JavaScript is disabled in your browser. Please enable JavaScript to view this website.
AB256557

Anti-IDH1 antibody [RcMab-1]

Be the first to review this product! Submit a review

|

(3 Publications)

Rat Recombinant Monoclonal IDH1 antibody. Suitable for WB, ICC/IF, IHC-P and reacts with Rat, Human samples. Cited in 3 publications.

View Alternative Names

PICD, IDH1, Isocitrate dehydrogenase [NADP] cytoplasmic, IDH, Cytosolic NADP-isocitrate dehydrogenase, IDPc, NADP(+)-specific ICDH, Oxalosuccinate decarboxylase

6 Images
Immunohistochemistry (Formalin/PFA-fixed paraffin-embedded sections) - Anti-IDH1 antibody [RcMab-1] (AB256557)
  • IHC-P

Lab

Immunohistochemistry (Formalin/PFA-fixed paraffin-embedded sections) - Anti-IDH1 antibody [RcMab-1] (AB256557)

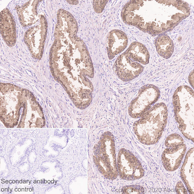
Immunohistochemical analysis of paraffin-embedded human prostatic hyperplasia tissue labeling IDH1 with ab256557 at 1/500 dilution (14.79μg/ml) followed by ready to use Goat Anti-rat IgG H&L (HRP polymer) (ab214882). Positive staining on human prostatic hyperplasia. The section was incubated with ab256557 for 30 mins at room temperature. The immunostaining was performed on a Leica Biosystems BOND® RX instrument. Counterstained with Hematoxylin.

Secondary antibody only control : Secondary antibody is ready to use Goat Anti-rat IgG H&L (HRP polymer) (ab214882).

Heat mediated antigen retrieval with Tris-EDTA buffer (pH 9.0, epitope retrieval solution2) for 20 mins.

Immunocytochemistry/ Immunofluorescence - Anti-IDH1 antibody [RcMab-1] (AB256557)
  • ICC/IF

Lab

Immunocytochemistry/ Immunofluorescence - Anti-IDH1 antibody [RcMab-1] (AB256557)

Immunofluorescent analysis of 4% Paraformaldehyde-fixed, 0.1% Triton X-100 permeabilized wild-type HAP1 cells labelling IDH1 with ab256557 at 1/20 dilution (73.95μg/ml), followed by ab150157 Goat Anti-rat IgG H&L (Alexa Fluor® 488) antibody at 1/1000 dilution (Green).

Confocal image showing positive staining in wild-type HAP1 cells, while no staining in IDH1 knockout HAP1 cells.

ab179513 Anti-beta Tubulin rabbit monoclonal antibody was used to counterstain tubulin at 1/200 dilution, followed by ab150080 Goat Anti-Rabbit IgG H&L (Alexa Fluor® 594) at a 1/1000 dilution (Red). The nuclear counterstain was DAPI (Blue).

Secondary antibody only controls.

Immunohistochemistry (Formalin/PFA-fixed paraffin-embedded sections) - Anti-IDH1 antibody [RcMab-1] (AB256557)
  • IHC-P

Lab

Immunohistochemistry (Formalin/PFA-fixed paraffin-embedded sections) - Anti-IDH1 antibody [RcMab-1] (AB256557)

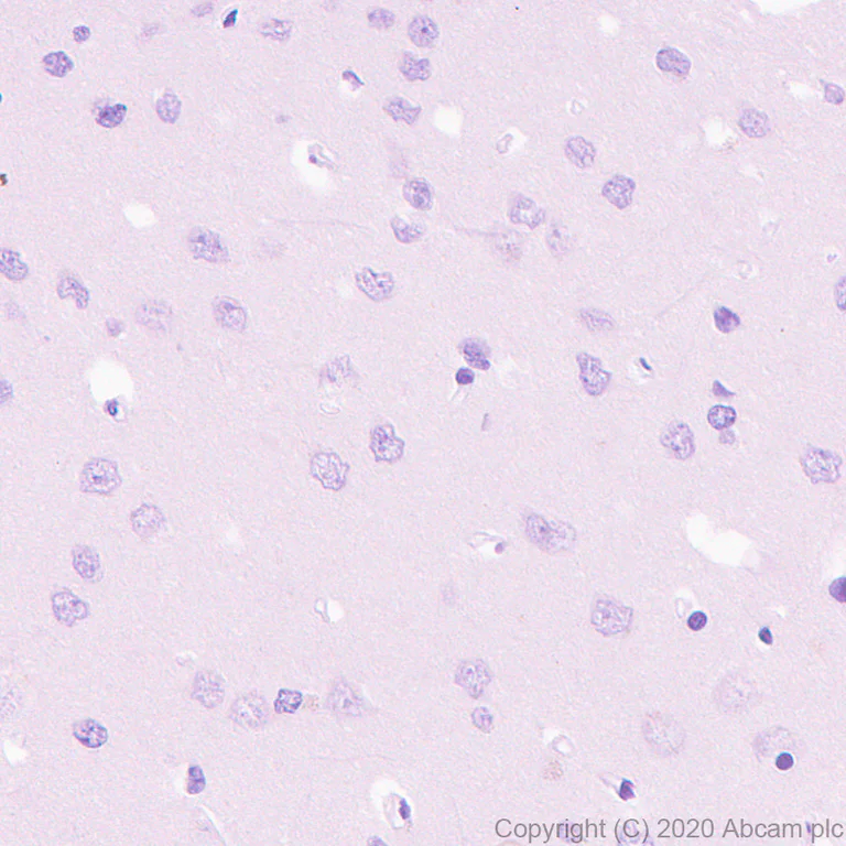
Immunohistochemical analysis of paraffin-embedded human normal cerebrum tissue labeling IDH1 with ab256557 at 1/500 dilution (14.79μg/ml) followed by ready to use Goat Anti-rat IgG H&L (HRP polymer) (ab214882). The section was incubated with ab256557 for 30 mins at room temperature. The immunostaining was performed on a Leica Biosystems BOND® RX instrument. Counterstained with Hematoxylin.

Negative control : No staining on human normal cerebrum.

Heat mediated antigen retrieval with Tris-EDTA buffer (pH 9.0, epitope retrieval solution2) for 20 mins.

Immunohistochemistry (Formalin/PFA-fixed paraffin-embedded sections) - Anti-IDH1 antibody [RcMab-1] (AB256557)
  • IHC-P

Lab

Immunohistochemistry (Formalin/PFA-fixed paraffin-embedded sections) - Anti-IDH1 antibody [RcMab-1] (AB256557)

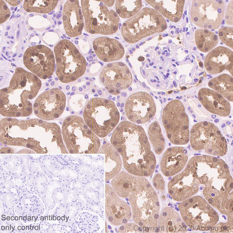
Immunohistochemical analysis of paraffin-embedded human kidney tissue labeling IDH1 with ab256557 at 1/500 dilution (14.79μg/ml) followed by ready to use Goat Anti-rat IgG H&L (HRP polymer) (ab214882). Positive staining on human kidney tissue. The section was incubated with ab256557 for 30 mins at room temperature. The immunostaining was performed on a Leica Biosystems BOND® RX instrument. Counterstained with Hematoxylin.

Secondary antibody only control : Secondary antibody is ready to use Goat Anti-rat IgG H&L (HRP polymer) (ab214882).

Heat mediated antigen retrieval with Tris-EDTA buffer (pH 9.0, epitope retrieval solution2) for 20 mins.

Western blot - Anti-IDH1 antibody [RcMab-1] (AB256557)
  • WB

Lab

Western blot - Anti-IDH1 antibody [RcMab-1] (AB256557)

Blocking/Dilution buffer : 5% NFDM/TBST.

All lanes:

Western blot - Anti-IDH1 antibody [RcMab-1] (ab256557) at 1.479 µg/mL

Lane 1:

Wild type HAP1 whole cell lysate at 20 µg

Lane 2:

IDH1 knockout HAP1 whole cell lysate at 20 µg

Lane 3:

HeLa (human cervix adenocarcinoma epithelial cell), whole cell lysate at 20 µg

Lane 4:

HepG2 (human hepatocellular carcinoma epithelial cell), whole cell lysate at 20 µg

Lane 5:

Raji (human Burkitt's lymphoma B lymphocyte), whole cell lysate at 20 µg

Secondary

All lanes:

Western blot - Goat Anti-Rat IgG H&L (HRP) (<a href='/en-us/products/secondary-antibodies/goat-rat-igg-h-l-hrp-ab205720'>ab205720</a>) at 1/10000 dilution

Predicted band size: 46 kDa

false

Exposure time: 8s

Western blot - Anti-IDH1 antibody [RcMab-1] (AB256557)
  • WB

Lab

Western blot - Anti-IDH1 antibody [RcMab-1] (AB256557)

Blocking/Dilution buffer : 5% NFDM/TBST.

Exposure times : Lane 1 : 3 minutes; Lanes 2-3 : 3 seconds.

All lanes:

Western blot - Anti-IDH1 antibody [RcMab-1] (ab256557) at 1.479 µg/mL

Lane 1:

PC-12 (rat adrenal gland pheochromocytoma), whole cell lysate at 10 µg

Lane 2:

Rat heart tissue lysate at 10 µg

Lane 3:

Human heart tissue lysate at 10 µg

Secondary

All lanes:

Western blot - Goat Anti-Rat IgG H&L (HRP) (<a href='/en-us/products/secondary-antibodies/goat-rat-igg-h-l-hrp-ab205720'>ab205720</a>) at 1/10000 dilution

Predicted band size: 46 kDa

false

  • Carrier free

    Anti-IDH1 antibody [RcMab-1] - BSA and Azide free

Key facts

Host species

Rat

Clonality

Monoclonal

Clone number

RcMab-1

Isotype

IgG2a

Carrier free

No

Reacts with

Rat, Human

Applications

WB, ICC/IF, IHC-P

applications

Immunogen

The exact immunogen used to generate this antibody is proprietary information.

Reactivity data

{ "title": "Reactivity Data", "filters": { "stats": ["", "Species", "Dilution Info", "Notes"], "tabs": { "all-applications": {"fullname" : "All Applications", "shortname": "All Applications"}, "WB" : {"fullname" : "Western blot", "shortname":"WB"}, "ICCIF" : {"fullname" : "Immunocytochemistry/ Immunofluorescence", "shortname":"ICC/IF"}, "IHCP" : {"fullname" : "Immunohistochemistry (Formalin/PFA-fixed paraffin-embedded sections)", "shortname":"IHC-P"} }, "product-promise": { "all": "all", "testedAndGuaranteed": "tested", "guaranteed": "expected", "predicted": "predicted", "notRecommended": "not-recommended" } }, "values": { "Human": { "WB-species-checked": "testedAndGuaranteed", "WB-species-dilution-info": "1.479 µg/mL", "WB-species-notes": "<p></p>", "ICCIF-species-checked": "testedAndGuaranteed", "ICCIF-species-dilution-info": "73.95 µg/mL", "ICCIF-species-notes": "<p></p>", "IHCP-species-checked": "testedAndGuaranteed", "IHCP-species-dilution-info": "14.79 µg/mL", "IHCP-species-notes": "<p></p> Perform heat-mediated antigen retrieval with Tris/EDTA buffer pH 9.0 before commencing with IHC staining protocol." }, "Rat": { "WB-species-checked": "testedAndGuaranteed", "WB-species-dilution-info": "1.479 µg/mL", "WB-species-notes": "<p></p>", "ICCIF-species-checked": "guaranteed", "ICCIF-species-dilution-info": "", "ICCIF-species-notes": "", "IHCP-species-checked": "notRecommended", "IHCP-species-dilution-info": "14.79 µg/mL", "IHCP-species-notes": "<p></p> Perform heat-mediated antigen retrieval with Tris/EDTA buffer pH 9.0 before commencing with IHC staining protocol." } } }

Product details

What are the advantages of a recombinant monoclonal antibody?
This product is a recombinant monoclonal antibody, which offers several advantages including:

  • - High batch-to-batch consistency and reproducibility
  • - Improved sensitivity and specificity
  • - Long-term security of supply
  • - Animal-free batch production

For more information, read more on recombinant antibodies.

Want a custom formulation?
This antibody clone is manufactured by Abcam. If you require a custom buffer formulation or conjugation for your experiments, please contact orders@abcam.com

Properties and storage information

Form
Liquid
Purification technique
Ion exchange chromatography
Storage buffer
pH: 7.2 - 7.4 Preservative: 0.01% Sodium azide Constituents: PBS, 40% Glycerol (glycerin, glycerine), 0.05% BSA
Shipped at conditions
Blue Ice
Appropriate short-term storage duration
1-2 weeks
Appropriate short-term storage conditions
+4°C
Appropriate long-term storage conditions
-20°C
Aliquoting information
Upon delivery aliquot
Storage information
Avoid freeze / thaw cycle

Supplementary information

This supplementary information is collated from multiple sources and compiled automatically.

IDH1 also known as isocitrate dehydrogenase 1 is an enzyme with a molecular weight of approximately 45 kDa. It participates in the citric acid cycle aiding the conversion of isocitrate to alpha-ketoglutarate while producing NADPH. IDH1 resides primarily in the cytoplasm and peroxisomes of cells. It finds expression in various tissues most notably the liver and brain where metabolic processes are highly active.
Biological function summary

Isocitrate dehydrogenase 1 plays an important role in cellular metabolism by helping to maintain the NADP+/NADPH balance important for redox reactions. This enzyme operates mainly as a homodimer meaning two identical subunits form a complex for functional activity. It contributes significantly to lipid and glucose metabolism due to its production of NADPH which the cells use for biosynthetic pathways and detoxification.

Pathways

The involvement of IDH1 in the citric acid cycle highlights its importance in energy production and metabolic regulation. This enzyme closely associates with other metabolic enzymes such as IDH2 another member of the isocitrate dehydrogenase family found in mitochondria suggesting a coordinated function between cytoplasmic and mitochondrial metabolism. Beyond its role in the citric acid cycle IDH1 also relates to the pentose phosphate pathway an alternative glucose metabolism route providing reducing equivalents and ribose 5-phosphate for nucleotide synthesis.

IDH1 mutations particularly the IDH1 R132H variant frequently appear in certain cancers like gliomas and acute myeloid leukemia (AML). These mutations lead to a neomorphic enzyme function producing 2-hydroxyglutarate instead of alpha-ketoglutarate disrupting normal cellular metabolism and aiding tumorigenesis. The mutated IDH1 also affects the TET2 protein which involves in DNA demethylation potentially altering gene expression and contributing to oncogenic pathways.

Product protocols

For this product, it's our understanding that no specific protocols are required. You can visit:

Target data

Catalyzes the NADP(+)-dependent oxidative decarboxylation of isocitrate (D-threo-isocitrate) to 2-ketoglutarate (2-oxoglutarate), which is required by other enzymes such as the phytanoyl-CoA dioxygenase (PubMed : 10521434, PubMed : 19935646). Plays a critical role in the generation of NADPH, an important cofactor in many biosynthesis pathways (PubMed : 10521434). May act as a corneal epithelial crystallin and may be involved in maintaining corneal epithelial transparency (By similarity).
See full target information IDH1

Publications (3)

Recent publications for all applications. Explore the full list and refine your search

Cell reports. Medicine 5:101791 PubMed39426375

2024

Schwann cell-secreted frizzled-related protein 1 dictates neuroinflammation and peripheral nerve degeneration after neurotrauma.

Applications

Unspecified application

Species

Unspecified reactive species

Xiangyun Yao,Lingchi Kong,Yi Qiao,David Brand,Juehong Li,Zhiwen Yan,Song Guo Zheng,Yun Qian,Cunyi Fan

Frontiers in cell and developmental biology 9:779319 PubMed34805184

2021

Single-Cell Transcriptomic Analysis Revealed a Critical Role of SPP1/CD44-Mediated Crosstalk Between Macrophages and Cancer Cells in Glioma.

Applications

Unspecified application

Species

Unspecified reactive species

Cong He,Luoyan Sheng,Deshen Pan,Shuai Jiang,Li Ding,Xiaojun Ma,Yaohua Liu,Deshui Jia

The Tohoku journal of experimental medicine 230:103-9 PubMed23782684

2013

Establishment of a multi-specific monoclonal antibody MsMab-1 recognizing both IDH1 and IDH2 mutations.

Applications

Unspecified application

Species

Unspecified reactive species

Mika Kato Kaneko,Satoshi Ogasawara,Yukinari Kato
View all publications

Product promise

We are committed to supporting your work with high-quality reagents, and we're here for you every step of the way. In the unlikely event that one of our products does not perform as expected, you're protected by our Product Promise.
For full details, please see our Terms & Conditions

Please note: All products are 'FOR RESEARCH USE ONLY. NOT FOR USE IN DIAGNOSTIC OR THERAPEUTIC PROCEDURES'.

For licensing inquiries, please contact partnerships@abcam.com