JavaScript is disabled in your browser. Please enable JavaScript to view this website.
AB225802

Anti-ICAM2 antibody [EPR19114-113] - BSA and Azide free

Be the first to review this product! Submit a review

|

(1 Publication)

Rabbit Recombinant Monoclonal ICAM2 antibody. Carrier free. Suitable for WB, IHC-P and reacts with Human samples. Cited in 1 publication.

View Alternative Names

CD102, Intercellular adhesion molecule 2, ICAM-2, ICAM2

2 Images
Immunohistochemistry (Formalin/PFA-fixed paraffin-embedded sections) - Anti-ICAM2 antibody [EPR19114-113] - BSA and Azide free (AB225802)
  • IHC-P

Supplier Data

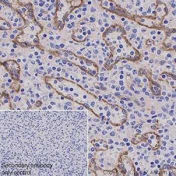
Immunohistochemistry (Formalin/PFA-fixed paraffin-embedded sections) - Anti-ICAM2 antibody [EPR19114-113] - BSA and Azide free (AB225802)

Immunohistochemical analysis of paraffin-embedded human spleen tissue labeling ICAM2 with ab197570 at 1/4000 dilution, followed by a Goat Anti-Rabbit IgG H&L (HRP) ready to use. Membranous staining on vascular endothelium of human spleen (PMID : 1676048) is observed. Counter stained with hematoxylin.
Secondary antibody only control : Used PBS instead of primary antibody, secondary antibody is a Goat Anti-Rabbit IgG H&L (HRP) ready to use.
Perform heat mediated antigen retrieval using ab93684 (Tris/EDTA buffer, pH 9.0).

This data was developed using the same antibody clone in a different buffer formulation containing PBS, BSA, glycerol, and sodium azide (ab197570).

Immunohistochemistry (Formalin/PFA-fixed paraffin-embedded sections) - Anti-ICAM2 antibody [EPR19114-113] - BSA and Azide free (AB225802)
  • IHC-P

Supplier Data

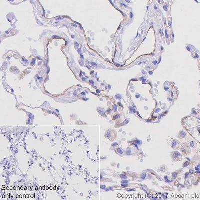
Immunohistochemistry (Formalin/PFA-fixed paraffin-embedded sections) - Anti-ICAM2 antibody [EPR19114-113] - BSA and Azide free (AB225802)

Immunohistochemical analysis of paraffin-embedded human lung tissue labeling ICAM2 with ab197570 at 1/4000 dilution, followed by a Goat Anti-Rabbit IgG H&L (HRP) ready to use. Membranous staining on vascular endothelium of human lung (PMID : 1676048) is observed. Counter stained with hematoxylin.
Secondary antibody only control : Used PBS instead of primary antibody, secondary antibody is a Goat Anti-Rabbit IgG H&L (HRP) ready to use.
Perform heat mediated antigen retrieval using ab93684 (Tris/EDTA buffer, pH 9.0).

This data was developed using the same antibody clone in a different buffer formulation containing PBS, BSA, glycerol, and sodium azide (ab197570).

Key facts

Host species

Rabbit

Clonality

Monoclonal

Clone number

EPR19114-113

Isotype

IgG

Carrier free

Yes

Reacts with

Human

Applications

WB, IHC-P

applications

Immunogen

The exact immunogen used to generate this antibody is proprietary information.

Reactivity data

{ "title": "Reactivity Data", "filters": { "stats": ["", "Species", "Dilution Info", "Notes"], "tabs": { "all-applications": {"fullname" : "All Applications", "shortname": "All Applications"}, "WB" : {"fullname" : "Western blot", "shortname":"WB"}, "IHCP" : {"fullname" : "Immunohistochemistry (Formalin/PFA-fixed paraffin-embedded sections)", "shortname":"IHC-P"} }, "product-promise": { "all": "all", "testedAndGuaranteed": "tested", "guaranteed": "expected", "predicted": "predicted", "notRecommended": "not-recommended" } }, "values": { "Human": { "WB-species-checked": "guaranteed", "WB-species-dilution-info": "", "WB-species-notes": "<p></p>", "IHCP-species-checked": "testedAndGuaranteed", "IHCP-species-dilution-info": "", "IHCP-species-notes": "<p></p>" } } }

Product details

ab225802 is the carrier-free version of ab197570.

Patented technology
Our RabMAb® technology is a patented hybridoma-based technology for making rabbit monoclonal antibodies. For details on our patents, please refer to RabMAb® patents.

Conjugation ready
Our carrier-free antibodies are typically supplied in a PBS-only formulation, purified and free of BSA, sodium azide and glycerol. This conjugation-ready format is designed for use with fluorochromes, metal isotopes, oligonucleotides, and enzymes, which makes them ideal for antibody labelling, functional and cell-based assays, flow-based assays (e.g. mass cytometry) and Multiplex Imaging applications.

Use our conjugation kits for antibody conjugates that are ready-to-use in as little as 20 minutes with 1 minute hands-on-time and 100% antibody recovery: available for fluorescent dyes, HRP, biotin and gold.

Compatibility
This product is compatible with the Maxpar® Antibody Labeling Kit from Fluidigm, without the need for antibody preparation. Maxpar® is a trademark of Fluidigm Canada Inc.

Properties and storage information

Form
Liquid
Purification technique
Affinity purification Protein A
Storage buffer
pH: 7.2 - 7.4 Constituents: PBS
Shipped at conditions
Blue Ice
Appropriate short-term storage conditions
+4°C
Appropriate long-term storage conditions
+4°C
Storage information
Do Not Freeze

Supplementary information

This supplementary information is collated from multiple sources and compiled automatically.

ICAM2 also known as IC2 or ICAM-2 is a cell surface glycoprotein with a molecular mass of approximately 55-65 kDa. It plays an important role in immune response. The protein belongs to the immunoglobulin superfamily and interacts specifically with integrin molecules. ICAM2 is expressed widely across many tissues including endothelial cells platelets and leukocytes. Its primary function involves facilitating stable adhesion between leukocytes and endothelial cells which is essential for leukocyte transmigration.
Biological function summary

ICAM2 helps in immune function by serving as an adhesion molecule. It does not form part of a larger protein complex but instead it acts independently to mediate interactions between cells. It contributes to leukocyte rolling and firm adhesion stages necessary for leukocyte extravasation. This function is important in immune surveillance and response to infection allowing immune cells to quickly migrate to sites of inflammation.

Pathways

ICAM2 operates in the leukocyte adhesion and transendothelial migration pathways. It interacts closely with integrins especially LFA-1 present on leukocytes and this interaction supports cell movement during immune responses. It also participates in signaling pathways that activate immune cells further aiding in the regulation of immune cell activity. These interactions make ICAM2 a critical component in immunological communication and signal transduction pathways.

ICAM2 is associated with conditions involving immune dysfunction and inflammation. For instance abnormal expression of ICAM2 has been linked to inflammatory diseases such as atherosclerosis. Additionally it plays a role in the pathology of multiple sclerosis where it might influence the migration of immune cells across the blood-brain barrier. Its relationship with integrins highlights its potential relevance in therapeutic strategies to modulate immune responses in these diseases.

Product protocols

For this product, it's our understanding that no specific protocols are required. You can visit:

Target data

ICAM proteins are ligands for the leukocyte adhesion protein LFA-1 (integrin alpha-L/beta-2). ICAM2 may play a role in lymphocyte recirculation by blocking LFA-1-dependent cell adhesion. It mediates adhesive interactions important for antigen-specific immune response, NK-cell mediated clearance, lymphocyte recirculation, and other cellular interactions important for immune response and surveillance.
See full target information ICAM2

Publications (1)

Recent publications for all applications. Explore the full list and refine your search

Molecular neurobiology 60:3741-3757 PubMed36940077

2023

The Aldose Reductase Inhibitor Epalrestat Maintains Blood-Brain Barrier Integrity by Enhancing Endothelial Cell Function during Cerebral Ischemia.

Applications

Unspecified application

Species

Unspecified reactive species

Tongshuai Zhang,Jinrong Wu,Xinmin Yao,Yao Zhang,Yue Wang,Yang Han,Yun Wu,Zhenyu Xu,Jing Lan,Siyu Han,Haifeng Zou,Qixu Sun,Dandan Wang,Jingyu Zhang,Guangyou Wang
View all publications

Product promise

We are committed to supporting your work with high-quality reagents, and we're here for you every step of the way. In the unlikely event that one of our products does not perform as expected, you're protected by our Product Promise.
For full details, please see our Terms & Conditions

Please note: All products are 'FOR RESEARCH USE ONLY. NOT FOR USE IN DIAGNOSTIC OR THERAPEUTIC PROCEDURES'.

For licensing inquiries, please contact partnerships@abcam.com