JavaScript is disabled in your browser. Please enable JavaScript to view this website.
AB187742

Anti-IdU antibody [OTI2F8]

5

(1 Review)

|

(3 Publications)

Rat Monoclonal IdU antibody. Suitable for IHC-P and reacts with Chemical samples. Cited in 3 publications. Immunogen corresponding to Chemical / Small Molecule corresponding to IdU.

View Alternative Names

5-Iodo-2'-deoxyuridine, Iododeoxyuridine

2 Images
Immunohistochemistry (Formalin/PFA-fixed paraffin-embedded sections) - Anti-IdU antibody [OTI2F8] (AB187742)
  • IHC-P

Supplier Data

Immunohistochemistry (Formalin/PFA-fixed paraffin-embedded sections) - Anti-IdU antibody [OTI2F8] (AB187742)

Immunohistochemical analysis of paraffin-embedded colon tissue from BrdU injected mouse, labeling IdU with ab187742 at 1/150 dilution.

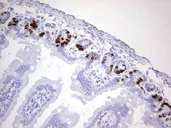
Immunohistochemistry (Formalin/PFA-fixed paraffin-embedded sections) - Anti-IdU antibody [OTI2F8] (AB187742)
  • IHC-P

Supplier Data

Immunohistochemistry (Formalin/PFA-fixed paraffin-embedded sections) - Anti-IdU antibody [OTI2F8] (AB187742)

Immunohistochemical analysis of paraffin-embedded colon tissue from IdU injected mouse, labeling IdU with ab187742 at 1/150 dilution.

Key facts

Host species

Rat

Clonality

Monoclonal

Clone number

OTI2F8

Isotype

IgG2a

Carrier free

No

Applications

IHC-P

applications

Specificity

ab187742 has been shown to cross react with BrdU. Cross-reactivity with other similar molecules has not been tested.

Reactivity data

{ "title": "Reactivity Data", "filters": { "stats": ["", "Species", "Dilution Info", "Notes"], "tabs": { "all-applications": {"fullname" : "All Applications", "shortname": "All Applications"}, "IHCP" : {"fullname" : "Immunohistochemistry (Formalin/PFA-fixed paraffin-embedded sections)", "shortname":"IHC-P"} }, "product-promise": { "all": "all", "testedAndGuaranteed": "tested", "guaranteed": "expected", "predicted": "predicted", "notRecommended": "not-recommended" } }, "values": { "Chemical": { "IHCP-species-checked": "testedAndGuaranteed", "IHCP-species-dilution-info": "1/150", "IHCP-species-notes": "<p></p>" } } }

Product details

The clone number has been updated from 2F8 to OTI2F8, both clone numbers name the same clone.

Properties and storage information

Form
Liquid
Purification technique
Affinity purification Protein A
Purification notes
ab187742 is purified from cell culture supernatant by affinity chromatography.
Storage buffer
pH: 7.3 Preservative: 0.02% Sodium azide Constituents: PBS, 50% Glycerol (glycerin, glycerine), 1% BSA
Shipped at conditions
Blue Ice
Appropriate short-term storage duration
1-2 weeks
Appropriate short-term storage conditions
+4°C
Appropriate long-term storage conditions
-20°C
Aliquoting information
Upon delivery aliquot
Storage information
Avoid freeze / thaw cycle

Product protocols

For this product, it's our understanding that no specific protocols are required. You can visit:

Publications (3)

Recent publications for all applications. Explore the full list and refine your search

Brain pathology (Zurich, Switzerland) 34:e13217 PubMed37865975

2023

SPI1 activates TGF-β1/PI3K/Akt signaling through transcriptional upregulation of FKBP12 to support the mesenchymal phenotype of glioma stem cells.

Applications

Unspecified application

Species

Unspecified reactive species

Yifu Song,Yaochuan Zhang,Xiaoliang Wang,Xiaodi Han,Mengwu Shi,Ling Xu,Juanhan Yu,Li Zhang,Sheng Han

Cell death & disease 13:96 PubMed35110528

2022

BMI1 nuclear location is critical for RAD51-dependent response to replication stress and drives chemoresistance in breast cancer stem cells.

Applications

Unspecified application

Species

Unspecified reactive species

Violette Azzoni,Julien Wicinski,Manon Macario,Martin Castagné,Pascal Finetti,Katerina Ambrosova,Célia D Rouault,Arnaud Sergé,Anne Farina,Emilie Agavnian,Sergiu Coslet,Emmanuelle Josselin,Arnaud Guille,José Adelaide,Emmanouil Zacharioudakis,Rémy Castellano,Francois Bertucci,Daniel Birnbaum,Raphael Rodriguez,Emmanuelle Charafe-Jauffret,Christophe Ginestier

Nucleic acids research 47:11250-11267 PubMed31566235

2019

Poly(ADP-ribose)-dependent chromatin unfolding facilitates the association of DNA-binding proteins with DNA at sites of damage.

Applications

Unspecified application

Species

Unspecified reactive species

Rebecca Smith,Théo Lebeaupin,Szilvia Juhász,Catherine Chapuis,Ostiane D'Augustin,Stéphanie Dutertre,Peter Burkovics,Christian Biertümpfel,Gyula Timinszky,Sébastien Huet
View all publications

Product promise

We are committed to supporting your work with high-quality reagents, and we're here for you every step of the way. In the unlikely event that one of our products does not perform as expected, you're protected by our Product Promise.
For full details, please see our Terms & Conditions

Please note: All products are 'FOR RESEARCH USE ONLY. NOT FOR USE IN DIAGNOSTIC OR THERAPEUTIC PROCEDURES'.

For licensing inquiries, please contact partnerships@abcam.com