JavaScript is disabled in your browser. Please enable JavaScript to view this website.
AB236226

Anti-ICOS antibody [SP98] - BSA and Azide free

Be the first to review this product! Submit a review

|

(1 Publication)

Rabbit Recombinant Monoclonal ICOS antibody. Carrier free. Suitable for IHC-P, IHC-Fr and reacts with Human samples. Cited in 1 publication.

View Alternative Names

CD278, AILIM, ICOS, Inducible T-cell costimulator, Activation-inducible lymphocyte immunomediatory molecule

7 Images
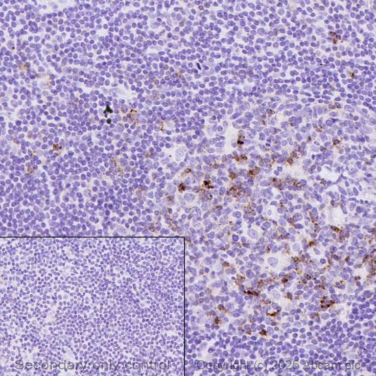
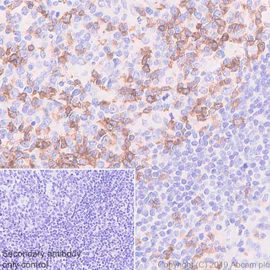
Immunohistochemistry (Frozen sections) - Anti-ICOS antibody [SP98] - BSA and Azide free (AB236226)
  • IHC-Fr

Lab

Immunohistochemistry (Frozen sections) - Anti-ICOS antibody [SP98] - BSA and Azide free (AB236226)

This image was generated using ab105227, the same clone, but with a different buffer formulation. IHC image of ICOS staining in a section of frozen normal human tonsil* performed on a Leica BOND™ system using the standard protocol. The section was fixed in 10% paraformaldehyde (10 min) prior to staining. The section was incubated with ab105227, 5ugml, for 15 mins at room temperature and detected using an HRP conjugated compact polymer system. DAB was used as the chromogen. The section was then counterstained with haematoxylin and mounted with DPX. The inset secondary-only control image is taken from an identical assay without primary antibody. For other IHC staining systems (automated and non-automated) customers should optimize variable parameters such as antigen retrieval conditions, primary antibody concentration and antibody incubation times. *Tissue obtained from the Human Research Tissue Bank, supported by the NIHR Cambridge Biomedical Research Centre

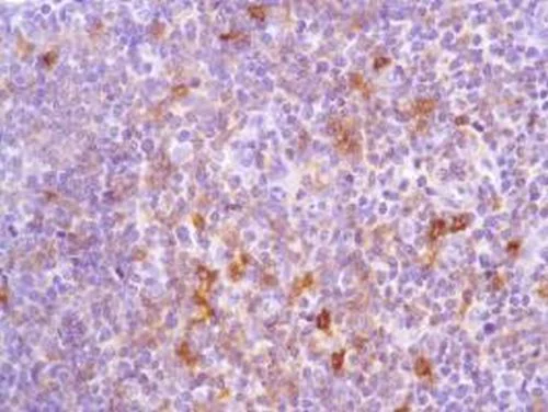
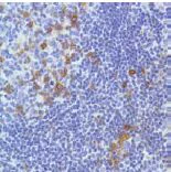
Immunohistochemistry (Formalin/PFA-fixed paraffin-embedded sections) - Anti-ICOS antibody [SP98] - BSA and Azide free (AB236226)
  • IHC-P

Unknown

Immunohistochemistry (Formalin/PFA-fixed paraffin-embedded sections) - Anti-ICOS antibody [SP98] - BSA and Azide free (AB236226)

ab105227, at 1/100 dilution, staining ICOS in formalin-fixed, paraffin-embedded Human reactive lymph node tissue by Immunohistochemistry.This data was developed using the same antibody clone in a different buffer formulation containing PBS, BSA, glycerol, and sodium azide (ab105227).

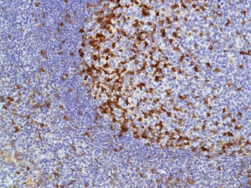
Immunohistochemistry (Formalin/PFA-fixed paraffin-embedded sections) - Anti-ICOS antibody [SP98] - BSA and Azide free (AB236226)
  • IHC-P

Unknown

Immunohistochemistry (Formalin/PFA-fixed paraffin-embedded sections) - Anti-ICOS antibody [SP98] - BSA and Azide free (AB236226)

Immunohistochemistry (Formalin/PFA-fixed paraffin-embedded sections) analysis of Human tonsil tissue sections labeling ICOS with ab105227 at 1/100 dilution (0.28 μg/ml). Heat mediated antigen retrieval with Tris-EDTA buffer (pH 9.0, epitope retrieval solution 2) for 30 mins. Rabbit specific IHC polymer detection kit HRP/DAB (ab209101) was used as the secondary antibody. Hematoxylin was used as a counterstain. Sporadically positive staining in the germinal center of human tonsil, performed on a Leica Biosystems BOND™ RX instrument.
The section was incubated with ab105227 for 30 mins at room temperature.

This image was generated using ab105227, the same clone, but with a different buffer formulation.

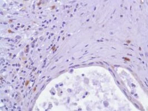
Immunohistochemistry (Formalin/PFA-fixed paraffin-embedded sections) - Anti-ICOS antibody [SP98] - BSA and Azide free (AB236226)
  • IHC-P

Supplier Data

Immunohistochemistry (Formalin/PFA-fixed paraffin-embedded sections) - Anti-ICOS antibody [SP98] - BSA and Azide free (AB236226)

Formalin-fixed, paraffin-embedded human pancreatic adenocarcinoma tissue stained for ICOS using ab105227 at 1/100 dilution in immunohistochemical analysis.

This data was developed using the same antibody clone in a different buffer formulation containing PBS, BSA, glycerol, and sodium azide (ab105227).

Immunohistochemistry (Formalin/PFA-fixed paraffin-embedded sections) - Anti-ICOS antibody [SP98] - BSA and Azide free (AB236226)
  • IHC-P

Supplier Data

Immunohistochemistry (Formalin/PFA-fixed paraffin-embedded sections) - Anti-ICOS antibody [SP98] - BSA and Azide free (AB236226)

Formalin-fixed, paraffin-embedded human tonsil tissue stained for ICOS using ab105227 at 1/100 dilution in immunohistochemical analysis.

This data was developed using the same antibody clone in a different buffer formulation containing PBS, BSA and sodium azide (ab105227).

Immunohistochemistry (Formalin/PFA-fixed paraffin-embedded sections) - Anti-ICOS antibody [SP98] - BSA and Azide free (AB236226)
  • IHC-P

Unknown

Immunohistochemistry (Formalin/PFA-fixed paraffin-embedded sections) - Anti-ICOS antibody [SP98] - BSA and Azide free (AB236226)

Formalin-fixed, paraffin-embedded human thymus tissue stained for ICOS using ab105227 at 1/100 dilution in immunohistochemical analysis.

This data was developed using the same antibody clone in a different buffer formulation containing PBS, BSA, glycerol, and sodium azide (ab105227).

Immunohistochemistry (Formalin/PFA-fixed paraffin-embedded sections) - Anti-ICOS antibody [SP98] - BSA and Azide free (AB236226)
  • IHC-P

Lab

Immunohistochemistry (Formalin/PFA-fixed paraffin-embedded sections) - Anti-ICOS antibody [SP98] - BSA and Azide free (AB236226)

This data was developed using ab105227, the same antibody clone in a different buffer formulation.

Immunohistochemical analysis of formalin fixed paraffin embedded human tonsil labelling ICOS with ab105227 at a dilution of 1/20. The immunostaining was performed on a Ventana DISCOVERY ULTRA (Roche Tissue Diagnostics) instrument with a OptiView DAB IHC Detection Kit followed by OptiView Amplification kit. Heat mediated antigen retrieval was performed with DISCOVERY cell conditioning solution (CC1) 100°C, pH8.5 for 32mins.

ab105227 Anti-ICOS antibody [SP98] was incubated for 16mins at 37°C. Sections were counterstained with Hematoxylin II.

Image inset shows absence of staining in secondary antibody only control.

Customers are encouraged to optimise antigen retrieval conditions, antibody concentration, incubation times and temperature for best results in their own IHC assay workflow (automated and manual)

Key facts

Host species

Rabbit

Clonality

Monoclonal

Clone number

SP98

Isotype

IgG

Carrier free

Yes

Reacts with

Human

Applications

IHC-P, IHC-Fr

applications

Immunogen

The exact immunogen used to generate this antibody is proprietary information.

Reactivity data

{ "title": "Reactivity Data", "filters": { "stats": ["", "Species", "Dilution Info", "Notes"], "tabs": { "all-applications": {"fullname" : "All Applications", "shortname": "All Applications"}, "IHCP" : {"fullname" : "Immunohistochemistry (Formalin/PFA-fixed paraffin-embedded sections)", "shortname":"IHC-P"}, "IHCFr" : {"fullname" : "Immunohistochemistry (Frozen sections)", "shortname":"IHC-Fr"} }, "product-promise": { "all": "all", "testedAndGuaranteed": "tested", "guaranteed": "expected", "predicted": "predicted", "notRecommended": "not-recommended" } }, "values": { "Human": { "IHCP-species-checked": "testedAndGuaranteed", "IHCP-species-dilution-info": "", "IHCP-species-notes": "<p>Perform antigen retrieval before commencing with IHC staining protocol by boiling tissue section in EDTA buffer, pH 8.0 for 10 min followed by cooling at RT for 20 min.</p>", "IHCFr-species-checked": "testedAndGuaranteed", "IHCFr-species-dilution-info": "", "IHCFr-species-notes": "<p></p>" }, "Mouse": { "IHCP-species-checked": "predicted", "IHCP-species-dilution-info": "", "IHCP-species-notes": "", "IHCFr-species-checked": "predicted", "IHCFr-species-dilution-info": "", "IHCFr-species-notes": "" } } }

Product details

ab236226 is the carrier-free version of ab105227.

What are the advantages of a recombinant monoclonal antibody?
This product is a recombinant monoclonal antibody, which offers several advantages including:

  • - High batch-to-batch consistency and reproducibility
  • - Improved sensitivity and specificity
  • - Long-term security of supply
  • - Animal-free batch production

For more information, read more on recombinant antibodies.

Conjugation ready
Our carrier-free antibodies are typically supplied in a PBS-only formulation, purified and free of BSA, sodium azide and glycerol. This conjugation-ready format is designed for use with fluorochromes, metal isotopes, oligonucleotides, and enzymes, which makes them ideal for antibody labelling, functional and cell-based assays, flow-based assays (e.g. mass cytometry) and Multiplex Imaging applications.

Use our conjugation kits for antibody conjugates that are ready-to-use in as little as 20 minutes with 1 minute hands-on-time and 100% antibody recovery: available for fluorescent dyes, HRP, biotin and gold.

Compatibility
This product is compatible with the Maxpar® Antibody Labeling Kit from Fluidigm, without the need for antibody preparation. Maxpar® is a trademark of Fluidigm Canada Inc.

Properties and storage information

Form
Liquid
Purification technique
Affinity purification Protein A/G
Purification notes
Purified from TCS by protein A/G.
Storage buffer
pH: 7.2 - 7.4 Constituents: PBS
Shipped at conditions
Blue Ice
Appropriate short-term storage conditions
+4°C
Appropriate long-term storage conditions
+4°C
Storage information
Do Not Freeze

Supplementary information

This supplementary information is collated from multiple sources and compiled automatically.

Inducible T-cell costimulator (ICOS) also known as AILIM or CD278 is a member of the CD28 superfamily of proteins. ICOS is a surface receptor protein approximately 60 kDa in mass. This protein is expressed mainly on activated T cells. It does not appear on naive or resting T cells. ICOS plays an important mechanical role in the immune response as its engagement enhances the production of cytokines and supports cell-cell interactions through its binding to the ICOS ligand.
Biological function summary

ICOS plays a critical role in the regulation of immune responses. It acts as a costimulatory signal for T cells supporting their proliferation and differentiation. ICOS helps form part of a complex involving interactions with the ICOS ligand present on antigen-presenting cells. This interaction affects the function and fate of various T cell subsets including T follicular helper cells which are important for antibody production.

Pathways

ICOS is part of the immune signaling pathway. It associates closely with the CD28 signaling pathway enhancing T-cell activation and survival. ICOS interacts with proteins such as the ICOS ligand (ICOSL) on antigen-presenting cells which helps mediate its effects. These pathways are essential in immune system homeostasis and adaptive immune responses where dysfunction can lead to immune-related diseases.

ICOS has implications in conditions such as autoimmune diseases and cancer. Abnormal expression or function of ICOS relates to the development of autoimmune conditions like systemic lupus erythematosus (SLE) where the overactive immune response damages the body's tissues. Additionally ICOS might support tumor progression in certain types of cancers by promoting immune escape. It interacts with regulatory proteins like CTLA-4 and PD-1 in these diseases which are notably involved in immune checkpoint pathways.

Product protocols

For this product, it's our understanding that no specific protocols are required. You can visit:

Target data

Stimulatory receptor expressed in activated or antigen-experienced T-cells that plays an important role in the immune response (PubMed : 9930702). Upon binding to its ligand ICOSL expressed on antigen presenting cells (APCs), delivers costimulatory signals that enhances all basic T-cell responses to a foreign antigen, namely proliferation, secretion of lymphokines including IL10, up-regulation of molecules that mediate cell-cell interaction, and effective help for antibody secretion by B-cells (PubMed : 33033255). Acts also as a costimulatory receptor critical for the differentiation of T follicular regulatory cells upon immune challenges such as viral infection (PubMed : 27135603). Mechanistically, potentiates TCR-induced calcium flux by augmenting PLCG1 activation and actin remodeling (By similarity). In addition, activates PI3K signaling pathways independently of calcium flux (PubMed : 30523347). Essential both for efficient interaction between T and B-cells and for normal antibody responses to T-cell dependent antigens. Prevents the apoptosis of pre-activated T-cells. Plays a critical role in CD40-mediated class switching of immunoglobin isotypes (By similarity).
See full target information ICOS

Publications (1)

Recent publications for all applications. Explore the full list and refine your search

Nature communications 15:7675 PubMed39227594

2024

Androgen receptor monomers and dimers regulate opposing biological processes in prostate cancer cells.

Applications

Unspecified application

Species

Unspecified reactive species

Rachid Safi,Suzanne E Wardell,Paige Watkinson,Xiaodi Qin,Marissa Lee,Sunghee Park,Taylor Krebs,Emma L Dolan,Adam Blattler,Toshiya Tsuji,Surendra Nayak,Marwa Khater,Celia Fontanillo,Madeline A Newlin,Megan L Kirkland,Yingtian Xie,Henry Long,Emma C Fink,Sean W Fanning,Scott Runyon,Myles Brown,Shuichan Xu,Kouros Owzar,John D Norris,Donald P McDonnell
View all publications

Product promise

We are committed to supporting your work with high-quality reagents, and we're here for you every step of the way. In the unlikely event that one of our products does not perform as expected, you're protected by our Product Promise.
For full details, please see our Terms & Conditions

Please note: All products are 'FOR RESEARCH USE ONLY. NOT FOR USE IN DIAGNOSTIC OR THERAPEUTIC PROCEDURES'.

For licensing inquiries, please contact partnerships@abcam.com