JavaScript is disabled in your browser. Please enable JavaScript to view this website.
AB228596

Anti-IDH3A antibody

Be the first to review this product! Submit a review

|

(2 Publications)

Rabbit Polyclonal IDH3A antibody. Suitable for WB, IHC-P, ICC/IF and reacts with Mouse, Rat, Human, Zebrafish samples. Cited in 2 publications. Immunogen corresponding to Recombinant Fragment Protein within Human Isocitrate dehydrogenase [NAD] subunit alpha, mitochondrial.

View Alternative Names

Isocitric dehydrogenase subunit alpha, NAD(+)-specific ICDH subunit alpha, IDH3A

7 Images
Immunocytochemistry/ Immunofluorescence - Anti-IDH3A antibody (AB228596)
  • ICC/IF

Supplier Data

Immunocytochemistry/ Immunofluorescence - Anti-IDH3A antibody (AB228596)

Immunofluorescence analysis of HeLa cells fixed in ice-cold MeOH for 5 min labelling IDH3A protein at mitochondria using ab228596 at a 1/500 dilution (Green). Hoechst 33342 was used for nuclear staining (Blue). Scale bar = 10 µm

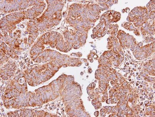
Immunohistochemistry (Formalin/PFA-fixed paraffin-embedded sections) - Anti-IDH3A antibody (AB228596)
  • IHC-P

Supplier Data

Immunohistochemistry (Formalin/PFA-fixed paraffin-embedded sections) - Anti-IDH3A antibody (AB228596)

Paraffin-embedded human lung SCC tissue stained for IDH3A with ab228596 at 1/100 dilution in immunohistochemical analysis

Western blot - Anti-IDH3A antibody (AB228596)
  • WB

Supplier Data

Western blot - Anti-IDH3A antibody (AB228596)

12% SDS-PAGE

All lanes:

Western blot - Anti-IDH3A antibody (ab228596) at 1/500 dilution

All lanes:

HepG2 (human liver hepatocellular carcinoma cell line) whole cell lysate at 30 µg

Secondary

All lanes:

HRP-conjugated anti-rabbit IgG

Predicted band size: 40 kDa,43 kDa

true

Western blot - Anti-IDH3A antibody (AB228596)
  • WB

Supplier Data

Western blot - Anti-IDH3A antibody (AB228596)

Samples were separated by 10% SDS PAGE.

All lanes:

Western blot - Anti-IDH3A antibody (ab228596) at 1/500 dilution

Lane 1:

293T whole cell lysates at 30 µg

Lane 2:

A431 whole cell lysates at 30 µg

Lane 3:

HeLa whole cell lysates at 30 µg

Lane 4:

HepG2 whole cell lysates at 30 µg

Secondary

All lanes:

HRP-conjugated anti-rabbit IgG antibody

Predicted band size: 40 kDa

false

Western blot - Anti-IDH3A antibody (AB228596)
  • WB

Supplier Data

Western blot - Anti-IDH3A antibody (AB228596)

Samples were separated by 10% SDS PAGE.

All lanes:

Western blot - Anti-IDH3A antibody (ab228596) at 1/10000 dilution

All lanes:

Rat brain tissue extract at 50 µg

Secondary

All lanes:

HRP-conjugated anti-rabbit IgG antibody

Predicted band size: 40 kDa

false

Western blot - Anti-IDH3A antibody (AB228596)
  • WB

Supplier Data

Western blot - Anti-IDH3A antibody (AB228596)

Samples were separated by 10% SDS PAGE.

All lanes:

Western blot - Anti-IDH3A antibody (ab228596) at 1/10000 dilution

All lanes:

Mouse brain tissue extract at 50 µg

Secondary

All lanes:

HRP-conjugated anti-rabbit IgG antibody

Predicted band size: 40 kDa

false

Western blot - Anti-IDH3A antibody (AB228596)
  • WB

Supplier Data

Western blot - Anti-IDH3A antibody (AB228596)

Samples were separated by 10% SDS PAGE.

All lanes:

Western blot - Anti-IDH3A antibody (ab228596) at 1/1000 dilution

All lanes:

Whole zebrafish extract at 30 µg

Secondary

All lanes:

HRP-conjugated anti-rabbit IgG antibody

Predicted band size: 40 kDa

false

Key facts

Host species

Rabbit

Clonality

Polyclonal

Isotype

IgG

Carrier free

No

Reacts with

Mouse, Rat, Human, Zebrafish

Applications

ICC/IF, WB, IHC-P

applications

Immunogen

Recombinant Fragment Protein within Human Isocitrate dehydrogenase [NAD] subunit alpha, mitochondrial. The exact immunogen used to generate this antibody is proprietary information.

P50213

Reactivity data

{ "title": "Reactivity Data", "filters": { "stats": ["", "Species", "Dilution Info", "Notes"], "tabs": { "all-applications": {"fullname" : "All Applications", "shortname": "All Applications"}, "WB" : {"fullname" : "Western blot", "shortname":"WB"}, "IHCP" : {"fullname" : "Immunohistochemistry (Formalin/PFA-fixed paraffin-embedded sections)", "shortname":"IHC-P"}, "ICCIF" : {"fullname" : "Immunocytochemistry/ Immunofluorescence", "shortname":"ICC/IF"} }, "product-promise": { "all": "all", "testedAndGuaranteed": "tested", "guaranteed": "expected", "predicted": "predicted", "notRecommended": "not-recommended" } }, "values": { "Human": { "WB-species-checked": "testedAndGuaranteed", "WB-species-dilution-info": "1/1000 - 1/10000", "WB-species-notes": "<p></p>", "IHCP-species-checked": "testedAndGuaranteed", "IHCP-species-dilution-info": "1/100 - 1/1000", "IHCP-species-notes": "<p></p>", "ICCIF-species-checked": "testedAndGuaranteed", "ICCIF-species-dilution-info": "1/100 - 1/1000", "ICCIF-species-notes": "<p></p>" }, "Mouse": { "WB-species-checked": "testedAndGuaranteed", "WB-species-dilution-info": "1/1000 - 1/10000", "WB-species-notes": "<p></p>", "IHCP-species-checked": "guaranteed", "IHCP-species-dilution-info": "", "IHCP-species-notes": "", "ICCIF-species-checked": "guaranteed", "ICCIF-species-dilution-info": "", "ICCIF-species-notes": "" }, "Rat": { "WB-species-checked": "testedAndGuaranteed", "WB-species-dilution-info": "1/1000 - 1/10000", "WB-species-notes": "<p></p>", "IHCP-species-checked": "guaranteed", "IHCP-species-dilution-info": "", "IHCP-species-notes": "", "ICCIF-species-checked": "guaranteed", "ICCIF-species-dilution-info": "", "ICCIF-species-notes": "" }, "Chicken": { "WB-species-checked": "predicted", "WB-species-dilution-info": "", "WB-species-notes": "", "IHCP-species-checked": "predicted", "IHCP-species-dilution-info": "", "IHCP-species-notes": "", "ICCIF-species-checked": "predicted", "ICCIF-species-dilution-info": "", "ICCIF-species-notes": "" }, "Cow": { "WB-species-checked": "predicted", "WB-species-dilution-info": "", "WB-species-notes": "", "IHCP-species-checked": "predicted", "IHCP-species-dilution-info": "", "IHCP-species-notes": "", "ICCIF-species-checked": "predicted", "ICCIF-species-dilution-info": "", "ICCIF-species-notes": "" }, "Rhesus monkey": { "WB-species-checked": "predicted", "WB-species-dilution-info": "", "WB-species-notes": "", "IHCP-species-checked": "predicted", "IHCP-species-dilution-info": "", "IHCP-species-notes": "", "ICCIF-species-checked": "predicted", "ICCIF-species-dilution-info": "", "ICCIF-species-notes": "" }, "Xenopus laevis": { "WB-species-checked": "predicted", "WB-species-dilution-info": "", "WB-species-notes": "", "IHCP-species-checked": "predicted", "IHCP-species-dilution-info": "", "IHCP-species-notes": "", "ICCIF-species-checked": "predicted", "ICCIF-species-dilution-info": "", "ICCIF-species-notes": "" }, "Zebrafish": { "WB-species-checked": "testedAndGuaranteed", "WB-species-dilution-info": "1/1000 - 1/10000", "WB-species-notes": "<p></p>", "IHCP-species-checked": "guaranteed", "IHCP-species-dilution-info": "", "IHCP-species-notes": "", "ICCIF-species-checked": "guaranteed", "ICCIF-species-dilution-info": "", "ICCIF-species-notes": "" } } }

Properties and storage information

Form
Liquid
Purification technique
Affinity purification Immunogen
Storage buffer
pH: 7 Preservative: 0.01% Thimerosal (merthiolate) Constituents: 10% Glycerol (glycerin, glycerine), 1.21% Tris, 0.75% Glycine
Shipped at conditions
Blue Ice
Appropriate short-term storage duration
1-2 weeks
Appropriate short-term storage conditions
+4°C
Appropriate long-term storage conditions
-20°C
Aliquoting information
Upon delivery aliquot
Storage information
Avoid freeze / thaw cycle

Supplementary information

This supplementary information is collated from multiple sources and compiled automatically.

IDH3A also known as Isocitrate Dehydrogenase 3 Alpha is an important part of the tricarboxylic acid (TCA) cycle also called the citric acid cycle. This protein weighs approximately 39 kDa and operates in the mitochondria present in various tissue types but especially active in energy-demanding tissues like muscle and brain. IDH3A enzymatically catalyzes the oxidative decarboxylation of isocitrate to alpha-ketoglutarate using NAD+ as a cofactor which is fundamental in energy production.
Biological function summary

IDH3A functions in the context of the IDH3 complex a heterotetramer that includes subunits IDH3B and IDH3G aside from the alpha subunit. It plays an important role in the TCA cycle's contribution to cellular respiration serving as a linchpin in metabolic pathways that generate ATP through oxidative phosphorylation. The complex formation is essential for maintaining the enzymatic activity and stability required for continuous energy supply.

Pathways

IDH3A is integral to both the TCA cycle and the associated respiratory electron transport chain which is important for ATP production. IDH3A works closely with proteins such as succinate dehydrogenase and cytochrome c in the TCA cycle and electron transport chain. This interaction facilitates the transfer of electrons and protons which is necessary for establishing the proton gradient used in ATP synthesis.

IDH3A's role in metabolic pathways links it to certain metabolic disorders and cancers. Mutations or dysregulations in IDH3A have shown connections to gliomas where proteins like IDH1 are also implicated sharing distorted metabolic pathways due to altered enzymatic function. Additionally disruptions in its normal activity might relate to metabolic syndromes where the balance in energy production and oxidative stress responses may become compromised.

Product protocols

For this product, it's our understanding that no specific protocols are required. You can visit:

Target data

Catalytic subunit of the enzyme which catalyzes the decarboxylation of isocitrate (ICT) into alpha-ketoglutarate. The heterodimer composed of the alpha (IDH3A) and beta (IDH3B) subunits and the heterodimer composed of the alpha (IDH3A) and gamma (IDH3G) subunits, have considerable basal activity but the full activity of the heterotetramer (containing two subunits of IDH3A, one of IDH3B and one of IDH3G) requires the assembly and cooperative function of both heterodimers.
See full target information Isocitrate dehydrogenase [NAD] subunit alpha, mitochondrial

Publications (2)

Recent publications for all applications. Explore the full list and refine your search

Nature communications 13:7414 PubMed36460681

2022

Nuclear localization of mitochondrial TCA cycle enzymes modulates pluripotency via histone acetylation.

Applications

Unspecified application

Species

Unspecified reactive species

Wei Li,Qi Long,Hao Wu,Yanshuang Zhou,Lifan Duan,Hao Yuan,Yingzhe Ding,Yile Huang,Yi Wu,Jinyu Huang,Delong Liu,Baodan Chen,Jian Zhang,Juntao Qi,Shiwei Du,Linpeng Li,Yang Liu,Zifeng Ruan,Zihuang Liu,Zichao Liu,Yifan Zhao,Jianghuan Lu,Junwei Wang,Wai-Yee Chan,Xingguo Liu

Signal transduction and targeted therapy 6:375 PubMed34728602

2021

The existence of a nonclassical TCA cycle in the nucleus that wires the metabolic-epigenetic circuitry.

Applications

Unspecified application

Species

Unspecified reactive species

Xujun Liu,Wenzhe Si,Lin He,Jianguo Yang,Yani Peng,Jie Ren,Xiaoping Liu,Tong Jin,Huajing Yu,Zihan Zhang,Xiao Cheng,Wenting Zhang,Lu Xia,Yunchao Huang,Yue Wang,Shumeng Liu,Lin Shan,Yu Zhang,Xiaohan Yang,Haixia Li,Jing Liang,Luyang Sun,Yongfeng Shang
View all publications

Product promise

We are committed to supporting your work with high-quality reagents, and we're here for you every step of the way. In the unlikely event that one of our products does not perform as expected, you're protected by our Product Promise.
For full details, please see our Terms & Conditions

Please note: All products are 'FOR RESEARCH USE ONLY. NOT FOR USE IN DIAGNOSTIC OR THERAPEUTIC PROCEDURES'.

For licensing inquiries, please contact partnerships@abcam.com