JavaScript is disabled in your browser. Please enable JavaScript to view this website.
AB214803

Anti-IDH1 antibody [EPR12296] - BSA and Azide free

Be the first to review this product! Submit a review

|

(1 Publication)

Rabbit Recombinant Monoclonal IDH1 antibody. Carrier free. Suitable for IHC-P, IP, WB and reacts with Human, Mouse, Rat samples. Cited in 1 publication.

View Alternative Names

PICD, IDH1, Isocitrate dehydrogenase [NADP] cytoplasmic, IDH, Cytosolic NADP-isocitrate dehydrogenase, IDPc, NADP(+)-specific ICDH, Oxalosuccinate decarboxylase

5 Images
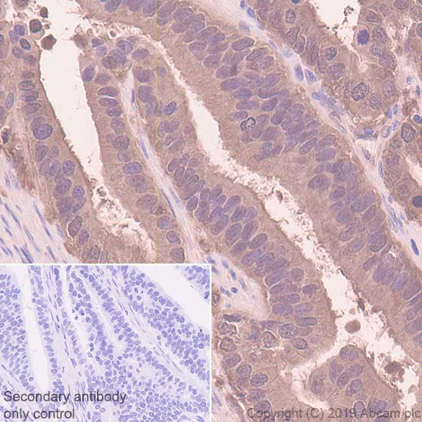
Immunohistochemistry (Formalin/PFA-fixed paraffin-embedded sections) - Anti-IDH1 antibody [EPR12296] - BSA and Azide free (AB214803)
  • IHC-P

Lab

Immunohistochemistry (Formalin/PFA-fixed paraffin-embedded sections) - Anti-IDH1 antibody [EPR12296] - BSA and Azide free (AB214803)

This data was developed using ab172964, the same antibody clone in a different buffer formulation.

Immunohistochemistry (Formalin/PFA-fixed paraffin-embedded sections) analysis of human gastric cancer tissue sections labeling IDH1 with purified ab172964 at 1/200 dilution (0.60 μg/mL). Heat mediated antigen retrieval was performed using Perform heat mediated antigen retrieval using ab93684 (Tris/EDTA buffer, pH 9.0). Tissue was counterstained with Hematoxylin. ImmunoHistoProbe one step HRP Polymer (ready to use) secondary antibody was used at 1/0 dilution. PBS instead of the primary antibody was used as the negative control.

Immunoprecipitation - Anti-IDH1 antibody [EPR12296] - BSA and Azide free (AB214803)
  • IP

Lab

Immunoprecipitation - Anti-IDH1 antibody [EPR12296] - BSA and Azide free (AB214803)

This data was developed using ab172964, the same antibody clone in a different buffer formulation.
Purified ab172964 at 1/20 dilution (0.6μg) immunoprecipitating IDH1 in HepG2 whole cell lysate.
Lane 1 (input) : HepG2 (Human hepatocellular carcinoma epithelial cell) whole cell lysate.
Lane 2 (+) : ab172964 + HepG2 whole cell lysate.
Lane 3 (-) : Rabbit monoclonal IgG (ab172730) instead of ab172964 in HepG2 whole cell lysate.
VeriBlot for IP Detection Reagent (HRP) (ab131366) (1/1000 dilution) was used for Western blotting.
Blocking Buffer and concentration : 5% NFDM/TBST.
Diluting buffer and concentration : 5% NFDM/TBST.

All lanes:

Immunoprecipitation - Anti-IDH1 antibody [EPR12296] (<a href='/en-us/products/primary-antibodies/idh1-antibody-epr12296-ab172964'>ab172964</a>)

Predicted band size: 46 kDa

Observed band size: 47 kDa

false

Western blot - Anti-IDH1 antibody [EPR12296] - BSA and Azide free (AB214803)
  • WB

Lab

Western blot - Anti-IDH1 antibody [EPR12296] - BSA and Azide free (AB214803)

This WB data was generated using the same anti-IDH1 antibody clone, EPR12296, in a different buffer formulation (cat# ab172964).

Lane 1 : Wild-type HAP1 whole cell lysate (20 μg)
Lane 2 : IDH1 knockout HAP1 whole cell lysate (20 μg)
Lane 3 : HeLa whole cell lysate (20 μg)
Lane 4 : HepG2 whole cell lysate (20 μg)

Lanes 1 - 4 : Merged signal (red and green). Green - ab172964 observed at 46 kDa. Red - loading control, ab8245, observed at 37 kDa.

ab172964 was shown to specifically react with IDH1 in wild-type HAP1 cells. No band was observed when IDH1 knockout samples were used. Wild-type and IDH1 knockout samples were subjected to SDS-PAGE. ab172964 and ab8245 (Mouse anti GAPDH loading control) were incubated overnight at 4°C at 1/1000 dilution and 1/10,000 dilution respectively. Blots were developed with Goat anti-Rabbit IgG H&L (IRDye® 800CW) preabsorbed ab216773 and Goat anti-Mouse IgG H&L (IRDye® 680RD) preabsorbed ab216776 secondary antibodies at 1/10,000 dilution for 1 hour at room temperature before imaging.

All lanes:

Western blot - Anti-IDH1 antibody [EPR12296] (<a href='/en-us/products/primary-antibodies/idh1-antibody-epr12296-ab172964'>ab172964</a>)

Predicted band size: 46 kDa

false

Western blot - Anti-IDH1 antibody [EPR12296] - BSA and Azide free (AB214803)
  • WB

Unknown

Western blot - Anti-IDH1 antibody [EPR12296] - BSA and Azide free (AB214803)

All lanes:

Western blot - Anti-IDH1 antibody [EPR12296] (<a href='/en-us/products/primary-antibodies/idh1-antibody-epr12296-ab172964'>ab172964</a>) at 1/1000 dilution

All lanes:

Raji (Human Burkitt's lymphoma B lymphocyte) whole cell lysate at 15 µg

Secondary

All lanes:

Western blot - Goat Anti-Rabbit IgG H&L (HRP) (<a href='/en-us/products/secondary-antibodies/goat-rabbit-igg-h-l-hrp-ab97051'>ab97051</a>) at 1/20000 dilution

Predicted band size: 46 kDa

false

Western blot - Anti-IDH1 antibody [EPR12296] - BSA and Azide free (AB214803)
  • WB

Unknown

Western blot - Anti-IDH1 antibody [EPR12296] - BSA and Azide free (AB214803)

All lanes:

Western blot - Anti-IDH1 antibody [EPR12296] (<a href='/en-us/products/primary-antibodies/idh1-antibody-epr12296-ab172964'>ab172964</a>) at 1/1000 dilution

Lane 1:

HepG2 (Human hepatocellular carcinoma epithelial cell) whole cell lysate

Lane 2:

Rat kidney lysate

Lane 3:

Neuro-2a (Mouse neuroblastoma neuroblast) whole cell lysate

Secondary

All lanes:

Goat Anti-Rabbit IgG (HRP) with minimal cross-reactivity with human IgG at 1/2000 dilution

Predicted band size: 46 kDa

false

Key facts

Host species

Rabbit

Clonality

Monoclonal

Clone number

EPR12296

Isotype

IgG

Carrier free

Yes

Reacts with

Mouse, Rat, Human

Applications

IHC-P, WB, IP

applications

Immunogen

The exact immunogen used to generate this antibody is proprietary information.

Specificity

The mouse and rat recommendation is based on the WB results. We do not guarantee IHC-P for mouse and rat.

Reactivity data

{ "title": "Reactivity Data", "filters": { "stats": ["", "Species", "Dilution Info", "Notes"], "tabs": { "all-applications": {"fullname" : "All Applications", "shortname": "All Applications"}, "IHCP" : {"fullname" : "Immunohistochemistry (Formalin/PFA-fixed paraffin-embedded sections)", "shortname":"IHC-P"}, "IP" : {"fullname" : "Immunoprecipitation", "shortname":"IP"}, "WB" : {"fullname" : "Western blot", "shortname":"WB"} }, "product-promise": { "all": "all", "testedAndGuaranteed": "tested", "guaranteed": "expected", "predicted": "predicted", "notRecommended": "not-recommended" } }, "values": { "Human": { "IHCP-species-checked": "testedAndGuaranteed", "IHCP-species-dilution-info": "", "IHCP-species-notes": "<p>The mouse and rat recommendation is based on the WB results. We do not guarantee IHC-P for mouse and rat.</p>", "IP-species-checked": "testedAndGuaranteed", "IP-species-dilution-info": "", "IP-species-notes": "<p></p>", "WB-species-checked": "testedAndGuaranteed", "WB-species-dilution-info": "", "WB-species-notes": "<p></p>" }, "Mouse": { "IHCP-species-checked": "guaranteed", "IHCP-species-dilution-info": "", "IHCP-species-notes": "", "IP-species-checked": "guaranteed", "IP-species-dilution-info": "", "IP-species-notes": "", "WB-species-checked": "testedAndGuaranteed", "WB-species-dilution-info": "", "WB-species-notes": "<p></p>" }, "Rat": { "IHCP-species-checked": "guaranteed", "IHCP-species-dilution-info": "", "IHCP-species-notes": "", "IP-species-checked": "guaranteed", "IP-species-dilution-info": "", "IP-species-notes": "", "WB-species-checked": "testedAndGuaranteed", "WB-species-dilution-info": "", "WB-species-notes": "<p></p>" }, "Cow": { "IHCP-species-checked": "predicted", "IHCP-species-dilution-info": "", "IHCP-species-notes": "", "IP-species-checked": "predicted", "IP-species-dilution-info": "", "IP-species-notes": "", "WB-species-checked": "predicted", "WB-species-dilution-info": "", "WB-species-notes": "" }, "Orangutan": { "IHCP-species-checked": "predicted", "IHCP-species-dilution-info": "", "IHCP-species-notes": "", "IP-species-checked": "predicted", "IP-species-dilution-info": "", "IP-species-notes": "", "WB-species-checked": "predicted", "WB-species-dilution-info": "", "WB-species-notes": "" }, "Sheep": { "IHCP-species-checked": "predicted", "IHCP-species-dilution-info": "", "IHCP-species-notes": "", "IP-species-checked": "predicted", "IP-species-dilution-info": "", "IP-species-notes": "", "WB-species-checked": "predicted", "WB-species-dilution-info": "", "WB-species-notes": "" } } }

Product details

ab214803 is the carrier-free version of ab172964.

Patented technology
Our RabMAb® technology is a patented hybridoma-based technology for making rabbit monoclonal antibodies. For details on our patents, please refer to RabMAb® patents.

What are the advantages of a recombinant monoclonal antibody?
This product is a recombinant monoclonal antibody, which offers several advantages including:

  • - High batch-to-batch consistency and reproducibility
  • - Improved sensitivity and specificity
  • - Long-term security of supply
  • - Animal-free batch production

For more information, read more on recombinant antibodies.

Conjugation ready
Our carrier-free antibodies are typically supplied in a PBS-only formulation, purified and free of BSA, sodium azide and glycerol. This conjugation-ready format is designed for use with fluorochromes, metal isotopes, oligonucleotides, and enzymes, which makes them ideal for antibody labelling, functional and cell-based assays, flow-based assays (e.g. mass cytometry) and Multiplex Imaging applications.

Use our conjugation kits for antibody conjugates that are ready-to-use in as little as 20 minutes with 1 minute hands-on-time and 100% antibody recovery: available for fluorescent dyes, HRP, biotin and gold.

Compatibility
This product is compatible with the Maxpar® Antibody Labeling Kit from Fluidigm, without the need for antibody preparation. Maxpar® is a trademark of Fluidigm Canada Inc.

Properties and storage information

Form
Liquid
Purification technique
Affinity purification Protein A
Storage buffer
pH: 7.2 - 7.4 Constituents: PBS
Shipped at conditions
Blue Ice
Appropriate short-term storage conditions
+4°C
Appropriate long-term storage conditions
+4°C
Storage information
Do Not Freeze

Supplementary information

This supplementary information is collated from multiple sources and compiled automatically.

IDH1 also known as isocitrate dehydrogenase 1 is an enzyme with a molecular weight of approximately 45 kDa. It participates in the citric acid cycle aiding the conversion of isocitrate to alpha-ketoglutarate while producing NADPH. IDH1 resides primarily in the cytoplasm and peroxisomes of cells. It finds expression in various tissues most notably the liver and brain where metabolic processes are highly active.
Biological function summary

Isocitrate dehydrogenase 1 plays an important role in cellular metabolism by helping to maintain the NADP+/NADPH balance important for redox reactions. This enzyme operates mainly as a homodimer meaning two identical subunits form a complex for functional activity. It contributes significantly to lipid and glucose metabolism due to its production of NADPH which the cells use for biosynthetic pathways and detoxification.

Pathways

The involvement of IDH1 in the citric acid cycle highlights its importance in energy production and metabolic regulation. This enzyme closely associates with other metabolic enzymes such as IDH2 another member of the isocitrate dehydrogenase family found in mitochondria suggesting a coordinated function between cytoplasmic and mitochondrial metabolism. Beyond its role in the citric acid cycle IDH1 also relates to the pentose phosphate pathway an alternative glucose metabolism route providing reducing equivalents and ribose 5-phosphate for nucleotide synthesis.

IDH1 mutations particularly the IDH1 R132H variant frequently appear in certain cancers like gliomas and acute myeloid leukemia (AML). These mutations lead to a neomorphic enzyme function producing 2-hydroxyglutarate instead of alpha-ketoglutarate disrupting normal cellular metabolism and aiding tumorigenesis. The mutated IDH1 also affects the TET2 protein which involves in DNA demethylation potentially altering gene expression and contributing to oncogenic pathways.

Product protocols

For this product, it's our understanding that no specific protocols are required. You can visit:

Target data

Catalyzes the NADP(+)-dependent oxidative decarboxylation of isocitrate (D-threo-isocitrate) to 2-ketoglutarate (2-oxoglutarate), which is required by other enzymes such as the phytanoyl-CoA dioxygenase (PubMed : 10521434, PubMed : 19935646). Plays a critical role in the generation of NADPH, an important cofactor in many biosynthesis pathways (PubMed : 10521434). May act as a corneal epithelial crystallin and may be involved in maintaining corneal epithelial transparency (By similarity).
See full target information IDH1

Publications (1)

Recent publications for all applications. Explore the full list and refine your search

Oncotarget 6:7619-31 PubMed25844758

2015

Kidney-type glutaminase (GLS1) is a biomarker for pathologic diagnosis and prognosis of hepatocellular carcinoma.

Applications

Unspecified application

Species

Unspecified reactive species

Decai Yu,Xianbiao Shi,Gang Meng,Jun Chen,Chen Yan,Yong Jiang,Jiwu Wei,Yitao Ding
View all publications

Product promise

We are committed to supporting your work with high-quality reagents, and we're here for you every step of the way. In the unlikely event that one of our products does not perform as expected, you're protected by our Product Promise.
For full details, please see our Terms & Conditions

Please note: All products are 'FOR RESEARCH USE ONLY. NOT FOR USE IN DIAGNOSTIC OR THERAPEUTIC PROCEDURES'.

For licensing inquiries, please contact partnerships@abcam.com