JavaScript is disabled in your browser. Please enable JavaScript to view this website.
AB282599

Anti-ICAM1 antibody [EPR24639-3] - BSA and Azide free

  • BOND RX™ Validated
  • RabMAb
  • Recombinant
  • KO Validated
  • What is this?

Be the first to review this product! Submit a review

|

(0 Publication)

Rabbit Recombinant Monoclonal ICAM1 antibody. Carrier free. Suitable for IP, Flow Cyt, WB, IHC-P, ICC/IF and reacts with Human, Rat samples.

View Alternative Names

CD54, Intercellular adhesion molecule 1, ICAM-1, Major group rhinovirus receptor, ICAM1

12 Images
Immunohistochemistry (Formalin/PFA-fixed paraffin-embedded sections) - Anti-ICAM1 antibody [EPR24639-3] - BSA and Azide free (AB282599)
  • IHC-P

Supplier Data

Immunohistochemistry (Formalin/PFA-fixed paraffin-embedded sections) - Anti-ICAM1 antibody [EPR24639-3] - BSA and Azide free (AB282599)

This data was developed using ab282575, the same antibody clone in a different buffer formulation.

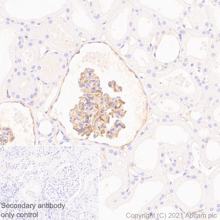
Immunohistochemical analysis of paraffin-embedded human kidney tissue labelling ICAM1 with ab282575 at 1/600 (0.902 μg/ml) dilution followed by a ready to use LeicaDS9800 (Bond™ Polymer Refine Detection). Positive staining on normal human glomerulus. The section was incubated with ab282575 for 30 mins at room temperature. The immunostaining was performed on a Leica Biosystems BOND® RX instrument. Counterstained with Hematoxylin.

Secondary antibody only control : Secondary antibody is a ready to use LeicaDS9800 (Bond™ Polymer Refine Detection).

Heat mediated antigen retrieval with Tris-EDTA buffer (pH 9.0, epitope retrieval solution2) for 20 mins.

Flow Cytometry - Anti-ICAM1 antibody [EPR24639-3] - BSA and Azide free (AB282599)
  • Flow Cyt

Supplier Data

Flow Cytometry - Anti-ICAM1 antibody [EPR24639-3] - BSA and Azide free (AB282599)

This data was developed using ab282575, the same antibody clone in a different buffer formulation.

Flow cytometric analysis of Raji (Human Burkitt's lymphoma B lymphocyte) cells labelling ICAM1 with ab282575 at 1/500 dilution (0.1 μg)/(Red) compared with a Rabbit monoclonal IgG (ab172730) (Black) isotype control and an unlabelled control (cells without incubation with primary antibody and secondary antibody) (Blue). Goat anti rabbit IgG (Alexa Fluor® 488, ab150077) at 1/2000 dilution was used as the secondary antibody.

Gated on viable cells.

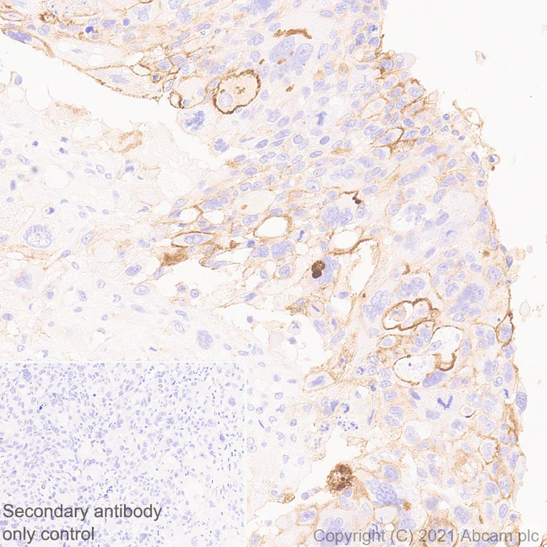
Immunohistochemistry (Formalin/PFA-fixed paraffin-embedded sections) - Anti-ICAM1 antibody [EPR24639-3] - BSA and Azide free (AB282599)
  • IHC-P

Supplier Data

Immunohistochemistry (Formalin/PFA-fixed paraffin-embedded sections) - Anti-ICAM1 antibody [EPR24639-3] - BSA and Azide free (AB282599)

This data was developed using ab282575, the same antibody clone in a different buffer formulation.

Immunohistochemical analysis of paraffin-embedded human breast cancer tissue labelling ICAM1 with ab282575 at 1/600 (0.902 μg/ml) dilution followed by a ready to use LeicaDS9800 (Bond™ Polymer Refine Detection). Positive staining on human breast cancer (PMID : 30082828). The section was incubated with ab282575 for 30 mins at room temperature. The immunostaining was performed on a Leica Biosystems BOND® RX instrument. Counterstained with Hematoxylin.

Secondary antibody only control : Secondary antibody is a ready to use LeicaDS9800 (Bond™ Polymer Refine Detection).

Heat mediated antigen retrieval with Tris-EDTA buffer (pH 9.0, epitope retrieval solution2) for 20 mins.

Immunocytochemistry/ Immunofluorescence - Anti-ICAM1 antibody [EPR24639-3] - BSA and Azide free (AB282599)
  • ICC/IF

Supplier Data

Immunocytochemistry/ Immunofluorescence - Anti-ICAM1 antibody [EPR24639-3] - BSA and Azide free (AB282599)

This data was developed using ab282575, the same antibody clone in a different buffer formulation.

Immunofluorescent analysis of 4% Paraformaldehyde-fixed, 0.1% Triton X-100 permeabilized Raji cells labelling ICAM1 with ab282575 at 1/500 (1.082 μg/ml) dilution, followed by ab150077 Goat Anti-Rabbit IgG H&L (Alexa Fluor® 488) antibody at 1/1000 dilution (Green). Confocal image showing membranous staining in Raji cells.

ab195889 Anti-alpha Tubulin mouse monoclonal antibody - Microtubule Marker (Alexa Fluor® 594) was used to counterstain tubulin at 1/200 dilution (Red). The nuclear counterstain was DAPI (Blue).

Secondary antibody only control : Secondary antibody is ab150077 Goat Anti-Rabbit IgG H&L (Alexa Fluor® 488) at 1/1000 dilution.

Immunocytochemistry - Anti-ICAM1 antibody [EPR24639-3] - BSA and Azide free (AB282599)
  • ICC

Lab

Immunocytochemistry - Anti-ICAM1 antibody [EPR24639-3] - BSA and Azide free (AB282599)

This data was developed using ab282575, the same antibody clone in a different buffer formulation.

Immunofluorescent analysis of 4% Paraformaldehyde-fixed, 0.1% Triton X-100 permeabilized ICAM1 KO HeLa cells labelling ICAM1 with ab282575 at 1/500 (1.082 μg/ml) dilution, followed by ab150081 Goat Anti-Rabbit IgG H&L (Alexa Fluor® 488) preadsorbed antibody at 1/1000 dilution (Green). Confocal image showing membranous staining in wild-type HeLa cells, and no staining in ICAM1 knockout HeLa cells is observed.

ab195889 Anti-alpha Tubulin mouse monoclonal antibody - Microtubule Marker (Alexa Fluor® 594) was used to counterstain tubulin at 1/200 dilution (Red). The nuclear counterstain was DAPI (Blue).

Secondary antibody only control : Secondary antibody is ab150081 Goat Anti-Rabbit IgG H&L (Alexa Fluor® 488) preadsorbed at 1/1000 dilution.

Immunoprecipitation - Anti-ICAM1 antibody [EPR24639-3] - BSA and Azide free (AB282599)
  • IP

Supplier Data

Immunoprecipitation - Anti-ICAM1 antibody [EPR24639-3] - BSA and Azide free (AB282599)

This data was developed using ab282575, the same antibody clone in a different buffer formulation.

ICAM1 was immunoprecipitated from 0.35 mg Raji (human burkitt's lymphoma b lymphocyte) whole cell lysate 10 μg with ab282575 at 1/30 dilution (2 μg in 0.35 mg lysates). Western blot was performed on the immunoprecipitate using ab282575 at 1/1000 dilution. VeriBlot for IP secondary antibody(HRP)(ab131366) was used at 1/5000 dilution.

Lane 1 : Raji whole cell lysate 10 μg

Lane 2 : ab282575 IP in Raji whole cell lysate

Lane 3 : Rabbit monoclonal IgG (ab172730) instead of ab282575 in Raji whole cell lysate

Blocking and dilution buffer and concentration : 5% NFDM/TBST.

Exposure time : 3 minutes.

All lanes:

Immunoprecipitation - Anti-ICAM1 antibody [EPR24639-3] (<a href='/en-us/products/primary-antibodies/icam1-antibody-epr24639-3-ab282575'>ab282575</a>)

Predicted band size: 57 kDa

Observed band size: 90 kDa

false

Flow Cytometry - Anti-ICAM1 antibody [EPR24639-3] - BSA and Azide free (AB282599)
  • Flow Cyt

Supplier Data

Flow Cytometry - Anti-ICAM1 antibody [EPR24639-3] - BSA and Azide free (AB282599)

This data was developed using ab282575, the same antibody clone in a different buffer formulation.

Flow cytometric analysis of C6 (Rat glial tumor glial cell) cells labelling ICAM1 with ab282575 at 1/500 dilution (0.1 μg)/(red) compared with a Rabbit monoclonal IgG (ab172730) (Black) isotype control and an unlabelled control (cells without incubation with primary antibody and secondary antibody) (Blue). Goat anti rabbit IgG (Alexa Fluor® 488, ab150077) at 1/2000 dilution was used as the secondary antibody.

Gated on viable cells.

Flow Cytometry - Anti-ICAM1 antibody [EPR24639-3] - BSA and Azide free (AB282599)
  • Flow Cyt

Supplier Data

Flow Cytometry - Anti-ICAM1 antibody [EPR24639-3] - BSA and Azide free (AB282599)

This data was developed using ab282575, the same antibody clone in a different buffer formulation.

Flow cytometric analysis of rat splenocytes cells labelling ICAM1 with ab282575 at 1/500 dilution (0.1 μg)/ Right compared with a Rabbit monoclonal IgG (ab172730) / Left isotype control. A goat anti rabbit IgG (Alexa Fluor® 488, ab150077) at 1/2000 dilution was used as the secondary antibody.

Gated on viable cells.

Western blot - Anti-ICAM1 antibody [EPR24639-3] - BSA and Azide free (AB282599)
  • WB

Lab

Western blot - Anti-ICAM1 antibody [EPR24639-3] - BSA and Azide free (AB282599)

This data was developed using ab282575, the same antibody clone in a different buffer formulation.

Lanes 1-3 : Merged signal (red and green). Green - ab282575 observed at 90kDa. Red - loading control ab8245 observed at 36 kDa.

ab282575 Anti-ICAM1 antibody [EPR24639-3] was shown to react with ICAM1 in wild-type Hela cells in Western blot. Loss of signal was observed when knockout cell line ab261742 (knockout cell lysate ab256947) was used. Wild-type and ICAM1 knockout samples were subjected to SDS-PAGE.

ab282575 and Anti-GAPDH antibody [6C5] - Loading Control (ab8245) were incubated at 4°C overnight at 1 in 1000 dilution and 1 in 20000 dilution respectively. Blots were developed with Goat anti-Rabbit IgG H&L (IRDye® 800CW) preadsorbed (ab216773) and Goat anti-Mouse IgG H&L (IRDye® 680RD) preadsorbed (ab216776) secondary antibodies at 1 in 10000 dilution for 1 hour at room temperature before imaging.

All lanes:

Western blot - Anti-ICAM1 antibody [EPR24639-3] (<a href='/en-us/products/primary-antibodies/icam1-antibody-epr24639-3-ab282575'>ab282575</a>) at 1/1000 dilution

Lane 1:

Wild-type HeLa (human cervix adenocarcinoma epithelial cell) whole cell lysate at 20 µg

Lane 2:

ICAM1 knockout HeLa whole cell lysate at 20 µg

Lane 2:

Western blot - Human ICAM1 knockout HeLa cell line (<a href='/en-us/products/cell-lines/human-icam1-knockout-hela-cell-line-ab261742'>ab261742</a>)

Lane 3:

Ramos (Human Burkitt's lymphoma B lymphocyte) whole cell lysate at 20 µg

Secondary

All lanes:

Goat Anti-Rabbit IgG H&L (IRDye® 800CW) (<a href='/en-us/products/secondary-antibodies/goat-rabbit-igg-h-l-irdye-800cw-preadsorbed-ab216773'>ab216773</a>) and Goat Anti-Mouse IgG H&L (IRDye® 680RD) (<a href='/en-us/products/secondary-antibodies/goat-mouse-igg-h-l-irdye-680rd-preadsorbed-ab216776'>ab216776</a>) at 1/10000 dilution

Predicted band size: 57 kDa

Observed band size: 90 kDa

false

Western blot - Anti-ICAM1 antibody [EPR24639-3] - BSA and Azide free (AB282599)
  • WB

Lab

Western blot - Anti-ICAM1 antibody [EPR24639-3] - BSA and Azide free (AB282599)

This data was developed using ab282575, the same antibody clone in a different buffer formulation.

Blocking and diluting buffer and concentration : 5% NFDM/TBST

ab282575 Anti-ICAM1 antibody [EPR24639-3] was shown to react with ICAM1 in wild-type Hela cells in Western blot. Loss of signal was observed when knockout cell line ab261742 (knockout cell lysate ab256947) was used. Wild-type and ICAM1 knockout samples were subjected to SDS-PAGE.

Exposure time : 15 seconds.

All lanes:

Western blot - Anti-ICAM1 antibody [EPR24639-3] (<a href='/en-us/products/primary-antibodies/icam1-antibody-epr24639-3-ab282575'>ab282575</a>) at 1/1000 dilution

Lane 1:

Wild-type HeLa (human cervix adenocarcinoma epithelial cell) whole cell lysate at 20 µg

Lane 2:

ICAM1 knockout Hela whole cell lysate at 20 µg

Secondary

All lanes:

Western blot - Goat Anti-Rabbit IgG H&L (HRP) (<a href='/en-us/products/secondary-antibodies/goat-rabbit-igg-h-l-hrp-ab97051'>ab97051</a>) at 1/20000 dilution

Predicted band size: 57 kDa

Observed band size: 90 kDa

false

Western blot - Anti-ICAM1 antibody [EPR24639-3] - BSA and Azide free (AB282599)
  • WB

Lab

Western blot - Anti-ICAM1 antibody [EPR24639-3] - BSA and Azide free (AB282599)

This data was developed using ab282575, the same antibody clone in a different buffer formulation.

Blocking and diluting buffer and concentration : 5% NFDM/TBST

Exposure time : 26 seconds

All lanes:

Western blot - Anti-ICAM1 antibody [EPR24639-3] (<a href='/en-us/products/primary-antibodies/icam1-antibody-epr24639-3-ab282575'>ab282575</a>) at 1/1000 dilution

All lanes:

human kidney tissue lysate at 20 µg

Secondary

All lanes:

Western blot - VeriBlot for IP Detection Reagent (HRP) (<a href='/en-us/products/reagents/veriblot-for-ip-detection-reagent-hrp-ab131366'>ab131366</a>) at 1/1000 dilution

Predicted band size: 57 kDa

Observed band size: 90 kDa

false

Western blot - Anti-ICAM1 antibody [EPR24639-3] - BSA and Azide free (AB282599)
  • WB

Lab

Western blot - Anti-ICAM1 antibody [EPR24639-3] - BSA and Azide free (AB282599)

This data was developed using ab282575, the same antibody clone in a different buffer formulation.

Blocking and diluting buffer and concentration : 5% NFDM/TBST

Exposure time : 15 seconds

All lanes:

Western blot - Anti-ICAM1 antibody [EPR24639-3] (<a href='/en-us/products/primary-antibodies/icam1-antibody-epr24639-3-ab282575'>ab282575</a>) at 1/1000 dilution

Lane 1:

Ramos (human Burkitt's lymphoma B lymphocyte) whole cell lysate at 20 µg

Lane 2:

Raji (human Burkitts lymphoma B lymphocyte) whole cell lysate at 20 µg

Secondary

All lanes:

Western blot - Goat Anti-Rabbit IgG H&L (HRP) (<a href='/en-us/products/secondary-antibodies/goat-rabbit-igg-h-l-hrp-ab97051'>ab97051</a>) at 1/20000 dilution

Predicted band size: 57 kDa

Observed band size: 90 kDa

false

Key facts

Host species

Rabbit

Clonality

Monoclonal

Clone number

EPR24639-3

Isotype

IgG

Carrier free

Yes

Reacts with

Rat, Human

Applications

WB, IP, Flow Cyt, IHC-P, ICC/IF

applications

Immunogen

The exact immunogen used to generate this antibody is proprietary information.

Specificity

Rat species is recommended based on Flow Cyt result. We do not guarantee other applications for rat.

Reactivity data

{ "title": "Reactivity Data", "filters": { "stats": ["", "Species", "Dilution Info", "Notes"], "tabs": { "all-applications": {"fullname" : "All Applications", "shortname": "All Applications"}, "IP" : {"fullname" : "Immunoprecipitation", "shortname":"IP"}, "FlowCyt" : {"fullname" : "Flow Cytometry", "shortname":"Flow Cyt"}, "WB" : {"fullname" : "Western blot", "shortname":"WB"}, "IHCP" : {"fullname" : "Immunohistochemistry (Formalin/PFA-fixed paraffin-embedded sections)", "shortname":"IHC-P"}, "ICCIF" : {"fullname" : "Immunocytochemistry/ Immunofluorescence", "shortname":"ICC/IF"}, "IHCFr" : {"fullname" : "Immunohistochemistry (Frozen sections)", "shortname":"IHC-Fr"} }, "product-promise": { "all": "all", "testedAndGuaranteed": "tested", "guaranteed": "expected", "predicted": "predicted", "notRecommended": "not-recommended" } }, "values": { "Human": { "IP-species-checked": "testedAndGuaranteed", "IP-species-dilution-info": "", "IP-species-notes": "<p></p>", "FlowCyt-species-checked": "testedAndGuaranteed", "FlowCyt-species-dilution-info": "", "FlowCyt-species-notes": "<p></p>", "WB-species-checked": "testedAndGuaranteed", "WB-species-dilution-info": "", "WB-species-notes": "<p></p>", "IHCP-species-checked": "testedAndGuaranteed", "IHCP-species-dilution-info": "", "IHCP-species-notes": "<p></p>", "ICCIF-species-checked": "testedAndGuaranteed", "ICCIF-species-dilution-info": "", "ICCIF-species-notes": "<p></p>", "IHCFr-species-checked": "notRecommended", "IHCFr-species-dilution-info": "", "IHCFr-species-notes": "" }, "Mouse": { "IP-species-checked": "notRecommended", "IP-species-dilution-info": "", "IP-species-notes": "", "FlowCyt-species-checked": "notRecommended", "FlowCyt-species-dilution-info": "", "FlowCyt-species-notes": "<p></p>", "WB-species-checked": "notRecommended", "WB-species-dilution-info": "", "WB-species-notes": "<p></p>", "IHCP-species-checked": "notRecommended", "IHCP-species-dilution-info": "", "IHCP-species-notes": "<p></p>", "ICCIF-species-checked": "notRecommended", "ICCIF-species-dilution-info": "", "ICCIF-species-notes": "<p></p>", "IHCFr-species-checked": "notRecommended", "IHCFr-species-dilution-info": "", "IHCFr-species-notes": "<p></p>" }, "Rat": { "IP-species-checked": "guaranteed", "IP-species-dilution-info": "", "IP-species-notes": "", "FlowCyt-species-checked": "testedAndGuaranteed", "FlowCyt-species-dilution-info": "", "FlowCyt-species-notes": "<p></p>", "WB-species-checked": "notRecommended", "WB-species-dilution-info": "", "WB-species-notes": "<p></p>", "IHCP-species-checked": "notRecommended", "IHCP-species-dilution-info": "", "IHCP-species-notes": "<p></p>", "ICCIF-species-checked": "notRecommended", "ICCIF-species-dilution-info": "", "ICCIF-species-notes": "<p></p>", "IHCFr-species-checked": "notRecommended", "IHCFr-species-dilution-info": "", "IHCFr-species-notes": "<p></p>" } } }

Product details

ab282599 is the carrier-free version of ab282575.

Patented technology
Our RabMAb® technology is a patented hybridoma-based technology for making rabbit monoclonal antibodies. For details on our patents, please refer to RabMAb® patents.

What are the advantages of a recombinant monoclonal antibody?
This product is a recombinant monoclonal antibody, which offers several advantages including:

  • - High batch-to-batch consistency and reproducibility
  • - Improved sensitivity and specificity
  • - Long-term security of supply
  • - Animal-free batch production

For more information, read more on recombinant antibodies.

Conjugation ready
Our carrier-free antibodies are typically supplied in a PBS-only formulation, purified and free of BSA, sodium azide and glycerol. This conjugation-ready format is designed for use with fluorochromes, metal isotopes, oligonucleotides, and enzymes, which makes them ideal for antibody labelling, functional and cell-based assays, flow-based assays (e.g. mass cytometry) and Multiplex Imaging applications.

Use our conjugation kits for antibody conjugates that are ready-to-use in as little as 20 minutes with 1 minute hands-on-time and 100% antibody recovery: available for fluorescent dyes, HRP, biotin and gold.

Compatibility
This product is compatible with the Maxpar® Antibody Labeling Kit from Fluidigm, without the need for antibody preparation. Maxpar® is a trademark of Fluidigm Canada Inc.

Properties and storage information

Form
Liquid
Purification technique
Affinity purification Protein A
Storage buffer
Constituents: PBS
Shipped at conditions
Blue Ice
Appropriate short-term storage conditions
+4°C
Appropriate long-term storage conditions
+4°C

Product protocols

For this product, it's our understanding that no specific protocols are required. You can visit:

Target data

ICAM proteins are ligands for the leukocyte adhesion protein LFA-1 (integrin alpha-L/beta-2). During leukocyte trans-endothelial migration, ICAM1 engagement promotes the assembly of endothelial apical cups through ARHGEF26/SGEF and RHOG activation.. (Microbial infection) Acts as a receptor for major receptor group rhinovirus A-B capsid proteins.. (Microbial infection) Acts as a receptor for Coxsackievirus A21 capsid proteins.. (Microbial infection) Upon Kaposi's sarcoma-associated herpesvirus/HHV-8 infection, is degraded by viral E3 ubiquitin ligase MIR2, presumably to prevent lysis of infected cells by cytotoxic T-lymphocytes and NK cell.
See full target information ICAM1

Product promise

We are committed to supporting your work with high-quality reagents, and we're here for you every step of the way. In the unlikely event that one of our products does not perform as expected, you're protected by our Product Promise.
For full details, please see our Terms & Conditions

Please note: All products are 'FOR RESEARCH USE ONLY. NOT FOR USE IN DIAGNOSTIC OR THERAPEUTIC PROCEDURES'.

For licensing inquiries, please contact partnerships@abcam.com