JavaScript is disabled in your browser. Please enable JavaScript to view this website.
AB264052

Anti-IDH2 (mutated R172K) antibody [R511-KMab-1]

Be the first to review this product! Submit a review

|

(4 Publications)

Rat Recombinant Monoclonal IDH2 mutated R172K antibody. Suitable for WB, I-ELISA and reacts with Human samples. Cited in 4 publications.

View Alternative Names

IDH, ICD-M, IDP, NADP(+)-specific ICDH, Oxalosuccinate decarboxylase, IDH2

2 Images
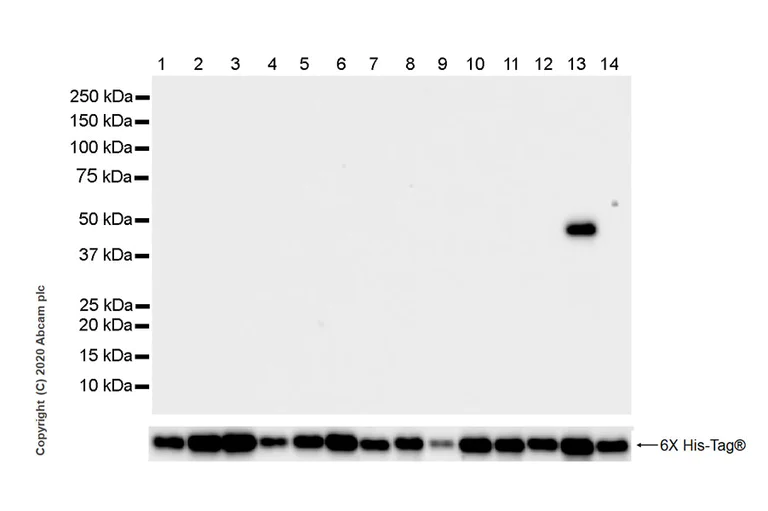
Western blot - Anti-IDH2 (mutated R172K) antibody [R511-KMab-1] (AB264052)
  • WB

Lab

Western blot - Anti-IDH2 (mutated R172K) antibody [R511-KMab-1] (AB264052)

ab264052 used at 1/1000 dilution (0.805 μg/ml).

Secondary used : Goat Anti-Rat IgG (H+L), HRP) (ab205720) at 1/10,000 dilution.

Blocking/Dilution buffer : 5% NFDM/TBST.

The loading samples are E.coil extracts containing recombinant protein respectively.

Lane 1 : His-tagged human IDH1 (aa1-414) recombinant protein 10ng

Lane 2 : His-tagged human IDH1 mutated R132H (aa1-414) recombinant protein 10ng

Lane 3 : His-tagged human IDH1 mutated R132G (aa1-414) recombinant protein 10ng

Lane 4 : His-tagged human IDH1 mutated R132L (aa1-414) recombinant protein 10ng

Lane 5 : His-tagged human IDH1 mutated R132S (aa1-414) recombinant protein 10ng

Lane 6 : His-tagged human IDH1 mutated R132V (aa1-414) recombinant protein 10ng

Lane 7 : His-tagged human IDH1 mutated R132C (aa1-414) recombinant protein 10ng

Lane 8 : His-tagged human IDH2 (aa40-452) recombinant protein 10ng

Lane 9 : His-tagged human IDH2 mutated R172M (aa40-452) recombinant protein 10ng

Lane 10 : His-tagged human IDH2 mutated R172S (aa40-452) recombinant protein 10ng

Lane 11 : His-tagged human IDH2 mutated R172G (aa40-452) recombinant protein 10ng

Lane 12 : His-tagged human IDH2 mutated R172W (aa40-452) recombinant protein 10ng

Lane 13 : His-tagged human IDH2 mutated R172K (aa40-452) recombinant protein 10ng

Lane 14 : His-tagged human IDH2 mutated R140Q (aa40-452) recombinant protein 10ng

All lanes:

Western blot - Anti-IDH2 (mutated R172K) antibody [R511-KMab-1] (ab264052)

Predicted band size: 50 kDa

false

Exposure time: 15s

Indirect ELISA - Anti-IDH2 (mutated R172K) antibody [R511-KMab-1] (AB264052)
  • I-ELISA

Lab

Indirect ELISA - Anti-IDH2 (mutated R172K) antibody [R511-KMab-1] (AB264052)

ab264052 used at 0-5000 ng/ml.

Antigen (IDH2, IDH2(R172G), IDH2(R172M), IDH2(R172S), IDH2(R172W), IDH2(R172K), IDH2(R140Q)) used at 100 ng/ml.

Secondary Alkaline Phosphatase-conjugated AffiniPure Goat Anti-Rat IgG (H+L) used at a 1/1000 dilution.

  • Carrier free

    Anti-IDH2 (mutated R172K) antibody [R511-KMab-1] - BSA and Azide free

Key facts

Host species

Rat

Clonality

Monoclonal

Clone number

R511-KMab-1

Isotype

IgG2b

Light chain type

kappa

Carrier free

No

Reacts with

Human

Applications

WB, I-ELISA

applications

Immunogen

The exact immunogen used to generate this antibody is proprietary information.

Reactivity data

{ "title": "Reactivity Data", "filters": { "stats": ["", "Species", "Dilution Info", "Notes"], "tabs": { "all-applications": {"fullname" : "All Applications", "shortname": "All Applications"}, "WB" : {"fullname" : "Western blot", "shortname":"WB"}, "IELISA" : {"fullname" : "Indirect ELISA", "shortname":"I-ELISA"} }, "product-promise": { "all": "all", "testedAndGuaranteed": "tested", "guaranteed": "expected", "predicted": "predicted", "notRecommended": "not-recommended" } }, "values": { "Human": { "WB-species-checked": "testedAndGuaranteed", "WB-species-dilution-info": "1/1000", "WB-species-notes": "<p></p>", "IELISA-species-checked": "testedAndGuaranteed", "IELISA-species-dilution-info": "", "IELISA-species-notes": "<p>Use at 312.5 ng /ml.</p>" } } }

Product details

What are the advantages of a recombinant monoclonal antibody?
This product is a recombinant monoclonal antibody, which offers several advantages including:

  • - High batch-to-batch consistency and reproducibility
  • - Improved sensitivity and specificity
  • - Long-term security of supply
  • - Animal-free batch production

For more information, read more on recombinant antibodies.

Properties and storage information

Form
Liquid
Purification technique
Affinity purification Protein A
Storage buffer
Preservative: 0.01% Sodium azide Constituents: PBS, 40% Glycerol (glycerin, glycerine), 0.05% BSA
Shipped at conditions
Blue Ice
Appropriate short-term storage duration
1-2 weeks
Appropriate short-term storage conditions
+4°C
Appropriate long-term storage conditions
-20°C
Aliquoting information
Upon delivery aliquot
Storage information
Avoid freeze / thaw cycle

Supplementary information

This supplementary information is collated from multiple sources and compiled automatically.

Isocitrate dehydrogenase 2 (IDH2) is an enzyme that converts isocitrate to alpha-ketoglutarate in the citric acid cycle through oxidative decarboxylation. IDH2 also known as NADP-dependent isocitrate dehydrogenase has a molecular weight of about 51 kDa. This protein expresses in the mitochondria serving an important role in cellular energy production and intermediary metabolism. By facilitating this conversion IDH2 impacts cellular respiration and energy balance.
Biological function summary

The IDH2 enzyme facilitates cellular metabolism by producing NADPH critical for biosynthesis and antioxidant defense. It functions within the oxidative decarboxylation of isocitrate providing reducing equivalents to keep cellular redox balance. Although not part of a larger enzymatic complex IDH2 acts synergistically with other metabolic enzymes to maintain cellular biochemical pathways.

Pathways

The IDH2 protein participates in the citric acid cycle and redox homeostasis. IDH2 contributes to the tricarboxylic acid (TCA) pathway coupling with other TCA components such as citrate synthase and aconitase. Within the redox pathway it influences glucose metabolism via its link with enzymes like NADPH oxidase ensuring a steady supply of NADPH for biosynthetic reactions.

The IDH2 protein links to certain cancers like acute myeloid leukemia (AML) due to mutations such as IDH2 R140Q and IDH2 R172K which lead to the production of oncometabolite 2-hydroxyglutarate. This oncometabolite influences epigenetic regulation and cellular differentiation. IDH2 mutations often associate with altered tumor suppressor pathways involving proteins like TP53 contributing to tumorigenesis and impaired cellular differentiation.

Product protocols

For this product, it's our understanding that no specific protocols are required. You can visit:

Target data

Plays a role in intermediary metabolism and energy production (PubMed : 19228619, PubMed : 22416140). It may tightly associate or interact with the pyruvate dehydrogenase complex (PubMed : 19228619, PubMed : 22416140).
See full target information IDH2 mutated R172K

Publications (4)

Recent publications for all applications. Explore the full list and refine your search

Science advances 10:eadi1782 PubMed38630819

2024

RIPK3 deficiency blocks R-2-hydroxyglutarate-induced necroptosis in IDH-mutated AML cells.

Applications

Unspecified application

Species

Unspecified reactive species

Shuanghong Zhu,Yingwan Luo,Kongfei Li,Chen Mei,Yuxia Wang,Lingxu Jiang,Wei Wang,Qi Zhang,Wenli Yang,Wei Lang,Xinping Zhou,Lu Wang,Yanling Ren,Liya Ma,Li Ye,Xin Huang,Jianjun Chen,Jie Sun,Hongyan Tong

Neural regeneration research 18:609-617 PubMed36018185

2022

Small extracellular vesicles secreted by induced pluripotent stem cell-derived mesenchymal stem cells improve postoperative cognitive dysfunction in mice with diabetes.

Applications

Unspecified application

Species

Unspecified reactive species

Hai-Li Lang,Yan-Zhi Zhao,Ren-Jie Xiao,Jing Sun,Yong Chen,Guo-Wen Hu,Guo-Hai Xu

Cancers 13: PubMed34680392

2021

Activation of Vitamin D Receptor Pathway Enhances Differentiating Capacity in Acute Myeloid Leukemia with Isocitrate Dehydrogenase Mutations.

Applications

Unspecified application

Species

Unspecified reactive species

Marie Sabatier,Emeline Boet,Sonia Zaghdoudi,Nathan Guiraud,Alexis Hucteau,Nathaniel Polley,Guillaume Cognet,Estelle Saland,Laura Lauture,Thomas Farge,Ambrine Sahal,Vera Pancaldi,Emeline Chu-Van,Florence Castelli,Sarah Bertoli,Pierre Bories,Christian Récher,Héléna Boutzen,Véronique Mansat-De Mas,Lucille Stuani,Jean-Emmanuel Sarry

Biochemical and biophysical research communication 432:40-5 PubMed23376717

2013

Establishment of novel monoclonal antibodies KMab-1 and MMab-1 specific for IDH2 mutations.

Applications

Unspecified application

Species

Unspecified reactive species

Mika Kato Kaneko,Shunpei Morita,Yuta Tsujimoto,Ryo Yanagiya,Kana Nasu,Hiroko Sasaki,Yasukazu Hozumi,Kaoru Goto,Atsushi Natsume,Mika Watanabe,Toshihiro Kumabe,Shingo Takano,Yukinari Kato
View all publications

Product promise

We are committed to supporting your work with high-quality reagents, and we're here for you every step of the way. In the unlikely event that one of our products does not perform as expected, you're protected by our Product Promise.
For full details, please see our Terms & Conditions

Please note: All products are 'FOR RESEARCH USE ONLY. NOT FOR USE IN DIAGNOSTIC OR THERAPEUTIC PROCEDURES'.

For licensing inquiries, please contact partnerships@abcam.com