JavaScript is disabled in your browser. Please enable JavaScript to view this website.
AB323701

Anti-IDUA antibody antibody [EPR26926-251]

  • BOND RX™ Validated
  • RabMAb
  • Recombinant
  • 20ul selling size
  • What is this?

Be the first to review this product! Submit a review

|

(0 Publication)

Rabbit Recombinant Monoclonal IDUA antibody. Suitable for ICC/IF, IHC-P, WB and reacts with Human, Mouse, Rat samples.

View Alternative Names

Alpha-L-iduronidase, IDUA

13 Images
Immunohistochemistry (Formalin/PFA-fixed paraffin-embedded sections) - Anti-IDUA antibody antibody [EPR26926-251] (AB323701)
  • IHC-P

Supplier Data

Immunohistochemistry (Formalin/PFA-fixed paraffin-embedded sections) - Anti-IDUA antibody antibody [EPR26926-251] (AB323701)

Immunohistochemical analysis of paraffin-embedded Human kidney tissue labeling IDUA with ab323701 at 1/100 (5.1 ug/ml) dilution, followed by a ready to use LeicaDS9800 (Bond™ Polymer Refine Detection).

Positive staining on human kidney. The section was incubated with ab323701 for 30 mins at room temperature.
The immunostaining was performed on a Leica Biosystems BOND® RX instrument

Counterstained with Hematoxylin.

Secondary antibody only control : Secondary antibody is a ready to use LeicaDS9800 (Bond™ Polymer Refine Detection).

Heat mediated antigen retrieval was performed with Tris-EDTA buffer (pH 9.0, Epitope Retrieval Solution2) for 20 mins

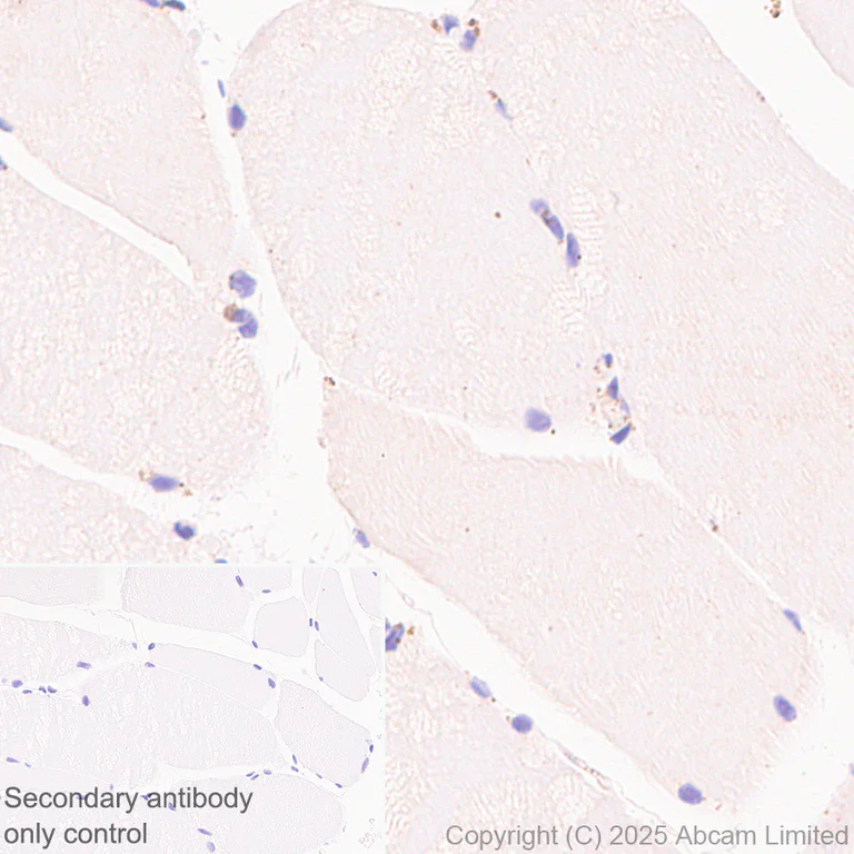
Immunohistochemistry (Formalin/PFA-fixed paraffin-embedded sections) - Anti-IDUA antibody antibody [EPR26926-251] (AB323701)
  • IHC-P

Supplier Data

Immunohistochemistry (Formalin/PFA-fixed paraffin-embedded sections) - Anti-IDUA antibody antibody [EPR26926-251] (AB323701)

Immunohistochemical analysis of paraffin-embedded Human skeletal muscle tissue labeling IDUA with ab323701 at 1/100 (5.1 ug/ml) dilution, followed by a ready to use LeicaDS9800 (Bond™ Polymer Refine Detection).

Low expression : weak staining on human skeletal muscle. The section was incubated with ab323701 for 30 mins at room temperature.
The immunostaining was performed on a Leica Biosystems BOND® RX instrument

Counterstained with Hematoxylin.

Secondary antibody only control : Secondary antibody is a ready to use LeicaDS9800 (Bond™ Polymer Refine Detection).

Heat mediated antigen retrieval was performed with Tris-EDTA buffer (pH 9.0, Epitope Retrieval Solution2) for 20 mins

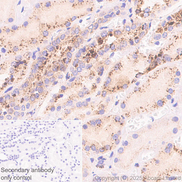
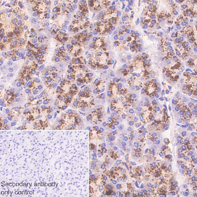
Immunohistochemistry (Formalin/PFA-fixed paraffin-embedded sections) - Anti-IDUA antibody antibody [EPR26926-251] (AB323701)
  • IHC-P

Supplier Data

Immunohistochemistry (Formalin/PFA-fixed paraffin-embedded sections) - Anti-IDUA antibody antibody [EPR26926-251] (AB323701)

Immunohistochemical analysis of paraffin-embedded Human pancreas tissue labeling IDUA with ab323701 at 1/100 (5.1 ug/ml) dilution, followed by a ready to use LeicaDS9800 (Bond™ Polymer Refine Detection).

Positive staining on human pancreas. The section was incubated with ab323701 for 30 mins at room temperature.
The immunostaining was performed on a Leica Biosystems BOND® RX instrument

Counterstained with Hematoxylin.

Secondary antibody only control : Secondary antibody is a ready to use LeicaDS9800 (Bond™ Polymer Refine Detection).

Heat mediated antigen retrieval was performed with Tris-EDTA buffer (pH 9.0, Epitope Retrieval Solution2) for 20 mins

Immunocytochemistry/ Immunofluorescence - Anti-IDUA antibody antibody [EPR26926-251] (AB323701)
  • ICC/IF

Supplier Data

Immunocytochemistry/ Immunofluorescence - Anti-IDUA antibody antibody [EPR26926-251] (AB323701)

Immunofluorescent analysis of 100% methanol-fixed, 0.1% TritonX-100 permeabilized IMR-90 (human lung fibroblast) cells labelling IDUA with ab323701 at 1/50 (10.2 ug/ml) dilution, followed by ab150081 Goat Anti-Rabbit IgG H&L (Alexa Fluor® 488) preadsorbed antibody at 1/1000 2ug/ml dilution (Green).

Confocal image showing lysosome staining in IMR-90 cells(shown in green). The counterstain was observed in magenta. Nuclear DNA was labelled with DAPI (shown in blue).
Low expression : JAR.
Image was taken with a confocal microscope (Leica-Microsystems, TCS SP8).

ab25630 Anti-LAMP1 mouse monoclonal antibody was used to counterstain tubulin at 1/200 2.5ug/ml dilution (Magenta). The Nuclear counterstain was DAPI (Blue).

Secondary antibody only control : Secondary antibody is ab150081 Goat Anti-Rabbit IgG H&L (Alexa Fluor® 488) preadsorbed at 1/1000 2ug/ml dilution.

Counter stain secondary antibody only control : Secondary antibody is ab150115 Goat Anti-Mouse IgG H&L (Alexa Fluor® 647) preadsorbed at 1/1000 2ug/ml dilution.

Western blot - Anti-IDUA antibody antibody [EPR26926-251] (AB323701)
  • WB

Supplier Data

Western blot - Anti-IDUA antibody antibody [EPR26926-251] (AB323701)

Blocking and diluting buffer and concentration : 5% NFDM/TBST.

In Western blot, Anti-GAPDH antibody [EPR16891] - Loading Control (ab181602) staining at 1/200000 dilution.

All lanes:

Western blot - Anti-IDUA antibody antibody [EPR26926-251] (ab323701) at 1/1000 dilution

Lane 1:

HeLa (human cervical adenocarcinoma epithelial cell) transfected with scrambled siRNA control whole cell lysate at 50 µg

Lane 2:

HeLa transfected with siRNA specifically targeting IDUA whole cell lysate at 50 µg

Secondary

All lanes:

Western blot - Goat Anti-Rabbit IgG H&L (HRP) (<a href='/en-us/products/secondary-antibodies/goat-rabbit-igg-h-l-hrp-ab97051'>ab97051</a>) at 1/20000 dilution

Observed band size: 60-90 kDa,36 kDa

false

Exposure time: 37s

Western blot - Anti-IDUA antibody antibody [EPR26926-251] (AB323701)
  • WB

Supplier Data

Western blot - Anti-IDUA antibody antibody [EPR26926-251] (AB323701)

Blocking and diluting buffer and concentration : 5% NFDM/TBST.

The identity of the bands between 15 kDa and 50 kDa are unknown.

All lanes:

Western blot - Anti-IDUA antibody antibody [EPR26926-251] (ab323701) at 1/1000 dilution

Lane 1:

Human pancreas tissue lysate at 50 µg

Lane 2:

Human breast tissue lysate at 50 µg

Lane 3:

Human colon tissue lysate at 50 µg

Lane 4:

Human hippocampus tissue lysate at 50 µg

Secondary

All lanes:

Goat Anti-Rabbit IgG (HRP) with minimal cross-reactivity with human IgG at 1/2000 dilution

Observed band size: 60-90 kDa

false

Exposure time: 48s

Western blot - Anti-IDUA antibody antibody [EPR26926-251] (AB323701)
  • WB

Supplier Data

Western blot - Anti-IDUA antibody antibody [EPR26926-251] (AB323701)

Blocking and diluting buffer and concentration : 5% NFDM/TBST.

Low expression : JEG-3, JAR

The identity of the bands between 15 kDa and 37 kDa are unknown.

In Western blot, Anti-GAPDH antibody [EPR16891] - Loading Control (ab181602) staining at 1/200000 dilution.

Exposure time : Lane 1 : 3 seconds, Lanes 2-5 : 10 seconds, Lane 6 : 70 seconds

All lanes:

Western blot - Anti-IDUA antibody antibody [EPR26926-251] (ab323701) at 1/1000 dilution

Lane 1:

IMR-90 (human lung fibroblast) whole cell lysate at 50 µg

Lane 2:

U266B1 (human multiple myeloma B lymphocyte) whole cell lysate at 50 µg

Lane 3:

JEG-3 (human placenta epithelial cell) whole cell lysate at 50 µg

Lane 4:

JAR (human placenta choriocarcinoma epithelial cell) whole cell lysate at 50 µg

Lane 5:

HepG2 (human hepatocelullar carcinoma epithelial cell) whole cell lysate at 50 µg

Secondary

All lanes:

Western blot - Goat Anti-Rabbit IgG H&L (HRP) (<a href='/en-us/products/secondary-antibodies/goat-rabbit-igg-h-l-hrp-ab97051'>ab97051</a>) at 1/20000 dilution

Observed band size: 60-90 kDa,36 kDa

false

Western blot - Anti-IDUA antibody antibody [EPR26926-251] (AB323701)
  • WB

Supplier Data

Western blot - Anti-IDUA antibody antibody [EPR26926-251] (AB323701)

Blocking and diluting buffer and concentration : 5% NFDM/TBST.

Low expression : F9, MEF

In Western blot, Anti-GAPDH antibody [EPR16891] - Loading Control (ab181602) staining at 1/200000 dilution.

All lanes:

Western blot - Anti-IDUA antibody antibody [EPR26926-251] (ab323701) at 1/1000 dilution

Lane 1:

mIMCD3 (mouse inner medullary collecting duct epithelial cell) whole cell lysate at 50 µg

Lane 2:

F9 (mouse embryonal carcinoma epithelial cell) whole cell lysate at 50 µg

Lane 3:

MEF (mouse embryo fibroblast) whole cell lysate at 50 µg

Secondary

All lanes:

Western blot - Goat Anti-Rabbit IgG H&L (HRP) (<a href='/en-us/products/secondary-antibodies/goat-rabbit-igg-h-l-hrp-ab97051'>ab97051</a>) at 1/20000 dilution

Observed band size: 60-90 kDa,36 kDa

false

Exposure time: 59s

Western blot - Anti-IDUA antibody antibody [EPR26926-251] (AB323701)
  • WB

Supplier Data

Western blot - Anti-IDUA antibody antibody [EPR26926-251] (AB323701)

Blocking and diluting buffer and concentration : 5% NFDM/TBST.

In Western blot, Anti-GAPDH antibody [EPR16891] - Loading Control (ab181602) staining at 1/200000 dilution.

All lanes:

Western blot - Anti-IDUA antibody antibody [EPR26926-251] (ab323701) at 1/1000 dilution

Lane 1:

mIMCD3 (mouse inner medullary collecting duct epithelial cell) transfected with scrambled siRNA control whole cell lysate at 20 µg

Lane 2:

mIMCD3 transfected with siRNA specifically targeting IDUA whole cell lysate at 20 µg

Secondary

All lanes:

Western blot - Goat Anti-Rabbit IgG H&L (HRP) (<a href='/en-us/products/secondary-antibodies/goat-rabbit-igg-h-l-hrp-ab97051'>ab97051</a>) at 1/20000 dilution

Observed band size: 60-90 kDa,36 kDa

false

Exposure time: 8s

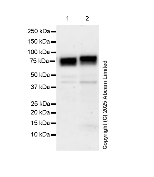
Western blot - Anti-IDUA antibody antibody [EPR26926-251] (AB323701)
  • WB

Supplier Data

Western blot - Anti-IDUA antibody antibody [EPR26926-251] (AB323701)

Blocking and diluting buffer and concentration : 5% NFDM/TBST.

To minimize protein degradation, cells/tissues were lysed immediately after harvest and then applied to a gel and transfer membrane for Western blotting as soon as possible.

All lanes:

Western blot - Anti-IDUA antibody antibody [EPR26926-251] (ab323701) at 1/1000 dilution

Lane 1:

Rat testis tissue lysate at 20 µg

Lane 2:

Rat spleen tissue lysate at 20 µg

Secondary

All lanes:

Western blot - Goat Anti-Rabbit IgG H&L (HRP) (<a href='/en-us/products/secondary-antibodies/goat-rabbit-igg-h-l-hrp-ab97051'>ab97051</a>) at 1/20000 dilution

Observed band size: 60-90 kDa

false

Exposure time: 136s

Western blot - Anti-IDUA antibody antibody [EPR26926-251] (AB323701)
  • WB

Supplier Data

Western blot - Anti-IDUA antibody antibody [EPR26926-251] (AB323701)

Blocking and diluting buffer and concentration : 5% NFDM/TBST.

To minimize protein degradation, cells were lysed immediately after harvest and then applied to a gel and transfer membrane for Western blotting as soon as possible.

In Western blot, Anti-GAPDH antibody [EPR16891] - Loading Control (ab181602) staining at 1/200000 dilution.

All lanes:

Western blot - Anti-IDUA antibody antibody [EPR26926-251] (ab323701) at 1/1000 dilution

Lane 1:

McA-RH7777 (rat liver epithelial cell) whole cell lysate at 20 µg

Lane 2:

NMuLi (mouse liver epithelial cell) whole cell lysate at 20 µg

Secondary

All lanes:

Western blot - Goat Anti-Rabbit IgG H&L (HRP) (<a href='/en-us/products/secondary-antibodies/goat-rabbit-igg-h-l-hrp-ab97051'>ab97051</a>) at 1/20000 dilution

Observed band size: 60-90 kDa,36 kDa

false

Exposure time: 180s

Western blot - Anti-IDUA antibody antibody [EPR26926-251] (AB323701)
  • WB

Supplier Data

Western blot - Anti-IDUA antibody antibody [EPR26926-251] (AB323701)

Blocking and diluting buffer and concentration : 5% NFDM/TBST.

Low expression : skeletal muscle

To minimize protein degradation, cells/tissues were lysed immediately after harvest and then applied to a gel and transfer membrane for Western blotting as soon as possible.

In Western blot, Anti-GAPDH antibody [EPR16891] - Loading Control (ab181602) staining at 1/200000 dilution.

All lanes:

Western blot - Anti-IDUA antibody antibody [EPR26926-251] (ab323701) at 1/1000 dilution

Lane 1:

Rat lung tissue lysate at 20 µg

Lane 2:

Rat skeletal muscle tissue lysate at 20 µg

Lane 3:

Rat kidney tissue lysate at 20 µg

Secondary

All lanes:

Western blot - Goat Anti-Rabbit IgG H&L (HRP) (<a href='/en-us/products/secondary-antibodies/goat-rabbit-igg-h-l-hrp-ab97051'>ab97051</a>) at 1/20000 dilution

Observed band size: 60-90 kDa,36 kDa

false

Exposure time: 70s

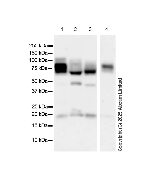
Western blot - Anti-IDUA antibody antibody [EPR26926-251] (AB323701)
  • WB

Supplier Data

Western blot - Anti-IDUA antibody antibody [EPR26926-251] (AB323701)

Blocking and diluting buffer and concentration : 5% NFDM/TBST.

The identity of the bands between 15 kDa and 50 kDa are unknown.

Exposure time : Lanes 1, 3-4 : 81 seconds, Lane 2 : 103 seconds

All lanes:

Western blot - Anti-IDUA antibody antibody [EPR26926-251] (ab323701) at 1/1000 dilution

Lane 1:

Mouse pancreas tissue lysate at 50 µg

Lane 2:

Rat pancreas tissue lysate at 50 µg

Lane 3:

Rat colon tissue lysate at 50 µg

Lane 4:

Rat brain tissue lysate at 50 µg

Secondary

All lanes:

Western blot - Goat Anti-Rabbit IgG H&L (HRP) (<a href='/en-us/products/secondary-antibodies/goat-rabbit-igg-h-l-hrp-ab97051'>ab97051</a>) at 1/20000 dilution

Observed band size: 60-90 kDa

false

Key facts

Host species

Rabbit

Clonality

Monoclonal

Clone number

EPR26926-251

Isotype

IgG

Carrier free

No

Reacts with

Human, Mouse, Rat

Applications

ICC/IF, WB, IHC-P

applications

Immunogen

The exact immunogen used to generate this antibody is proprietary information.

Specificity

Unsuitable for mouse and rat IHC-P, ICC.

Reactivity data

{ "title": "Reactivity Data", "filters": { "stats": ["", "Species", "Dilution Info", "Notes"], "tabs": { "all-applications": {"fullname" : "All Applications", "shortname": "All Applications"}, "ICCIF" : {"fullname" : "Immunocytochemistry/ Immunofluorescence", "shortname":"ICC/IF"}, "IHCP" : {"fullname" : "Immunohistochemistry (Formalin/PFA-fixed paraffin-embedded sections)", "shortname":"IHC-P"}, "WB" : {"fullname" : "Western blot", "shortname":"WB"}, "IHCFr" : {"fullname" : "Immunohistochemistry (Frozen sections)", "shortname":"IHC-Fr"} }, "product-promise": { "all": "all", "testedAndGuaranteed": "tested", "guaranteed": "expected", "predicted": "predicted", "notRecommended": "not-recommended" } }, "values": { "Human": { "ICCIF-species-checked": "testedAndGuaranteed", "ICCIF-species-dilution-info": "1/50", "ICCIF-species-notes": "<p></p>", "IHCP-species-checked": "testedAndGuaranteed", "IHCP-species-dilution-info": "1/100", "IHCP-species-notes": "<p></p> Perform heat-mediated antigen retrieval with Tris/EDTA buffer pH 9.0 before commencing with IHC staining protocol.", "WB-species-checked": "testedAndGuaranteed", "WB-species-dilution-info": "1/1000", "WB-species-notes": "<p></p>", "IHCFr-species-checked": "notRecommended", "IHCFr-species-dilution-info": "", "IHCFr-species-notes": "" }, "Mouse": { "ICCIF-species-checked": "notRecommended", "ICCIF-species-dilution-info": "", "ICCIF-species-notes": "<p></p>", "IHCP-species-checked": "notRecommended", "IHCP-species-dilution-info": "", "IHCP-species-notes": "<p></p>", "WB-species-checked": "testedAndGuaranteed", "WB-species-dilution-info": "1/1000", "WB-species-notes": "<p></p>", "IHCFr-species-checked": "notRecommended", "IHCFr-species-dilution-info": "", "IHCFr-species-notes": "<p></p>" }, "Rat": { "ICCIF-species-checked": "notRecommended", "ICCIF-species-dilution-info": "", "ICCIF-species-notes": "<p></p>", "IHCP-species-checked": "notRecommended", "IHCP-species-dilution-info": "", "IHCP-species-notes": "<p></p>", "WB-species-checked": "testedAndGuaranteed", "WB-species-dilution-info": "1/1000", "WB-species-notes": "<p></p>", "IHCFr-species-checked": "notRecommended", "IHCFr-species-dilution-info": "", "IHCFr-species-notes": "<p></p>" } } }

Product details

What are the advantages of a recombinant monoclonal antibody?
This product is a recombinant monoclonal antibody, which offers several advantages including:

  • - High batch-to-batch consistency and reproducibility
  • - Improved sensitivity and specificity
  • - Long-term security of supply
  • - Animal-free batch production

For more information, read more on recombinant antibodies.

Patented technology
Our RabMAb® technology is a patented hybridoma-based technology for making rabbit monoclonal antibodies. For details on our patents, please refer to RabMAb® patents.

Properties and storage information

Form
Liquid
Purification technique
Affinity purification Protein A
Storage buffer
pH: 7.2 - 7.4 Preservative: 0.01% Sodium azide Constituents: PBS, 40% Glycerol (glycerin, glycerine), 0.05% BSA
Shipped at conditions
Blue Ice
Appropriate short-term storage duration
1-2 weeks
Appropriate short-term storage conditions
+4°C
Appropriate long-term storage conditions
-20°C
Aliquoting information
Upon delivery aliquot
Storage information
Avoid freeze / thaw cycle

Product protocols

For this product, it's our understanding that no specific protocols are required. You can visit:

Product promise

We are committed to supporting your work with high-quality reagents, and we're here for you every step of the way. In the unlikely event that one of our products does not perform as expected, you're protected by our Product Promise.
For full details, please see our Terms & Conditions

Please note: All products are 'FOR RESEARCH USE ONLY. NOT FOR USE IN DIAGNOSTIC OR THERAPEUTIC PROCEDURES'.

For licensing inquiries, please contact partnerships@abcam.com