JavaScript is disabled in your browser. Please enable JavaScript to view this website.
AB181247

Anti-IER3IP1 antibody [EPR13440]

Be the first to review this product! Submit a review

|

(2 Publications)

Rabbit Recombinant Monoclonal IER3IP1 antibody. Suitable for IP, WB, ICC/IF, Flow Cyt (Intra), IHC-P and reacts with Human samples. Cited in 2 publications.

View Alternative Names

HSPC039, IER3IP1, Immediate early response 3-interacting protein 1

6 Images
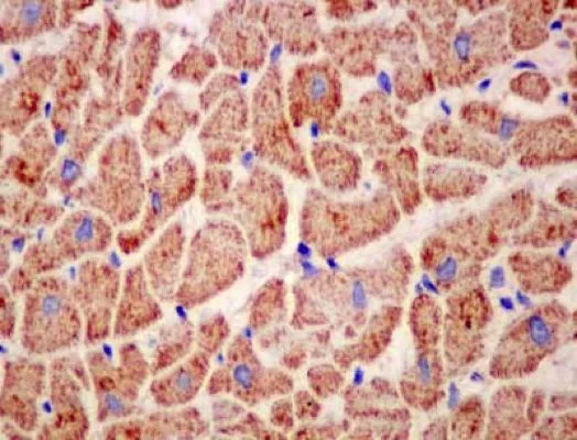
Immunohistochemistry (Formalin/PFA-fixed paraffin-embedded sections) - Anti-IER3IP1 antibody [EPR13440] (AB181247)
  • IHC-P

Supplier Data

Immunohistochemistry (Formalin/PFA-fixed paraffin-embedded sections) - Anti-IER3IP1 antibody [EPR13440] (AB181247)

Immunohistochemical analysis of paraffin-embedded Human cardiac muscle tissue labeling IER3IP1 with ab181247 at 1/100 dilution followed by pre-diluted HRP-conjugated secondary antibody and counter-stained with Hematoxylin.

Perform heat mediated antigen retrieval with EDTA buffer pH 9 before commencing with IHC staining protocol.

Immunohistochemistry (Formalin/PFA-fixed paraffin-embedded sections) - Anti-IER3IP1 antibody [EPR13440] (AB181247)
  • IHC-P

Supplier Data

Immunohistochemistry (Formalin/PFA-fixed paraffin-embedded sections) - Anti-IER3IP1 antibody [EPR13440] (AB181247)

Immunohistochemical analysis of paraffin-embedded Human kidney tissue labeling IER3IP1 with ab181247 at 1/100 dilution followed by pre-diluted HRP-conjugated secondary antibody and counter-stained with Hematoxylin.

Perform heat mediated antigen retrieval with EDTA buffer pH 9 before commencing with IHC staining protocol.

Immunocytochemistry/ Immunofluorescence - Anti-IER3IP1 antibody [EPR13440] (AB181247)
  • ICC/IF

Supplier Data

Immunocytochemistry/ Immunofluorescence - Anti-IER3IP1 antibody [EPR13440] (AB181247)

Immunofluorescent analysis of HeLa cells (-20°C Acetone-fixed) labeling IER3IP1 with ab181247 at 1/250 dilution dollowed by Goat anti rabbit IgG (Alexa Fluor®555) at 1/200 dilution and DAPI staining (blue).

Flow Cytometry (Intracellular) - Anti-IER3IP1 antibody [EPR13440] (AB181247)
  • Flow Cyt (Intra)

Supplier Data

Flow Cytometry (Intracellular) - Anti-IER3IP1 antibody [EPR13440] (AB181247)

Intracellular flow cytometricl analysis of HeLa cells (paraformaldehyde-fixed, 2%)labeling IER3IP1 with ab181247 at 1/210 (red) compared to a negative control antibody (green),followed by Goat anti rabbit IgG (FITC) secondary at 1/150 dilution.

Immunoprecipitation - Anti-IER3IP1 antibody [EPR13440] (AB181247)
  • IP

Supplier Data

Immunoprecipitation - Anti-IER3IP1 antibody [EPR13440] (AB181247)

Western blot analysis of immunoprecipitation pellet from HeLa cell lysate immunoprecipitated using ab181247 at 1/50 dilution.
Secondary : Goat Anti-Rabbit IgG, (H+L), Peroxidase conjugate at 1/1000.

All lanes:

Immunoprecipitation - Anti-IER3IP1 antibody [EPR13440] (ab181247)

Predicted band size: 9 kDa

false

Western blot - Anti-IER3IP1 antibody [EPR13440] (AB181247)
  • WB

Supplier Data

Western blot - Anti-IER3IP1 antibody [EPR13440] (AB181247)

All lanes:

Western blot - Anti-IER3IP1 antibody [EPR13440] (ab181247) at 1/1000 dilution

Lane 1:

HepG2 lysate at 20 µg

Lane 2:

HeLa lysate at 20 µg

Lane 3:

Human fetal heart lysate at 20 µg

Secondary

All lanes:

Goat Anti-Rabbit IgG, (H+L), Peroxidase conjugated at 1/1000 dilution

Predicted band size: 9 kDa

false

  • Carrier free

    Anti-IER3IP1 antibody [EPR13440] - BSA and Azide free

Key facts

Host species

Rabbit

Clonality

Monoclonal

Clone number

EPR13440

Isotype

IgG

Carrier free

No

Reacts with

Human

Applications

WB, IP, IHC-P, ICC/IF, Flow Cyt (Intra)

applications

Immunogen

The exact immunogen used to generate this antibody is proprietary information.

Reactivity data

{ "title": "Reactivity Data", "filters": { "stats": ["", "Species", "Dilution Info", "Notes"], "tabs": { "all-applications": {"fullname" : "All Applications", "shortname": "All Applications"}, "IP" : {"fullname" : "Immunoprecipitation", "shortname":"IP"}, "WB" : {"fullname" : "Western blot", "shortname":"WB"}, "ICCIF" : {"fullname" : "Immunocytochemistry/ Immunofluorescence", "shortname":"ICC/IF"}, "FlowCytIntra" : {"fullname" : "Flow Cytometry (Intracellular)", "shortname":"Flow Cyt (Intra)"}, "IHCP" : {"fullname" : "Immunohistochemistry (Formalin/PFA-fixed paraffin-embedded sections)", "shortname":"IHC-P"} }, "product-promise": { "all": "all", "testedAndGuaranteed": "tested", "guaranteed": "expected", "predicted": "predicted", "notRecommended": "not-recommended" } }, "values": { "Human": { "IP-species-checked": "testedAndGuaranteed", "IP-species-dilution-info": "1/50 - 1/70", "IP-species-notes": "<p></p>", "WB-species-checked": "testedAndGuaranteed", "WB-species-dilution-info": "1/1000", "WB-species-notes": "<p></p>", "ICCIF-species-checked": "testedAndGuaranteed", "ICCIF-species-dilution-info": "1/100 - 1/250", "ICCIF-species-notes": "<p></p>", "FlowCytIntra-species-checked": "testedAndGuaranteed", "FlowCytIntra-species-dilution-info": "1/210", "FlowCytIntra-species-notes": "<p><a href='/en-us/products/primary-antibodies/rabbit-igg-monoclonal-epr25a-isotype-control-ab172730'>ab172730</a> - Rabbit monoclonal IgG, is suitable for use as an isotype control with this antibody.</p>", "IHCP-species-checked": "testedAndGuaranteed", "IHCP-species-dilution-info": "1/100", "IHCP-species-notes": "<p></p>" }, "Mouse": { "IP-species-checked": "predicted", "IP-species-dilution-info": "", "IP-species-notes": "", "WB-species-checked": "predicted", "WB-species-dilution-info": "", "WB-species-notes": "", "ICCIF-species-checked": "predicted", "ICCIF-species-dilution-info": "", "ICCIF-species-notes": "", "FlowCytIntra-species-checked": "predicted", "FlowCytIntra-species-dilution-info": "", "FlowCytIntra-species-notes": "", "IHCP-species-checked": "predicted", "IHCP-species-dilution-info": "", "IHCP-species-notes": "" }, "Rat": { "IP-species-checked": "predicted", "IP-species-dilution-info": "", "IP-species-notes": "", "WB-species-checked": "predicted", "WB-species-dilution-info": "", "WB-species-notes": "", "ICCIF-species-checked": "predicted", "ICCIF-species-dilution-info": "", "ICCIF-species-notes": "", "FlowCytIntra-species-checked": "predicted", "FlowCytIntra-species-dilution-info": "", "FlowCytIntra-species-notes": "", "IHCP-species-checked": "predicted", "IHCP-species-dilution-info": "", "IHCP-species-notes": "" } } }

Product details

Patented technology
Our RabMAb® technology is a patented hybridoma-based technology for making rabbit monoclonal antibodies. For details on our patents, please refer to RabMAb® patents.

What are the advantages of a recombinant monoclonal antibody?
This product is a recombinant monoclonal antibody, which offers several advantages including:

  • - High batch-to-batch consistency and reproducibility
  • - Improved sensitivity and specificity
  • - Long-term security of supply
  • - Animal-free batch production

For more information, read more on recombinant antibodies.

Properties and storage information

Form
Liquid
Purification technique
Affinity purification Protein A
Storage buffer
Preservative: 0.01% Sodium azide Constituents: PBS, 40% Glycerol (glycerin, glycerine), 0.05% BSA
Shipped at conditions
Blue Ice
Appropriate short-term storage duration
1-2 weeks
Appropriate short-term storage conditions
+4°C
Appropriate long-term storage conditions
-20°C
Aliquoting information
Upon delivery aliquot
Storage information
Avoid freeze / thaw cycle

Supplementary information

This supplementary information is collated from multiple sources and compiled automatically.

IER3IP1 also known as Immediate Early Response 3 Interacting Protein 1 is a small protein with a mass of approximately 11 kDa. It primarily localizes within the endoplasmic reticulum (ER) and shows expression in various tissues including the brain liver and pancreas. IER3IP1 plays a mechanical role in protein trafficking and the regulation of ER stress affecting cellular responses to environmental changes.
Biological function summary

IER3IP1 participates in processes related to cellular stress response and protein folding. It acts as a component involved in maintaining ER function possibly engaging in a protein complex to modulate its activity. This modulation is essential for controlling apoptosis and cell survival suggesting its involvement in critical cellular processes. The protein's interactions help sustain proper protein synthesis and folding within the ER.

Pathways

IER3IP1 interacts within the unfolded protein response pathway maintaining ER homeostasis. It engages with proteins like GRP78 and ATF6 which are significant in managing ER stress and protein folding pathways. These interactions demonstrate IER3IP1's importance in cellular mechanisms that protect cells from stress-induced damages.

Mutations or misregulation of IER3IP1 correlate with microcephaly and epilepsy. Research indicates its connection with proteins involved in neurodevelopmental disorders possibly interacting with molecules like Reelin or Dystrophin. This relationship highlights the significance of IER3IP1 in maintaining neural cell health and suggests its potential as a target for therapeutic strategies.

Product protocols

For this product, it's our understanding that no specific protocols are required. You can visit:

Target data

Regulator of endoplasmic reticulum secretion that acts as a key determinant of brain size (PubMed : 33122427). Required for secretion of extracellular matrix proteins (PubMed : 33122427). Required for correct brain development by depositing sufficient extracellular matrix proteins for tissue integrity and the proliferation of neural progenitors (PubMed : 33122427). Acts as a regulator of the unfolded protein response (UPR) (By similarity).
See full target information IER3IP1

Publications (2)

Recent publications for all applications. Explore the full list and refine your search

Cellular and molecular life sciences : CMLS 81:334 PubMed39115595

2024

IER3IP1-mutations cause microcephaly by selective inhibition of ER-Golgi transport.

Applications

Unspecified application

Species

Unspecified reactive species

Mihaela Anitei,Francesca Bruno,Christina Valkova,Therese Dau,Emilio Cirri,Iván Mestres,Federico Calegari,Christoph Kaether

Biomedicine & pharmacotherapy = Biomedecine & phar 107:1093-1103 PubMed30257321

2018

Additive antitumor effect of arsenic trioxide combined with intravesical bacillus Calmette-Guerin immunotherapy against bladder cancer through blockade of the IER3/Nrf2 pathway.

Applications

Unspecified application

Species

Unspecified reactive species

Ming-Huan Mao,Hai-Bo Huang,Xi-Ling Zhang,Kai Li,Yi-Li Liu,Ping Wang
View all publications

Product promise

We are committed to supporting your work with high-quality reagents, and we're here for you every step of the way. In the unlikely event that one of our products does not perform as expected, you're protected by our Product Promise.
For full details, please see our Terms & Conditions

Please note: All products are 'FOR RESEARCH USE ONLY. NOT FOR USE IN DIAGNOSTIC OR THERAPEUTIC PROCEDURES'.

For licensing inquiries, please contact partnerships@abcam.com