JavaScript is disabled in your browser. Please enable JavaScript to view this website.
AB320647

Anti-ID2 antibody [EPR29025-9] - BSA and Azide free

Be the first to review this product! Submit a review

|

(0 Publication)

Rabbit Recombinant Monoclonal ID2 antibody. Carrier free. Suitable for WB and reacts with Transfected cell lysate - Human, Human, Mouse samples.

View Alternative Names

BHLHB26, ID2, DNA-binding protein inhibitor ID-2, Class B basic helix-loop-helix protein 26, Inhibitor of DNA binding 2, Inhibitor of differentiation 2, bHLHb26

4 Images
Western blot - Anti-ID2 antibody [EPR29025-9] - BSA and Azide free (AB320647)
  • WB

Supplier Data

Western blot - Anti-ID2 antibody [EPR29025-9] - BSA and Azide free (AB320647)

This data was developed using ab320646, the same antibody clone in a different buffer formulation.

Blocking and diluting buffer and concentration : 5% NFDM/TBST.

Low expression : A-204, HT-1080, RD (PMID : 12447693).

In Western blot, Anti-GAPDH antibody [EPR16891] - Loading Control (ab181602) staining at 1/200000 dilution.

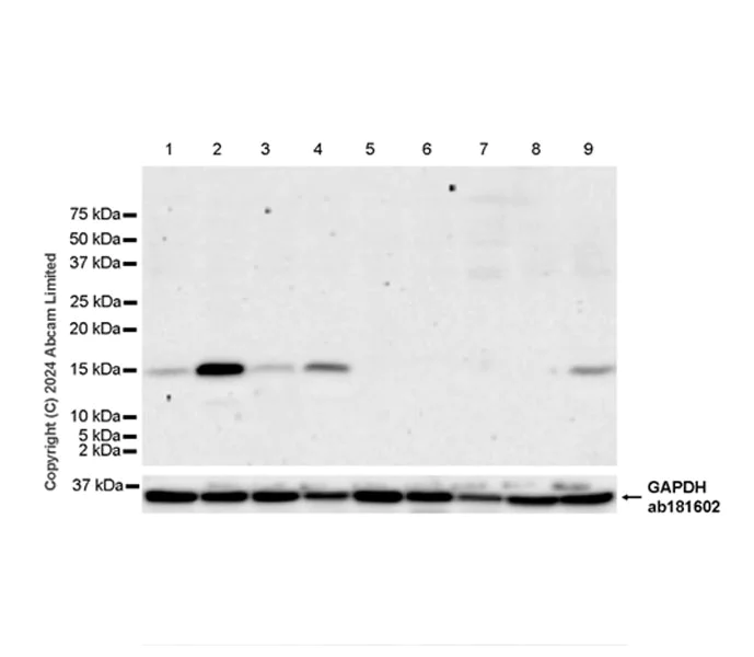
All lanes:

Western blot - Anti-ID2 antibody [EPR29025-9] (<a href='/en-us/products/primary-antibodies/id2-antibody-epr29025-9-ab320646'>ab320646</a>) at 1/1000 dilution

Lane 1:

Untreated A-673 (human muscle ewings sarcoma cell line) whole cell lysate at 30 µg

Lane 2:

A-673 treated with 20μM MG-132 for 4 hours whole cell lysate at 30 µg

Lane 3:

Untreated HCT-15 (human colon epithelial cell) whole cell lysate at 30 µg

Lane 4:

HCT-15 treated with 20μM MG-132 for 4 hours whole cell lysate at 30 µg

Lane 5:

A-204 (human muscle rhabdomyosarcoma cell) whole cell lysate at 30 µg

Lane 6:

HT-1080 (human fibrosarcoma epithelial cell) whole cell lysate at 30 µg

Lane 7:

RD (human muscle mtinucleated spindle-shaped cell) whole cell lysate at 30 µg

Lane 8:

Untreated HCT 116 (human colorectal carcinoma epithelial cell) whole cell lysate at 30 µg

Lane 9:

HCT 116 treated with 10μM MG-132 for 4 hours whole cell lysate at 30 µg

Secondary

All lanes:

Western blot - Goat Anti-Rabbit IgG H&L (HRP) (<a href='/en-us/products/secondary-antibodies/goat-rabbit-igg-h-l-hrp-ab97051'>ab97051</a>) at 1/20000 dilution

Observed band size: 15 kDa,36 kDa

false

Exposure time: 180s

Western blot - Anti-ID2 antibody [EPR29025-9] - BSA and Azide free (AB320647)
  • WB

Supplier Data

Western blot - Anti-ID2 antibody [EPR29025-9] - BSA and Azide free (AB320647)

This data was developed using ab320646, the same antibody clone in a different buffer formulation.

Blocking and diluting buffer and concentration : 5% NFDM/TBST.

In Western blot, Anti-GAPDH antibody [EPR16891] - Loading Control (ab181602) staining at 1/200000 dilution.

All lanes:

Western blot - Anti-ID2 antibody [EPR29025-9] (<a href='/en-us/products/primary-antibodies/id2-antibody-epr29025-9-ab320646'>ab320646</a>) at 1/1000 dilution

Lane 1:

Untreated SK-N-BE(2) (human neuroblastoma neuroblast) whole cell lysate at 30 µg

Lane 2:

SK-N-BE(2) treated with 20uM MG-132 for 4 hours whole cell lysate at 30 µg

Secondary

All lanes:

Western blot - Goat Anti-Rabbit IgG H&L (HRP) (<a href='/en-us/products/secondary-antibodies/goat-rabbit-igg-h-l-hrp-ab97051'>ab97051</a>) at 1/20000 dilution

Observed band size: 15 kDa,36 kDa

false

Exposure time: 180s

Western blot - Anti-ID2 antibody [EPR29025-9] - BSA and Azide free (AB320647)
  • WB

Supplier Data

Western blot - Anti-ID2 antibody [EPR29025-9] - BSA and Azide free (AB320647)

This data was developed using ab320646, the same antibody clone in a different buffer formulation.

Blocking and diluting buffer and concentration : 5% NFDM/TBST.

The identity of the bands higher than 20 kDa and lower than 14 kDa are unknown.

In Western blot, Anti-GAPDH antibody [EPR16891] - Loading Control (ab181602) staining at 1/200000 dilution.

All lanes:

Western blot - Anti-ID2 antibody [EPR29025-9] (<a href='/en-us/products/primary-antibodies/id2-antibody-epr29025-9-ab320646'>ab320646</a>) at 1/1000 dilution

Lane 1:

Untreated NIH/3T3 (mouse embryonic fibroblast) whole cell lysate at 30 µg

Lane 2:

NIH/3T3 treated with 20μМM MG-132 for 4 hours whole cell lysate at 30 µg

Lane 3:

Untreated MEF (mouse embryo fibroblast) whole cell lysate at 30 µg

Lane 4:

MEF treated with 20μМM MG-132 for 4 hours whole cell lysate at 30 µg

Secondary

All lanes:

Western blot - Goat Anti-Rabbit IgG H&L (HRP) (<a href='/en-us/products/secondary-antibodies/goat-rabbit-igg-h-l-hrp-ab97051'>ab97051</a>) at 1/20000 dilution

Observed band size: 15 kDa,36 kDa

false

Exposure time: 48s

Western blot - Anti-ID2 antibody [EPR29025-9] - BSA and Azide free (AB320647)
  • WB

Supplier Data

Western blot - Anti-ID2 antibody [EPR29025-9] - BSA and Azide free (AB320647)

This data was developed using ab320646, the same antibody clone in a different buffer formulation.

Blocking and diluting buffer and concentration : 5% NFDM/TBST.

This antibody does not cross-react with overexpressed human ID1 by Western Blot.

In Western blot, Anti-GAPDH antibody [EPR16891] - Loading Control (ab181602) staining at 1/200000 dilution.

In Western blot, Anti-6X His tag® antibody [EPR20547] - ChIP Grade (ab213204) staining at 1/5000 dilution.

All lanes:

Western blot - Anti-ID2 antibody [EPR29025-9] (<a href='/en-us/products/primary-antibodies/id2-antibody-epr29025-9-ab320646'>ab320646</a>) at 1/1000 dilution

Lane 1:

293T cells transfected with a human ID2 expression vector containing a myc-His-tag® treated with 20μM MG-132 for 5 hours whole cell lysate at 10 µg

Lane 2:

293T cells transfected with a human ID1 expression vector containing a myc-His-tag® treated with 20μM MG-132 for 5 hours whole cell lysate at 10 µg

Secondary

All lanes:

Western blot - Goat Anti-Rabbit IgG H&L (HRP) (<a href='/en-us/products/secondary-antibodies/goat-rabbit-igg-h-l-hrp-ab97051'>ab97051</a>) at 1/20000 dilution

Observed band size: 18 kDa,36 kDa

false

Exposure time: 3s

Key facts

Host species

Rabbit

Clonality

Monoclonal

Clone number

EPR29025-9

Isotype

IgG

Carrier free

Yes

Reacts with

Human, Mouse

Applications

WB

applications

Immunogen

The exact immunogen used to generate this antibody is proprietary information.

Specificity

This antibody does not cross-react with overexpressed human ID1 (#P41134) by Western Blot.

Reactivity data

{ "title": "Reactivity Data", "filters": { "stats": ["", "Species", "Dilution Info", "Notes"], "tabs": { "all-applications": {"fullname" : "All Applications", "shortname": "All Applications"}, "WB" : {"fullname" : "Western blot", "shortname":"WB"}, "IHCP" : {"fullname" : "Immunohistochemistry (Formalin/PFA-fixed paraffin-embedded sections)", "shortname":"IHC-P"}, "IP" : {"fullname" : "Immunoprecipitation", "shortname":"IP"}, "ICCIF" : {"fullname" : "Immunocytochemistry/ Immunofluorescence", "shortname":"ICC/IF"} }, "product-promise": { "all": "all", "testedAndGuaranteed": "tested", "guaranteed": "expected", "predicted": "predicted", "notRecommended": "not-recommended" } }, "values": { "Human": { "WB-species-checked": "testedAndGuaranteed", "WB-species-dilution-info": "", "WB-species-notes": "<p></p>", "IHCP-species-checked": "notRecommended", "IHCP-species-dilution-info": "", "IHCP-species-notes": "<p></p>", "IP-species-checked": "notRecommended", "IP-species-dilution-info": "", "IP-species-notes": "<p></p>", "ICCIF-species-checked": "notRecommended", "ICCIF-species-dilution-info": "", "ICCIF-species-notes": "" }, "Mouse": { "WB-species-checked": "testedAndGuaranteed", "WB-species-dilution-info": "", "WB-species-notes": "<p></p>", "IHCP-species-checked": "notRecommended", "IHCP-species-dilution-info": "", "IHCP-species-notes": "<p></p>", "IP-species-checked": "notRecommended", "IP-species-dilution-info": "", "IP-species-notes": "<p></p>", "ICCIF-species-checked": "notRecommended", "ICCIF-species-dilution-info": "", "ICCIF-species-notes": "<p></p>" }, "Transfected cell lysate - Human": { "WB-species-checked": "testedAndGuaranteed", "WB-species-dilution-info": "", "WB-species-notes": "<p></p>", "IHCP-species-checked": "notRecommended", "IHCP-species-dilution-info": "", "IHCP-species-notes": "", "IP-species-checked": "notRecommended", "IP-species-dilution-info": "", "IP-species-notes": "", "ICCIF-species-checked": "notRecommended", "ICCIF-species-dilution-info": "", "ICCIF-species-notes": "" } } }

Product details

ab320647 is the carrier-free version of ab320646.

Patented technology
Our RabMAb® technology is a patented hybridoma-based technology for making rabbit monoclonal antibodies. For details on our patents, please refer to RabMAb® patents.

What are the advantages of a recombinant monoclonal antibody?
This product is a recombinant monoclonal antibody, which offers several advantages including:

  • - High batch-to-batch consistency and reproducibility
  • - Improved sensitivity and specificity
  • - Long-term security of supply
  • - Animal-free batch production

For more information, read more on recombinant antibodies.

Conjugation ready
Our carrier-free antibodies are typically supplied in a PBS-only formulation, purified and free of BSA, sodium azide and glycerol. This conjugation-ready format is designed for use with fluorochromes, metal isotopes, oligonucleotides, and enzymes, which makes them ideal for antibody labelling, functional and cell-based assays, flow-based assays (e.g. mass cytometry) and Multiplex Imaging applications.

Use our conjugation kits for antibody conjugates that are ready-to-use in as little as 20 minutes with 1 minute hands-on-time and 100% antibody recovery: available for fluorescent dyes, HRP, biotin and gold.

Compatibility
This product is compatible with the Maxpar® Antibody Labeling Kit from Fluidigm, without the need for antibody preparation. Maxpar® is a trademark of Fluidigm Canada Inc.

Properties and storage information

Form
Liquid
Purification technique
Affinity purification Protein A
Storage buffer
pH: 7.2 - 7.4 Constituents: PBS
Shipped at conditions
Blue Ice
Appropriate short-term storage conditions
+4°C
Appropriate long-term storage conditions
+4°C

Supplementary information

This supplementary information is collated from multiple sources and compiled automatically.

ID2 also known as inhibitor of DNA binding 2 is a nuclear protein with a molecular weight approximately 15 kDa. It functions as a dominant negative regulator and lacks a DNA-binding domain but it forms heterodimers with basic helix-loop-helix (bHLH) transcription factors. This interaction with bHLH proteins inhibits their ability to bind DNA and initiate transcription. ID2 expresses in various tissues particularly in places with high cellular proliferation such as the nervous system and developing tissues.
Biological function summary

ID2 plays a role in cellular proliferation differentiation and development by modulating the activity of other transcription factors. It acts as part of a regulatory complex that blocks differentiation pathways allowing cells to maintain a proliferative and less differentiated state. ID2 often interacts with proteins like E2A and MyoD which are important for muscle cell differentiation. By regulating these factors ID2 influences the balance between cell growth and terminal differentiation.

Pathways

ID2 integrates into key signaling pathways particularly the TGF-beta and BMP signaling pathways. Through its interaction with the aforementioned bHLH transcription factors ID2 indirectly influences processes governed by these pathways. TGF-beta pathway for instance regulates cell growth and differentiation in a context-dependent manner incorporating ID2's regulatory effect on differentiation-suppressing transcription factors.

ID2 has implications in cancer and neurodegenerative diseases. Dysregulation of ID2 expression or function can contribute to tumorigenesis as it affects cell cycle progression and prevents differentiation both important in cancer development. Additionally ID2 has connections to proteins like pRb in retinoblastoma where it influences the pathway that leads to uncontrolled cellular proliferation. In the context of neurodegenerative disorders altered ID2 activity might impact neuronal differentiation providing links to cognitive deficits.

Product protocols

For this product, it's our understanding that no specific protocols are required. You can visit:

Target data

Transcriptional regulator (lacking a basic DNA binding domain) which negatively regulates the basic helix-loop-helix (bHLH) transcription factors by forming heterodimers and inhibiting their DNA binding and transcriptional activity. Implicated in regulating a variety of cellular processes, including cellular growth, senescence, differentiation, apoptosis, angiogenesis, and neoplastic transformation. Inhibits skeletal muscle and cardiac myocyte differentiation. Regulates the circadian clock by repressing the transcriptional activator activity of the CLOCK-BMAL1 heterodimer. Restricts the CLOCK and BMAL1 localization to the cytoplasm. Plays a role in both the input and output pathways of the circadian clock : in the input component, is involved in modulating the magnitude of photic entrainment and in the output component, contributes to the regulation of a variety of liver clock-controlled genes involved in lipid metabolism.
See full target information ID2

Product promise

We are committed to supporting your work with high-quality reagents, and we're here for you every step of the way. In the unlikely event that one of our products does not perform as expected, you're protected by our Product Promise.
For full details, please see our Terms & Conditions

Please note: All products are 'FOR RESEARCH USE ONLY. NOT FOR USE IN DIAGNOSTIC OR THERAPEUTIC PROCEDURES'.

For licensing inquiries, please contact partnerships@abcam.com