JavaScript is disabled in your browser. Please enable JavaScript to view this website.
AB307201

Anti-Ifi204 antibody [EPR25256-211]

  • BOND RX™ Validated
  • 20ul selling size
  • RabMAb
  • Recombinant
  • What is this?

Be the first to review this product! Submit a review

|

(2 Publications)

Rabbit Recombinant Monoclonal Ifi204 antibody. Suitable for Flow Cyt (Intra), ICC/IF, IHC-Fr, IHC-P, WB and reacts with Mouse samples. Cited in 2 publications.

View Alternative Names

Interferon-activable protein 204, Ifi-204, Interferon-inducible protein p204, Ifi204

9 Images
Immunohistochemistry - Anti-Ifi204 antibody [EPR25256-211] (AB307201)
  • IHC

Supplier Data

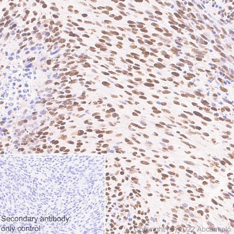
Immunohistochemistry - Anti-Ifi204 antibody [EPR25256-211] (AB307201)

Immunohistochemical analysis of paraffin-embedded mouse glioblastoma tissue labeling Ifi204 with ab307201 at 1/2000 dilution (0.239 μg/ml) followed by ready to use Leica DS9800 (Bond® Polymer Refine Detection) kit. Nuclear staining on mouse glioblastoma. The section was incubated with ab307201 for 30 mins at room temperature. The immunostaining was performed on a Leica Biosystems BOND® RX instrument. Counterstained with Hematoxylin. Secondary antibody only control : Secondary antibody is ready to use Leica DS9800 (Bond® Polymer Refine Detection) kit. Heat mediated antigen retrieval was performed with Tris-EDTA buffer (pH 9.0, Epitope Retrieval Solution 2) for 20 mins.

Immunohistochemistry - Anti-Ifi204 antibody [EPR25256-211] (AB307201)
  • IHC

Supplier Data

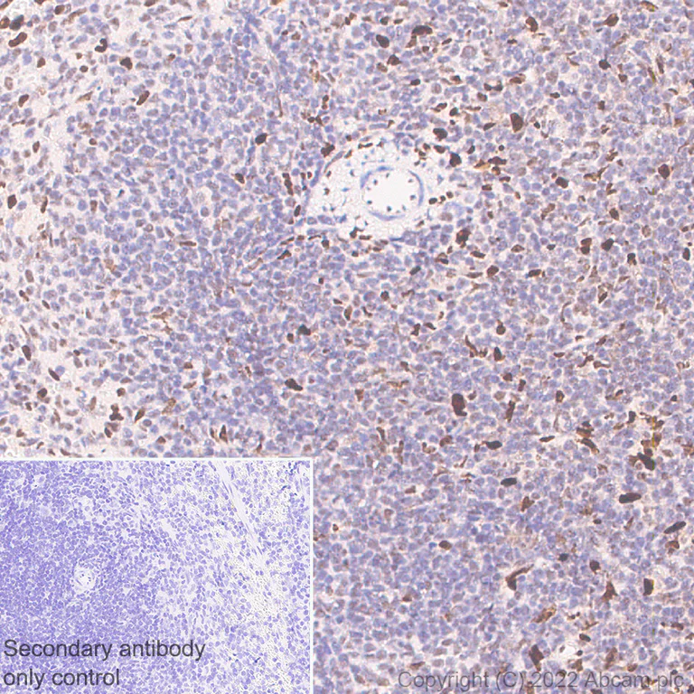
Immunohistochemistry - Anti-Ifi204 antibody [EPR25256-211] (AB307201)

Immunohistochemical analysis of paraffin-embedded mouse spleen tissue labeling Ifi204 with ab307201 at 1/2000 dilution (0.239 μg/ml) followed by ready to use Leica DS9800 (Bond® Polymer Refine Detection) kit. Nuclear staining on mouse spleen. The section was incubated with ab307201 for 30 mins at room temperature. The immunostaining was performed on a Leica Biosystems BOND® RX instrument. Counterstained with Hematoxylin. Secondary antibody only control : Secondary antibody is ready to use Leica DS9800 (Bond® Polymer Refine Detection) kit. Heat mediated antigen retrieval was performed with Tris-EDTA buffer (pH 9.0, Epitope Retrieval Solution 2) for 20 mins.

Immunohistochemistry - Anti-Ifi204 antibody [EPR25256-211] (AB307201)
  • IHC

Supplier Data

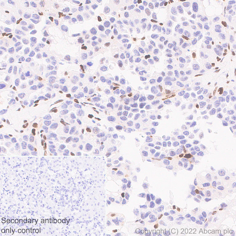
Immunohistochemistry - Anti-Ifi204 antibody [EPR25256-211] (AB307201)

Immunohistochemical analysis of paraffin-embedded mouse lung cancer tissue labeling Ifi204 with ab307201 at 1/2000 dilution (0.239 μg/ml) followed by ready to use Leica DS9800 (Bond® Polymer Refine Detection) kit. Nuclear staining on mouse lung cancer. The section was incubated with ab307201 for 30 mins at room temperature. The immunostaining was performed on a Leica Biosystems BOND® RX instrument. Counterstained with Hematoxylin. Secondary antibody only control : Secondary antibody is ready to use Leica DS9800 (Bond® Polymer Refine Detection) kit. Heat mediated antigen retrieval was performed with Tris-EDTA buffer (pH 9.0, Epitope Retrieval Solution 2) for 20 mins.

Immunocytochemistry/ Immunofluorescence - Anti-Ifi204 antibody [EPR25256-211] (AB307201)
  • ICC/IF

Supplier Data

Immunocytochemistry/ Immunofluorescence - Anti-Ifi204 antibody [EPR25256-211] (AB307201)

Immunofluorescent analysis of 4% Paraformaldehyde-fixed, 0.1% Triton X-100 permeabilized MEF (mouse embryo fibroblast) cells labeling Ifi204 with ab307201 at 1/50 dilution (9.54 μg/ml), followed by ab150081 Goat Anti-Rabbit IgG H&L (Alexa Fluor® 488) preadsorbed antibody at 1/1000 dilution (2 μg/ml) (Green). Confocal image showing mainly nuclear staining in MEF cells. The image was taken with a confocal microscope (Leica-Microsystems, TCS SP8). ab195889 Anti-alpha Tubulin mouse monoclonal antibody - Microtubule Marker (Alexa Fluor® 594) was used to counterstain tubulin at 1/200 dilution (2.5 μg/ml) (Red). The nuclear counterstain was DAPI (Blue). Secondary antibody only control : Secondary antibody is ab150081 Goat Anti-Rabbit IgG H&L (Alexa Fluor® 488) preadsorbed at 1/1000 dilution (2 μg/ml).

Flow Cytometry (Intracellular) - Anti-Ifi204 antibody [EPR25256-211] (AB307201)
  • Flow Cyt (Intra)

Supplier Data

Flow Cytometry (Intracellular) - Anti-Ifi204 antibody [EPR25256-211] (AB307201)

Flow cytometric analysis of 4% paraformaldehyde fixed 90% methanol permeabilized MEF (mouse embryonic fibroblast (immortalized)) cells labeling Ifi204 with ab307201 at 1/50 dilution (1μg) (Red) compared with a Rabbit monoclonal IgG (ab172730) (Black) isotype control and an unlabeled control (cells without incubation with primary antibody and secondary antibody) (Blue). A Goat Anti-Rabbit IgG (Alexa Fluor® 488, ab150081) at 1/2000 dilution was used as the secondary antibody.

Immunohistochemistry (Frozen sections) - Anti-Ifi204 antibody [EPR25256-211] (AB307201)
  • IHC-Fr

Supplier Data

Immunohistochemistry (Frozen sections) - Anti-Ifi204 antibody [EPR25256-211] (AB307201)

Immunohistochemical analysis of 4% PFA-fixed, 0.2% Triton X-100 permeabilized frozen mouse spleen (fresh) tissue labeling Ifi204 with ab307201 at 1/100 dilution (4.77 μg/ml) followed by ab150081 Goat Anti-Rabbit IgG H&L (Alexa Fluor® 488) preadsorbed at 1/1000 dilution (2 μg/mL) (Green). Confocal image showing positive staining on mouse spleen. The section was incubated with ab307201 for 60 mins at room temperature. The section was then mounted using Fluoromount®. The immunostaining was performed on a Leica Biosystems BOND® RX instrument. Image was taken with a confocal microscope (Leica-Microsystems, TCS SP8). The nuclear counterstain was DAPI (Blue). Secondary antibody control : Secondary antibody is ab150081 Goat Anti-Rabbit IgG H&L (Alexa Fluor® 488) preadsorbed at 1/1000 dilution (2 μg/mL).

Western blot - Anti-Ifi204 antibody [EPR25256-211] (AB307201)
  • WB

Supplier Data

Western blot - Anti-Ifi204 antibody [EPR25256-211] (AB307201)

Blocking and diluting buffer and concentration : 5% NFDM/TBST Lysates were freshly made and used for Western blotting immediately to minimize protein degradation. Exposure time : 26 seconds.

All lanes:

Western blot - Anti-Ifi204 antibody [EPR25256-211] (ab307201) at 1/1000 dilution

All lanes:

NIH/3T3 whole cell lysate at 20 µg

Secondary

All lanes:

Western blot - Goat Anti-Rabbit IgG H&L (HRP) (<a href='/en-us/products/secondary-antibodies/goat-rabbit-igg-h-l-hrp-ab97051'>ab97051</a>) at 1/100000 dilution

Observed band size: 82 kDa

false

Exposure time: 26s

Western blot - Anti-Ifi204 antibody [EPR25256-211] (AB307201)
  • WB

Supplier Data

Western blot - Anti-Ifi204 antibody [EPR25256-211] (AB307201)

Blocking and diluting buffer and concentration : 5% NFDM/TBST Lysates were freshly made and used for Western blotting immediately to minimize protein degradation. Exposure time : 59 seconds

All lanes:

Western blot - Anti-Ifi204 antibody [EPR25256-211] (ab307201) at 1/1000 dilution

Lane 1:

MEF transfected with scrambled siRNA control whole cell lysate at 20 µg

Lane 2:

MEF transfected with siRNA specifically targeting Ifi204 whole cell lysate at 20 µg

Secondary

All lanes:

Western blot - Goat Anti-Rabbit IgG H&L (HRP) (<a href='/en-us/products/secondary-antibodies/goat-rabbit-igg-h-l-hrp-ab97051'>ab97051</a>) at 1/100000 dilution

Observed band size: 82 kDa

false

Exposure time: 59s

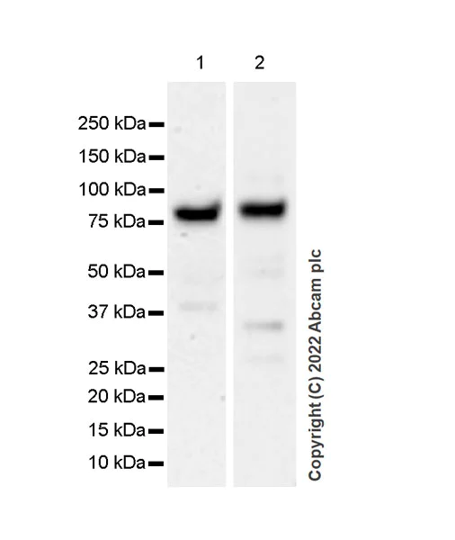
Western blot - Anti-Ifi204 antibody [EPR25256-211] (AB307201)
  • WB

Supplier Data

Western blot - Anti-Ifi204 antibody [EPR25256-211] (AB307201)

Blocking and diluting buffer and concentration : 5% NFDM/TBST Lysates were freshly made and used for Western blotting immediately to minimize protein degradation. Exposure time : Lane 1 : 180 seconds, Lane 2 : 70 seconds.

All lanes:

Western blot - Anti-Ifi204 antibody [EPR25256-211] (ab307201) at 1/1000 dilution

Lane 1:

Mouse liver tissue lysate at 20 µg

Lane 2:

Mouse spleen tissue lysate at 20 µg

Secondary

All lanes:

Western blot - Goat Anti-Rabbit IgG H&L (HRP) (<a href='/en-us/products/secondary-antibodies/goat-rabbit-igg-h-l-hrp-ab97051'>ab97051</a>) at 1/100000 dilution

Observed band size: 82 kDa

false

Exposure time: 180s

  • Carrier free

    Anti-Ifi204 antibody [EPR25256-211] - BSA and Azide free

Key facts

Host species

Rabbit

Clonality

Monoclonal

Clone number

EPR25256-211

Isotype

IgG

Carrier free

No

Reacts with

Mouse

Applications

Flow Cyt (Intra), IHC-P, ICC/IF, IHC-Fr, WB

applications

Immunogen

The exact immunogen used to generate this antibody is proprietary information.

Reactivity data

{ "title": "Reactivity Data", "filters": { "stats": ["", "Species", "Dilution Info", "Notes"], "tabs": { "all-applications": {"fullname" : "All Applications", "shortname": "All Applications"}, "IP" : {"fullname" : "Immunoprecipitation", "shortname":"IP"}, "FlowCytIntra" : {"fullname" : "Flow Cytometry (Intracellular)", "shortname":"Flow Cyt (Intra)"}, "ICCIF" : {"fullname" : "Immunocytochemistry/ Immunofluorescence", "shortname":"ICC/IF"}, "IHCFr" : {"fullname" : "Immunohistochemistry (Frozen sections)", "shortname":"IHC-Fr"}, "IHCP" : {"fullname" : "Immunohistochemistry (Formalin/PFA-fixed paraffin-embedded sections)", "shortname":"IHC-P"}, "WB" : {"fullname" : "Western blot", "shortname":"WB"} }, "product-promise": { "all": "all", "testedAndGuaranteed": "tested", "guaranteed": "expected", "predicted": "predicted", "notRecommended": "not-recommended" } }, "values": { "Human": { "IP-species-checked": "notRecommended", "IP-species-dilution-info": "", "IP-species-notes": "", "FlowCytIntra-species-checked": "notRecommended", "FlowCytIntra-species-dilution-info": "", "FlowCytIntra-species-notes": "", "ICCIF-species-checked": "notRecommended", "ICCIF-species-dilution-info": "", "ICCIF-species-notes": "", "IHCFr-species-checked": "notRecommended", "IHCFr-species-dilution-info": "", "IHCFr-species-notes": "", "IHCP-species-checked": "notRecommended", "IHCP-species-dilution-info": "1/2000", "IHCP-species-notes": "<p></p>", "WB-species-checked": "notRecommended", "WB-species-dilution-info": "1/1000", "WB-species-notes": "<p></p>" }, "Mouse": { "IP-species-checked": "notRecommended", "IP-species-dilution-info": "", "IP-species-notes": "<p></p>", "FlowCytIntra-species-checked": "testedAndGuaranteed", "FlowCytIntra-species-dilution-info": "1/50", "FlowCytIntra-species-notes": "<p></p>", "ICCIF-species-checked": "testedAndGuaranteed", "ICCIF-species-dilution-info": "1/50", "ICCIF-species-notes": "<p></p>", "IHCFr-species-checked": "testedAndGuaranteed", "IHCFr-species-dilution-info": "1/100", "IHCFr-species-notes": "<p></p>", "IHCP-species-checked": "testedAndGuaranteed", "IHCP-species-dilution-info": "1/2000", "IHCP-species-notes": "<p></p>", "WB-species-checked": "testedAndGuaranteed", "WB-species-dilution-info": "1/1000", "WB-species-notes": "<p></p>" }, "Rat": { "IP-species-checked": "notRecommended", "IP-species-dilution-info": "", "IP-species-notes": "", "FlowCytIntra-species-checked": "notRecommended", "FlowCytIntra-species-dilution-info": "", "FlowCytIntra-species-notes": "", "ICCIF-species-checked": "notRecommended", "ICCIF-species-dilution-info": "", "ICCIF-species-notes": "", "IHCFr-species-checked": "notRecommended", "IHCFr-species-dilution-info": "1/100", "IHCFr-species-notes": "<p></p>", "IHCP-species-checked": "notRecommended", "IHCP-species-dilution-info": "1/2000", "IHCP-species-notes": "<p></p>", "WB-species-checked": "notRecommended", "WB-species-dilution-info": "1/1000", "WB-species-notes": "<p></p>" } } }

Product details

Patented technology
Our RabMAb® technology is a patented hybridoma-based technology for making rabbit monoclonal antibodies. For details on our patents, please refer to RabMAb® patents.

What are the advantages of a recombinant monoclonal antibody?
This product is a recombinant monoclonal antibody, which offers several advantages including:

  • - High batch-to-batch consistency and reproducibility
  • - Improved sensitivity and specificity
  • - Long-term security of supply
  • - Animal-free batch production

For more information, read more on recombinant antibodies.

Properties and storage information

Form
Liquid
Purification technique
Affinity purification Protein A
Storage buffer
pH: 7.2 - 7.4 Preservative: 0.01% Sodium azide Constituents: PBS, 40% Glycerol (glycerin, glycerine), 0.05% BSA
Shipped at conditions
Blue Ice
Appropriate short-term storage duration
1-2 weeks
Appropriate short-term storage conditions
+4°C
Appropriate long-term storage conditions
-20°C
Aliquoting information
Upon delivery aliquot
Storage information
Avoid freeze / thaw cycle

Supplementary information

This supplementary information is collated from multiple sources and compiled automatically.

Ifi204 also known as Interferon-activated gene 204 is a protein of the mouse involved in the immune response. It has a molecular mass of approximately 74 kilodaltons. This protein is expressed mainly in activated macrophages and neutrophils and contributes to the innate immune mechanism. It detects cytosolic DNA and activates the STING pathway to induce type I interferon production. It contains a HIN-200 domain that helps in recognizing specific DNA sequences.
Biological function summary

Interferon-activated gene 204 plays a role in the host defense mechanism. It functions as part of the cellular response to viral infections and potentially some bacterial infections. The protein is part of a larger complex involved in DNA sensing and it activates immune signaling pathways upon detecting foreign DNA. It interacts with components of the inflammasome participating in activating inflammatory responses necessary for pathogen clearance.

Pathways

Interferon-activated gene 204 participates in the cGAS-STING DNA sensing pathway. This pathway is essential for the production of type I interferons as a defense against viruses. The protein associates with cGAS and STING key players in the recognition of cytosolic DNA. Its role in this pathway highlights its importance in the body's first line of defense closely linking it to the activation of downstream signaling that involves IRF3 and NF-kB.

Altered expression or function of Interferon-activated gene 204 has connections with autoimmunity and inflammatory diseases. Its dysregulation may lead to excessive inflammation contributing to conditions like systemic lupus erythematosus. In this context it interacts with proteins such as AIM2 which is part of the inflammasome complex involved in autoimmune inflammation. Understanding its precise role in these diseases could potentially lead to new therapeutic strategies for managing autoimmune disorders.

Product protocols

For this product, it's our understanding that no specific protocols are required. You can visit:

Target data

Interferon-stimulated protein that plays a role in several biological processes including cell differentiation, autophagy and innate immunity (PubMed : 16244109, PubMed : 25710914, PubMed : 30936875). Cooperates with CGAS to sense dsDNA and activates the STING-dependent type I IFN pathway (PubMed : 25710914, PubMed : 33619523). Mechanistically, gets acetylated upon bacterial infection and then translocates from nucleus into cytoplasm to recruit STING for activation of TBK1-dependent IRF3 nuclear translocation and IFN-beta release (PubMed : 28529930). Inhibits the transcription of ribosomal RNA. May inhibit DNA binding by UBTF. Inhibits cell growth via p53/TP53 and RB1-dependent and independent pathways. Acts as a coactivator of RUNX2 during osteogenesis. May be involved in macrophage differentiation. Enables skeletal muscle and cardiac myocyte differentiation by sequestring Id proteins in the cytosol and promoting their ubiquitination and subsequent degradation.
See full target information Ifi204

Publications (2)

Recent publications for all applications. Explore the full list and refine your search

Journal of inflammation research 17:11469-11483 PubMed39735896

2024

Macrophage Infiltration Correlated with IFI16, EGR1 and MX1 Expression in Renal Tubular Epithelial Cells Within Lupus Nephritis-Associated Tubulointerstitial Injury via Bioinformatics Analysis.

Applications

Unspecified application

Species

Unspecified reactive species

Ming Tian,Min Tang,Caiming Chen,Yufang Lin,Hong Chen,Yanfang Xu

iScience 27:110568 PubMed39188985

2024

IFI-16 inhibition attenuates myocardial remodeling following myocardial infarction.

Applications

Unspecified application

Species

Unspecified reactive species

Yi Deng,Xiuqing Pang,Li Chen,Weihang Peng,Xiaoyan Huang,Peiying Huang,Shuai Zhao,Zhishang Li,Xingui Cai,Qiuping Huang,Jing Zeng,Yuchao Feng,Bojun Chen
View all publications

Product promise

We are committed to supporting your work with high-quality reagents, and we're here for you every step of the way. In the unlikely event that one of our products does not perform as expected, you're protected by our Product Promise.
For full details, please see our Terms & Conditions

Please note: All products are 'FOR RESEARCH USE ONLY. NOT FOR USE IN DIAGNOSTIC OR THERAPEUTIC PROCEDURES'.

For licensing inquiries, please contact partnerships@abcam.com