869

0

(0 reviews)

Alternative Product
Primary Antibodies

AB171123

Anti-ICAM1 antibody [1A29]

primary-antibodies

icam1-antibody-1a29-ab171123

0

(0 reviews)

Alternative Product
Primary Antibodies

AB217075

Biotin Anti-ICAM1 antibody [EPR4776]

primary-antibodies

biotin-icam1-antibody-epr4776-ab217075

0

(0 reviews)

Alternative Product
Primary Antibodies

AB179707

Anti-ICAM1 antibody [EPR16608]

primary-antibodies

icam1-antibody-epr16608-ab179707

5

(5 reviews)

Alternative Product
Primary Antibodies

AB53013

Anti-ICAM1 antibody [EP1442Y]

primary-antibodies

icam1-antibody-ep1442y-ab53013

0

(0 reviews)

Alternative Product
Primary Antibodies

AB271933

Anti-ICAM1 antibody [EPR16608] - BSA and Azide free

primary-antibodies

icam1-antibody-epr16608-bsa-and-azide-free-ab271933

0

(0 reviews)

Alternative Product
Primary Antibodies

AB271852

Anti-ICAM1 antibody [EP1442Y] - BSA and Azide free

primary-antibodies

icam1-antibody-ep1442y-bsa-and-azide-free-ab271852

0

(0 reviews)

Alternative Product
Primary Antibodies

AB221777

Anti-ICAM1 antibody [EP1442Y] - Low endotoxin, Azide free

primary-antibodies

icam1-antibody-ep1442y-low-endotoxin-azide-free-ab221777

0

(0 reviews)

Alternative Product
Primary Antibodies

AB222498

Anti-ICAM1 antibody [EPR16608] - Low endotoxin, Azide free

primary-antibodies

icam1-antibody-epr16608-low-endotoxin-azide-free-ab222498

0

(0 reviews)

Please note: All products are 'FOR RESEARCH USE ONLY. NOT FOR USE IN DIAGNOSTIC OR THERAPEUTIC PROCEDURES'.

For licensing inquiries, please contact partnerships@abcam.com