JavaScript is disabled in your browser. Please enable JavaScript to view this website.
AB314482

Anti-Iduronate 2 sulfatase/SIDS antibody [EPR25954-194]

  • BOND RX™ Validated
  • 20ul selling size
  • RabMAb
  • Recombinant
  • What is this?

Be the first to review this product! Submit a review

|

(0 Publication)

Rabbit Recombinant Monoclonal Iduronate 2 sulfatase/SIDS antibody. Suitable for IHC-P, WB, Flow Cyt (Intra), I-ELISA and reacts with Human, Mouse, Rat, Recombinant full length protein - Mouse, Recombinant full length protein - Human samples.

View Alternative Names

SIDS, IDS, Iduronate 2-sulfatase, Alpha-L-iduronate sulfate sulfatase, Idursulfase

15 Images
Immunohistochemistry (Formalin/PFA-fixed paraffin-embedded sections) - Anti-Iduronate 2 sulfatase/SIDS antibody [EPR25954-194] (AB314482)
  • IHC-P

Supplier Data

Immunohistochemistry (Formalin/PFA-fixed paraffin-embedded sections) - Anti-Iduronate 2 sulfatase/SIDS antibody [EPR25954-194] (AB314482)

Immunohistochemical analysis of paraffin-embedded Human skeletal muscle tissue labeling Iduronate 2 sulfatase/SIDS with ab314482 at 1/2000 (0.265 ug/ml) followed by a ready to use LeicaDS9800 (Bond™ Polymer Refine Detection). Low expression tissue : No staining on human skeletal muscle. The section was incubated with ab314482 for 30 mins at room temperature. The immunostaining was performed on a Leica Biosystems BOND® RX instrument. Counterstained with Hematoxylin. Secondary antibody only control : Secondary antibody is a ready to use LeicaDS9800 (Bond™ Polymer Refine Detection). Heat mediated antigen retrieval was performed with Tris-EDTA buffer (pH 9.0, Epitope Retrieval Solution2) for 20 mins.

Immunohistochemistry (Formalin/PFA-fixed paraffin-embedded sections) - Anti-Iduronate 2 sulfatase/SIDS antibody [EPR25954-194] (AB314482)
  • IHC-P

Supplier Data

Immunohistochemistry (Formalin/PFA-fixed paraffin-embedded sections) - Anti-Iduronate 2 sulfatase/SIDS antibody [EPR25954-194] (AB314482)

Immunohistochemical analysis of paraffin-embedded Human tonsil tissue labeling Iduronate 2 sulfatase/SIDS with ab314482 at 1/2000 (0.265 ug/ml) followed by a ready to use LeicaDS9800 (Bond™ Polymer Refine Detection). Positive staining on human tonsil. The section was incubated with ab314482 for 30 mins at room temperature. The immunostaining was performed on a Leica Biosystems BOND® RX instrument. Counterstained with Hematoxylin. Secondary antibody only control : Secondary antibody is a ready to use LeicaDS9800 (Bond™ Polymer Refine Detection). Heat mediated antigen retrieval was performed with Tris-EDTA buffer (pH 9.0, Epitope Retrieval Solution2) for 20 mins.

Immunohistochemistry (Formalin/PFA-fixed paraffin-embedded sections) - Anti-Iduronate 2 sulfatase/SIDS antibody [EPR25954-194] (AB314482)
  • IHC-P

Supplier Data

Immunohistochemistry (Formalin/PFA-fixed paraffin-embedded sections) - Anti-Iduronate 2 sulfatase/SIDS antibody [EPR25954-194] (AB314482)

Immunohistochemical analysis of paraffin-embedded Human cerebrum tissue labeling Iduronate 2 sulfatase/SIDS with ab314482 at 1/2000 (0.265 ug/ml) followed by a ready to use LeicaDS9800 (Bond™ Polymer Refine Detection). Positive staining on human cerebrum (PMID : 19556155). The section was incubated with ab314482 for 30 mins at room temperature. The immunostaining was performed on a Leica Biosystems BOND® RX instrument. Counterstained with Hematoxylin. Secondary antibody only control : Secondary antibody is a ready to use LeicaDS9800 (Bond™ Polymer Refine Detection). Heat mediated antigen retrieval was performed with Tris-EDTA buffer (pH 9.0, Epitope Retrieval Solution2) for 20 mins.

Flow Cytometry (Intracellular) - Anti-Iduronate 2 sulfatase/SIDS antibody [EPR25954-194] (AB314482)
  • Flow Cyt (Intra)

Supplier Data

Flow Cytometry (Intracellular) - Anti-Iduronate 2 sulfatase/SIDS antibody [EPR25954-194] (AB314482)

Flow cytometric analysis of 4% paraformaldehyde fixed 90% methanol permeabilized MCF7 (human breast adenocarcinoma epithelial cell) cells labelling Iduronate 2 sulfatase/SIDS with ab314482 at 1/50 dilution (1 ug)/Red (Red) compared with a Rabbit monoclonal IgG (ab172730) (Black) isotype control and an unlabelled control (cells without incubation with primary antibody and secondary antibody) (Blue). A Goat Anti-Rabbit IgG (Alexa Fluor® 488, ab150081) at 1/5000 dilution was used as the secondary antibody.

Immunohistochemistry (Formalin/PFA-fixed paraffin-embedded sections) - Anti-Iduronate 2 sulfatase/SIDS antibody [EPR25954-194] (AB314482)
  • IHC-P

Supplier Data

Immunohistochemistry (Formalin/PFA-fixed paraffin-embedded sections) - Anti-Iduronate 2 sulfatase/SIDS antibody [EPR25954-194] (AB314482)

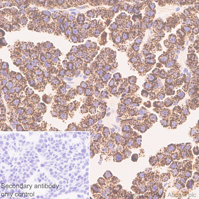
Immunohistochemical analysis of paraffin-embedded Human placenta tissue labeling Iduronate 2 sulfatase/SIDS with ab314482 at 1/2000 (0.265 ug/ml) followed by a ready to use LeicaDS9800 (Bond™ Polymer Refine Detection). Positive staining on human placenta. The section was incubated with ab314482 for 30 mins at room temperature. The immunostaining was performed on a Leica Biosystems BOND® RX instrument. Counterstained with Hematoxylin. Secondary antibody only control : Secondary antibody is a ready to use LeicaDS9800 (Bond™ Polymer Refine Detection). Heat mediated antigen retrieval was performed with Tris-EDTA buffer (pH 9.0, Epitope Retrieval Solution2) for 20 mins.

Indirect ELISA - Anti-Iduronate 2 sulfatase/SIDS antibody [EPR25954-194] (AB314482)
  • I-ELISA

Supplier Data

Indirect ELISA - Anti-Iduronate 2 sulfatase/SIDS antibody [EPR25954-194] (AB314482)

Indirect ELISA analysis of ab314482 at 1000-0 ng/ml. The Secondary antibody used was Alkaline Phosphatase-conjugated AffiniPure Goat Anti-Rabbit IgG (H+L) at 1 : 2500 dilution. Antigen : Human Iduronate 2 sulfatase/SIDS,Mouse Iduronate 2 sulfatase/SIDS. Antigen concentration : 1000 ng/ml

Flow Cytometry (Intracellular) - Anti-Iduronate 2 sulfatase/SIDS antibody [EPR25954-194] (AB314482)
  • Flow Cyt (Intra)

Supplier Data

Flow Cytometry (Intracellular) - Anti-Iduronate 2 sulfatase/SIDS antibody [EPR25954-194] (AB314482)

Flow cytometric analysis of 4% paraformaldehyde fixed 90% methanol permeabilized NIH/3T3 (mouse embryonic fibroblast) cells labelling Iduronate 2 sulfatase/SIDS with ab314482 at 1/50 dilution (1 ug)/Red (Red) compared with a Rabbit monoclonal IgG (ab172730) (Black) isotype control and an unlabelled control (cells without incubation with primary antibody and secondary antibody) (Blue). A Goat Anti-Rabbit IgG (Alexa Fluor® 488, ab150081) at 1/5000 dilution was used as the secondary antibody.

Immunohistochemistry (Formalin/PFA-fixed paraffin-embedded sections) - Anti-Iduronate 2 sulfatase/SIDS antibody [EPR25954-194] (AB314482)
  • IHC-P

Supplier Data

Immunohistochemistry (Formalin/PFA-fixed paraffin-embedded sections) - Anti-Iduronate 2 sulfatase/SIDS antibody [EPR25954-194] (AB314482)

Immunohistochemical analysis of paraffin-embedded Mouse skeletal muscle tissue labeling Iduronate 2 sulfatase/SIDS with ab314482 at 1/2000 (0.265 ug/ml) followed by a ready to use LeicaDS9800 (Bond™ Polymer Refine Detection). Low expression tissue : No staining on mouse skeletal muscle. The section was incubated with ab314482 for 30 mins at room temperature. The immunostaining was performed on a Leica Biosystems BOND® RX instrument. Counterstained with Hematoxylin. Secondary antibody only control : Secondary antibody is a ready to use LeicaDS9800 (Bond™ Polymer Refine Detection). Heat mediated antigen retrieval was performed with Tris-EDTA buffer (pH 9.0, Epitope Retrieval Solution2) for 20 mins.

Immunohistochemistry (Formalin/PFA-fixed paraffin-embedded sections) - Anti-Iduronate 2 sulfatase/SIDS antibody [EPR25954-194] (AB314482)
  • IHC-P

Supplier Data

Immunohistochemistry (Formalin/PFA-fixed paraffin-embedded sections) - Anti-Iduronate 2 sulfatase/SIDS antibody [EPR25954-194] (AB314482)

Immunohistochemical analysis of paraffin-embedded Mouse lung tumor tissue labeling Iduronate 2 sulfatase/SIDS with ab314482 at 1/2000 (0.265 ug/ml) followed by a ready to use LeicaDS9800 (Bond™ Polymer Refine Detection). Positive staining on mouse lung tumor. The section was incubated with ab314482 for 30 mins at room temperature. The immunostaining was performed on a Leica Biosystems BOND® RX instrument. Counterstained with Hematoxylin. Secondary antibody only control : Secondary antibody is a ready to use LeicaDS9800 (Bond™ Polymer Refine Detection). Heat mediated antigen retrieval was performed with Tris-EDTA buffer (pH 9.0, Epitope Retrieval Solution2) for 20 mins.

Immunohistochemistry (Formalin/PFA-fixed paraffin-embedded sections) - Anti-Iduronate 2 sulfatase/SIDS antibody [EPR25954-194] (AB314482)
  • IHC-P

Supplier Data

Immunohistochemistry (Formalin/PFA-fixed paraffin-embedded sections) - Anti-Iduronate 2 sulfatase/SIDS antibody [EPR25954-194] (AB314482)

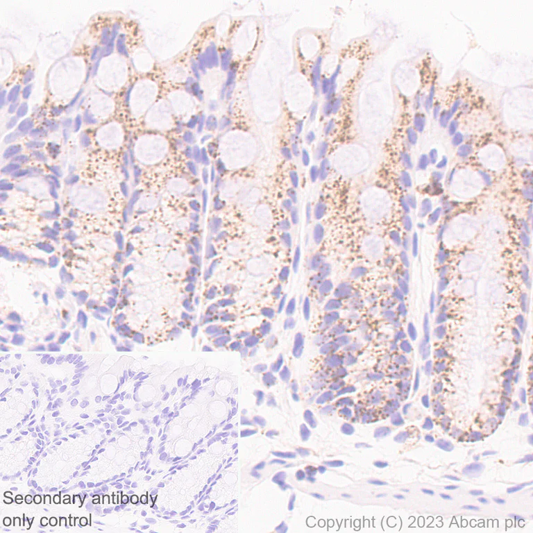
Immunohistochemical analysis of paraffin-embedded Mouse colon tissue labeling Iduronate 2 sulfatase/SIDS with ab314482 at 1/2000 (0.265 ug/ml) followed by a ready to use LeicaDS9800 (Bond™ Polymer Refine Detection). Positive staining on mouse colon. The section was incubated with ab314482 for 30 mins at room temperature. The immunostaining was performed on a Leica Biosystems BOND® RX instrument. Counterstained with Hematoxylin. Secondary antibody only control : Secondary antibody is a ready to use LeicaDS9800 (Bond™ Polymer Refine Detection). Heat mediated antigen retrieval was performed with Tris-EDTA buffer (pH 9.0, Epitope Retrieval Solution2) for 20 mins.

Immunohistochemistry (Formalin/PFA-fixed paraffin-embedded sections) - Anti-Iduronate 2 sulfatase/SIDS antibody [EPR25954-194] (AB314482)
  • IHC-P

Supplier Data

Immunohistochemistry (Formalin/PFA-fixed paraffin-embedded sections) - Anti-Iduronate 2 sulfatase/SIDS antibody [EPR25954-194] (AB314482)

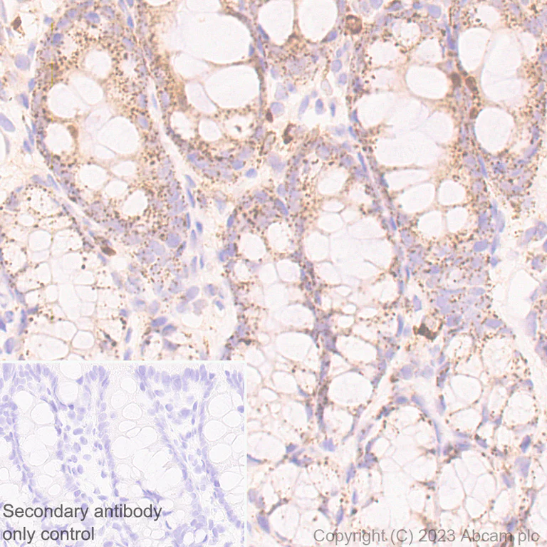
Immunohistochemical analysis of paraffin-embedded Rat colon tissue labeling Iduronate 2 sulfatase/SIDS with ab314482 at 1/2000 (0.265 ug/ml) followed by a ready to use LeicaDS9800 (Bond™ Polymer Refine Detection). Positive staining on rat colon. The section was incubated with ab314482 for 30 mins at room temperature. The immunostaining was performed on a Leica Biosystems BOND® RX instrument. Counterstained with Hematoxylin. Secondary antibody only control : Secondary antibody is a ready to use LeicaDS9800 (Bond™ Polymer Refine Detection). Heat mediated antigen retrieval was performed with Tris-EDTA buffer (pH 9.0, Epitope Retrieval Solution2) for 20 mins.

Immunohistochemistry (Formalin/PFA-fixed paraffin-embedded sections) - Anti-Iduronate 2 sulfatase/SIDS antibody [EPR25954-194] (AB314482)
  • IHC-P

Supplier Data

Immunohistochemistry (Formalin/PFA-fixed paraffin-embedded sections) - Anti-Iduronate 2 sulfatase/SIDS antibody [EPR25954-194] (AB314482)

Immunohistochemical analysis of paraffin-embedded Rat skeletal muscle tissue labeling Iduronate 2 sulfatase/SIDS with ab314482 at 1/2000 (0.265 ug/ml) followed by a ready to use LeicaDS9800 (Bond™ Polymer Refine Detection). Low expression tissue : Weak staining on rat skeletal muscle. The section was incubated with ab314482 for 30 mins at room temperature. The immunostaining was performed on a Leica Biosystems BOND® RX instrument. Counterstained with Hematoxylin. Secondary antibody only control : Secondary antibody is a ready to use LeicaDS9800 (Bond™ Polymer Refine Detection). Heat mediated antigen retrieval was performed with Tris-EDTA buffer (pH 9.0, Epitope Retrieval Solution2) for 20 mins.

Western blot - Anti-Iduronate 2 sulfatase/SIDS antibody [EPR25954-194] (AB314482)
  • WB

Supplier Data

Western blot - Anti-Iduronate 2 sulfatase/SIDS antibody [EPR25954-194] (AB314482)

Blocking and diluting buffer and concentration : 5% NFDM/TBST Low expression : 293T. The expression profile/ molecular weight observed is consistent with what has been described in the literature (PMID : 28543354). In Western blot, Anti-GAPDH antibody [EPR16891] - Loading Control (ab181602) staining at 1/200000 dilution.

All lanes:

Western blot - Anti-Iduronate 2 sulfatase/SIDS antibody [EPR25954-194] (ab314482) at 1/1000 dilution

Lane 1:

HeLa (human cervix adenocarcinoma epithelial cell) whole cell lysate at 20 µg

Lane 2:

MCF7 (human breast adenocarcinoma epithelial cell) whole cell lysate at 20 µg

Lane 3:

293T (human embryonic kidney epithelial cell) whole cell lysate at 20 µg

Secondary

All lanes:

Western blot - Goat Anti-Rabbit IgG H&L (HRP) (<a href='/en-us/products/secondary-antibodies/goat-rabbit-igg-h-l-hrp-ab97051'>ab97051</a>) at 1/20000 dilution

Observed band size: 45 kDa,55 kDa,76 kDa,37 kDa

false

Exposure time: 180s

Western blot - Anti-Iduronate 2 sulfatase/SIDS antibody [EPR25954-194] (AB314482)
  • WB

Supplier Data

Western blot - Anti-Iduronate 2 sulfatase/SIDS antibody [EPR25954-194] (AB314482)

Blocking and diluting buffer and concentration : 5% NFDM/TBST Low expression : skeletal muscle, heart (PMID : 29580682). The expression profile/ molecular weight observed is consistent with what has been described in the literature (PMID : 28543354). In Western blot, Anti-GAPDH antibody [EPR16891] - Loading Control (ab181602) staining at 1/200000 dilution.

All lanes:

Western blot - Anti-Iduronate 2 sulfatase/SIDS antibody [EPR25954-194] (ab314482) at 1/1000 dilution

Lane 1:

Human cerebellum tissue lysate at 20 µg

Lane 2:

Human skeletal muscle tissue lysate at 20 µg

Lane 3:

Human heart tissue lysate at 20 µg

Lane 4:

Mouse cerebellum tissue lysate at 20 µg

Lane 5:

Mouse skeletal muscle tissue lysate at 20 µg

Secondary

Lanes 1 - 3:

Western blot - Goat Anti-Rabbit IgG H&L (HRP) (<a href='/en-us/products/secondary-antibodies/goat-rabbit-igg-h-l-hrp-ab97051'>ab97051</a>) at 1/2000 dilution

Lanes 4 - 5:

Goat Anti-Rabbit IgG (HRP) with minimal cross-reactivity with human IgG at 1/20000 dilution

Observed band size: 45 kDa,55 kDa,76 kDa,37 kDa

false

Exposure time: 48s

Western blot - Anti-Iduronate 2 sulfatase/SIDS antibody [EPR25954-194] (AB314482)
  • WB

Supplier Data

Western blot - Anti-Iduronate 2 sulfatase/SIDS antibody [EPR25954-194] (AB314482)

Blocking and diluting buffer and concentration : 5% NFDM/TBST The expression profile/ molecular weight observed is consistent with what has been described in the literature (PMID : 28543354). In Western blot, Anti-GAPDH antibody [EPR16891] - Loading Control (ab181602) staining at 1/200000 dilution.

All lanes:

Western blot - Anti-Iduronate 2 sulfatase/SIDS antibody [EPR25954-194] (ab314482) at 1/1000 dilution

All lanes:

NIH/3T3 (mouse embryonic fibroblast) whole cell lysate at 20 µg

Secondary

All lanes:

Western blot - Goat Anti-Rabbit IgG H&L (HRP) (<a href='/en-us/products/secondary-antibodies/goat-rabbit-igg-h-l-hrp-ab97051'>ab97051</a>) at 1/20000 dilution

Observed band size: 45 kDa,76 kDa,37 kDa

false

Exposure time: 180s

Key facts

Host species

Rabbit

Clonality

Monoclonal

Clone number

EPR25954-194

Isotype

IgG

Carrier free

No

Reacts with

Human, Mouse, Rat

Applications

IHC-P, WB, I-ELISA, Flow Cyt (Intra)

applications

Immunogen

The exact immunogen used to generate this antibody is proprietary information.

Specificity

Unsuitable for rat WB.

Reactivity data

{ "title": "Reactivity Data", "filters": { "stats": ["", "Species", "Dilution Info", "Notes"], "tabs": { "all-applications": {"fullname" : "All Applications", "shortname": "All Applications"}, "IHCP" : {"fullname" : "Immunohistochemistry (Formalin/PFA-fixed paraffin-embedded sections)", "shortname":"IHC-P"}, "WB" : {"fullname" : "Western blot", "shortname":"WB"}, "FlowCytIntra" : {"fullname" : "Flow Cytometry (Intracellular)", "shortname":"Flow Cyt (Intra)"}, "IELISA" : {"fullname" : "Indirect ELISA", "shortname":"I-ELISA"}, "IP" : {"fullname" : "Immunoprecipitation", "shortname":"IP"}, "ICCIF" : {"fullname" : "Immunocytochemistry/ Immunofluorescence", "shortname":"ICC/IF"}, "IHCFr" : {"fullname" : "Immunohistochemistry (Frozen sections)", "shortname":"IHC-Fr"} }, "product-promise": { "all": "all", "testedAndGuaranteed": "tested", "guaranteed": "expected", "predicted": "predicted", "notRecommended": "not-recommended" } }, "values": { "Human": { "IHCP-species-checked": "testedAndGuaranteed", "IHCP-species-dilution-info": "1/2000", "IHCP-species-notes": "<p></p> Perform heat-mediated antigen retrieval with Tris/EDTA buffer pH 9.0 before commencing with IHC staining protocol.", "WB-species-checked": "testedAndGuaranteed", "WB-species-dilution-info": "1/1000", "WB-species-notes": "<p></p>", "FlowCytIntra-species-checked": "testedAndGuaranteed", "FlowCytIntra-species-dilution-info": "1/50", "FlowCytIntra-species-notes": "<p></p>", "IELISA-species-checked": "guaranteed", "IELISA-species-dilution-info": "", "IELISA-species-notes": "", "IP-species-checked": "notRecommended", "IP-species-dilution-info": "", "IP-species-notes": "<p></p>", "ICCIF-species-checked": "notRecommended", "ICCIF-species-dilution-info": "", "ICCIF-species-notes": "<p></p>", "IHCFr-species-checked": "notRecommended", "IHCFr-species-dilution-info": "", "IHCFr-species-notes": "" }, "Mouse": { "IHCP-species-checked": "testedAndGuaranteed", "IHCP-species-dilution-info": "1/2000", "IHCP-species-notes": "<p></p> Perform heat-mediated antigen retrieval with Tris/EDTA buffer pH 9.0 before commencing with IHC staining protocol.", "WB-species-checked": "testedAndGuaranteed", "WB-species-dilution-info": "1/1000", "WB-species-notes": "<p></p>", "FlowCytIntra-species-checked": "testedAndGuaranteed", "FlowCytIntra-species-dilution-info": "1/50", "FlowCytIntra-species-notes": "<p></p>", "IELISA-species-checked": "guaranteed", "IELISA-species-dilution-info": "", "IELISA-species-notes": "", "IP-species-checked": "notRecommended", "IP-species-dilution-info": "", "IP-species-notes": "", "ICCIF-species-checked": "notRecommended", "ICCIF-species-dilution-info": "", "ICCIF-species-notes": "<p></p>", "IHCFr-species-checked": "notRecommended", "IHCFr-species-dilution-info": "", "IHCFr-species-notes": "<p></p>" }, "Rat": { "IHCP-species-checked": "testedAndGuaranteed", "IHCP-species-dilution-info": "1/2000", "IHCP-species-notes": "<p></p> Perform heat-mediated antigen retrieval with Tris/EDTA buffer pH 9.0 before commencing with IHC staining protocol.", "WB-species-checked": "notRecommended", "WB-species-dilution-info": "", "WB-species-notes": "<p></p>", "FlowCytIntra-species-checked": "guaranteed", "FlowCytIntra-species-dilution-info": "", "FlowCytIntra-species-notes": "", "IELISA-species-checked": "guaranteed", "IELISA-species-dilution-info": "", "IELISA-species-notes": "", "IP-species-checked": "notRecommended", "IP-species-dilution-info": "", "IP-species-notes": "", "ICCIF-species-checked": "notRecommended", "ICCIF-species-dilution-info": "", "ICCIF-species-notes": "", "IHCFr-species-checked": "notRecommended", "IHCFr-species-dilution-info": "", "IHCFr-species-notes": "" }, "Recombinant full length protein - Human": { "IHCP-species-checked": "notRecommended", "IHCP-species-dilution-info": "", "IHCP-species-notes": "", "WB-species-checked": "notRecommended", "WB-species-dilution-info": "", "WB-species-notes": "", "FlowCytIntra-species-checked": "notRecommended", "FlowCytIntra-species-dilution-info": "", "FlowCytIntra-species-notes": "", "IELISA-species-checked": "testedAndGuaranteed", "IELISA-species-dilution-info": "1000 ng/mL", "IELISA-species-notes": "<p></p>", "IP-species-checked": "notRecommended", "IP-species-dilution-info": "", "IP-species-notes": "", "ICCIF-species-checked": "notRecommended", "ICCIF-species-dilution-info": "", "ICCIF-species-notes": "", "IHCFr-species-checked": "notRecommended", "IHCFr-species-dilution-info": "", "IHCFr-species-notes": "" }, "Recombinant full length protein - Mouse": { "IHCP-species-checked": "notRecommended", "IHCP-species-dilution-info": "", "IHCP-species-notes": "", "WB-species-checked": "notRecommended", "WB-species-dilution-info": "", "WB-species-notes": "", "FlowCytIntra-species-checked": "notRecommended", "FlowCytIntra-species-dilution-info": "", "FlowCytIntra-species-notes": "", "IELISA-species-checked": "testedAndGuaranteed", "IELISA-species-dilution-info": "1000 ng/mL", "IELISA-species-notes": "<p></p>", "IP-species-checked": "notRecommended", "IP-species-dilution-info": "", "IP-species-notes": "", "ICCIF-species-checked": "notRecommended", "ICCIF-species-dilution-info": "", "ICCIF-species-notes": "", "IHCFr-species-checked": "notRecommended", "IHCFr-species-dilution-info": "", "IHCFr-species-notes": "" } } }

Product details

Patented technology
Our RabMAb® technology is a patented hybridoma-based technology for making rabbit monoclonal antibodies. For details on our patents, please refer to RabMAb® patents.

What are the advantages of a recombinant monoclonal antibody?
This product is a recombinant monoclonal antibody, which offers several advantages including:

  • - High batch-to-batch consistency and reproducibility
  • - Improved sensitivity and specificity
  • - Long-term security of supply
  • - Animal-free batch production

For more information, read more on recombinant antibodies.

Properties and storage information

Form
Liquid
Purification technique
Affinity purification Protein A
Storage buffer
pH: 7.2 - 7.4 Preservative: 0.01% Sodium azide Constituents: PBS, 40% Glycerol (glycerin, glycerine), 0.05% BSA
Shipped at conditions
Blue Ice
Appropriate short-term storage duration
1-2 weeks
Appropriate short-term storage conditions
+4°C
Appropriate long-term storage conditions
-20°C
Aliquoting information
Upon delivery aliquot
Storage information
Avoid freeze / thaw cycle

Supplementary information

This supplementary information is collated from multiple sources and compiled automatically.

Iduronate 2-sulfatase also known as IDS or iduronate 2-sulfatase protein is an enzyme responsible for hydrolyzing the 2-sulfate groups from the sugar iduronate in glycosaminoglycans (GAGs) such as dermatan sulfate and heparan sulfate. This action is necessary for the lysosomal degradation of GAGs. The IDS protein has a molecular mass of approximately 76 kDa and predominantly resides in lysosomes. It is widely expressed across human tissues but shows higher expression levels in cells involved with significant lysosomal activities.
Biological function summary

IDS functions to ensure proper breakdown and recycling of GAGs preventing their excessive accumulation. Although IDS acts independently its proper functioning complements other enzymes within the lysosomal degradation system. This lysosomal catabolic activity helps maintain cellular homeostasis as GAGs need controlled degradation for effective cell and tissue functions.

Pathways

IDS plays an important role in the lysosomal degradation pathway. By participating in the catabolism of GAGs IDS works alongside other enzymes such as alpha-L-iduronidase. This interaction is part of the larger lysosomal storage and cellular turnover pathways. These pathways are essential for cellular regulation and help prevent the buildup of undegraded molecules that can disrupt cellular functions.

Faulty IDS activity leads to mucopolysaccharidosis type II also known as Hunter syndrome. This disorder arises from defective GAG breakdown resulting in their accumulation causing various systemic symptoms. IDS is closely related to other lysosomal storage disorder proteins like arylsulfatase B as both enzymes collaborate in GAG degradation. Proper comprehension of IDS and its functioning aids in understanding therapeutic approaches to managing associated disorders.

Product protocols

For this product, it's our understanding that no specific protocols are required. You can visit:

Target data

Lysosomal enzyme involved in the degradation pathway of dermatan sulfate and heparan sulfate.
See full target information IDS

Product promise

We are committed to supporting your work with high-quality reagents, and we're here for you every step of the way. In the unlikely event that one of our products does not perform as expected, you're protected by our Product Promise.
For full details, please see our Terms & Conditions

Please note: All products are 'FOR RESEARCH USE ONLY. NOT FOR USE IN DIAGNOSTIC OR THERAPEUTIC PROCEDURES'.

For licensing inquiries, please contact partnerships@abcam.com