JavaScript is disabled in your browser. Please enable JavaScript to view this website.
AB154886

Anti-IDH3A antibody

4

(2 Reviews)

|

(2 Publications)

Rabbit Polyclonal IDH3A antibody. Suitable for WB, IHC-P and reacts with Zebrafish, Mouse, Rat, Human samples. Cited in 2 publications. Immunogen corresponding to Recombinant Fragment Protein within Human Isocitrate dehydrogenase [NAD] subunit alpha, mitochondrial aa 100 to C-terminus.

View Alternative Names

Isocitric dehydrogenase subunit alpha, NAD(+)-specific ICDH subunit alpha, IDH3A

5 Images
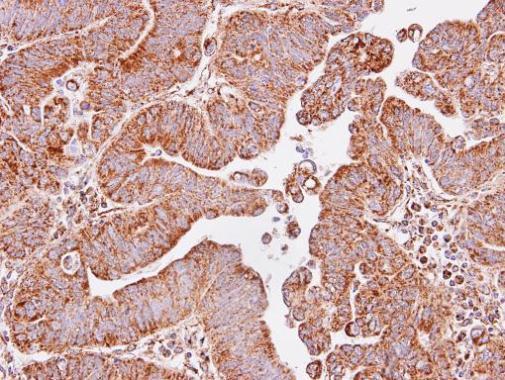
Immunohistochemistry (Formalin/PFA-fixed paraffin-embedded sections) - Anti-IDH3A antibody (AB154886)
  • IHC-P

Unknown

Immunohistochemistry (Formalin/PFA-fixed paraffin-embedded sections) - Anti-IDH3A antibody (AB154886)

Immunohistochemical analysis of paraffin embedded Human breast carcinoma tissue, labeling IDH3A using ab154886 at 1/250 dilution.

Western blot - Anti-IDH3A antibody (AB154886)
  • WB

Supplier Data

Western blot - Anti-IDH3A antibody (AB154886)

Samples were separated by 10% SDS PAGE.

All lanes:

Western blot - Anti-IDH3A antibody (ab154886) at 1/1000 dilution

Lane 1:

HeLa whole cell extracts at 30 µg

Lane 2:

HepG2 whole cell extracts at 30 µg

Secondary

All lanes:

HRP-conjugated anti-rabbit IgG antibody

Predicted band size: 40 kDa

false

Western blot - Anti-IDH3A antibody (AB154886)
  • WB

Unknown

Western blot - Anti-IDH3A antibody (AB154886)

10% SDS PAGE

All lanes:

Western blot - Anti-IDH3A antibody (ab154886) at 1/10000 dilution

All lanes:

Mouse brain whole cell lysate at 50 µg

Predicted band size: 40 kDa

false

Western blot - Anti-IDH3A antibody (AB154886)
  • WB

Unknown

Western blot - Anti-IDH3A antibody (AB154886)

10% SDS-PAGE

All lanes:

Western blot - Anti-IDH3A antibody (ab154886) at 1/10000 dilution

All lanes:

Rat brain whole cell lysate/extract at 50 µg

Predicted band size: 40 kDa

false

Western blot - Anti-IDH3A antibody (AB154886)
  • WB

Supplier Data

Western blot - Anti-IDH3A antibody (AB154886)

Samples were separated by 10% SDS PAGE.

All lanes:

Western blot - Anti-IDH3A antibody (ab154886) at 1/1000 dilution

Lane 1:

Whole zebrafish tissue lysates at 30 µg

Lane 2:

Zebrafish heart tissue lysates at 30 µg

Predicted band size: 40 kDa

false

Key facts

Host species

Rabbit

Clonality

Polyclonal

Isotype

IgG

Carrier free

No

Reacts with

Zebrafish, Mouse, Rat, Human

Applications

IHC-P, WB

applications

Immunogen

Recombinant Fragment Protein within Human Isocitrate dehydrogenase [NAD] subunit alpha, mitochondrial aa 100 to C-terminus. The exact immunogen used to generate this antibody is proprietary information.

P50213

Reactivity data

{ "title": "Reactivity Data", "filters": { "stats": ["", "Species", "Dilution Info", "Notes"], "tabs": { "all-applications": {"fullname" : "All Applications", "shortname": "All Applications"}, "WB" : {"fullname" : "Western blot", "shortname":"WB"}, "IHCP" : {"fullname" : "Immunohistochemistry (Formalin/PFA-fixed paraffin-embedded sections)", "shortname":"IHC-P"} }, "product-promise": { "all": "all", "testedAndGuaranteed": "tested", "guaranteed": "expected", "predicted": "predicted", "notRecommended": "not-recommended" } }, "values": { "Human": { "WB-species-checked": "testedAndGuaranteed", "WB-species-dilution-info": "1/1000 - 1/10000", "WB-species-notes": "<p></p>", "IHCP-species-checked": "testedAndGuaranteed", "IHCP-species-dilution-info": "1/100 - 1/1000", "IHCP-species-notes": "<p></p> Perform heat-mediated antigen retrieval with citrate buffer pH 6 before commencing with IHC staining protocol." }, "Mouse": { "WB-species-checked": "testedAndGuaranteed", "WB-species-dilution-info": "1/1000 - 1/10000", "WB-species-notes": "<p></p>", "IHCP-species-checked": "guaranteed", "IHCP-species-dilution-info": "", "IHCP-species-notes": "" }, "Rat": { "WB-species-checked": "testedAndGuaranteed", "WB-species-dilution-info": "1/1000 - 1/10000", "WB-species-notes": "<p></p>", "IHCP-species-checked": "guaranteed", "IHCP-species-dilution-info": "", "IHCP-species-notes": "" }, "Zebrafish": { "WB-species-checked": "testedAndGuaranteed", "WB-species-dilution-info": "1/1000 - 1/10000", "WB-species-notes": "<p></p>", "IHCP-species-checked": "guaranteed", "IHCP-species-dilution-info": "", "IHCP-species-notes": "" } } }

Properties and storage information

Form
Liquid
Purification technique
Affinity purification Immunogen
Storage buffer
pH: 7 Preservative: 0.01% Thimerosal (merthiolate) Constituents: 20% Glycerol (glycerin, glycerine), 1.21% Tris, 0.75% Glycine
Shipped at conditions
Blue Ice
Appropriate short-term storage conditions
+4°C
Appropriate long-term storage conditions
-20°C
Aliquoting information
Upon delivery aliquot
Storage information
Avoid freeze / thaw cycle

Supplementary information

This supplementary information is collated from multiple sources and compiled automatically.

IDH3A also known as Isocitrate Dehydrogenase 3 Alpha is an important part of the tricarboxylic acid (TCA) cycle also called the citric acid cycle. This protein weighs approximately 39 kDa and operates in the mitochondria present in various tissue types but especially active in energy-demanding tissues like muscle and brain. IDH3A enzymatically catalyzes the oxidative decarboxylation of isocitrate to alpha-ketoglutarate using NAD+ as a cofactor which is fundamental in energy production.
Biological function summary

IDH3A functions in the context of the IDH3 complex a heterotetramer that includes subunits IDH3B and IDH3G aside from the alpha subunit. It plays an important role in the TCA cycle's contribution to cellular respiration serving as a linchpin in metabolic pathways that generate ATP through oxidative phosphorylation. The complex formation is essential for maintaining the enzymatic activity and stability required for continuous energy supply.

Pathways

IDH3A is integral to both the TCA cycle and the associated respiratory electron transport chain which is important for ATP production. IDH3A works closely with proteins such as succinate dehydrogenase and cytochrome c in the TCA cycle and electron transport chain. This interaction facilitates the transfer of electrons and protons which is necessary for establishing the proton gradient used in ATP synthesis.

IDH3A's role in metabolic pathways links it to certain metabolic disorders and cancers. Mutations or dysregulations in IDH3A have shown connections to gliomas where proteins like IDH1 are also implicated sharing distorted metabolic pathways due to altered enzymatic function. Additionally disruptions in its normal activity might relate to metabolic syndromes where the balance in energy production and oxidative stress responses may become compromised.

Product protocols

For this product, it's our understanding that no specific protocols are required. You can visit:

Target data

Catalytic subunit of the enzyme which catalyzes the decarboxylation of isocitrate (ICT) into alpha-ketoglutarate. The heterodimer composed of the alpha (IDH3A) and beta (IDH3B) subunits and the heterodimer composed of the alpha (IDH3A) and gamma (IDH3G) subunits, have considerable basal activity but the full activity of the heterotetramer (containing two subunits of IDH3A, one of IDH3B and one of IDH3G) requires the assembly and cooperative function of both heterodimers.
See full target information Isocitrate dehydrogenase [NAD] subunit alpha, mitochondrial

Publications (2)

Recent publications for all applications. Explore the full list and refine your search

Life science alliance 6: PubMed37500179

2023

Inhibition of protein arginine deiminase 4 prevents inflammation-mediated heart failure in arthritis.

Applications

Unspecified application

Species

Unspecified reactive species

Lukas A Heger,Nicolas Schommer,Shoichi Fukui,Stijn Van Bruggen,Casey E Sheehy,Long Chu,Sridharan Rajagopal,Dhanalakshmi Sivanandhan,Bruce Ewenstein,Denisa D Wagner

Molecules (Basel, Switzerland) 27: PubMed35956917

2022

Acetyl-CoA Deficiency Is Involved in the Regulation of Iron Overload on Lipid Metabolism in Apolipoprotein E Knockout Mice.

Applications

Unspecified application

Species

Unspecified reactive species

Gang Luo,Lu Xiang,Lin Xiao
View all publications

Product promise

We are committed to supporting your work with high-quality reagents, and we're here for you every step of the way. In the unlikely event that one of our products does not perform as expected, you're protected by our Product Promise.
For full details, please see our Terms & Conditions

Please note: All products are 'FOR RESEARCH USE ONLY. NOT FOR USE IN DIAGNOSTIC OR THERAPEUTIC PROCEDURES'.

For licensing inquiries, please contact partnerships@abcam.com