JavaScript is disabled in your browser. Please enable JavaScript to view this website.
AB305301

Anti-IFIT1 antibody [EPR27276-63]

  • BOND RX™ Validated
  • 20ul selling size
  • RabMAb
  • Recombinant
  • What is this?

Be the first to review this product! Submit a review

|

(2 Publications)

Rabbit Recombinant Monoclonal IFIT1 antibody. Suitable for IP, Flow Cyt (Intra), ICC/IF, IHC-P, WB and reacts with Human samples. Cited in 2 publications.

View Alternative Names

G10P1, IFI56, IFNAI1, ISG56, IFIT1, Interferon-induced protein with tetratricopeptide repeats 1, IFIT-1, Interferon-induced 56 kDa protein, IFI-56K, P56

8 Images
Flow Cytometry (Intracellular) - Anti-IFIT1 antibody [EPR27276-63] (AB305301)
  • Flow Cyt (Intra)

Supplier Data

Flow Cytometry (Intracellular) - Anti-IFIT1 antibody [EPR27276-63] (AB305301)

Flow cytometric analysis of 4% paraformaldehyde fixed 90% methanol permeabilized HeLa (human cervix adenocarcinoma epithelial cell) treated with 10ng/ml human IFN alpha 1 for 16 hours (Red) / Untreated control (Green) cells labeling IFIT1 with ab305301 at 1/500 dilution (0.1ug) (Red) and Green (Red) compared with a Rabbit monoclonal IgG (ab172730) (Black) isotype control and an unlabeled control (cells without incubation with primary antibody and secondary antibody) (Blue). A Goat Anti-Rabbit IgG (Alexa Fluor® 488, ab150081) at 1/2000 dilution was used as the secondary antibody.

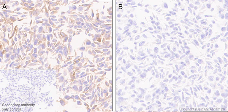
Immunohistochemistry (Formalin/PFA-fixed paraffin-embedded sections) - Anti-IFIT1 antibody [EPR27276-63] (AB305301)
  • IHC-P

Supplier Data

Immunohistochemistry (Formalin/PFA-fixed paraffin-embedded sections) - Anti-IFIT1 antibody [EPR27276-63] (AB305301)

Immunohistochemical analysis of paraffin-embedded human breast cancer tissue labeling IFIT1 with ab305301 at 1/2000 (0.261 ug/ml) followed by ready to use LeicaDS9800 (Bond® Polymer Refine Detection). Cytoplasmic staining on human breast cancer (PMID : 23528130). The section was incubated with ab305301 for 30 mins at room temperature. The immunostaining was performed on a Leica Biosystems BOND® RX instrument. Counterstained with Hematoxylin. Secondary antibody only control : Secondary antibody is ready to use LeicaDS9800 (Bond® Polymer Refine Detection). Heat mediated antigen retrieval was performed with Tris-EDTA buffer (pH 9.0, Epitope Retrieval Solution2) for 20 mins.

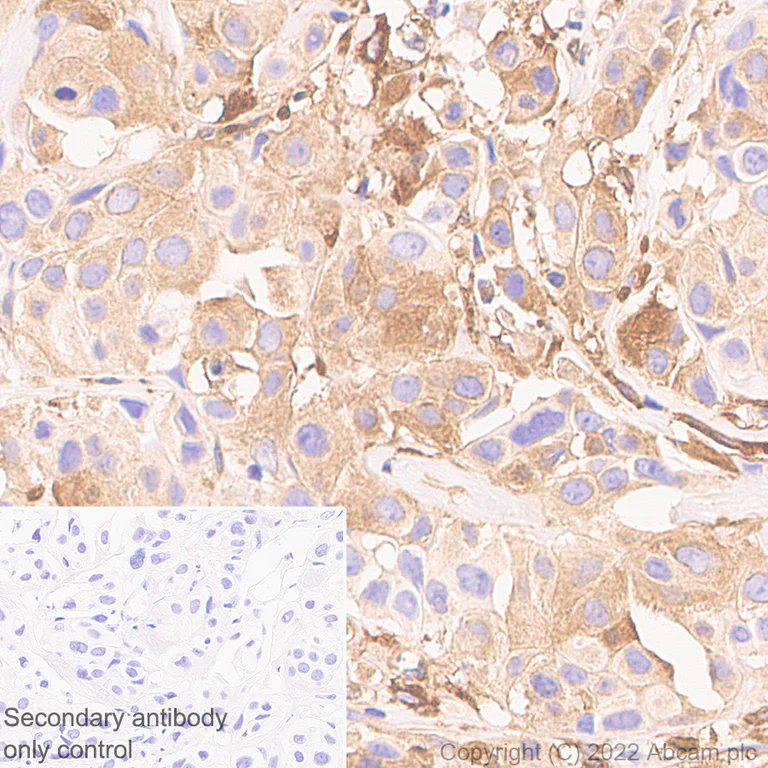
Immunohistochemistry (Formalin/PFA-fixed paraffin-embedded sections) - Anti-IFIT1 antibody [EPR27276-63] (AB305301)
  • IHC-P

Supplier Data

Immunohistochemistry (Formalin/PFA-fixed paraffin-embedded sections) - Anti-IFIT1 antibody [EPR27276-63] (AB305301)

Immunohistochemical analysis of paraffin-embedded HeLa cell pellet labeling IFIT1 with ab305301 at 1/2000 (0.261 ug/ml) followed by ready to use LeicaDS9800 (Bond® Polymer Refine Detection). Cytoplasmic staining on HeLa cell pellet treated with IFN-alpha 1(10ng/ml) for 16 hours, no staining on HeLa cell pellet (untreated). The section was incubated with ab305301 for 30 mins at room temperature. The immunostaining was performed on a Leica Biosystems BOND® RX instrument. Counterstained with Hematoxylin. Secondary antibody only control : Secondary antibody is ready to use LeicaDS9800 (Bond® Polymer Refine Detection). Heat mediated antigen retrieval was performed with Tris-EDTA buffer (pH 9.0, Epitope Retrieval Solution2) for 20 mins.

Immunohistochemistry (Formalin/PFA-fixed paraffin-embedded sections) - Anti-IFIT1 antibody [EPR27276-63] (AB305301)
  • IHC-P

Supplier Data

Immunohistochemistry (Formalin/PFA-fixed paraffin-embedded sections) - Anti-IFIT1 antibody [EPR27276-63] (AB305301)

Immunohistochemical analysis of paraffin-embedded human lung carcinoma tissue labeling IFIT1 with ab305301 at 1/2000 (0.261 ug/ml) followed by ready to use LeicaDS9800 (Bond® Polymer Refine Detection). Cytoplasmic staining on human lung carcinoma (PMID : 35280763). The section was incubated with ab305301 for 30 mins at room temperature. The immunostaining was performed on a Leica Biosystems BOND® RX instrument. Counterstained with Hematoxylin. Secondary antibody only control : Secondary antibody is ready to use LeicaDS9800 (Bond® Polymer Refine Detection). Heat mediated antigen retrieval was performed with Tris-EDTA buffer (pH 9.0, Epitope Retrieval Solution2) for 20 mins.

Immunocytochemistry/ Immunofluorescence - Anti-IFIT1 antibody [EPR27276-63] (AB305301)
  • ICC/IF

Supplier Data

Immunocytochemistry/ Immunofluorescence - Anti-IFIT1 antibody [EPR27276-63] (AB305301)

Immunofluorescent analysis of 4% Paraformaldehyde-fixed, 0.1% Triton X-100 permeabilized HeLa (human cervical adenocarcinoma epithelial cell) cells labeling IFIT1 with ab305301 at 1/50 (10.44 ug/ml) dilution, followed by ab150081 Goat Anti-Rabbit IgG H&L (Alexa Fluor® 488) preadsorbed antibody at 1/1000 (2 ug/ml) dilution (Green). Confocal image showing weak cytoplasmic staining in HeLa cell line, and the expression increased after treatment with IFN alpha 1 (10 ng/ml) for 16 hours. The image was taken with a confocal microscope (Leica-Microsystems, TCS SP8). ab195889 Anti-alpha Tubulin mouse monoclonal antibody - Microtubule Marker (Alexa Fluor® 594) was used to counterstain tubulin at 1/200 dilution (2.5 ug/ml) dilution (Red). The nuclear counterstain was DAPI (Blue). Secondary antibody only control : Secondary antibody is ab150081 Goat Anti-Rabbit IgG H&L (Alexa Fluor® 488) preadsorbed at 1/1000 (2 ug/ml) dilution.

Immunoprecipitation - Anti-IFIT1 antibody [EPR27276-63] (AB305301)
  • IP

Supplier Data

Immunoprecipitation - Anti-IFIT1 antibody [EPR27276-63] (AB305301)

IFIT1 was immunoprecipitated from 0.35 mg HeLa (human cervical adenocarcinoma epithelial cell) treated with 10ng/ml IFN alpha 1 for 16h whole cell lysate 10 ug with ab305301 at 1/30 dilution (2ug in 0.35mg lysates). Western blot was performed on the immunoprecipitate using ab305301 at 1/1000 dilution. VeriBlot for IP secondary antibody(HRP)(ab131366) was used at 1/5000 dilution. Lane 1 : HeLa treated with 10ng/ml IFN alpha 1 for 16h whole cell lysate 10 ug Lane 2 : ab305301 IP in HeLa treated with 10ng/ml IFN alpha 1 for 16h whole cell lysate Lane 3 : Rabbit monoclonal IgG (ab172730) instead of ab305301 in HeLa whole cell lysate Blocking and dilution buffer and concentration : 5% NFDM/TBST. Exposure time : 41 seconds.

All lanes:

Immunoprecipitation - Anti-IFIT1 antibody [EPR27276-63] (ab305301) at 1/1000 dilution

Lane 1:

HeLa (human cervical adenocarcinoma epithelial cell) treated with 10ng/ml IFN alpha 1 for 16h whole cell lysate 10 µg

Lane 2:

HeLa treated with 10ng/ml IFN alpha 1 for 16h whole cell lysate

Secondary

All lanes:

Immunoprecipitation - VeriBlot for IP Detection Reagent (HRP) (<a href='/en-us/products/reagents/veriblot-for-ip-detection-reagent-hrp-ab131366'>ab131366</a>) at 1/5000 dilution

Observed band size: 56 kDa

false

Exposure time: 41s

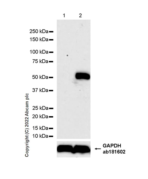
Western blot - Anti-IFIT1 antibody [EPR27276-63] (AB305301)
  • WB

Supplier Data

Western blot - Anti-IFIT1 antibody [EPR27276-63] (AB305301)

Blocking and diluting buffer and concentration : 5% NFDM/TBST   Exposure time : 180 seconds

All lanes:

Western blot - Anti-IFIT1 antibody [EPR27276-63] (ab305301) at 1/1000 dilution

Lane 1:

Untreated HeLa (human cervical adenocarcinoma epithelial cell) whole cell lysate 20 µg

Lane 2:

HeLa treated with /ml IFN alpha 1 for 16h whole cell lysate 20 µg

Secondary

All lanes:

Western blot - Goat Anti-Rabbit IgG H&L (HRP) (<a href='/en-us/products/secondary-antibodies/goat-rabbit-igg-h-l-hrp-ab97051'>ab97051</a>) at 1/100000 dilution

Observed band size: 56 kDa

false

Exposure time: 180s

Western blot - Anti-IFIT1 antibody [EPR27276-63] (AB305301)
  • WB

Supplier Data

Western blot - Anti-IFIT1 antibody [EPR27276-63] (AB305301)

Blocking and diluting buffer and concentration : 5% NFDM/TBST   Exposure time : 26 seconds

All lanes:

Western blot - Anti-IFIT1 antibody [EPR27276-63] (ab305301) at 1/1000 dilution

Lane 1:

Human tonsil tissue lysate 40 µg

Lane 2:

Human testis tissue lysate 40 µg

Secondary

All lanes:

Goat Anti-Rabbit IgG (HRP) with minimal cross-reactivity with human IgG at 1/2000 dilution

Observed band size: 56 kDa

false

Exposure time: 26s

Key facts

Host species

Rabbit

Clonality

Monoclonal

Clone number

EPR27276-63

Isotype

IgG

Carrier free

No

Reacts with

Human

Applications

IHC-P, Flow Cyt (Intra), IP, ICC/IF, WB

applications

Immunogen

The exact immunogen used to generate this antibody is proprietary information.

Reactivity data

{ "title": "Reactivity Data", "filters": { "stats": ["", "Species", "Dilution Info", "Notes"], "tabs": { "all-applications": {"fullname" : "All Applications", "shortname": "All Applications"}, "IP" : {"fullname" : "Immunoprecipitation", "shortname":"IP"}, "FlowCytIntra" : {"fullname" : "Flow Cytometry (Intracellular)", "shortname":"Flow Cyt (Intra)"}, "ICCIF" : {"fullname" : "Immunocytochemistry/ Immunofluorescence", "shortname":"ICC/IF"}, "IHCP" : {"fullname" : "Immunohistochemistry (Formalin/PFA-fixed paraffin-embedded sections)", "shortname":"IHC-P"}, "WB" : {"fullname" : "Western blot", "shortname":"WB"} }, "product-promise": { "all": "all", "testedAndGuaranteed": "tested", "guaranteed": "expected", "predicted": "predicted", "notRecommended": "not-recommended" } }, "values": { "Human": { "IP-species-checked": "testedAndGuaranteed", "IP-species-dilution-info": "1/30", "IP-species-notes": "<p></p>", "FlowCytIntra-species-checked": "testedAndGuaranteed", "FlowCytIntra-species-dilution-info": "1/500", "FlowCytIntra-species-notes": "<p></p>", "ICCIF-species-checked": "testedAndGuaranteed", "ICCIF-species-dilution-info": "1/50", "ICCIF-species-notes": "<p></p>", "IHCP-species-checked": "testedAndGuaranteed", "IHCP-species-dilution-info": "1/2000", "IHCP-species-notes": "<p></p> Perform heat-mediated antigen retrieval with Tris/EDTA buffer pH 9.0 before commencing with IHC staining protocol.", "WB-species-checked": "testedAndGuaranteed", "WB-species-dilution-info": "1/1000", "WB-species-notes": "<p></p>" }, "Mouse": { "IP-species-checked": "notRecommended", "IP-species-dilution-info": "", "IP-species-notes": "", "FlowCytIntra-species-checked": "notRecommended", "FlowCytIntra-species-dilution-info": "", "FlowCytIntra-species-notes": "", "ICCIF-species-checked": "notRecommended", "ICCIF-species-dilution-info": "", "ICCIF-species-notes": "", "IHCP-species-checked": "notRecommended", "IHCP-species-dilution-info": "1/2000", "IHCP-species-notes": "<p></p> Perform heat-mediated antigen retrieval with Tris/EDTA buffer pH 9.0 before commencing with IHC staining protocol.", "WB-species-checked": "notRecommended", "WB-species-dilution-info": "1/1000", "WB-species-notes": "<p></p>" }, "Rat": { "IP-species-checked": "notRecommended", "IP-species-dilution-info": "", "IP-species-notes": "", "FlowCytIntra-species-checked": "notRecommended", "FlowCytIntra-species-dilution-info": "", "FlowCytIntra-species-notes": "", "ICCIF-species-checked": "notRecommended", "ICCIF-species-dilution-info": "", "ICCIF-species-notes": "", "IHCP-species-checked": "notRecommended", "IHCP-species-dilution-info": "1/2000", "IHCP-species-notes": "<p></p> Perform heat-mediated antigen retrieval with Tris/EDTA buffer pH 9.0 before commencing with IHC staining protocol.", "WB-species-checked": "notRecommended", "WB-species-dilution-info": "1/1000", "WB-species-notes": "<p></p>" } } }

Product details

Patented technology
Our RabMAb® technology is a patented hybridoma-based technology for making rabbit monoclonal antibodies. For details on our patents, please refer to RabMAb® patents.

What are the advantages of a recombinant monoclonal antibody?
This product is a recombinant monoclonal antibody, which offers several advantages including:

  • - High batch-to-batch consistency and reproducibility
  • - Improved sensitivity and specificity
  • - Long-term security of supply
  • - Animal-free batch production

For more information, read more on recombinant antibodies.

Properties and storage information

Form
Liquid
Purification technique
Affinity purification Protein A
Storage buffer
pH: 7.2 - 7.4 Preservative: 0.01% Sodium azide Constituents: PBS, 40% Glycerol (glycerin, glycerine), 0.05% BSA
Shipped at conditions
Blue Ice
Appropriate short-term storage duration
1-2 weeks
Appropriate short-term storage conditions
+4°C
Appropriate long-term storage conditions
-20°C
Aliquoting information
Upon delivery aliquot
Storage information
Avoid freeze / thaw cycle

Supplementary information

This supplementary information is collated from multiple sources and compiled automatically.

IFIT1 also known as Interferon-Induced Protein with Tetratricopeptide Repeats 1 is a protein that plays a significant role in antiviral defense mechanisms. It has a molecular mass of approximately 56 kDa. Researchers find IFIT1 predominantly expressed in cells stimulated by interferons. The protein detects viral single-stranded RNA which in turn helps initiate the antiviral response. You will find IFIT1 in various cell types mainly those exposed to viral infections as it is an important part of the body's innate immune system.
Biological function summary

Activities of IFIT1 focus on inhibiting viral replication and translation processes. The protein binds to viral RNAs via its distinctive sensor domains preventing infections from progressing. IFIT1 operates often as part of a larger protein complex with other IFIT family members improving its ability to intercept and inhibit viral RNA. This concerted action provides an important line of defense against diverse viral pathogens by interfering with viral protein synthesis.

Pathways

IFIT1 occupies an important place in the interferon signaling pathways particularly the Jak-STAT pathway. This pathway is critical for mounting antiviral responses when viral infections occur. Through its interactions within the pathway IFIT1 works together with related proteins like IFIT2 and IFIT3 to repel viral threats. By integrating into these pathways it contributes to amplifying the immune response promoting a robust defense system against foreign viral invaders.

IFIT1 is associated mainly with viral diseases such as influenza and hepatitis C. Its role in these diseases involves preventing the communication and replication of the viruses making it a pivotal part of antiviral therapeutic research. Additionally proteins like RIG-I interact with IFIT1 during these processes to recognize viral RNA enhancing the effectiveness of the immune response. These protein partnerships drive ongoing research looking to leverage IFIT1's antiviral properties for treatment developments.

Product protocols

For this product, it's our understanding that no specific protocols are required. You can visit:

Target data

Interferon-induced antiviral RNA-binding protein that specifically binds single-stranded RNA bearing a 5'-triphosphate group (PPP-RNA), thereby acting as a sensor of viral single-stranded RNAs and inhibiting expression of viral messenger RNAs. Single-stranded PPP-RNAs, which lack 2'-O-methylation of the 5' cap and bear a 5'-triphosphate group instead, are specific from viruses, providing a molecular signature to distinguish between self and non-self mRNAs by the host during viral infection. Directly binds PPP-RNA in a non-sequence-specific manner. Viruses evolved several ways to evade this restriction system such as encoding their own 2'-O-methylase for their mRNAs or by stealing host cap containing the 2'-O-methylation (cap snatching mechanism). Exhibits antiviral activity against several viruses including human papilloma and hepatitis C viruses.
See full target information IFIT1

Publications (2)

Recent publications for all applications. Explore the full list and refine your search

Scientific reports 15:15306 PubMed40312500

2025

The differential impact of HNRNPA1 isoforms on gene expression and their relevance to dsRNA-mediated innate immune response.

Applications

Unspecified application

Species

Unspecified reactive species

Jade-Emmanuelle Deshaies,Valérie Triassi,Andréanne Lacombe,Myriam Gagné,Karen Ling,Asmita Ghosh,Marjorie Labrecque,Frank Rigo,Paymaan Jafar-Nejad,Martine Tétreault,Christine Vande Velde

The Journal of biological chemistry 300:107783 PubMed39303913

2024

Downregulation of the mA reader YTHDC2 upregulates exosome content in lung adenocarcinoma via inhibiting IFIT and OAS family members.

Applications

Unspecified application

Species

Unspecified reactive species

Zhixin Yin,Lifang Ma,Xiaoting Tian,Qi Sun,Congcong Zhang,Yikun Wang,Yayou Miao,Xiangfei Xue,Yongjie Wang,Jiayi Wang,Xiao Zhang,Xumin Hou
View all publications

Product promise

We are committed to supporting your work with high-quality reagents, and we're here for you every step of the way. In the unlikely event that one of our products does not perform as expected, you're protected by our Product Promise.
For full details, please see our Terms & Conditions

Please note: All products are 'FOR RESEARCH USE ONLY. NOT FOR USE IN DIAGNOSTIC OR THERAPEUTIC PROCEDURES'.

For licensing inquiries, please contact partnerships@abcam.com