JavaScript is disabled in your browser. Please enable JavaScript to view this website.
AB302899

Anti-ICAM5 antibody [EPR25850-86]

  • BOND RX™ Validated
  • 20ul selling size
  • RabMAb
  • Recombinant
  • What is this?

Be the first to review this product! Submit a review

|

(0 Publication)

Rabbit Recombinant Monoclonal ICAM5 antibody. Suitable for WB, IHC-P and reacts with Human, Mouse, Rat samples.

View Alternative Names

TLCN, TLN, ICAM5, Intercellular adhesion molecule 5, ICAM-5, Telencephalin

7 Images
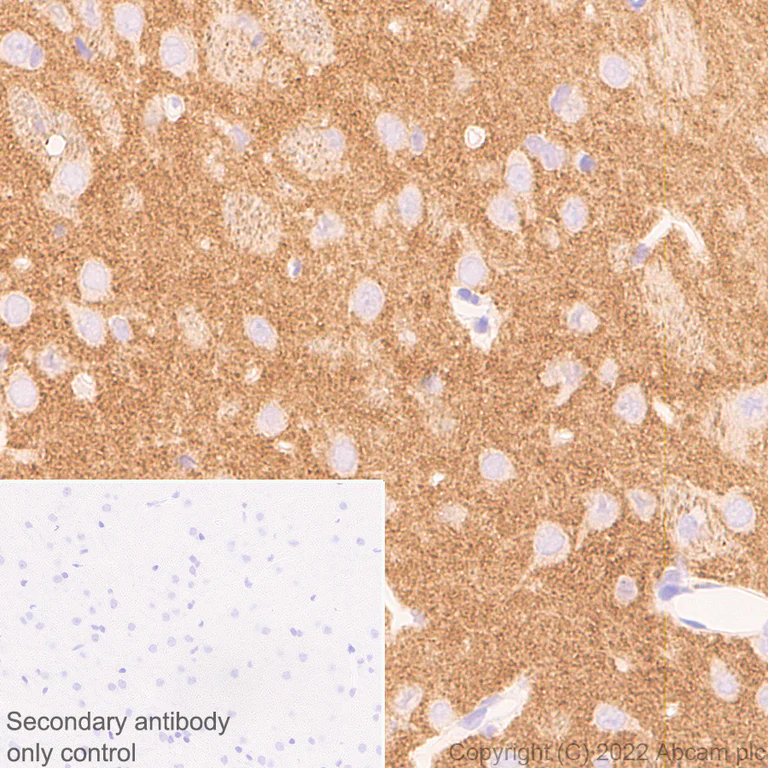
Immunohistochemistry - Anti-ICAM5 antibody [EPR25850-86] (AB302899)
  • IHC

Supplier Data

Immunohistochemistry - Anti-ICAM5 antibody [EPR25850-86] (AB302899)

Immunohistochemical analysis of paraffin-embedded Human cerebrum tissue labeling ICAM5 with ab302899 at 1/1000 (0.505 ug/ml) followed by a LeicaDS9800 (Bond™ Polymer Refine Detection) was used at Ready to use dilution. Positive staining on human cerebrum. The section was incubated with ab302899 for 30 mins at room temperature.The immunostaining was performed on a Leica Biosystems BOND® RX instrument Counterstained with Hematoxylin. Secondary antibody only control : Secondary antibody is LeicaDS9800 (Bond™ Polymer Refine Detection) was used at Ready to use dilution. Heat mediated antigen retrieval was performed with Tris-EDTA buffer (pH 9.0, Epitope Retrieval Solution2) for 20 mins

Immunohistochemistry - Anti-ICAM5 antibody [EPR25850-86] (AB302899)
  • IHC

Supplier Data

Immunohistochemistry - Anti-ICAM5 antibody [EPR25850-86] (AB302899)

Immunohistochemical analysis of paraffin-embedded Mouse sagittal brain tissue labeling ICAM5 with ab302899 at 1/1000 (0.505 ug/ml) followed by a LeicaDS9800 (Bond™ Polymer Refine Detection) was used at Ready to use dilution. Positive staining on mouse sagittal brain (PMID : 7794412). The section was incubated with ab302899 for 30 mins at room temperature.The immunostaining was performed on a Leica Biosystems BOND® RX instrument Counterstained with Hematoxylin. Secondary antibody only control : Secondary antibody is LeicaDS9800 (Bond™ Polymer Refine Detection) was used at Ready to use dilution. Heat mediated antigen retrieval was performed with Tris-EDTA buffer (pH 9.0, Epitope Retrieval Solution2) for 20 mins

Immunohistochemistry - Anti-ICAM5 antibody [EPR25850-86] (AB302899)
  • IHC

Supplier Data

Immunohistochemistry - Anti-ICAM5 antibody [EPR25850-86] (AB302899)

Immunohistochemical analysis of paraffin-embedded Mouse cerebrum tissue labeling ICAM5 with ab302899 at 1/1000 (0.505 ug/ml) followed by a LeicaDS9800 (Bond™ Polymer Refine Detection) was used at Ready to use dilution. Positive staining on mouse cerebrum. The section was incubated with ab302899 for 30 mins at room temperature. The immunostaining was performed on a Leica Biosystems BOND® RX instrument Counterstained with Hematoxylin. Secondary antibody only control : Secondary antibody is LeicaDS9800 (Bond™ Polymer Refine Detection) was used at Ready to use dilution. Heat mediated antigen retrieval was performed with Tris-EDTA buffer (pH 9.0, Epitope Retrieval Solution2) for 20 mins

Immunohistochemistry - Anti-ICAM5 antibody [EPR25850-86] (AB302899)
  • IHC

Supplier Data

Immunohistochemistry - Anti-ICAM5 antibody [EPR25850-86] (AB302899)

Immunohistochemical analysis of paraffin-embedded Rat cerebrum tissue labeling ICAM5 with ab302899 at 1/1000 (0.505 ug/ml) followed by a LeicaDS9800 (Bond™ Polymer Refine Detection) was used at Ready to use dilution. Positive staining on rat cerebrum. The section was incubated with ab302899 for 30 mins at room temperature.The immunostaining was performed on a Leica Biosystems BOND® RX instrument Counterstained with Hematoxylin. Secondary antibody only control : Secondary antibody is LeicaDS9800 (Bond™ Polymer Refine Detection) was used at Ready to use dilution. Heat mediated antigen retrieval was performed with Tris-EDTA buffer (pH 9.0, Epitope Retrieval Solution2) for 20 mins

Immunohistochemistry - Anti-ICAM5 antibody [EPR25850-86] (AB302899)
  • IHC

Supplier Data

Immunohistochemistry - Anti-ICAM5 antibody [EPR25850-86] (AB302899)

Immunohistochemical analysis of paraffin-embedded Rat sagittal brain tissue labeling ICAM5 with ab302899 at 1/1000 (0.505 ug/ml) followed by a LeicaDS9800 (Bond™ Polymer Refine Detection) was used at Ready to use dilution. Positive staining on rat sagittal brain (PMID : 7794412). The section was incubated with ab302899 for 30 mins at room temperature.The immunostaining was performed on a Leica Biosystems BOND® RX instrument Counterstained with Hematoxylin. Secondary antibody only control : Secondary antibody is LeicaDS9800 (Bond™ Polymer Refine Detection) was used at Ready to use dilution. Heat mediated antigen retrieval was performed with Tris-EDTA buffer (pH 9.0, Epitope Retrieval Solution2) for 20 mins

Western blot - Anti-ICAM5 antibody [EPR25850-86] (AB302899)
  • WB

Supplier Data

Western blot - Anti-ICAM5 antibody [EPR25850-86] (AB302899)

Blocking and dilution buffer and concentration : 5% NFDM/TBST.

The expression profile observed is consistent with what has been described in the literature (PMID : 17682049)

Low expression : liver, skeletal muscle (PMID : 8995416).

Exposure time : Lane 1-3 : 92 seconds

Lane 4-5 : 180 seconds

All lanes:

Western blot - Anti-ICAM5 antibody [EPR25850-86] (ab302899) at 1/1000 dilution

Lane 1:

Human brain tissue lysate at 20 µg

Lane 2:

Human liver tissue lysate at 20 µg

Lane 3:

Human skeletal muscle tissue lysate at 20 µg

Lane 4:

U-87 MG (human glioblastoma-astrocytoma epithelial cell) whole cell lysate at 20 µg

Lane 5:

HeLa (human cervical adenocarcinoma epithelial cell) whole cell lysate at 20 µg

Secondary

All lanes:

Western blot - Goat Anti-Rabbit IgG H&L (HRP) (<a href='/en-us/products/secondary-antibodies/goat-rabbit-igg-h-l-hrp-ab97051'>ab97051</a>) at 1/100000 dilution

Predicted band size: 97 kDa

Observed band size: 110 kDa,160 kDa

false

Western blot - Anti-ICAM5 antibody [EPR25850-86] (AB302899)
  • WB

Supplier Data

Western blot - Anti-ICAM5 antibody [EPR25850-86] (AB302899)

Blocking and dilution buffer and concentration : 5% NFDM/TBST.

Low expression : liver, skeletal muscle (PMID : 8995416)

Lanes 1 - 6:

Western blot - Anti-ICAM5 antibody [EPR25850-86] (ab302899) at 1/1000 dilution

Lanes 1 - 6:

Western blot - Anti-ICAM5 antibody [EPR25850-86] (BSA and Azide free) (<a href='/en-us/products/primary-antibodies/icam5-antibody-epr25850-86-bsa-and-azide-free-ab302900'>ab302900</a>) at 1/1000 dilution

Lane 1:

Mouse brain tissue lysate at 20 µg

Lane 2:

Mouse liver tissue lysate at 20 µg

Lane 3:

Mouse skeletal muscle tissue lysate at 20 µg

Lane 4:

Rat brain tissue lysate at 20 µg

Lane 5:

Rat liver tissue lysate at 20 µg

Lane 6:

Rat skeletal muscle tissue lysate at 20 µg

Secondary

All lanes:

Western blot - Goat Anti-Rabbit IgG H&L (HRP) (<a href='/en-us/products/secondary-antibodies/goat-rabbit-igg-h-l-hrp-ab97051'>ab97051</a>) at 1/100000 dilution

Predicted band size: 97 kDa

Observed band size: 160 kDa

false

Exposure time: 10s

Key facts

Host species

Rabbit

Clonality

Monoclonal

Clone number

EPR25850-86

Isotype

IgG

Carrier free

No

Reacts with

Human, Mouse, Rat

Applications

IHC-P, WB

applications

Immunogen

The exact immunogen used to generate this antibody is proprietary information.

Reactivity data

{ "title": "Reactivity Data", "filters": { "stats": ["", "Species", "Dilution Info", "Notes"], "tabs": { "all-applications": {"fullname" : "All Applications", "shortname": "All Applications"}, "WB" : {"fullname" : "Western blot", "shortname":"WB"}, "IHCP" : {"fullname" : "Immunohistochemistry (Formalin/PFA-fixed paraffin-embedded sections)", "shortname":"IHC-P"}, "ICCIF" : {"fullname" : "Immunocytochemistry/ Immunofluorescence", "shortname":"ICC/IF"}, "IP" : {"fullname" : "Immunoprecipitation", "shortname":"IP"}, "FlowCyt" : {"fullname" : "Flow Cytometry", "shortname":"Flow Cyt"} }, "product-promise": { "all": "all", "testedAndGuaranteed": "tested", "guaranteed": "expected", "predicted": "predicted", "notRecommended": "not-recommended" } }, "values": { "Human": { "WB-species-checked": "testedAndGuaranteed", "WB-species-dilution-info": "1/1000", "WB-species-notes": "<p></p>", "IHCP-species-checked": "testedAndGuaranteed", "IHCP-species-dilution-info": "1/1000", "IHCP-species-notes": "<p></p>", "ICCIF-species-checked": "notRecommended", "ICCIF-species-dilution-info": "", "ICCIF-species-notes": "<p></p>", "IP-species-checked": "notRecommended", "IP-species-dilution-info": "", "IP-species-notes": "<p></p>", "FlowCyt-species-checked": "notRecommended", "FlowCyt-species-dilution-info": "", "FlowCyt-species-notes": "<p></p>" }, "Mouse": { "WB-species-checked": "testedAndGuaranteed", "WB-species-dilution-info": "1/1000", "WB-species-notes": "<p></p>", "IHCP-species-checked": "testedAndGuaranteed", "IHCP-species-dilution-info": "1/1000", "IHCP-species-notes": "<p></p>", "ICCIF-species-checked": "notRecommended", "ICCIF-species-dilution-info": "", "ICCIF-species-notes": "<p></p>", "IP-species-checked": "notRecommended", "IP-species-dilution-info": "", "IP-species-notes": "<p></p>", "FlowCyt-species-checked": "notRecommended", "FlowCyt-species-dilution-info": "", "FlowCyt-species-notes": "<p></p>" }, "Rat": { "WB-species-checked": "testedAndGuaranteed", "WB-species-dilution-info": "1/1000", "WB-species-notes": "<p></p>", "IHCP-species-checked": "testedAndGuaranteed", "IHCP-species-dilution-info": "1/1000", "IHCP-species-notes": "<p></p>", "ICCIF-species-checked": "notRecommended", "ICCIF-species-dilution-info": "", "ICCIF-species-notes": "<p></p>", "IP-species-checked": "notRecommended", "IP-species-dilution-info": "", "IP-species-notes": "<p></p>", "FlowCyt-species-checked": "notRecommended", "FlowCyt-species-dilution-info": "", "FlowCyt-species-notes": "<p></p>" } } }

Product details

Patented technology
Our RabMAb® technology is a patented hybridoma-based technology for making rabbit monoclonal antibodies. For details on our patents, please refer to RabMAb® patents.

What are the advantages of a recombinant monoclonal antibody?
This product is a recombinant monoclonal antibody, which offers several advantages including:

  • - High batch-to-batch consistency and reproducibility
  • - Improved sensitivity and specificity
  • - Long-term security of supply
  • - Animal-free batch production

For more information, read more on recombinant antibodies.

Properties and storage information

Form
Liquid
Purification technique
Affinity purification Protein A
Storage buffer
pH: 7.2 - 7.4 Preservative: 0.01% Sodium azide Constituents: PBS, 40% Glycerol (glycerin, glycerine), 0.05% BSA
Shipped at conditions
Blue Ice
Appropriate short-term storage duration
1-2 weeks
Appropriate short-term storage conditions
+4°C
Appropriate long-term storage conditions
-20°C
Aliquoting information
Upon delivery aliquot
Storage information
Avoid freeze / thaw cycle

Supplementary information

This supplementary information is collated from multiple sources and compiled automatically.

ICAM5 also known as Telencephalin is an intercellular adhesion molecule with a molecular mass of approximately 130 kDa. This protein is mainly expressed in the brain specifically in neurons of the telencephalon region. ICAM5 belongs to the immunoglobulin superfamily and plays a role in cell-cell adhesion. It does not demonstrate tight adherence like other ICAMs which suggests its specific function might differ from other ICAM family members.
Biological function summary

ICAM5 participates in neuron-neuron adhesion processes. It plays a significant role in the development and maintenance of synaptic structures in the nervous system. ICAM5 does not form a complex with other proteins in its functioning. It contributes to the organization and stabilization of dendritic spines which are important for synaptic plasticity and neural communication. This involvement highlights the importance of ICAM5 in neural development and synaptic function.

Pathways

ICAM5 integrates into signaling pathways related to neuronal development and synaptic plasticity. It is a part of the adhesion and cell recognition processes in neural systems. Through its involvement ICAM5 associates with pathways like the glutamatergic synapse pathway. Additionally ICAM5 shows a connection with proteins involved in membrane transport and neuronal signaling such as NMDARs (N-methyl-D-aspartate receptors) emphasizing its role in synaptic modulation.

ICAM5 relates to conditions affecting the nervous system such as schizophrenia and Alzheimer's disease. Studies indicate alterations in ICAM5 expression levels in patients with these diseases suggesting a potential impact on synaptic integrity and function. In Alzheimer's disease ICAM5 interacts with pathways involving beta-amyloid peptide accumulation indicating a possible connection with oxidative stress and neurodegenerative processes. In schizophrenia disruptions in ICAM5 associations with neural adhesion molecules could affect synaptic signaling and stability contributing to cognitive deficits.

Product protocols

For this product, it's our understanding that no specific protocols are required. You can visit:

Target data

ICAM proteins are ligands for the leukocyte adhesion protein LFA-1 (integrin alpha-L/beta-2).
See full target information ICAM5

Product promise

We are committed to supporting your work with high-quality reagents, and we're here for you every step of the way. In the unlikely event that one of our products does not perform as expected, you're protected by our Product Promise.
For full details, please see our Terms & Conditions

Please note: All products are 'FOR RESEARCH USE ONLY. NOT FOR USE IN DIAGNOSTIC OR THERAPEUTIC PROCEDURES'.

For licensing inquiries, please contact partnerships@abcam.com