JavaScript is disabled in your browser. Please enable JavaScript to view this website.
AB250460

Anti-IER3IP1 antibody [EPR13440] - BSA and Azide free

Be the first to review this product! Submit a review

|

(0 Publication)

Rabbit Recombinant Monoclonal IER3IP1 antibody. Carrier free. Suitable for ICC/IF, IP, WB, Flow Cyt (Intra), IHC-P and reacts with Human samples.

View Alternative Names

HSPC039, IER3IP1, Immediate early response 3-interacting protein 1

6 Images
Immunohistochemistry (Formalin/PFA-fixed paraffin-embedded sections) - Anti-IER3IP1 antibody [EPR13440] - BSA and Azide free (AB250460)
  • IHC-P

Supplier Data

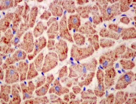
Immunohistochemistry (Formalin/PFA-fixed paraffin-embedded sections) - Anti-IER3IP1 antibody [EPR13440] - BSA and Azide free (AB250460)

This data was developed using ab181247, the same antibody clone in a different buffer formulation.

Immunohistochemical analysis of paraffin-embedded Human cardiac muscle tissue labeling IER3IP1 with ab181247 at 1/100 dilution, followed by pre-diluted HRP-conjugated secondary antibody and counter-stained with Hematoxylin.

Perform heat mediated antigen retrieval with EDTA buffer pH 9 before commencing with IHC staining protocol.

Immunohistochemistry (Formalin/PFA-fixed paraffin-embedded sections) - Anti-IER3IP1 antibody [EPR13440] - BSA and Azide free (AB250460)
  • IHC-P

Supplier Data

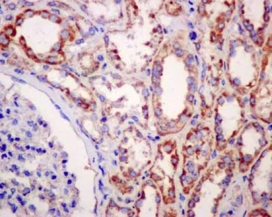
Immunohistochemistry (Formalin/PFA-fixed paraffin-embedded sections) - Anti-IER3IP1 antibody [EPR13440] - BSA and Azide free (AB250460)

This data was developed using ab181247, the same antibody clone in a different buffer formulation.

Immunohistochemical analysis of paraffin-embedded Human kidney tissue labeling IER3IP1 with ab181247 at 1/100 dilution, followed by pre-diluted HRP-conjugated secondary antibody and counter-stained with Hematoxylin.

Perform heat mediated antigen retrieval with EDTA buffer pH 9 before commencing with IHC staining protocol.

Immunocytochemistry/ Immunofluorescence - Anti-IER3IP1 antibody [EPR13440] - BSA and Azide free (AB250460)
  • ICC/IF

Supplier Data

Immunocytochemistry/ Immunofluorescence - Anti-IER3IP1 antibody [EPR13440] - BSA and Azide free (AB250460)

This data was developed using ab181247, the same antibody clone in a different buffer formulation.

Immunofluorescent analysis of HeLa cells (-20°C Acetone-fixed) labeling IER3IP1 with ab181247 at 1/250 dilution, dollowed by Goat anti rabbit IgG (Alexa Fluor®555) at 1/200 dilution and DAPI staining (blue).

Flow Cytometry (Intracellular) - Anti-IER3IP1 antibody [EPR13440] - BSA and Azide free (AB250460)
  • Flow Cyt (Intra)

Supplier Data

Flow Cytometry (Intracellular) - Anti-IER3IP1 antibody [EPR13440] - BSA and Azide free (AB250460)

This data was developed using ab181247, the same antibody clone in a different buffer formulation.

Intracellular flow cytometricl analysis of HeLa cells (paraformaldehyde-fixed, 2%) labeling IER3IP1 with ab181247 at 1/210 (red) compared to a negative control antibody (green), followed by Goat anti rabbit IgG (FITC) secondary at 1/150 dilution.

Immunoprecipitation - Anti-IER3IP1 antibody [EPR13440] - BSA and Azide free (AB250460)
  • IP

Supplier Data

Immunoprecipitation - Anti-IER3IP1 antibody [EPR13440] - BSA and Azide free (AB250460)

This data was developed using ab181247, the same antibody clone in a different buffer formulation.

Western blot analysis of immunoprecipitation pellet from HeLa cell lysate immunoprecipitated using ab181247 at 1/50 dilution.
Secondary : Goat Anti-Rabbit IgG, (H+L), Peroxidase conjugate at 1/1000.

All lanes:

Immunoprecipitation - Anti-IER3IP1 antibody [EPR13440] (<a href='/en-us/products/primary-antibodies/ier3ip1-antibody-epr13440-ab181247'>ab181247</a>)

Predicted band size: 9 kDa

false

Western blot - Anti-IER3IP1 antibody [EPR13440] - BSA and Azide free (AB250460)
  • WB

Supplier Data

Western blot - Anti-IER3IP1 antibody [EPR13440] - BSA and Azide free (AB250460)

This data was developed using ab181247, the same antibody clone in a different buffer formulation.

All lanes:

Western blot - Anti-IER3IP1 antibody [EPR13440] (<a href='/en-us/products/primary-antibodies/ier3ip1-antibody-epr13440-ab181247'>ab181247</a>) at 1/1000 dilution

Lane 1:

HepG2 lysate at 20 µg

Lane 2:

HeLa lysate at 20 µg

Lane 3:

Human fetal heart lysate at 20 µg

Secondary

All lanes:

Goat Anti-Rabbit IgG, (H+L), Peroxidase conjugated at 1/1000 dilution

Predicted band size: 9 kDa

false

Key facts

Host species

Rabbit

Clonality

Monoclonal

Clone number

EPR13440

Isotype

IgG

Carrier free

Yes

Reacts with

Human

Applications

IP, Flow Cyt (Intra), IHC-P, ICC/IF, WB

applications

Immunogen

The exact immunogen used to generate this antibody is proprietary information.

Reactivity data

{ "title": "Reactivity Data", "filters": { "stats": ["", "Species", "Dilution Info", "Notes"], "tabs": { "all-applications": {"fullname" : "All Applications", "shortname": "All Applications"}, "ICCIF" : {"fullname" : "Immunocytochemistry/ Immunofluorescence", "shortname":"ICC/IF"}, "IP" : {"fullname" : "Immunoprecipitation", "shortname":"IP"}, "WB" : {"fullname" : "Western blot", "shortname":"WB"}, "FlowCytIntra" : {"fullname" : "Flow Cytometry (Intracellular)", "shortname":"Flow Cyt (Intra)"}, "IHCP" : {"fullname" : "Immunohistochemistry (Formalin/PFA-fixed paraffin-embedded sections)", "shortname":"IHC-P"} }, "product-promise": { "all": "all", "testedAndGuaranteed": "tested", "guaranteed": "expected", "predicted": "predicted", "notRecommended": "not-recommended" } }, "values": { "Human": { "ICCIF-species-checked": "testedAndGuaranteed", "ICCIF-species-dilution-info": "", "ICCIF-species-notes": "<p></p>", "IP-species-checked": "testedAndGuaranteed", "IP-species-dilution-info": "", "IP-species-notes": "<p></p>", "WB-species-checked": "testedAndGuaranteed", "WB-species-dilution-info": "", "WB-species-notes": "<p></p>", "FlowCytIntra-species-checked": "testedAndGuaranteed", "FlowCytIntra-species-dilution-info": "", "FlowCytIntra-species-notes": "<p></p>", "IHCP-species-checked": "testedAndGuaranteed", "IHCP-species-dilution-info": "", "IHCP-species-notes": "<p></p>" }, "Mouse": { "ICCIF-species-checked": "predicted", "ICCIF-species-dilution-info": "", "ICCIF-species-notes": "", "IP-species-checked": "predicted", "IP-species-dilution-info": "", "IP-species-notes": "", "WB-species-checked": "predicted", "WB-species-dilution-info": "", "WB-species-notes": "", "FlowCytIntra-species-checked": "predicted", "FlowCytIntra-species-dilution-info": "", "FlowCytIntra-species-notes": "", "IHCP-species-checked": "predicted", "IHCP-species-dilution-info": "", "IHCP-species-notes": "" }, "Rat": { "ICCIF-species-checked": "predicted", "ICCIF-species-dilution-info": "", "ICCIF-species-notes": "", "IP-species-checked": "predicted", "IP-species-dilution-info": "", "IP-species-notes": "", "WB-species-checked": "predicted", "WB-species-dilution-info": "", "WB-species-notes": "", "FlowCytIntra-species-checked": "predicted", "FlowCytIntra-species-dilution-info": "", "FlowCytIntra-species-notes": "", "IHCP-species-checked": "predicted", "IHCP-species-dilution-info": "", "IHCP-species-notes": "" } } }

Product details

ab250460 is the carrier-free version of ab181247.

Patented technology
Our RabMAb® technology is a patented hybridoma-based technology for making rabbit monoclonal antibodies. For details on our patents, please refer to RabMAb® patents.

What are the advantages of a recombinant monoclonal antibody?
This product is a recombinant monoclonal antibody, which offers several advantages including:

  • - High batch-to-batch consistency and reproducibility
  • - Improved sensitivity and specificity
  • - Long-term security of supply
  • - Animal-free batch production

For more information, read more on recombinant antibodies.

Conjugation ready
Our carrier-free antibodies are typically supplied in a PBS-only formulation, purified and free of BSA, sodium azide and glycerol. This conjugation-ready format is designed for use with fluorochromes, metal isotopes, oligonucleotides, and enzymes, which makes them ideal for antibody labelling, functional and cell-based assays, flow-based assays (e.g. mass cytometry) and Multiplex Imaging applications.

Use our conjugation kits for antibody conjugates that are ready-to-use in as little as 20 minutes with 1 minute hands-on-time and 100% antibody recovery: available for fluorescent dyes, HRP, biotin and gold.

Compatibility
This product is compatible with the Maxpar® Antibody Labeling Kit from Fluidigm, without the need for antibody preparation. Maxpar® is a trademark of Fluidigm Canada Inc.

Properties and storage information

Form
Liquid
Purification technique
Affinity purification Protein A
Storage buffer
pH: 7.2 - 7.4 Constituents: PBS
Shipped at conditions
Blue Ice
Appropriate short-term storage conditions
+4°C
Appropriate long-term storage conditions
+4°C
Storage information
Do Not Freeze

Supplementary information

This supplementary information is collated from multiple sources and compiled automatically.

IER3IP1 also known as Immediate Early Response 3 Interacting Protein 1 is a small protein with a mass of approximately 11 kDa. It primarily localizes within the endoplasmic reticulum (ER) and shows expression in various tissues including the brain liver and pancreas. IER3IP1 plays a mechanical role in protein trafficking and the regulation of ER stress affecting cellular responses to environmental changes.
Biological function summary

IER3IP1 participates in processes related to cellular stress response and protein folding. It acts as a component involved in maintaining ER function possibly engaging in a protein complex to modulate its activity. This modulation is essential for controlling apoptosis and cell survival suggesting its involvement in critical cellular processes. The protein's interactions help sustain proper protein synthesis and folding within the ER.

Pathways

IER3IP1 interacts within the unfolded protein response pathway maintaining ER homeostasis. It engages with proteins like GRP78 and ATF6 which are significant in managing ER stress and protein folding pathways. These interactions demonstrate IER3IP1's importance in cellular mechanisms that protect cells from stress-induced damages.

Mutations or misregulation of IER3IP1 correlate with microcephaly and epilepsy. Research indicates its connection with proteins involved in neurodevelopmental disorders possibly interacting with molecules like Reelin or Dystrophin. This relationship highlights the significance of IER3IP1 in maintaining neural cell health and suggests its potential as a target for therapeutic strategies.

Product protocols

For this product, it's our understanding that no specific protocols are required. You can visit:

Target data

Regulator of endoplasmic reticulum secretion that acts as a key determinant of brain size (PubMed : 33122427). Required for secretion of extracellular matrix proteins (PubMed : 33122427). Required for correct brain development by depositing sufficient extracellular matrix proteins for tissue integrity and the proliferation of neural progenitors (PubMed : 33122427). Acts as a regulator of the unfolded protein response (UPR) (By similarity).
See full target information IER3IP1

Product promise

We are committed to supporting your work with high-quality reagents, and we're here for you every step of the way. In the unlikely event that one of our products does not perform as expected, you're protected by our Product Promise.
For full details, please see our Terms & Conditions

Please note: All products are 'FOR RESEARCH USE ONLY. NOT FOR USE IN DIAGNOSTIC OR THERAPEUTIC PROCEDURES'.

For licensing inquiries, please contact partnerships@abcam.com