JavaScript is disabled in your browser. Please enable JavaScript to view this website.
AB105227

Anti-ICOS antibody [SP98]

3

(2 Reviews)

|

(16 Publications)

Anti-ICOS antibody [SP98] (ab105227) is a rabbit monoclonal antibody detecting ICOS in IHC-P, IHC-Fr. Suitable for Human.

- Biophysical QC for unrivalled batch-batch consistency
- Over 10 publications

View Alternative Names

CD278, AILIM, ICOS, Inducible T-cell costimulator, Activation-inducible lymphocyte immunomediatory molecule

8 Images
Immunohistochemistry (Formalin/PFA-fixed paraffin-embedded sections) - Anti-ICOS antibody [SP98] (AB105227)
  • IHC-P

Unknown

Immunohistochemistry (Formalin/PFA-fixed paraffin-embedded sections) - Anti-ICOS antibody [SP98] (AB105227)

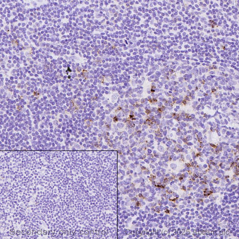
Immunohistochemistry (Formalin/PFA-fixed paraffin-embedded sections) analysis of Human tonsil tissue sections labeling ICOS with ab105227 at 1/100 dilution (0.28 μg/ml). Heat mediated antigen retrieval with Tris-EDTA buffer (pH 9.0, epitope retrieval solution 2) for 30 mins. Rabbit specific IHC polymer detection kit HRP/DAB (ab209101) was used as the secondary antibody. Hematoxylin was used as a counterstain. Sporadically positive staining in the germinal center of human tonsil, performed on a Leica Biosystems BOND™ RX instrument.
The section was incubated with ab105227 for 30 mins at room temperature.

Immunohistochemistry (Frozen sections) - Anti-ICOS antibody [SP98] (AB105227)
  • IHC-Fr

Lab

Immunohistochemistry (Frozen sections) - Anti-ICOS antibody [SP98] (AB105227)

IHC image of ICOS staining in a section of frozen normal human tonsil* performed on a Leica BOND™ system using the standard protocol. The section was fixed in 10% paraformaldehyde (10 min) prior to staining. The section was incubated with ab105227, 5ugml, for 15 mins at room temperature and detected using an HRP conjugated compact polymer system. DAB was used as the chromogen. The section was then counterstained with haematoxylin and mounted with DPX. The inset secondary-only control image is taken from an identical assay without primary antibody.

For other IHC staining systems (automated and non-automated) customers should optimize variable parameters such as antigen retrieval conditions, primary antibody concentration and antibody incubation times.

*Tissue obtained from the Human Research Tissue Bank, supported by the NIHR Cambridge Biomedical Research Centre

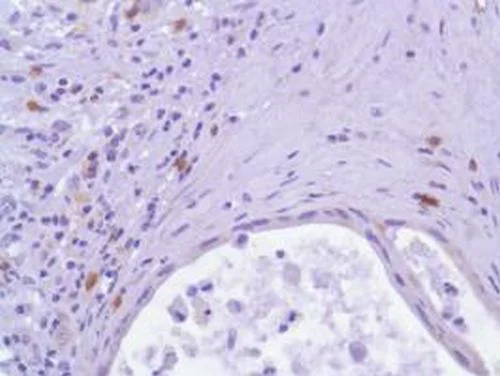
Immunohistochemistry (Frozen sections) - Anti-ICOS antibody [SP98] (AB105227)
  • IHC-Fr

Lab

Immunohistochemistry (Frozen sections) - Anti-ICOS antibody [SP98] (AB105227)

Negative control image : IHC image of ICOS staining in a section of frozen normal human placenta* performed on a Leica BONDTM system using the standard protocol. The section was fixed in 10% paraformaldehyde (10 min) prior to staining. The section was incubated with ab105227, 5ugml, for 15 mins at room temperature and detected using an HRP conjugated compact polymer system. DAB was used as the chromogen. The section was then counterstained with haematoxylin and mounted with DPX. The inset secondary-only control image is taken from an identical assay without primary antibody.
For other IHC staining systems (automated and non-automated) customers should optimize variable parameters such as antigen retrieval conditions, primary antibody concentration and antibody incubation times.
*Tissue obtained from the Human Research Tissue Bank, supported by the NIHR Cambridge Biomedical Research Centre

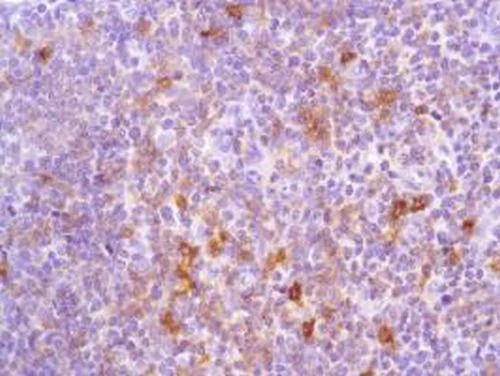
Immunohistochemistry (Formalin/PFA-fixed paraffin-embedded sections) - Anti-ICOS antibody [SP98] (AB105227)
  • IHC-P

Unknown

Immunohistochemistry (Formalin/PFA-fixed paraffin-embedded sections) - Anti-ICOS antibody [SP98] (AB105227)

ab105227, at 1/100 dilution, staining ICOS in formalin-fixed, paraffin-embedded Human reactive lymph node tissue by Immunohistochemistry.

Immunohistochemistry (Formalin/PFA-fixed paraffin-embedded sections) - Anti-ICOS antibody [SP98] (AB105227)
  • IHC-P

Supplier Data

Immunohistochemistry (Formalin/PFA-fixed paraffin-embedded sections) - Anti-ICOS antibody [SP98] (AB105227)

Formalin-fixed, paraffin-embedded human pancreatic adenocarcinoma tissue stained for ICOS using ab105227 at 1/100 dilution in immunohistochemical analysis.

Immunohistochemistry (Formalin/PFA-fixed paraffin-embedded sections) - Anti-ICOS antibody [SP98] (AB105227)
  • IHC-P

Supplier Data

Immunohistochemistry (Formalin/PFA-fixed paraffin-embedded sections) - Anti-ICOS antibody [SP98] (AB105227)

Formalin-fixed, paraffin-embedded human tonsil tissue stained for ICOS using ab105227 at 1/100 dilution in immunohistochemical analysis.

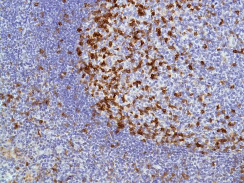
Immunohistochemistry (Formalin/PFA-fixed paraffin-embedded sections) - Anti-ICOS antibody [SP98] (AB105227)
  • IHC-P

Unknown

Immunohistochemistry (Formalin/PFA-fixed paraffin-embedded sections) - Anti-ICOS antibody [SP98] (AB105227)

Formalin-fixed, paraffin-embedded human thymus tissue stained for ICOS using ab105227 at 1/100 dilution in immunohistochemical analysis.

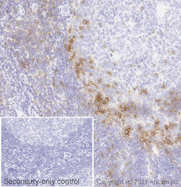
Immunohistochemistry (Formalin/PFA-fixed paraffin-embedded sections) - Anti-ICOS antibody [SP98] (AB105227)
  • IHC-P

Lab

Immunohistochemistry (Formalin/PFA-fixed paraffin-embedded sections) - Anti-ICOS antibody [SP98] (AB105227)

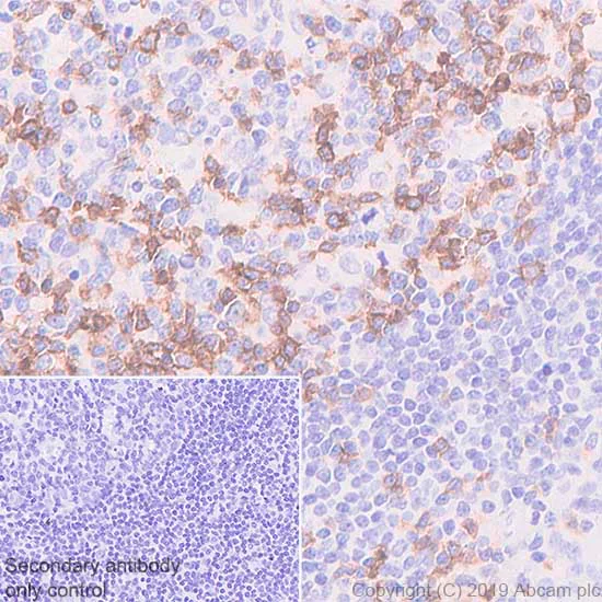
Immunohistochemical analysis of formalin fixed paraffin embedded human tonsil labelling ICOS with ab105227 at a dilution of 1/20. The immunostaining was performed on a Ventana DISCOVERY ULTRA (Roche Tissue Diagnostics) instrument with a OptiView DAB IHC Detection Kit followed by OptiView Amplification kit. Heat mediated antigen retrieval was performed with DISCOVERY cell conditioning solution (CC1) 100°C, pH8.5 for 32mins.

ab105227 Anti-ICOS antibody [SP98] was incubated for 16mins at 37°C. Sections were counterstained with Hematoxylin II.

Image inset shows absence of staining in secondary antibody only control.

Customers are encouraged to optimise antigen retrieval conditions, antibody concentration, incubation times and temperature for best results in their own IHC assay workflow (automated and manual)

Key facts

Host species

Rabbit

Clonality

Monoclonal

Clone number

SP98

Isotype

IgG

Carrier free

No

Reacts with

Human

Applications

IHC-P, IHC-Fr

applications

Immunogen

The exact immunogen used to generate this antibody is proprietary information.

Reactivity data

{ "title": "Reactivity Data", "filters": { "stats": ["", "Species", "Dilution Info", "Notes"], "tabs": { "all-applications": {"fullname" : "All Applications", "shortname": "All Applications"}, "IHCP" : {"fullname" : "Immunohistochemistry (Formalin/PFA-fixed paraffin-embedded sections)", "shortname":"IHC-P"}, "IHCFr" : {"fullname" : "Immunohistochemistry (Frozen sections)", "shortname":"IHC-Fr"} }, "product-promise": { "all": "all", "testedAndGuaranteed": "tested", "guaranteed": "expected", "predicted": "predicted", "notRecommended": "not-recommended" } }, "values": { "Human": { "IHCP-species-checked": "testedAndGuaranteed", "IHCP-species-dilution-info": "1/100", "IHCP-species-notes": "<p>Perform antigen retrieval before commencing with IHC staining protocol by boiling tissue section in EDTA buffer, pH 8.0 for 10 min followed by cooling at RT for 20 min.</p> Perform heat-mediated antigen retrieval before commencing with IHC staining protocol.", "IHCFr-species-checked": "testedAndGuaranteed", "IHCFr-species-dilution-info": "5 µg/mL", "IHCFr-species-notes": "<p></p>" }, "Mouse": { "IHCP-species-checked": "predicted", "IHCP-species-dilution-info": "", "IHCP-species-notes": "", "IHCFr-species-checked": "predicted", "IHCFr-species-dilution-info": "", "IHCFr-species-notes": "" } } }

Product details

Product Specifications
Anti-ICOS antibody [SP98] (ab105227) is a rabbit recombinant monoclonal antibody and is validated for use in IHC-Fr, IHC-P in human samples.
Anti-ICOS antibody [SP98] (ab105227) specifically detects ICOS (UniProt ID: Q9Y6W8; Molecular weight: 20kDa) and is sold in 100 µL, 500 µL and 1 mL selling sizes.

Quality and Validation
Anti-ICOS antibody [SP98] (ab105227) is a clone from the portfolio of Spring Bioscience (Roche) SP clones which have been optimised for immunohistochemistry (IHC).
Abcam's high quality manufacturing and validation processes ensure Anti-ICOS antibody [SP98] (ab105227) has high sensitivity and specificity alongside high lot-to-lot consistency and reproducibility.
Anti-ICOS antibody [SP98] (ab105227) has been cited over 14 times in peer reviewed journals and is trusted by the scientific community.

Related Products
Conjugation-ready, carrier free format available for antibody clone SP98 - ab236226.
Antibody clone SP98 is also available pre-conjugated to a variety of labels for your convenience - Alexa Fluor® 488, Alexa Fluor® 647, Alexa Fluor® 594, Alexa Fluor® 568, Alexa Fluor® 555, Alexa Fluor® 750 (ab311010, ab311138, ab311775, ab313056, ab313256, ab320884).

What are the advantages of a recombinant monoclonal antibody?
This product is a recombinant monoclonal antibody, which offers several advantages including:

  • - High batch-to-batch consistency and reproducibility
  • - Improved sensitivity and specificity
  • - Long-term security of supply
  • - Animal-free batch production

For more information, read more on recombinant antibodies.

Properties and storage information

Form
Liquid
Purification technique
Affinity purification Protein A/G
Purification notes
Purified from TCS by protein A/G.
Storage buffer
pH: 7.6 Preservative: 0.1% Sodium azide Constituents: PBS, 1% BSA
Shipped at conditions
Blue Ice
Appropriate short-term storage conditions
+4°C
Appropriate long-term storage conditions
-20°C
Aliquoting information
Upon delivery aliquot
Storage information
Avoid freeze / thaw cycle

Supplementary information

This supplementary information is collated from multiple sources and compiled automatically.

Inducible T-cell costimulator (ICOS) also known as AILIM or CD278 is a member of the CD28 superfamily of proteins. ICOS is a surface receptor protein approximately 60 kDa in mass. This protein is expressed mainly on activated T cells. It does not appear on naive or resting T cells. ICOS plays an important mechanical role in the immune response as its engagement enhances the production of cytokines and supports cell-cell interactions through its binding to the ICOS ligand.
Biological function summary

ICOS plays a critical role in the regulation of immune responses. It acts as a costimulatory signal for T cells supporting their proliferation and differentiation. ICOS helps form part of a complex involving interactions with the ICOS ligand present on antigen-presenting cells. This interaction affects the function and fate of various T cell subsets including T follicular helper cells which are important for antibody production.

Pathways

ICOS is part of the immune signaling pathway. It associates closely with the CD28 signaling pathway enhancing T-cell activation and survival. ICOS interacts with proteins such as the ICOS ligand (ICOSL) on antigen-presenting cells which helps mediate its effects. These pathways are essential in immune system homeostasis and adaptive immune responses where dysfunction can lead to immune-related diseases.

ICOS has implications in conditions such as autoimmune diseases and cancer. Abnormal expression or function of ICOS relates to the development of autoimmune conditions like systemic lupus erythematosus (SLE) where the overactive immune response damages the body's tissues. Additionally ICOS might support tumor progression in certain types of cancers by promoting immune escape. It interacts with regulatory proteins like CTLA-4 and PD-1 in these diseases which are notably involved in immune checkpoint pathways.

Product protocols

For this product, it's our understanding that no specific protocols are required. You can visit:

Target data

Stimulatory receptor expressed in activated or antigen-experienced T-cells that plays an important role in the immune response (PubMed : 9930702). Upon binding to its ligand ICOSL expressed on antigen presenting cells (APCs), delivers costimulatory signals that enhances all basic T-cell responses to a foreign antigen, namely proliferation, secretion of lymphokines including IL10, up-regulation of molecules that mediate cell-cell interaction, and effective help for antibody secretion by B-cells (PubMed : 33033255). Acts also as a costimulatory receptor critical for the differentiation of T follicular regulatory cells upon immune challenges such as viral infection (PubMed : 27135603). Mechanistically, potentiates TCR-induced calcium flux by augmenting PLCG1 activation and actin remodeling (By similarity). In addition, activates PI3K signaling pathways independently of calcium flux (PubMed : 30523347). Essential both for efficient interaction between T and B-cells and for normal antibody responses to T-cell dependent antigens. Prevents the apoptosis of pre-activated T-cells. Plays a critical role in CD40-mediated class switching of immunoglobin isotypes (By similarity).
See full target information ICOS

Publications (16)

Recent publications for all applications. Explore the full list and refine your search

Scientific reports 13:13816 PubMed37620431

2023

Belatacept inhibit human B cell germinal center development in immunodeficient mice.

Applications

Unspecified application

Species

Unspecified reactive species

Chloé Samson,Allan Thiolat,Anissa Moktefi,José L Cohen,Caroline Pilon,Philippe Grimbert

Biomarker research 11:56 PubMed37259155

2023

ICOS DNA methylation regulates melanoma cell-intrinsic ICOS expression, is associated with melanoma differentiation, prognosis, and predicts response to immune checkpoint blockade.

Applications

Unspecified application

Species

Unspecified reactive species

Damian J Ralser,Emmanuelle Herr,Luka de Vos,Zsófi Kulcsár,Romina Zarbl,Niklas Klümper,Gerrit H Gielen,Alexander Philippe Maas,Friederike Hoffmann,Jörn Dietrich,Pia Kuster,Alexander Mustea,Nicole Glodde,Glen Kristiansen,Sebastian Strieth,Jennifer Landsberg,Dimo Dietrich

Scientific reports 13:6500 PubMed37081015

2023

Deciphering the spectrum of cutaneous lymphomas expressing TFH markers.

Applications

Unspecified application

Species

Unspecified reactive species

Marie Donzel,Alexis Trecourt,Brigitte Balme,Olivier Harou,Claire Mauduit,Emmanuel Bachy,Hervé Guesquières,Juliette Fontaine,Nicolas Ortonne,Marie Perier-Muzet,Stéphane Dalle,Alexandra Traverse-Glehen

Frontiers in oncology 12:946967 PubMed36276141

2022

Transcriptome profile and clinical characterization of ICOS expression in gliomas.

Applications

Unspecified application

Species

Unspecified reactive species

Jin Wang,Fei Shi,Aijun Shan

The Journal of clinical investigation 132: PubMed35608910

2022

Specific in situ inflammatory states associate with progression to renal failure in lupus nephritis.

Applications

Unspecified application

Species

Unspecified reactive species

Rebecca Abraham,Madeleine S Durkee,Junting Ai,Margaret Veselits,Gabriel Casella,Yuta Asano,Anthony Chang,Kichul Ko,Charles Oshinsky,Emily Peninger,Maryellen L Giger,Marcus R Clark

Annals of the rheumatic diseases 79:1588-1599 PubMed32963045

2020

Unique expansion of IL-21+ Tfh and Tph cells under control of ICOS identifies Sjögren's syndrome with ectopic germinal centres and MALT lymphoma.

Applications

Unspecified application

Species

Unspecified reactive species

Elena Pontarini,William James Murray-Brown,Cristina Croia,Davide Lucchesi,James Conway,Felice Rivellese,Liliane Fossati-Jimack,Elisa Astorri,Edoardo Prediletto,Elisa Corsiero,Francesca Romana Delvecchio,Rachel Coleby,Eva Gelbhardt,Aurora Bono,Chiara Baldini,Ilaria Puxeddu,Piero Ruscitti,Roberto Giacomelli,Francesca Barone,Benjamin Fisher,Simon J Bowman,Serena Colafrancesco,Roberta Priori,Nurhan Sutcliffe,Stephen Challacombe,Gianluca Carlesso,Anwar Tappuni,Costantino Pitzalis,Michele Bombardieri

Clinical cancer research : an official journal of 26:4947-4957 PubMed32527942

2020

The Influence of Immune Heterogeneity on the Effectiveness of Immune Checkpoint Inhibitors in Multifocal Hepatocellular Carcinomas.

Applications

Unspecified application

Species

Unspecified reactive species

Manling Huang,Minghui He,Yu Guo,Heping Li,Shunli Shen,Yubin Xie,Xiaoxing Li,Han Xiao,Lujing Fang,Dongming Li,Baogang Peng,Lijian Liang,Jun Yu,Ming Kuang,Lixia Xu,Sui Peng

Archives of pathology & laboratory medicine 144:602-611 PubMed31556696

2019

Bone Marrow Infiltration of Angioimmunoblastic T-Cell Lymphoma: Identification and Prognostic Impact of Histologic Patterns and Diagnostic Application of Ancillary Phenotypic and Molecular Analyses.

Applications

Unspecified application

Species

Unspecified reactive species

Magdalena M Gerlach,Darius Juskevicius,Visar Vela,Stefan Dirnhofer,Alexandar Tzankov

Oncotarget 10:5136-5151 PubMed31497245

2019

Proliferative, pro-inflammatory, and angiogenesis regulator gene expression profile defines prognosis in different histopathological subtypes of nodal peripheral T-cell lymphoma.

Applications

Unspecified application

Species

Unspecified reactive species

Luís Alberto de Pádua Covas Lage,Débora Levy,Flávia Dias Xavier,Diego Cândido Reis,Renata de Oliveira Costa,Marianne Castro Gonçalves,Vanderson Rocha,Maria Cláudia Nogueira Zerbini,Juliana Pereira

The British journal of dermatology 182:648-657 PubMed31090221

2019

T helper 22 cells from Han Chinese patients with atopic dermatitis exhibit high expression of inducible T-cell costimulator.

Applications

Unspecified application

Species

Unspecified reactive species

Q Jiao,Q Qian,C Liu,Y Luo,F Fang,M Wang,J Ji,H Qian,X Zhang,M Maurer
View all publications
websiteProtocolBooklet
en

Product promise

We are committed to supporting your work with high-quality reagents, and we're here for you every step of the way. In the unlikely event that one of our products does not perform as expected, you're protected by our Product Promise.
For full details, please see our Terms & Conditions

Please note: All products are 'FOR RESEARCH USE ONLY. NOT FOR USE IN DIAGNOSTIC OR THERAPEUTIC PROCEDURES'.

For licensing inquiries, please contact partnerships@abcam.com