JavaScript is disabled in your browser. Please enable JavaScript to view this website.
AB231564

Anti-ICAM2 antibody

Be the first to review this product! Submit a review

|

(1 Publication)

Rabbit Polyclonal ICAM2 antibody. Suitable for WB, IHC-P and reacts with Mouse, Human samples. Cited in 1 publication. Immunogen corresponding to Recombinant Fragment Protein within Mouse Icam2 aa 1-250.

View Alternative Names

CD102, Intercellular adhesion molecule 2, ICAM-2, ICAM2

3 Images
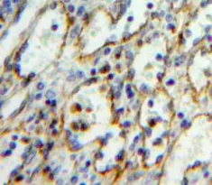
Immunohistochemistry (Formalin/PFA-fixed paraffin-embedded sections) - Anti-ICAM2 antibody (AB231564)
  • IHC-P

Supplier Data

Immunohistochemistry (Formalin/PFA-fixed paraffin-embedded sections) - Anti-ICAM2 antibody (AB231564)

Formalin-fixed, paraffin-embedded mouse spleen tissue stained for ICAM2 using ab231564 at 20 μg/ml in immunohistochemical analysis. DAB staining.

Western blot - Anti-ICAM2 antibody (AB231564)
  • WB

Supplier Data

Western blot - Anti-ICAM2 antibody (AB231564)

All lanes:

Western blot - Anti-ICAM2 antibody (ab231564) at 2 µg/mL

All lanes:

HeLa (human epithelial cell line from cervix adenocarcinoma) cell lysate

Predicted band size: 31 kDa

false

Western blot - Anti-ICAM2 antibody (AB231564)
  • WB

Supplier Data

Western blot - Anti-ICAM2 antibody (AB231564)

All lanes:

Western blot - Anti-ICAM2 antibody (ab231564) at 2 µg/mL

All lanes:

Recombinant mouse ICAM2 protein

Predicted band size: 31 kDa

false

Key facts

Host species

Rabbit

Clonality

Polyclonal

Isotype

IgG

Carrier free

No

Reacts with

Mouse, Human

Applications

IHC-P, WB

applications

Immunogen

Recombinant Fragment Protein within Mouse Icam2 aa 1-250. The exact immunogen used to generate this antibody is proprietary information.

P35330

Reactivity data

{ "title": "Reactivity Data", "filters": { "stats": ["", "Species", "Dilution Info", "Notes"], "tabs": { "all-applications": {"fullname" : "All Applications", "shortname": "All Applications"}, "WB" : {"fullname" : "Western blot", "shortname":"WB"}, "IHCP" : {"fullname" : "Immunohistochemistry (Formalin/PFA-fixed paraffin-embedded sections)", "shortname":"IHC-P"} }, "product-promise": { "all": "all", "testedAndGuaranteed": "tested", "guaranteed": "expected", "predicted": "predicted", "notRecommended": "not-recommended" } }, "values": { "Human": { "WB-species-checked": "testedAndGuaranteed", "WB-species-dilution-info": "0.2-2 µg/mL", "WB-species-notes": "<p></p>", "IHCP-species-checked": "guaranteed", "IHCP-species-dilution-info": "", "IHCP-species-notes": "" }, "Mouse": { "WB-species-checked": "testedAndGuaranteed", "WB-species-dilution-info": "0.2-2 µg/mL", "WB-species-notes": "<p></p>", "IHCP-species-checked": "testedAndGuaranteed", "IHCP-species-dilution-info": "5-20 µg/mL", "IHCP-species-notes": "<p></p>" } } }

Properties and storage information

Form
Liquid
Purification technique
Affinity purification Immunogen
Purification notes
ab231564 was purified by antigen-specific affinity chromatography followed by Protein A affinity chromatography.
Storage buffer
pH: 7.4 Preservative: 0.02% Sodium azide Constituents: PBS, 55.77% Glycerol (glycerin, glycerine)
Shipped at conditions
Blue Ice
Appropriate short-term storage duration
1-2 weeks
Appropriate short-term storage conditions
+4°C
Appropriate long-term storage conditions
-20°C
Aliquoting information
Upon delivery aliquot
Storage information
Avoid freeze / thaw cycle

Supplementary information

This supplementary information is collated from multiple sources and compiled automatically.

ICAM2 also known as IC2 or ICAM-2 is a cell surface glycoprotein with a molecular mass of approximately 55-65 kDa. It plays an important role in immune response. The protein belongs to the immunoglobulin superfamily and interacts specifically with integrin molecules. ICAM2 is expressed widely across many tissues including endothelial cells platelets and leukocytes. Its primary function involves facilitating stable adhesion between leukocytes and endothelial cells which is essential for leukocyte transmigration.
Biological function summary

ICAM2 helps in immune function by serving as an adhesion molecule. It does not form part of a larger protein complex but instead it acts independently to mediate interactions between cells. It contributes to leukocyte rolling and firm adhesion stages necessary for leukocyte extravasation. This function is important in immune surveillance and response to infection allowing immune cells to quickly migrate to sites of inflammation.

Pathways

ICAM2 operates in the leukocyte adhesion and transendothelial migration pathways. It interacts closely with integrins especially LFA-1 present on leukocytes and this interaction supports cell movement during immune responses. It also participates in signaling pathways that activate immune cells further aiding in the regulation of immune cell activity. These interactions make ICAM2 a critical component in immunological communication and signal transduction pathways.

ICAM2 is associated with conditions involving immune dysfunction and inflammation. For instance abnormal expression of ICAM2 has been linked to inflammatory diseases such as atherosclerosis. Additionally it plays a role in the pathology of multiple sclerosis where it might influence the migration of immune cells across the blood-brain barrier. Its relationship with integrins highlights its potential relevance in therapeutic strategies to modulate immune responses in these diseases.

Product protocols

For this product, it's our understanding that no specific protocols are required. You can visit:

Target data

ICAM proteins are ligands for the leukocyte adhesion protein LFA-1 (integrin alpha-L/beta-2). ICAM2 may play a role in lymphocyte recirculation by blocking LFA-1-dependent cell adhesion. It mediates adhesive interactions important for antigen-specific immune response, NK-cell mediated clearance, lymphocyte recirculation, and other cellular interactions important for immune response and surveillance.
See full target information ICAM2

Publications (1)

Recent publications for all applications. Explore the full list and refine your search

Journal of Cancer 16:2388-2400 PubMed40302797

2025

MiR-371b-5p reduces osteosarcoma cell migration and proliferation to induce apoptosis by targeting FUT4.

Applications

Unspecified application

Species

Unspecified reactive species

Qiang Xue,Ruicong Ma,YueYuan Chen,Xiaodi Yan,Jiajia Liu,Jianhua Xue,Yang Yang,Xianchen Liu
View all publications

Product promise

We are committed to supporting your work with high-quality reagents, and we're here for you every step of the way. In the unlikely event that one of our products does not perform as expected, you're protected by our Product Promise.
For full details, please see our Terms & Conditions

Please note: All products are 'FOR RESEARCH USE ONLY. NOT FOR USE IN DIAGNOSTIC OR THERAPEUTIC PROCEDURES'.

For licensing inquiries, please contact partnerships@abcam.com