JavaScript is disabled in your browser. Please enable JavaScript to view this website.
AB283650

Anti-Id1 antibody [EPR24304-18A]

  • 20ul selling size
  • RabMAb
  • Recombinant
  • KO Validated
  • What is this?

Be the first to review this product! Submit a review

|

(0 Publication)

Rabbit Recombinant Monoclonal ID1 antibody. Suitable for ICC/IF, Flow Cyt, WB and reacts with Human, Rat samples.

View Alternative Names

BHLHB24, ID, ID1, DNA-binding protein inhibitor ID-1, Class B basic helix-loop-helix protein 24, Inhibitor of DNA binding 1, Inhibitor of differentiation 1, bHLHb24

6 Images
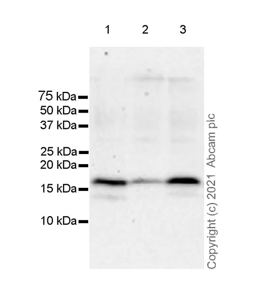
Western blot - Anti-Id1 antibody [EPR24304-18A] (AB283650)
  • WB

Lab

Western blot - Anti-Id1 antibody [EPR24304-18A] (AB283650)

Blocking and diluting buffer and concentration : 5% NFDM/TBST

The molecular weight observed is consistent with what has been described in the literature (PMID : 11034201, PMID : 1644289).

Exposure time : 3 minutes

All lanes:

Western blot - Anti-Id1 antibody [EPR24304-18A] (ab283650) at 1/1000 dilution

Lane 1:

MDA-MB-231 (human breast adenocarcinoma epithelial cell) whole cell lysate at 40 µg

Lane 2:

PC-3 (human prostate adenocarcinoma epithelial cell) whole cell lysate at 40 µg

Lane 3:

HCT 116 (human colorectal carcinoma epithelial cell) whole cell lysate at 40 µg

Secondary

All lanes:

Goat Anti-Rabbit IgG, (H+L), Peroxidase conjugated (<a href='/en-us/products/secondary-antibodies/goat-rabbit-igg-h-l-hrp-ab97051'>ab97051</a>) at 1/50000 dilution

Predicted band size: 16 kDa

Observed band size: 14-16 kDa

false

Western blot - Anti-Id1 antibody [EPR24304-18A] (AB283650)
  • WB

Lab

Western blot - Anti-Id1 antibody [EPR24304-18A] (AB283650)

Blocking and diluting buffer and concentration : 5% NFDM/TBST

This blot was developed using a higher sensitivity ECL substrate.

In materials from rats, ab283650 is suitable only for WB application.

Exposure time : 92 seconds

All lanes:

Western blot - Anti-Id1 antibody [EPR24304-18A] (ab283650) at 1/1000 dilution

Lane 1:

Untreated PC-12 (rat adrenal gland pheochromocytoma) whole cell lysate at 20 µg

Lane 2:

PC-12 treated with 50 ng/ml EGF (<a href='/en-us/products/proteins-peptides/recombinant-human-egf-protein-animal-free-ab9697'>ab9697</a>) for 48 hours, whole cell lysate at 20 µg

Secondary

All lanes:

Goat Anti-Rabbit IgG, (H+L), Peroxidase conjugated (<a href='/en-us/products/secondary-antibodies/goat-rabbit-igg-h-l-hrp-ab97051'>ab97051</a>) at 1/50000 dilution

Predicted band size: 16 kDa

Observed band size: 14-16 kDa

false

Flow Cytometry - Anti-Id1 antibody [EPR24304-18A] (AB283650)
  • Flow Cyt

Supplier Data

Flow Cytometry - Anti-Id1 antibody [EPR24304-18A] (AB283650)

Flow cytometric analysis of 4% paraformaldehyde fixed 90% methanol permeabilized HCT 116 (Human colorectal carcinoma epithelial cell) cells labelling Id1 with ab283650 at 1/50 dilution (1ug) (Red) compared with a Rabbit monoclonal IgG (ab172730) (Black) isotype control and an unlabelled control (cells without incubation with primary antibody and secondary antibody) (Blue). A Goat F(ab')2 Anti-Rabbit IgG (DyLight® 488, ab98507) at 1/500 dilution was used as the secondary antibody.

Western blot - Anti-Id1 antibody [EPR24304-18A] (AB283650)
  • WB

Lab

Western blot - Anti-Id1 antibody [EPR24304-18A] (AB283650)

Blocking and diluting buffer and concentration : 5% NFDM/TBST

Exposure time : 8 seconds

All lanes:

Western blot - Anti-Id1 antibody [EPR24304-18A] (ab283650) at 1/1000 dilution

Lane 1:

HEK-293T (human embryonic kidney) transfected with an empty vector (vector control), containing a myc-His-tag®, whole cell lysate at 10 µg

Lane 2:

HEK-293T transfected with human Id1 (WT) expression vector containing a myc-His-tag®, whole cell lysate at 10 µg

Secondary

All lanes:

Goat Anti-Rabbit IgG, (H+L), Peroxidase conjugated (<a href='/en-us/products/secondary-antibodies/goat-rabbit-igg-h-l-hrp-ab97051'>ab97051</a>) at 1/100000 dilution

Predicted band size: 16 kDa

Observed band size: 14-16 kDa

false

Immunocytochemistry/ Immunofluorescence - Anti-Id1 antibody [EPR24304-18A] (AB283650)
  • ICC/IF

Supplier Data

Immunocytochemistry/ Immunofluorescence - Anti-Id1 antibody [EPR24304-18A] (AB283650)

Immunofluorescent analysis of 4% Paraformaldehyde-fixed, 0.1% TritonX-100 permeabilized HCT 116 cells labelling Id1 with ab283650 at 1/50 (9.64 ug/ml) dilution, followed by ab150081 Goat Anti-Rabbit IgG H&L (Alexa Fluor® 488) preadsorbed antibody at 1/1000 (2 ug/ml) dilution (Green). Confocal image showing nuclear and weakly cytoplasmic staining in HCT 116 cell line. is observed. ab195889 Anti-alpha Tubulin mouse monoclonal antibody - Microtubule Marker (Alexa Fluor® 594) was used to counterstain tubulin at 1/200 (2.5 ug/ml) dilution (Red). The Nuclear counterstain was DAPI (Blue).

Secondary antibody only control : Secondary antibody is ab150081 Goat Anti-Rabbit IgG H&L (Alexa Fluor® 488) preadsorbed at 1/1000 (2 ug/ml) dilution.

Western blot - Anti-Id1 antibody [EPR24304-18A] (AB283650)
  • WB

Lab

Western blot - Anti-Id1 antibody [EPR24304-18A] (AB283650)

False colour image of Western blot : Anti-Id1 antibody [EPR24304-18A] staining at 1/1000 dilution, shown in green; Mouse anti-GAPDH antibody [6C5] (ab8245) loading control staining at 1/20000 dilution, shown in red. In Western blot, ab283650 was shown to bind specifically to Id1. A band was observed at 16 kDa in wild-type A549 cell lysates with no signal observed at this size in ID1 knockout cell line ab269603 (knockout cell lysate ab272442). To generate this image, wild-type and ID1 knockout A549 cell lysates were analysed. First, samples were run on an SDS-PAGE gel then transferred onto a nitrocellulose membrane. Membranes were blocked in 5 % milk in TBS-0.1 % Tween$®$ 20 (TBS-T) before incubation with primary antibodies overnight at 4 °C. Blots were washed four times in TBS-T, incubated with secondary antibodies for 1 h at room temperature, washed again four times then imaged. Secondary antibodies used were Goat anti-Rabbit IgG H&L 800CW and Goat anti-Mouse IgG H&L 680RD at 1/20000 dilution.

All lanes:

Western blot - Anti-Id1 antibody [EPR24304-18A] (ab283650) at 1/1000 dilution

Lane 1:

Wild-type A549 vehicle control nicotine (0 uM, 18 h) cell lysate at 20 µg

Lane 2:

Wild-type A549 treated nicotine (1 uM, 18 h) cell lysate at 20 µg

Lane 3:

ID1 knockout A549 vehicle control nicotine (0 uM, 18 h) cell lysate at 20 µg

Lane 4:

ID1 knockout A549 treated nicotine (1 uM, 18 h) cell lysate at 20 µg

Lane 5:

PC-3 cell lysate at 20 µg

Lane 6:

HeLa cell lysate at 20 µg

Lane 7:

HeLa nuclear cell lysate at 20 µg

Observed band size: 16 kDa

false

  • Carrier free

    Anti-Id1 antibody [EPR24304-18A] - BSA and Azide free

Key facts

Host species

Rabbit

Clonality

Monoclonal

Clone number

EPR24304-18A

Isotype

IgG

Carrier free

No

Reacts with

Human, Rat

Applications

ICC/IF, WB, Flow Cyt

applications

Immunogen

The exact immunogen used to generate this antibody is proprietary information.

Specificity

Rat only suitable for WB, but not ICC or FC application

Reactivity data

{ "title": "Reactivity Data", "filters": { "stats": ["", "Species", "Dilution Info", "Notes"], "tabs": { "all-applications": {"fullname" : "All Applications", "shortname": "All Applications"}, "ICCIF" : {"fullname" : "Immunocytochemistry/ Immunofluorescence", "shortname":"ICC/IF"}, "IP" : {"fullname" : "Immunoprecipitation", "shortname":"IP"}, "FlowCyt" : {"fullname" : "Flow Cytometry", "shortname":"Flow Cyt"}, "WB" : {"fullname" : "Western blot", "shortname":"WB"}, "IHCP" : {"fullname" : "Immunohistochemistry (Formalin/PFA-fixed paraffin-embedded sections)", "shortname":"IHC-P"} }, "product-promise": { "all": "all", "testedAndGuaranteed": "tested", "guaranteed": "expected", "predicted": "predicted", "notRecommended": "not-recommended" } }, "values": { "Human": { "ICCIF-species-checked": "testedAndGuaranteed", "ICCIF-species-dilution-info": "1/50", "ICCIF-species-notes": "<p></p>", "IP-species-checked": "notRecommended", "IP-species-dilution-info": "", "IP-species-notes": "<p></p>", "FlowCyt-species-checked": "testedAndGuaranteed", "FlowCyt-species-dilution-info": "1/50", "FlowCyt-species-notes": "<p></p>", "WB-species-checked": "testedAndGuaranteed", "WB-species-dilution-info": "1/1000", "WB-species-notes": "<p></p>", "IHCP-species-checked": "notRecommended", "IHCP-species-dilution-info": "", "IHCP-species-notes": "<p></p>" }, "Mouse": { "ICCIF-species-checked": "notRecommended", "ICCIF-species-dilution-info": "", "ICCIF-species-notes": "", "IP-species-checked": "notRecommended", "IP-species-dilution-info": "", "IP-species-notes": "", "FlowCyt-species-checked": "notRecommended", "FlowCyt-species-dilution-info": "", "FlowCyt-species-notes": "", "WB-species-checked": "notRecommended", "WB-species-dilution-info": "1/1000", "WB-species-notes": "<p></p>", "IHCP-species-checked": "notRecommended", "IHCP-species-dilution-info": "", "IHCP-species-notes": "<p></p>" }, "Rat": { "ICCIF-species-checked": "notRecommended", "ICCIF-species-dilution-info": "1/50", "ICCIF-species-notes": "<p></p>", "IP-species-checked": "notRecommended", "IP-species-dilution-info": "", "IP-species-notes": "<p></p>", "FlowCyt-species-checked": "notRecommended", "FlowCyt-species-dilution-info": "1/50", "FlowCyt-species-notes": "<p></p>", "WB-species-checked": "testedAndGuaranteed", "WB-species-dilution-info": "1/1000", "WB-species-notes": "<p></p>", "IHCP-species-checked": "notRecommended", "IHCP-species-dilution-info": "", "IHCP-species-notes": "<p></p>" } } }

You may be interested in:

AB315051

Human ID1 ELISA Kit

0

0 Reviews

View product

We recommend this product because it’s often used in the same experiment or related research.

We advise that you always check the datasheet to ensure it fits your experiments, or contact ourtechnical teamfor help.

Product details

Patented technology
Our RabMAb® technology is a patented hybridoma-based technology for making rabbit monoclonal antibodies. For details on our patents, please refer to RabMAb® patents.

What are the advantages of a recombinant monoclonal antibody?
This product is a recombinant monoclonal antibody, which offers several advantages including:

  • - High batch-to-batch consistency and reproducibility
  • - Improved sensitivity and specificity
  • - Long-term security of supply
  • - Animal-free batch production

For more information, read more on recombinant antibodies.

Properties and storage information

Form
Liquid
Purification technique
Affinity purification Protein A
Storage buffer
pH: 7.2 - 7.4 Preservative: 0.01% Sodium azide Constituents: 59% PBS, 40% Glycerol (glycerin, glycerine), 0.05% BSA
Shipped at conditions
Blue Ice
Appropriate short-term storage duration
1-2 weeks
Appropriate short-term storage conditions
+4°C
Appropriate long-term storage conditions
-20°C
Aliquoting information
Upon delivery aliquot
Storage information
Avoid freeze / thaw cycle

Supplementary information

This supplementary information is collated from multiple sources and compiled automatically.

The Id1 protein also known as Inhibitor of Differentiation 1 functions as a helix-loop-helix (HLH) transcription factor. It belongs to the family of inhibitor of differentiation proteins and weighs approximately 16 kDa. It lacks a basic DNA-binding domain which causes it to prevent transcription when it forms heterodimers with other HLH proteins. Id1 shows expression in various tissues but has noticeably high levels in embryonic and adult tissues involved in developmental processes.
Biological function summary

The Id1 protein plays significant roles in cellular differentiation proliferation and senescence. It does not function within a larger complex but acts as a suppressor of basic HLH transcription factors influencing cell differentiation pathways. Particularly it inhibits functions of factors that promote differentiation allowing cells to maintain a proliferative state. This inhibition capability marks Id1 as an important regulator in development and adult tissue maintenance.

Pathways

The Id1 protein influences key processes by interacting with the TGF-β (transforming growth factor-beta) pathway. It helps regulate cellular responses to growth factors that control cell cycle and apoptosis. In addition the protein has connections to the Notch signaling pathway which is important in cell fate determination. Through these pathways Id1 interacts with proteins such as Smad and Notch receptors highlighting its influence on developmental and immune responses.

Id1 has been linked to cancer and neurodegenerative diseases. Its dysregulation often leads to abnormal cell proliferation and resistance to differentiation processes that are hallmarks in cancer progression. Related proteins like c-Myc have interactions with Id1 in cancer endorsing cell cycle advancement. Additionally elevated Id1 expression connects to neurodegenerative conditions as it may disrupt normal neuronal differentiation linking to proteins such as NF-kB involved in cell survival and inflammation.

Product protocols

For this product, it's our understanding that no specific protocols are required. You can visit:

Target data

Transcriptional regulator (lacking a basic DNA binding domain) which negatively regulates the basic helix-loop-helix (bHLH) transcription factors by forming heterodimers and inhibiting their DNA binding and transcriptional activity. Implicated in regulating a variety of cellular processes, including cellular growth, senescence, differentiation, apoptosis, angiogenesis, and neoplastic transformation. Inhibits skeletal muscle and cardiac myocyte differentiation. Regulates the circadian clock by repressing the transcriptional activator activity of the CLOCK-BMAL1 heterodimer (By similarity).
See full target information ID1

Product promise

We are committed to supporting your work with high-quality reagents, and we're here for you every step of the way. In the unlikely event that one of our products does not perform as expected, you're protected by our Product Promise.
For full details, please see our Terms & Conditions

Please note: All products are 'FOR RESEARCH USE ONLY. NOT FOR USE IN DIAGNOSTIC OR THERAPEUTIC PROCEDURES'.

For licensing inquiries, please contact partnerships@abcam.com