JavaScript is disabled in your browser. Please enable JavaScript to view this website.
AB224644

Anti-ICOS antibody [EPR20560]

1

(1 Review)

|

(8 Publications)

Anti-ICOS antibody [EPR20560] (ab224644) is a rabbit monoclonal antibody detecting ICOS in Western Blot, IP, IHC-P. Suitable for Human, Mouse, Rat.

- Biophysical QC for unrivalled batch-batch consistency

View Alternative Names

CD278, AILIM, ICOS, Inducible T-cell costimulator, Activation-inducible lymphocyte immunomediatory molecule

9 Images
Immunohistochemistry (Formalin/PFA-fixed paraffin-embedded sections) - Anti-ICOS antibody [EPR20560] (AB224644)
  • IHC-P

Supplier Data

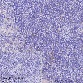
Immunohistochemistry (Formalin/PFA-fixed paraffin-embedded sections) - Anti-ICOS antibody [EPR20560] (AB224644)

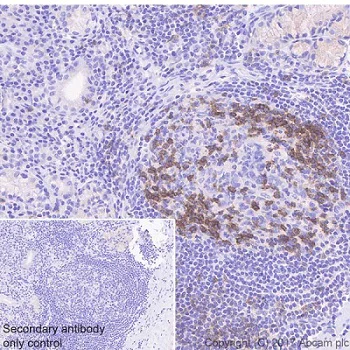
Immunohistochemical analysis of paraffin-embedded human tonsil tissue labeling ICOS with ab224644 at 1/1000 dilution, followed by a ready to use Goat Anti-Rabbit IgG H&L (HRP). Cytoplasmic and membranous staining in a population of lymphoid cells of human tonsil (PMID : 20207847), (magnification x200) is observed. Counter stained with hematoxylin.

Secondary antibody only control : Used PBS instead of primary antibody, secondary antibody is a ready to use Goat Anti-Rabbit IgG H&L (HRP).

Perform heat mediated antigen retrieval using ab93684 (Tris/EDTA buffer, pH 9.0).

Immunohistochemistry (Formalin/PFA-fixed paraffin-embedded sections) - Anti-ICOS antibody [EPR20560] (AB224644)
  • IHC-P

Supplier Data

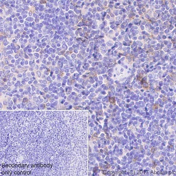
Immunohistochemistry (Formalin/PFA-fixed paraffin-embedded sections) - Anti-ICOS antibody [EPR20560] (AB224644)

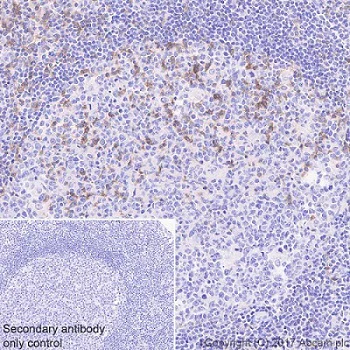
Immunohistochemical analysis of paraffin-embedded human stomach tissue labeling ICOS with ab224644 at 1/1000 dilution, followed by a ready to use Goat Anti-Rabbit IgG H&L (HRP). Cytoplasmic and membranous staining in a population of lymphoid cells of human stomach (magnification x200) is observed. Counter stained with hematoxylin.

Secondary antibody only control : Used PBS instead of primary antibody, secondary antibody is a ready to use Goat Anti-Rabbit IgG H&L (HRP).

Perform heat mediated antigen retrieval using ab93684 (Tris/EDTA buffer, pH 9.0).

Immunohistochemistry (Formalin/PFA-fixed paraffin-embedded sections) - Anti-ICOS antibody [EPR20560] (AB224644)
  • IHC-P

Unknown

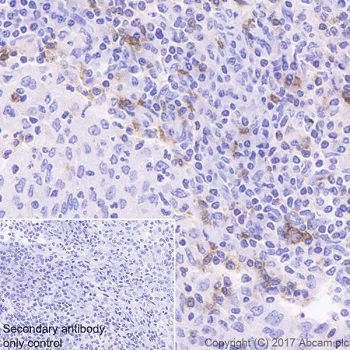
Immunohistochemistry (Formalin/PFA-fixed paraffin-embedded sections) - Anti-ICOS antibody [EPR20560] (AB224644)

Immunohistochemical analysis of paraffin-embedded human cervix cancer tissue labeling ICOS with ab224644 at 1/1000 dilution, followed by a ready to use Goat Anti-Rabbit IgG H&L (HRP). Cytoplasmic and membranous staining in tumor infiltrating lymphoid cells of human cervix cancer (PMID : 23802069) is observed. Counter stained with hematoxylin.

Secondary antibody only control : Used PBS instead of primary antibody, secondary antibody is a ready to use Goat Anti-Rabbit IgG H&L (HRP).

Perform heat mediated antigen retrieval using ab93684 (Tris/EDTA buffer, pH 9.0).

Immunoprecipitation - Anti-ICOS antibody [EPR20560] (AB224644)
  • IP

Supplier Data

Immunoprecipitation - Anti-ICOS antibody [EPR20560] (AB224644)

ICOS was immunoprecipitated from 0.35 mg of human tonsil tissue lysate with ab224644 at 1/30 dilution. Western blot was performed from the immunoprecipitate using ab224644 at 1/500 dilution. VeriBlot for IP Detection Reagent (HRP) (ab131366), was used for detection at 1/1000 dilution.

Lane 1 : Human tonsil tissue lysate 10 μg (Input).
Lane 2 : ab224644 IP in human tonsil tissue lysate (+).
Lane 3 : Rabbit monoclonal IgG (ab172730) instead of ab224644 in human tonsil tissue lysate (-).

Blocking and dilution buffer and concentration : 5% NFDM/TBST.

Exposure time : 1 second.

All lanes:

Immunoprecipitation - Anti-ICOS antibody [EPR20560] (ab224644)

Predicted band size: 22 kDa

Observed band size: 27-29 kDa

true

Immunohistochemistry (Formalin/PFA-fixed paraffin-embedded sections) - Anti-ICOS antibody [EPR20560] (AB224644)
  • IHC-P

Supplier Data

Immunohistochemistry (Formalin/PFA-fixed paraffin-embedded sections) - Anti-ICOS antibody [EPR20560] (AB224644)

Immunohistochemical analysis of paraffin-embedded mouse spleen tissue labeling ICOS with ab224644 at 1/500 dilution, followed by a ready to use Goat Anti-Rabbit IgG H&L (HRP). Cytoplasmic and membranous staining in a population of lymphoid cells of mouse spleen is observed. Counter stained with hematoxylin.

Secondary antibody only control : Used PBS instead of primary antibody, secondary antibody is a ready to use Goat Anti-Rabbit IgG H&L (HRP).

Perform heat mediated antigen retrieval using ab93684 (Tris/EDTA buffer, pH 9.0).

Immunohistochemistry (Formalin/PFA-fixed paraffin-embedded sections) - Anti-ICOS antibody [EPR20560] (AB224644)
  • IHC-P

Supplier Data

Immunohistochemistry (Formalin/PFA-fixed paraffin-embedded sections) - Anti-ICOS antibody [EPR20560] (AB224644)

Immunohistochemical analysis of paraffin-embedded rat spleen tissue labeling ICOS with ab224644 at 1/500 dilution, followed by a ready to use Goat Anti-Rabbit IgG H&L (HRP). Cytoplasmic and membranous staining in a population of lymphoid cells of rat spleen is observed. Counter stained with hematoxylin.

Secondary antibody only control : Used PBS instead of primary antibody, secondary antibody is a ready to use Goat Anti-Rabbit IgG H&L (HRP).

Perform heat mediated antigen retrieval using ab93684 (Tris/EDTA buffer, pH 9.0).

Western blot - Anti-ICOS antibody [EPR20560] (AB224644)
  • WB

Supplier Data

Western blot - Anti-ICOS antibody [EPR20560] (AB224644)

Blocking and dilution buffer : 5% NFDM/TBST.

The expression profile observed is consistent with what has been described in the literature (PMID : 11169414).

All lanes:

Western blot - Anti-ICOS antibody [EPR20560] (ab224644) at 1/1000 dilution

Lane 1:

Human tymus tissue lysate at 20 µg

Lane 2:

HuT-78 (human Sezary syndrome cutaneous T lymphocyte) whole cell lysate at 20 µg

Secondary

All lanes:

Western blot - Goat Anti-Rabbit IgG H&L (HRP) (<a href='/en-us/products/secondary-antibodies/goat-rabbit-igg-h-l-hrp-ab97051'>ab97051</a>) at 1/20000 dilution

Predicted band size: 22 kDa

Observed band size: 27-29 kDa

true

Exposure time: 10s

Western blot - Anti-ICOS antibody [EPR20560] (AB224644)
  • WB

Supplier Data

Western blot - Anti-ICOS antibody [EPR20560] (AB224644)

Blocking and dilution buffer : 5% NFDM/TBST.

When untreated two distinct bands of 27kDa and 29kDa were observed. Treatment with PNGase F resulted in a single band with a molecular of 22kDa.

The expression profile observed is consistent with what has been described in the literature (PMID : 11169414 ).

All lanes:

Western blot - Anti-ICOS antibody [EPR20560] (ab224644) at 1/1000 dilution

Lane 1:

Untreated human tonsil tissue lysate at 20 µg

Lane 2:

Human tonsil tissue lysate treated with PNGase F at 20 µg

Secondary

All lanes:

Western blot - Goat Anti-Rabbit IgG H&L (HRP) (<a href='/en-us/products/secondary-antibodies/goat-rabbit-igg-h-l-hrp-ab97051'>ab97051</a>) at 1/20000 dilution

Predicted band size: 22 kDa

Observed band size: 22 kDa,27-29 kDa

true

Exposure time: 10s

Western blot - Anti-ICOS antibody [EPR20560] (AB224644)
  • WB

Supplier Data

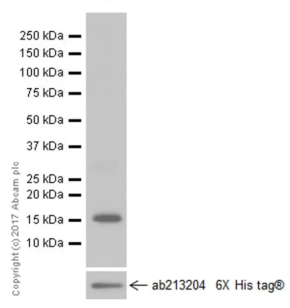
Western blot - Anti-ICOS antibody [EPR20560] (AB224644)

Blocking and dilution buffer : 5% NFDM/TBST

All lanes:

Western blot - Anti-ICOS antibody [EPR20560] (ab224644) at 1/1000 dilution

All lanes:

His-tagged human ICOS (aa21-140-GGGGS-aa162-199) recombinant protein, 10 ng

Secondary

All lanes:

Western blot - Goat Anti-Rabbit IgG H&L (HRP) (<a href='/en-us/products/secondary-antibodies/goat-rabbit-igg-h-l-hrp-ab97051'>ab97051</a>) at 1/100000 dilution

Predicted band size: 22 kDa

Observed band size: 17 kDa

true

Exposure time: 1s

Key facts

Host species

Rabbit

Clonality

Monoclonal

Clone number

EPR20560

Isotype

IgG

Carrier free

No

Reacts with

Mouse, Rat, Human

Applications

IHC-P, WB, IP

applications

Immunogen

The exact immunogen used to generate this antibody is proprietary information.

Reactivity data

{ "title": "Reactivity Data", "filters": { "stats": ["", "Species", "Dilution Info", "Notes"], "tabs": { "all-applications": {"fullname" : "All Applications", "shortname": "All Applications"}, "IP" : {"fullname" : "Immunoprecipitation", "shortname":"IP"}, "WB" : {"fullname" : "Western blot", "shortname":"WB"}, "IHCP" : {"fullname" : "Immunohistochemistry (Formalin/PFA-fixed paraffin-embedded sections)", "shortname":"IHC-P"} }, "product-promise": { "all": "all", "testedAndGuaranteed": "tested", "guaranteed": "expected", "predicted": "predicted", "notRecommended": "not-recommended" } }, "values": { "Human": { "IP-species-checked": "testedAndGuaranteed", "IP-species-dilution-info": "1/30", "IP-species-notes": "<p></p>", "WB-species-checked": "testedAndGuaranteed", "WB-species-dilution-info": "1/1000", "WB-species-notes": "<p></p>", "IHCP-species-checked": "testedAndGuaranteed", "IHCP-species-dilution-info": "1/500", "IHCP-species-notes": "<p></p> Perform heat-mediated antigen retrieval with Tris/EDTA buffer pH 9.0 before commencing with IHC staining protocol." }, "Mouse": { "IP-species-checked": "guaranteed", "IP-species-dilution-info": "", "IP-species-notes": "", "WB-species-checked": "guaranteed", "WB-species-dilution-info": "", "WB-species-notes": "", "IHCP-species-checked": "testedAndGuaranteed", "IHCP-species-dilution-info": "1/500", "IHCP-species-notes": "<p></p> Perform heat-mediated antigen retrieval with Tris/EDTA buffer pH 9.0 before commencing with IHC staining protocol." }, "Rat": { "IP-species-checked": "guaranteed", "IP-species-dilution-info": "", "IP-species-notes": "", "WB-species-checked": "guaranteed", "WB-species-dilution-info": "", "WB-species-notes": "", "IHCP-species-checked": "testedAndGuaranteed", "IHCP-species-dilution-info": "1/500", "IHCP-species-notes": "<p></p> Perform heat-mediated antigen retrieval with Tris/EDTA buffer pH 9.0 before commencing with IHC staining protocol." } } }

Product details

What is this antibody validated in?
Anti-ICOS antibody [EPR20560] (ab224644) is a rabbit recombinant monoclonal antibody and is validated for use in Western Blot (WB), Immunoprecipitation (IP), Immunohistochemistry (IHC-P) in Human, Mouse, Rat samples.

What is the molecular weight of ICOS?
Anti-ICOS [EPR20560] (ab224644) specifically detects a band for ICOS (UniProt: Q9Y6W8) at a molecular weight of 22kDa.

Trial sizes available!
Test your antibody or perform pre-screening before committing to a larger quantity. Sold in 10µl. Discover our selection of trial-size antibodies.

Other related products
We have a range of other formats of antibody clone [EPR20560] also available for your convenience: ab224644, Carrier free - ab225577, Alexa Fluor® 647 - ab281317, Alexa Fluor® 488 - ab281747, Alexa Fluor® 594 - ab281771, Alexa Fluor® 555 - ab283488, Carrier free - ab302853

Patented technology
Our RabMAb® technology is a patented hybridoma-based technology for making rabbit monoclonal antibodies. For details on our patents, please refer to RabMAb® patents.

What are the advantages of a recombinant monoclonal antibody?
This product is a recombinant monoclonal antibody, which offers several advantages including:

  • - High batch-to-batch consistency and reproducibility
  • - Improved sensitivity and specificity
  • - Long-term security of supply
  • - Animal-free batch production

For more information, read more on recombinant antibodies.

Properties and storage information

Form
Liquid
Purification technique
Affinity purification Protein A
Storage buffer
pH: 7.2 - 7.4 Preservative: 0.01% Sodium azide Constituents: PBS, 40% Glycerol (glycerin, glycerine), 0.05% BSA
Shipped at conditions
Blue Ice
Appropriate short-term storage duration
1-2 weeks
Appropriate short-term storage conditions
+4°C
Appropriate long-term storage conditions
-20°C
Aliquoting information
Upon delivery aliquot
Storage information
Avoid freeze / thaw cycle

Supplementary information

This supplementary information is collated from multiple sources and compiled automatically.

Inducible T-cell costimulator (ICOS) also known as AILIM or CD278 is a member of the CD28 superfamily of proteins. ICOS is a surface receptor protein approximately 60 kDa in mass. This protein is expressed mainly on activated T cells. It does not appear on naive or resting T cells. ICOS plays an important mechanical role in the immune response as its engagement enhances the production of cytokines and supports cell-cell interactions through its binding to the ICOS ligand.
Biological function summary

ICOS plays a critical role in the regulation of immune responses. It acts as a costimulatory signal for T cells supporting their proliferation and differentiation. ICOS helps form part of a complex involving interactions with the ICOS ligand present on antigen-presenting cells. This interaction affects the function and fate of various T cell subsets including T follicular helper cells which are important for antibody production.

Pathways

ICOS is part of the immune signaling pathway. It associates closely with the CD28 signaling pathway enhancing T-cell activation and survival. ICOS interacts with proteins such as the ICOS ligand (ICOSL) on antigen-presenting cells which helps mediate its effects. These pathways are essential in immune system homeostasis and adaptive immune responses where dysfunction can lead to immune-related diseases.

ICOS has implications in conditions such as autoimmune diseases and cancer. Abnormal expression or function of ICOS relates to the development of autoimmune conditions like systemic lupus erythematosus (SLE) where the overactive immune response damages the body's tissues. Additionally ICOS might support tumor progression in certain types of cancers by promoting immune escape. It interacts with regulatory proteins like CTLA-4 and PD-1 in these diseases which are notably involved in immune checkpoint pathways.

Product protocols

For this product, it's our understanding that no specific protocols are required. You can visit:

Target data

Stimulatory receptor expressed in activated or antigen-experienced T-cells that plays an important role in the immune response (PubMed : 9930702). Upon binding to its ligand ICOSL expressed on antigen presenting cells (APCs), delivers costimulatory signals that enhances all basic T-cell responses to a foreign antigen, namely proliferation, secretion of lymphokines including IL10, up-regulation of molecules that mediate cell-cell interaction, and effective help for antibody secretion by B-cells (PubMed : 33033255). Acts also as a costimulatory receptor critical for the differentiation of T follicular regulatory cells upon immune challenges such as viral infection (PubMed : 27135603). Mechanistically, potentiates TCR-induced calcium flux by augmenting PLCG1 activation and actin remodeling (By similarity). In addition, activates PI3K signaling pathways independently of calcium flux (PubMed : 30523347). Essential both for efficient interaction between T and B-cells and for normal antibody responses to T-cell dependent antigens. Prevents the apoptosis of pre-activated T-cells. Plays a critical role in CD40-mediated class switching of immunoglobin isotypes (By similarity).
See full target information ICOS

Publications (8)

Recent publications for all applications. Explore the full list and refine your search

Frontiers in oncology 14:1373820 PubMed39104717

2024

Correlation between Tregs and ICOS-induced M2 macrophages polarization in colorectal cancer progression.

Applications

Unspecified application

Species

Unspecified reactive species

Jiaxin Xu,Yu Gao,Yuting Ding,Yunpeng Feng,Jie Chen,Shenshen Zhang,Xiaoyu Song,Shifeng Qiao

Proceedings of the National Academy of Sciences of the United States of America 121:e2408649121 PubMed38980909

2024

-targeted IcosL controls tumor rejection.

Applications

Unspecified application

Species

Unspecified reactive species

Esmerina Tili,Hajime Otsu,Teresa L Commisso,Alexey Palamarchuk,Veronica Balatti,Jean-Jacques Michaille,Gerard James Nuovo,Carlo M Croce

Frontiers in immunology 14:1171308 PubMed37325657

2023

Involvement of CD40-CD40L and ICOS-ICOSL in the development of chronic rhinosinusitis by targeting eosinophils.

Applications

Unspecified application

Species

Unspecified reactive species

Aina Zhou,Chenxi Shi,Yuhui Fan,Yushuang Zheng,Jue Wang,Zhichen Liu,Huanxia Xie,Jisheng Liu,Qingqing Jiao

Journal of inflammation research 16:977-992 PubMed36915615

2023

ICOS/ICOSLG and PD-1 Co-Expression is Associated with the Progression of Colorectal Precancerous- Carcinoma Immune Microenvironment.

Applications

Unspecified application

Species

Unspecified reactive species

Yu Zhang,Xue-Li Wang,Jing-Jing Liu,Zhen-Yuan Qian,Zheng-Yang Pan,Ni-Ping Song,Hui-Yan Chen,Wei Zhang,Xin Zhang

Molecular medicine reports 26: PubMed36177915

2022

Expression of ICOS in the salivary glands of patients with primary Sjogren's syndrome and its molecular mechanism.

Applications

Unspecified application

Species

Unspecified reactive species

Ping Li,Yi Jin,Rui Zhao,Zhonghui Xue,Juan Ji

Journal of oncology 2022:8570882 PubMed36157232

2022

Identification of Novel Immunologic Checkpoint Gene Prognostic Markers for Ovarian Cancer.

Applications

Unspecified application

Species

Unspecified reactive species

Xiao Huo,Xi Zhang,Shuhong Li,Shuzhen Wang,Hengzi Sun,Mo Yang

Nature communications 12:5654 PubMed34580297

2021

Characterization and structural basis of a lethal mouse-adapted SARS-CoV-2.

Applications

Unspecified application

Species

Unspecified reactive species

Shihui Sun,Hongjing Gu,Lei Cao,Qi Chen,Qing Ye,Guan Yang,Rui-Ting Li,Hang Fan,Yong-Qiang Deng,Xiaopeng Song,Yini Qi,Min Li,Jun Lan,Rui Feng,Yan Guo,Na Zhu,Si Qin,Lei Wang,Yi-Fei Zhang,Chao Zhou,Lingna Zhao,Yuehong Chen,Meng Shen,Yujun Cui,Xiao Yang,Xinquan Wang,Wenjie Tan,Hui Wang,Xiangxi Wang,Cheng-Feng Qin

BMC cancer 18:371 PubMed29614981

2018

A comparison of the local immune status between the primary and metastatic tumor in colorectal cancer: a retrospective study.

Applications

IHC-P

Species

Unspecified reactive species

Masatsune Shibutani,Kiyoshi Maeda,Hisashi Nagahara,Tatsunari Fukuoka,Shinji Matsutani,Shinichiro Kashiwagi,Hiroaki Tanaka,Kosei Hirakawa,Masaichi Ohira
View all publications

Product promise

We are committed to supporting your work with high-quality reagents, and we're here for you every step of the way. In the unlikely event that one of our products does not perform as expected, you're protected by our Product Promise.
For full details, please see our Terms & Conditions

Please note: All products are 'FOR RESEARCH USE ONLY. NOT FOR USE IN DIAGNOSTIC OR THERAPEUTIC PROCEDURES'.

For licensing inquiries, please contact partnerships@abcam.com