JavaScript is disabled in your browser. Please enable JavaScript to view this website.
AB239401

Anti-ICAM1 antibody [EPR22161-284] - BSA and Azide free

Be the first to review this product! Submit a review

|

(1 Publication)

Rabbit Recombinant Monoclonal ICAM1 antibody. Carrier free. Suitable for IP, Flow Cyt, WB, ICC/IF, IHC-P and reacts with Mouse samples. Cited in 1 publication.

View Alternative Names

CD54, Intercellular adhesion molecule 1, ICAM-1, MALA-2, MyD10, Icam1

5 Images
Immunohistochemistry (Formalin/PFA-fixed paraffin-embedded sections) - Anti-ICAM1 antibody [EPR22161-284] - BSA and Azide free (AB239401)
  • IHC-P

Supplier Data

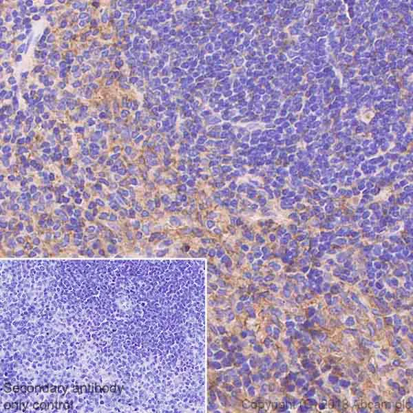
Immunohistochemistry (Formalin/PFA-fixed paraffin-embedded sections) - Anti-ICAM1 antibody [EPR22161-284] - BSA and Azide free (AB239401)

Immunohistochemical analysis of paraffin-embedded mouse spleen tissue labeling ICAM1 using ab222736 at 1/1000 dilution, followed by a ready to use Rabbit specific IHC polymer detection kit HRP/DAB (ab209101). Cytoplasmic staining on the marginal zone of mouse spleen (PMID : 12130787; PMID : 17947659) is observed. Counterstained with Hematoxylin.

Secondary antibody only control : Used PBS instead of primary antibody, secondary antibody is Rabbit specific IHC polymer detection kit HRP/DAB (ab209101) ready to use.

Heat mediated antigen retrieval with Tris-EDTA buffer (pH 9.0, epitope retrieval solution 2) for 20 mins.

Immunostaining was performed on a Leica Biosystems BOND® RX instrument. The section was incubated with ab222736 for 30 mins at room temperature.

This data was developed using the same antibody clone in a different buffer formulation containing PBS, BSA, glycerol, and sodium azide (ab222736).

Immunocytochemistry/ Immunofluorescence - Anti-ICAM1 antibody [EPR22161-284] - BSA and Azide free (AB239401)
  • ICC/IF

Supplier Data

Immunocytochemistry/ Immunofluorescence - Anti-ICAM1 antibody [EPR22161-284] - BSA and Azide free (AB239401)

Immunofluorescent analysis of 4% paraformaldehyde-fixed, 0.1% Triton X-100 permeabilized A20 (mouse reticulum sarcoma cell line) cells labeling ICAM with ab222736 at 1/50 dilution, followed by Goat Anti-Rabbit IgG H&L (Alexa Fluor® 488) (ab150077) secondary antibody at 1/1000 dilution (green). Confocal image showing membranous staining in A20 cells with distinct staining of the target protein being transported from Golgi to cell surfaces (PMID : 17486117) is observed. Anti-alpha Tubulin antibody [DM1A] - Microtubule Marker (Alexa Fluor® 594) (ab195889) was used as a countertsain (Red) at 1/200 dilution. The nuclear counterstain is DAPI (Blue).

Secondary antibody only control : Used PBS instead of primary antibody, secondary antibody is Alexa Fluor®488 Goat anti-Rabbit secondary (ab150077) at 1/1000 dilution.

This data was developed using the same antibody clone in a different buffer formulation containing PBS, BSA, glycerol, and sodium azide (ab222736).

Immunohistochemistry (Formalin/PFA-fixed paraffin-embedded sections) - Anti-ICAM1 antibody [EPR22161-284] - BSA and Azide free (AB239401)
  • IHC-P

Supplier Data

Immunohistochemistry (Formalin/PFA-fixed paraffin-embedded sections) - Anti-ICAM1 antibody [EPR22161-284] - BSA and Azide free (AB239401)

Immunohistochemical analysis of paraffin-embedded mouse lung tissue labeling ICAM1 using ab222736 at 1/1000 dilution, followed by a ready to use Rabbit specific IHC polymer detection kit HRP/DAB (ab209101). Membranous and cytoplasmic staining on mouse lung (PMID : 14568945; PMID : 9802985) is observed. Counterstained with DAPI.

Secondary antibody only control : Used PBS instead of primary antibody, secondary antibody is Rabbit specific IHC polymer detection kit HRP/DAB (ab209101) ready to use.

Heat mediated antigen retrieval with Tris-EDTA buffer (pH 9.0, epitope retrieval solution 2) for 20 mins.

Immunostaining was performed on a Leica Biosystems BOND® RX instrument. The section was incubated with ab222736 for 30 mins at room temperature.

This data was developed using the same antibody clone in a different buffer formulation containing PBS, BSA, glycerol, and sodium azide (ab222736).

Flow Cytometry - Anti-ICAM1 antibody [EPR22161-284] - BSA and Azide free (AB239401)
  • Flow Cyt

Supplier Data

Flow Cytometry - Anti-ICAM1 antibody [EPR22161-284] - BSA and Azide free (AB239401)

Flow cytometric analysis of Mouse primary splenocytes labeling ICAM1 with ab222736 at 1/500 dilution (Red) compared with a Rabbit monoclonal IgG (ab172730) isotype control (Black) and an unlabeled control (Cell without incubation with primary antibody and secondary antibody, Blue). Goat anti rabbit IgG (Alexa Fluor® 488, ab150077) at 1/200 dilution was used as the secondary antibody. Gated on viable cells.

ICAM1 negative population (left half of red peak) was also observed in mouse splenocytes which is consistent with IHC staining pattern.

This data was developed using the same antibody clone in a different buffer formulation containing PBS, BSA, glycerol, and sodium azide (ab222736).

Immunoprecipitation - Anti-ICAM1 antibody [EPR22161-284] - BSA and Azide free (AB239401)
  • IP

Supplier Data

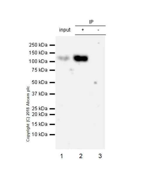
Immunoprecipitation - Anti-ICAM1 antibody [EPR22161-284] - BSA and Azide free (AB239401)

ICAM1 was immunoprecipitated from 0.35 mg Mouse spleen lysate with ab222736 at 1/30 dilution. Western blot was performed from the immunoprecipitate using ab222736 at 1/1000 dilution. VeriBlot for IP Detection Reagent (HRP) (ab131366) was used for detection at 1/5000 dilution.

Lane 1 : Mouse spleen tissue lysate 10 μg (input).
Lane 2 : ab222736 IP in mouse spleen tissue lysate.
Lane 3 : Rabbit monoclonal IgG (ab172730) instead of ab222736 in Mouse spleen lysate.

Blocking and dilution buffer and concentration : 5% NFDM/TBST.
Exposure time : 3 minutes.

110-kDa molecular mass is due to glycosylation (PMID : 1680698).

This data was developed using the same antibody clone in a different buffer formulation containing PBS, BSA, glycerol, and sodium azide (ab222736).

All lanes:

Immunoprecipitation - Anti-ICAM1 antibody [EPR22161-284] (<a href='/en-us/products/primary-antibodies/icam1-antibody-epr22161-284-ab222736'>ab222736</a>)

Predicted band size: 57 kDa

Observed band size: 110 kDa

false

Key facts

Host species

Rabbit

Clonality

Monoclonal

Clone number

EPR22161-284

Isotype

IgG

Carrier free

Yes

Reacts with

Mouse

Applications

IP, Flow Cyt, WB, ICC/IF, IHC-P

applications

Immunogen

The exact immunogen used to generate this antibody is proprietary information.

Reactivity data

{ "title": "Reactivity Data", "filters": { "stats": ["", "Species", "Dilution Info", "Notes"], "tabs": { "all-applications": {"fullname" : "All Applications", "shortname": "All Applications"}, "IP" : {"fullname" : "Immunoprecipitation", "shortname":"IP"}, "FlowCyt" : {"fullname" : "Flow Cytometry", "shortname":"Flow Cyt"}, "WB" : {"fullname" : "Western blot", "shortname":"WB"}, "ICCIF" : {"fullname" : "Immunocytochemistry/ Immunofluorescence", "shortname":"ICC/IF"}, "IHCP" : {"fullname" : "Immunohistochemistry (Formalin/PFA-fixed paraffin-embedded sections)", "shortname":"IHC-P"} }, "product-promise": { "all": "all", "testedAndGuaranteed": "tested", "guaranteed": "expected", "predicted": "predicted", "notRecommended": "not-recommended" } }, "values": { "Mouse": { "IP-species-checked": "testedAndGuaranteed", "IP-species-dilution-info": "", "IP-species-notes": "<p></p>", "FlowCyt-species-checked": "testedAndGuaranteed", "FlowCyt-species-dilution-info": "", "FlowCyt-species-notes": "<p></p>", "WB-species-checked": "guaranteed", "WB-species-dilution-info": "", "WB-species-notes": "<p></p>", "ICCIF-species-checked": "testedAndGuaranteed", "ICCIF-species-dilution-info": "", "ICCIF-species-notes": "<p></p>", "IHCP-species-checked": "testedAndGuaranteed", "IHCP-species-dilution-info": "", "IHCP-species-notes": "<p>Heat mediated antigen retrieval with Tris-EDTA buffer (pH 9.0, epitope retrieval solution 2) for 20 mins.</p>" } } }

Product details

ab239401 is the carrier-free version of ab222736.

Patented technology
Our RabMAb® technology is a patented hybridoma-based technology for making rabbit monoclonal antibodies. For details on our patents, please refer to RabMAb® patents.

What are the advantages of a recombinant monoclonal antibody?
This product is a recombinant monoclonal antibody, which offers several advantages including:

  • - High batch-to-batch consistency and reproducibility
  • - Improved sensitivity and specificity
  • - Long-term security of supply
  • - Animal-free batch production

For more information, read more on recombinant antibodies.

Conjugation ready
Our carrier-free antibodies are typically supplied in a PBS-only formulation, purified and free of BSA, sodium azide and glycerol. This conjugation-ready format is designed for use with fluorochromes, metal isotopes, oligonucleotides, and enzymes, which makes them ideal for antibody labelling, functional and cell-based assays, flow-based assays (e.g. mass cytometry) and Multiplex Imaging applications.

Use our conjugation kits for antibody conjugates that are ready-to-use in as little as 20 minutes with 1 minute hands-on-time and 100% antibody recovery: available for fluorescent dyes, HRP, biotin and gold.

Compatibility
This product is compatible with the Maxpar® Antibody Labeling Kit from Fluidigm, without the need for antibody preparation. Maxpar® is a trademark of Fluidigm Canada Inc.

Properties and storage information

Form
Liquid
Purification technique
Affinity purification Protein A
Storage buffer
pH: 7.2 - 7.4 Constituents: PBS
Shipped at conditions
Blue Ice
Appropriate short-term storage conditions
+4°C
Appropriate long-term storage conditions
+4°C
Storage information
Do Not Freeze

Product protocols

For this product, it's our understanding that no specific protocols are required. You can visit:

Target data

Cell adhesion molecule that functions as a receptor ligand of the signaling receptor ITGAL : ITGB2/LFA-1 (lymphocyte-function associated (LFA) molecule 1) ensuring leukocyte cell-cell adhesion, by providing a calibrated system to namely adjust T-cell killing to the antigen stimulation strength. Also functions as a ligand receptor of the signaling receptor ITGAM : ITGB2/MAC-1 ensuring adhesion between stimulated neutrophils and stimulated endothelial cells. During leukocyte trans-endothelial migration, ICAM1 engagement promotes the assembly of endothelial apical cups through ARHGEF26/SGEF and RHOG activation. Promotes cell aggregation in epithelial cells through interaction with MUC1.
See full target information Icam1

Publications (1)

Recent publications for all applications. Explore the full list and refine your search

Journal of translational medicine 22:46 PubMed38212795

2024

ANGPTL4 accelerates ovarian serous cystadenocarcinoma carcinogenesis and angiogenesis in the tumor microenvironment by activating the JAK2/STAT3 pathway and interacting with ESM1.

Applications

Unspecified application

Species

Unspecified reactive species

Yu-Kun Li,An-Bo Gao,Tian Zeng,Dan Liu,Qun-Feng Zhang,Xiao-Min Ran,Zhen-Zi Tang,Yan Li,Jue Liu,Ting Zhang,Gang-Qing Shi,Wen-Chao Zhou,Wen-da Zou,Juan Peng,Juan Zhang,Hui Li,Juan Zou
View all publications

Product promise

We are committed to supporting your work with high-quality reagents, and we're here for you every step of the way. In the unlikely event that one of our products does not perform as expected, you're protected by our Product Promise.
For full details, please see our Terms & Conditions

Please note: All products are 'FOR RESEARCH USE ONLY. NOT FOR USE IN DIAGNOSTIC OR THERAPEUTIC PROCEDURES'.

For licensing inquiries, please contact partnerships@abcam.com