JavaScript is disabled in your browser. Please enable JavaScript to view this website.
AB323320

Anti-IDH1 (mutated R132H) antibody [EPR26774-1]

  • BOND RX™ Validated
  • Recombinant
  • 20ul selling size
  • RabMAb
  • What is this?

Be the first to review this product! Submit a review

|

(0 Publication)

Rabbit Recombinant Monoclonal IDH1 mutated R132H antibody. Suitable for WB, IHC-P and reacts with Transfected cell lysate - Human, Human, Recombinant full length protein - Human, Transfected cell line - Human samples.

View Alternative Names

PICD, IDH1, Isocitrate dehydrogenase [NADP] cytoplasmic, IDH, Cytosolic NADP-isocitrate dehydrogenase, IDPc, NADP(+)-specific ICDH, Oxalosuccinate decarboxylase

8 Images
Immunohistochemistry (Formalin/PFA-fixed paraffin-embedded sections) - Anti-IDH1 (mutated R132H) antibody [EPR26774-1] (AB323320)
  • IHC-P

Supplier Data

Immunohistochemistry (Formalin/PFA-fixed paraffin-embedded sections) - Anti-IDH1 (mutated R132H) antibody [EPR26774-1] (AB323320)

Immunohistochemical analysis of paraffin-embedded (A) HEK-293T (human embryonic kidney epithelial cell) transfected with an empty vector containing a his-tag cell pellet. (B) HEK-293T transfected with an IDH1 expression vector containing a myc, His-tag cell pellet. (C) HEK-293T transfected with a human IDH1 (R132H mutant) expression vector containing a his-tag cell pellet. tissue labeling IDH1 (mutated R132H) with ab323320 at 1/500 (1.042 ug/ml) dilution, followed by a ready to use LeicaDS9800 (Bond™ Polymer Refine Detection).

Cytoplasmic and nuclear staining on (C) HEK-293T transfected with a human IDH1 (R132H mutant) expression vector containing a myc, his-tag cell pellet. No staining on both (A) HEK-293T transfected with an empty vector containing a myc, his-tag cell pellet and (B) HEK-293T transfected with an IDH1 expression vector containing a myc, His-tag cell pellet.
The section was incubated with ab323320 for 30 mins at room temperature.
The immunostaining was performed on a Leica Biosystems BOND® RX instrument

Counterstained with Hematoxylin.

Secondary antibody only control : Secondary antibody is a ready to use LeicaDS9800 (Bond™ Polymer Refine Detection).

Heat mediated antigen retrieval was performed with Tris-EDTA buffer (pH 9.0, Epitope Retrieval Solution2) for 20 mins

Immunohistochemistry (Formalin/PFA-fixed paraffin-embedded sections) - Anti-IDH1 (mutated R132H) antibody [EPR26774-1] (AB323320)
  • IHC-P

Supplier Data

Immunohistochemistry (Formalin/PFA-fixed paraffin-embedded sections) - Anti-IDH1 (mutated R132H) antibody [EPR26774-1] (AB323320)

Immunohistochemical analysis of paraffin-embedded (A) Parental HCT 116 (Human colorectal carcinoma epithelial cell) cell pellet. (B) IDH2 R172K mutation in HCT 116 cell pellet. (C) IDH1 R132H mutation in HCT 116 cell pellet. tissue labeling IDH1 (mutated R132H) with ab323320 at 1/500 (1.042 ug/ml) dilution, followed by a ready to use LeicaDS9800 (Bond™ Polymer Refine Detection).

Cytoplasmic and nuclear staining on (C) IDH1 R132H mutation in HCT 116 cell pellet. No staining on both (A) Parental HCT 116 cell pellet and (B) IDH2 R172K mutation in HCT 116 cell pellet.
The section was incubated with ab323320 for 30 mins at room temperature.
The immunostaining was performed on a Leica Biosystems BOND® RX instrument

Counterstained with Hematoxylin.

Secondary antibody only control : Secondary antibody is a ready to use LeicaDS9800 (Bond™ Polymer Refine Detection).

Heat mediated antigen retrieval was performed with Tris-EDTA buffer (pH 9.0, Epitope Retrieval Solution2) for 20 mins

Immunohistochemistry (Formalin/PFA-fixed paraffin-embedded sections) - Anti-IDH1 (mutated R132H) antibody [EPR26774-1] (AB323320)
  • IHC-P

Supplier Data

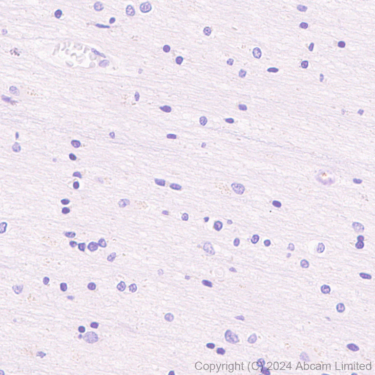
Immunohistochemistry (Formalin/PFA-fixed paraffin-embedded sections) - Anti-IDH1 (mutated R132H) antibody [EPR26774-1] (AB323320)

Immunohistochemical analysis of paraffin-embedded Human cerebrum tissue labeling IDH1 (mutated R132H) with ab323320 at 1/200 (2.605 ug/ml) dilution, followed by a ready to use LeicaDS9800 (Bond™ Polymer Refine Detection).

Negative control : No staining on human cerebrum.
The section was incubated with ab323320 for 30 mins at room temperature.
The immunostaining was performed on a Leica Biosystems BOND® RX instrument

Counterstained with Hematoxylin.

Secondary antibody only control : Secondary antibody is a ready to use LeicaDS9800 (Bond™ Polymer Refine Detection).

Heat mediated antigen retrieval was performed with Tris-EDTA buffer (pH 9.0, Epitope Retrieval Solution2) for 20 mins

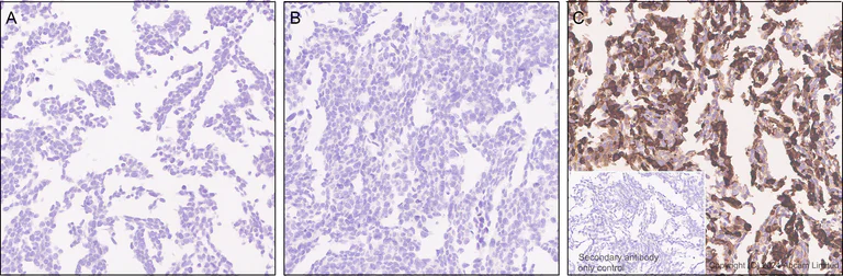
Immunohistochemistry (Formalin/PFA-fixed paraffin-embedded sections) - Anti-IDH1 (mutated R132H) antibody [EPR26774-1] (AB323320)
  • IHC-P

Supplier Data

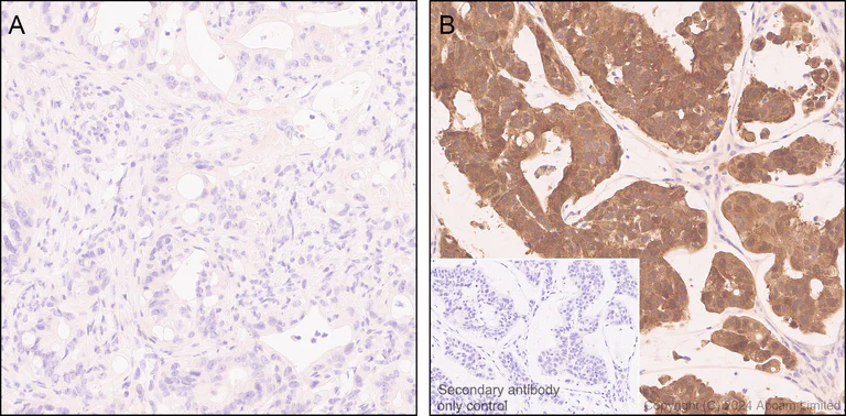
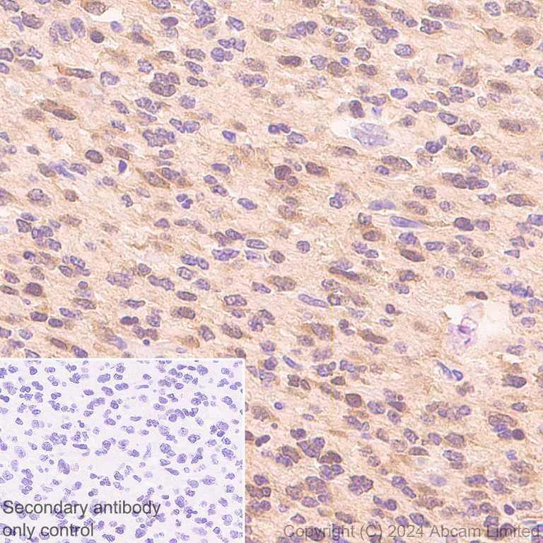
Immunohistochemistry (Formalin/PFA-fixed paraffin-embedded sections) - Anti-IDH1 (mutated R132H) antibody [EPR26774-1] (AB323320)

Immunohistochemical analysis of paraffin-embedded Human anaplastic oligodendroglioma tissue labeling IDH1 (mutated R132H) with ab323320 at 1/200 (2.605 ug/ml) dilution, followed by a ready to use LeicaDS9800 (Bond™ Polymer Refine Detection).

Cytoplasmic and nuclear staining on human anaplastic oligodendroglioma.
The section was incubated with ab323320 for 30 mins at room temperature.
The immunostaining was performed on a Leica Biosystems BOND® RX instrument

Counterstained with Hematoxylin.

Secondary antibody only control : Secondary antibody is a ready to use LeicaDS9800 (Bond™ Polymer Refine Detection).

Heat mediated antigen retrieval was performed with Tris-EDTA buffer (pH 9.0, Epitope Retrieval Solution2) for 20 mins

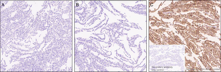
Immunohistochemistry (Formalin/PFA-fixed paraffin-embedded sections) - Anti-IDH1 (mutated R132H) antibody [EPR26774-1] (AB323320)
  • IHC-P

Supplier Data

Immunohistochemistry (Formalin/PFA-fixed paraffin-embedded sections) - Anti-IDH1 (mutated R132H) antibody [EPR26774-1] (AB323320)

Immunohistochemical analysis of paraffin-embedded (A) Colorectal Adenocarcinoma PDX mouse model with wild-type IDH1 (B) Colorectal Adenocarcinoma PDX mouse model with IDH1 R132H mutation. tissue labeling IDH1 (mutated R132H) with ab323320 at 1/200 (2.605 ug/ml) dilution, followed by a ready to use LeicaDS9800 (Bond™ Polymer Refine Detection).

Cytoplasmic and nuclear staining on (B) Colorectal Adenocarcinoma PDX mouse model with IDH1 R132H mutation. No staining on (A) Colorectal Adenocarcinoma PDX mouse model with wild-type IDH1.
The section was incubated with ab323320 for 30 mins at room temperature.
The immunostaining was performed on a Leica Biosystems BOND® RX instrument

Counterstained with Hematoxylin.

Secondary antibody only control : Secondary antibody is a ready to use LeicaDS9800 (Bond™ Polymer Refine Detection).

Heat mediated antigen retrieval was performed with Tris-EDTA buffer (pH 9.0, Epitope Retrieval Solution2) for 20 mins

Western blot - Anti-IDH1 (mutated R132H) antibody [EPR26774-1] (AB323320)
  • WB

Supplier Data

Western blot - Anti-IDH1 (mutated R132H) antibody [EPR26774-1] (AB323320)

Blocking and diluting buffer and concentration : 5% NFDM/TBST.

In Western blot, Anti-GAPDH antibody [EPR16891] - Loading Control (ab181602) staining at 1/200000 dilution.

All lanes:

Western blot - Anti-IDH1 (mutated R132H) antibody [EPR26774-1] (ab323320) at 1/1000 dilution

Lane 1:

IDH1 R132H mutation in HCT 116 (human colorectal carcinoma epithelial cell) whole cell lysate at 20 µg

Lane 2:

Wild-type HCT 116 whole cell lysate at 20 µg

Lane 3:

IDH2 R172K mutation in HCT 116 whole cell lysate at 20 µg

Secondary

All lanes:

Western blot - Goat Anti-Rabbit IgG H&L (HRP) (<a href='/en-us/products/secondary-antibodies/goat-rabbit-igg-h-l-hrp-ab97051'>ab97051</a>) at 1/100000 dilution

Observed band size: 49 kDa,36 kDa

false

Exposure time: 180s

Western blot - Anti-IDH1 (mutated R132H) antibody [EPR26774-1] (AB323320)
  • WB

Supplier Data

Western blot - Anti-IDH1 (mutated R132H) antibody [EPR26774-1] (AB323320)

Blocking and diluting buffer and concentration : 5% NFDM/TBST.

In Western blot, Anti-GAPDH antibody [EPR16891] - Loading Control (ab181602) staining at 1/200000 dilution.

In Western blot, Anti-6X His tag® antibody [EPR20547] - ChIP Grade (ab213204) staining at 1/5000 dilution.

All lanes:

Western blot - Anti-IDH1 (mutated R132H) antibody [EPR26774-1] (ab323320) at 1/1000 dilution

Lane 1:

293T cells transfected with an empty vector containing a his-tag, whole cell lysate at 20 µg

Lane 2:

293T cells transfected with a human IDH1 (R132H mutant) expression vector containing a his-tag, whole cell lysate at 20 µg

Lane 3:

293T cells transfected with a human wild-type IDH1 expression vector containing a his-tag, whole cell lysate at 20 µg

Secondary

All lanes:

Western blot - Goat Anti-Rabbit IgG H&L (HRP) (<a href='/en-us/products/secondary-antibodies/goat-rabbit-igg-h-l-hrp-ab97051'>ab97051</a>) at 1/100000 dilution

Observed band size: 49 kDa,36 kDa

false

Exposure time: 180s

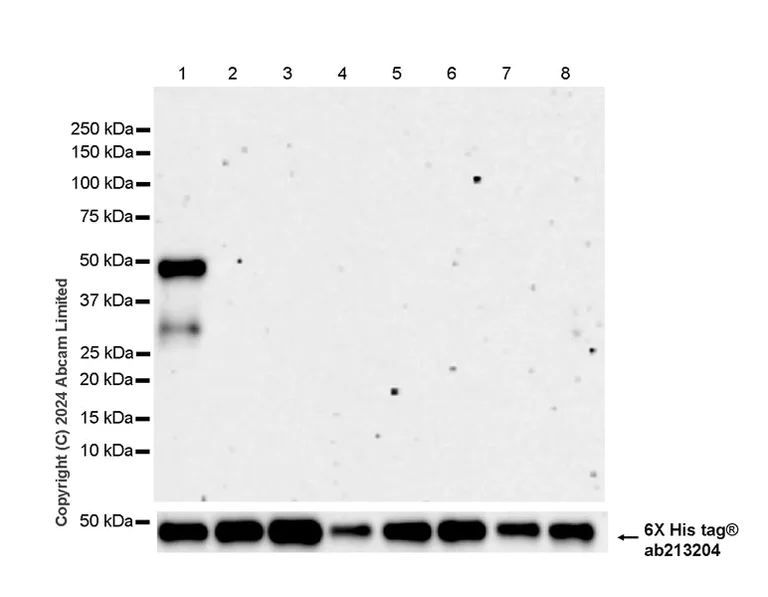
Western blot - Anti-IDH1 (mutated R132H) antibody [EPR26774-1] (AB323320)
  • WB

Supplier Data

Western blot - Anti-IDH1 (mutated R132H) antibody [EPR26774-1] (AB323320)

Blocking and diluting buffer and concentration : 5% NFDM/TBST.

In Western blot, Anti-6X His tag® antibody [EPR20547] - ChIP Grade (ab213204) staining at 1/5000 dilution.

All lanes:

Western blot - Anti-IDH1 (mutated R132H) antibody [EPR26774-1] (ab323320) at 1/1000 dilution

Lane 1:

Human IDH1 (R132H mutant) recombinant protein at 10 ng

Lane 2:

Human wild-type IDH1 recombinant protein at 10 ng

Lane 3:

Human IDH1 (R132G mutant) recombinant protein at 10 ng

Lane 4:

Human IDH1 (R132L mutant) recombinant protein at 10 ng

Lane 5:

Human IDH1 (R132S mutant) recombinant protein at 10 ng

Lane 6:

Human IDH1 (R132V mutant) recombinant protein at 10 ng

Lane 7:

Human IDH1 (R132C mutant) recombinant protein at 10 ng

Lane 8:

Human wild-type IDH2 recombinant protein at 10 ng

Secondary

All lanes:

Western blot - Goat Anti-Rabbit IgG H&L (HRP) (<a href='/en-us/products/secondary-antibodies/goat-rabbit-igg-h-l-hrp-ab97051'>ab97051</a>) at 1/100000 dilution

Observed band size: 49 kDa

false

Exposure time: 180s

Key facts

Host species

Rabbit

Clonality

Monoclonal

Clone number

EPR26774-1

Isotype

IgG

Carrier free

No

Reacts with

Human

Applications

WB, IHC-P

applications

Immunogen

The exact immunogen used to generate this antibody is proprietary information.

Reactivity data

{ "title": "Reactivity Data", "filters": { "stats": ["", "Species", "Dilution Info", "Notes"], "tabs": { "all-applications": {"fullname" : "All Applications", "shortname": "All Applications"}, "WB" : {"fullname" : "Western blot", "shortname":"WB"}, "IHCP" : {"fullname" : "Immunohistochemistry (Formalin/PFA-fixed paraffin-embedded sections)", "shortname":"IHC-P"}, "IP" : {"fullname" : "Immunoprecipitation", "shortname":"IP"} }, "product-promise": { "all": "all", "testedAndGuaranteed": "tested", "guaranteed": "expected", "predicted": "predicted", "notRecommended": "not-recommended" } }, "values": { "Human": { "WB-species-checked": "testedAndGuaranteed", "WB-species-dilution-info": "1/1000", "WB-species-notes": "<p></p>", "IHCP-species-checked": "testedAndGuaranteed", "IHCP-species-dilution-info": "1/200 - 1/500", "IHCP-species-notes": "<p></p> Perform heat-mediated antigen retrieval with Tris/EDTA buffer pH 9.0 before commencing with IHC staining protocol.", "IP-species-checked": "notRecommended", "IP-species-dilution-info": "", "IP-species-notes": "<p></p>" }, "Recombinant full length protein - Human": { "WB-species-checked": "testedAndGuaranteed", "WB-species-dilution-info": "1/1000", "WB-species-notes": "<p></p>", "IHCP-species-checked": "notRecommended", "IHCP-species-dilution-info": "", "IHCP-species-notes": "", "IP-species-checked": "notRecommended", "IP-species-dilution-info": "", "IP-species-notes": "" }, "Transfected cell line - Human": { "WB-species-checked": "notRecommended", "WB-species-dilution-info": "", "WB-species-notes": "", "IHCP-species-checked": "testedAndGuaranteed", "IHCP-species-dilution-info": "1/500", "IHCP-species-notes": "<p></p> Perform heat-mediated antigen retrieval with Tris/EDTA buffer pH 9.0 before commencing with IHC staining protocol.", "IP-species-checked": "notRecommended", "IP-species-dilution-info": "", "IP-species-notes": "" }, "Transfected cell lysate - Human": { "WB-species-checked": "testedAndGuaranteed", "WB-species-dilution-info": "1/1000", "WB-species-notes": "<p></p>", "IHCP-species-checked": "notRecommended", "IHCP-species-dilution-info": "", "IHCP-species-notes": "", "IP-species-checked": "notRecommended", "IP-species-dilution-info": "", "IP-species-notes": "" } } }

Product details

Patented technology
Our RabMAb® technology is a patented hybridoma-based technology for making rabbit monoclonal antibodies. For details on our patents, please refer to RabMAb® patents.

What are the advantages of a recombinant monoclonal antibody?
This product is a recombinant monoclonal antibody, which offers several advantages including:

  • - High batch-to-batch consistency and reproducibility
  • - Improved sensitivity and specificity
  • - Long-term security of supply
  • - Animal-free batch production

For more information, read more on recombinant antibodies.

Properties and storage information

Form
Liquid
Purification technique
Affinity purification Protein A
Storage buffer
pH: 7.2 - 7.4 Preservative: 0.01% Sodium azide Constituents: PBS, 40% Glycerol (glycerin, glycerine), 0.05% BSA
Shipped at conditions
Blue Ice
Appropriate short-term storage duration
1-2 weeks
Appropriate short-term storage conditions
+4°C
Appropriate long-term storage conditions
-20°C
Aliquoting information
Upon delivery aliquot
Storage information
Avoid freeze / thaw cycle

Product protocols

For this product, it's our understanding that no specific protocols are required. You can visit:

Target data

Catalyzes the NADP(+)-dependent oxidative decarboxylation of isocitrate (D-threo-isocitrate) to 2-ketoglutarate (2-oxoglutarate), which is required by other enzymes such as the phytanoyl-CoA dioxygenase (PubMed : 10521434, PubMed : 19935646). Plays a critical role in the generation of NADPH, an important cofactor in many biosynthesis pathways (PubMed : 10521434). May act as a corneal epithelial crystallin and may be involved in maintaining corneal epithelial transparency (By similarity).
See full target information IDH1 mutated R132H

Product promise

We are committed to supporting your work with high-quality reagents, and we're here for you every step of the way. In the unlikely event that one of our products does not perform as expected, you're protected by our Product Promise.
For full details, please see our Terms & Conditions

Please note: All products are 'FOR RESEARCH USE ONLY. NOT FOR USE IN DIAGNOSTIC OR THERAPEUTIC PROCEDURES'.

For licensing inquiries, please contact partnerships@abcam.com