JavaScript is disabled in your browser. Please enable JavaScript to view this website.
AB118062

Anti-IFIT1 antibody [OTI3G8]

Be the first to review this product! Submit a review

|

(4 Publications)

Mouse Monoclonal IFIT1 antibody. Suitable for WB, IHC-P, ICC/IF, Flow Cyt (Intra) and reacts with Transfected cell lysate - Human, Human, African green monkey, Transfected cell line - Human samples. Cited in 4 publications. Immunogen corresponding to Recombinant Full Length Protein corresponding to Human IFIT1.

View Alternative Names

G10P1, IFI56, IFNAI1, ISG56, IFIT1, Interferon-induced protein with tetratricopeptide repeats 1, IFIT-1, Interferon-induced 56 kDa protein, IFI-56K, P56

8 Images
Immunohistochemistry (Formalin/PFA-fixed paraffin-embedded sections) - Anti-IFIT1 antibody [OTI3G8] (AB118062)
  • IHC-P

Unknown

Immunohistochemistry (Formalin/PFA-fixed paraffin-embedded sections) - Anti-IFIT1 antibody [OTI3G8] (AB118062)

ab118062 at 1/50 dilution staining IFIT1 in Paraffin-embedded Human Ovary adenocarcinoma tissue by Immunohistochemistry.

Immunohistochemistry (Formalin/PFA-fixed paraffin-embedded sections) - Anti-IFIT1 antibody [OTI3G8] (AB118062)
  • IHC-P

Supplier Data

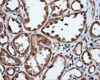
Immunohistochemistry (Formalin/PFA-fixed paraffin-embedded sections) - Anti-IFIT1 antibody [OTI3G8] (AB118062)

ab118062 at 1/50 dilution staining IFIT1 in Paraffin-embedded Human Kidney tissue by Immunohistochemistry.

Immunohistochemistry (Formalin/PFA-fixed paraffin-embedded sections) - Anti-IFIT1 antibody [OTI3G8] (AB118062)
  • IHC-P

Unknown

Immunohistochemistry (Formalin/PFA-fixed paraffin-embedded sections) - Anti-IFIT1 antibody [OTI3G8] (AB118062)

ab118062 at 1/50 dilution staining IFIT1 in Paraffin-embedded Human Liver tissue by Immunohistochemistry.

Immunocytochemistry/ Immunofluorescence - Anti-IFIT1 antibody [OTI3G8] (AB118062)
  • ICC/IF

Unknown

Immunocytochemistry/ Immunofluorescence - Anti-IFIT1 antibody [OTI3G8] (AB118062)

ab118062 at 1/50 dilution staining IFIT1 in HT29 cells by Immunofluorescence.

Immunohistochemistry (Formalin/PFA-fixed paraffin-embedded sections) - Anti-IFIT1 antibody [OTI3G8] (AB118062)
  • IHC-P

Unknown

Immunohistochemistry (Formalin/PFA-fixed paraffin-embedded sections) - Anti-IFIT1 antibody [OTI3G8] (AB118062)

ab118062 at 1/50 dilution staining IFIT1 in Paraffin-embedded Human Liver carcinoma tissue by Immunohistochemistry.

Flow Cytometry (Intracellular) - Anti-IFIT1 antibody [OTI3G8] (AB118062)
  • Flow Cyt (Intra)

Unknown

Flow Cytometry (Intracellular) - Anti-IFIT1 antibody [OTI3G8] (AB118062)

ab118062 at 1/100 dilution staining IFIT1 in HEK293T cells transfected with either pCMV6-ENTRY IFIT1 overexpress plasmid(Red) or empty vector control plasmid(Blue) by Flow Cytometry (Intracellular).

Western blot - Anti-IFIT1 antibody [OTI3G8] (AB118062)
  • WB

Unknown

Western blot - Anti-IFIT1 antibody [OTI3G8] (AB118062)

HEK293T cell lysates were generated from transient transfection of the cDNA clone (RC203320)

All lanes:

Western blot - Anti-IFIT1 antibody [OTI3G8] (ab118062) at 1/500 dilution

Lane 1:

HEK293T cell lyaste, transfected with pCMV6-ENTRY control cDNA at 5 µg

Lane 2:

HEK293T cell lysate, transfected with pCMV6-ENTRY IFIT1 cDNA at 5 µg

Predicted band size: 55 kDa

false

Immunocytochemistry/ Immunofluorescence - Anti-IFIT1 antibody [OTI3G8] (AB118062)
  • ICC/IF

Unknown

Immunocytochemistry/ Immunofluorescence - Anti-IFIT1 antibody [OTI3G8] (AB118062)

ab118062 at 1/50 dilution staining IFIT1 in COS7 cells transiently transfected by pCMV6-ENTRY IFIT1 by Immunofluorescence.

Key facts

Host species

Mouse

Clonality

Monoclonal

Clone number

OTI3G8

Isotype

IgG1

Carrier free

No

Reacts with

Human, African green monkey

Applications

IHC-P, WB, Flow Cyt (Intra), ICC/IF

applications

Immunogen

Recombinant Full Length Protein corresponding to Human IFIT1.

P09914

Reactivity data

{ "title": "Reactivity Data", "filters": { "stats": ["", "Species", "Dilution Info", "Notes"], "tabs": { "all-applications": {"fullname" : "All Applications", "shortname": "All Applications"}, "WB" : {"fullname" : "Western blot", "shortname":"WB"}, "IHCP" : {"fullname" : "Immunohistochemistry (Formalin/PFA-fixed paraffin-embedded sections)", "shortname":"IHC-P"}, "ICCIF" : {"fullname" : "Immunocytochemistry/ Immunofluorescence", "shortname":"ICC/IF"}, "FlowCytIntra" : {"fullname" : "Flow Cytometry (Intracellular)", "shortname":"Flow Cyt (Intra)"} }, "product-promise": { "all": "all", "testedAndGuaranteed": "tested", "guaranteed": "expected", "predicted": "predicted", "notRecommended": "not-recommended" } }, "values": { "Human": { "WB-species-checked": "guaranteed", "WB-species-dilution-info": "", "WB-species-notes": "", "IHCP-species-checked": "testedAndGuaranteed", "IHCP-species-dilution-info": "1/50", "IHCP-species-notes": "<p></p>", "ICCIF-species-checked": "testedAndGuaranteed", "ICCIF-species-dilution-info": "1/50 - 1/100", "ICCIF-species-notes": "<p></p>", "FlowCytIntra-species-checked": "guaranteed", "FlowCytIntra-species-dilution-info": "", "FlowCytIntra-species-notes": "" }, "African green monkey": { "WB-species-checked": "guaranteed", "WB-species-dilution-info": "1/500 - 1/1000", "WB-species-notes": "<p></p>", "IHCP-species-checked": "predicted", "IHCP-species-dilution-info": "", "IHCP-species-notes": "", "ICCIF-species-checked": "predicted", "ICCIF-species-dilution-info": "", "ICCIF-species-notes": "", "FlowCytIntra-species-checked": "predicted", "FlowCytIntra-species-dilution-info": "", "FlowCytIntra-species-notes": "" }, "Transfected cell line - Human": { "WB-species-checked": "notRecommended", "WB-species-dilution-info": "", "WB-species-notes": "", "IHCP-species-checked": "notRecommended", "IHCP-species-dilution-info": "", "IHCP-species-notes": "", "ICCIF-species-checked": "testedAndGuaranteed", "ICCIF-species-dilution-info": "1/50 - 1/100", "ICCIF-species-notes": "<p></p>", "FlowCytIntra-species-checked": "testedAndGuaranteed", "FlowCytIntra-species-dilution-info": "1/100", "FlowCytIntra-species-notes": "<p><a href='/en-us/products/primary-antibodies/mouse-igg1-kappa-monoclonal-15-6e10a7-isotype-control-ab170190'>ab170190</a> - Mouse monoclonal IgG1, is suitable for use as an isotype control with this antibody.</p>" }, "Transfected cell lysate - Human": { "WB-species-checked": "testedAndGuaranteed", "WB-species-dilution-info": "1/500 - 1/1000", "WB-species-notes": "<p></p>", "IHCP-species-checked": "notRecommended", "IHCP-species-dilution-info": "", "IHCP-species-notes": "", "ICCIF-species-checked": "notRecommended", "ICCIF-species-dilution-info": "", "ICCIF-species-notes": "", "FlowCytIntra-species-checked": "notRecommended", "FlowCytIntra-species-dilution-info": "", "FlowCytIntra-species-notes": "" } } }

Product details

The clone number has been updated from 3G8 to OTI3G8, both clone numbers name the same clone.

Properties and storage information

Form
Liquid
Purity
IgG fraction
Purification notes
ab118062 is purified from TCS by affinity chromatography.
Storage buffer
pH: 7.3 Preservative: 0.02% Sodium azide Constituents: PBS, 50% Glycerol (glycerin, glycerine), 1% BSA
Shipped at conditions
Blue Ice
Appropriate short-term storage duration
1-2 weeks
Appropriate short-term storage conditions
+4°C
Appropriate long-term storage conditions
-20°C
Aliquoting information
Upon delivery aliquot
Storage information
Avoid freeze / thaw cycle|The product can be stored for up to 12 months

Supplementary information

This supplementary information is collated from multiple sources and compiled automatically.

IFIT1 also known as Interferon-Induced Protein with Tetratricopeptide Repeats 1 is a protein that plays a significant role in antiviral defense mechanisms. It has a molecular mass of approximately 56 kDa. Researchers find IFIT1 predominantly expressed in cells stimulated by interferons. The protein detects viral single-stranded RNA which in turn helps initiate the antiviral response. You will find IFIT1 in various cell types mainly those exposed to viral infections as it is an important part of the body's innate immune system.
Biological function summary

Activities of IFIT1 focus on inhibiting viral replication and translation processes. The protein binds to viral RNAs via its distinctive sensor domains preventing infections from progressing. IFIT1 operates often as part of a larger protein complex with other IFIT family members improving its ability to intercept and inhibit viral RNA. This concerted action provides an important line of defense against diverse viral pathogens by interfering with viral protein synthesis.

Pathways

IFIT1 occupies an important place in the interferon signaling pathways particularly the Jak-STAT pathway. This pathway is critical for mounting antiviral responses when viral infections occur. Through its interactions within the pathway IFIT1 works together with related proteins like IFIT2 and IFIT3 to repel viral threats. By integrating into these pathways it contributes to amplifying the immune response promoting a robust defense system against foreign viral invaders.

IFIT1 is associated mainly with viral diseases such as influenza and hepatitis C. Its role in these diseases involves preventing the communication and replication of the viruses making it a pivotal part of antiviral therapeutic research. Additionally proteins like RIG-I interact with IFIT1 during these processes to recognize viral RNA enhancing the effectiveness of the immune response. These protein partnerships drive ongoing research looking to leverage IFIT1's antiviral properties for treatment developments.

Product protocols

For this product, it's our understanding that no specific protocols are required. You can visit:

Target data

Interferon-induced antiviral RNA-binding protein that specifically binds single-stranded RNA bearing a 5'-triphosphate group (PPP-RNA), thereby acting as a sensor of viral single-stranded RNAs and inhibiting expression of viral messenger RNAs. Single-stranded PPP-RNAs, which lack 2'-O-methylation of the 5' cap and bear a 5'-triphosphate group instead, are specific from viruses, providing a molecular signature to distinguish between self and non-self mRNAs by the host during viral infection. Directly binds PPP-RNA in a non-sequence-specific manner. Viruses evolved several ways to evade this restriction system such as encoding their own 2'-O-methylase for their mRNAs or by stealing host cap containing the 2'-O-methylation (cap snatching mechanism). Exhibits antiviral activity against several viruses including human papilloma and hepatitis C viruses.
See full target information IFIT1

Publications (4)

Recent publications for all applications. Explore the full list and refine your search

The Journal of biological chemistry 300:107783 PubMed39303913

2024

Downregulation of the mA reader YTHDC2 upregulates exosome content in lung adenocarcinoma via inhibiting IFIT and OAS family members.

Applications

Unspecified application

Species

Unspecified reactive species

Zhixin Yin,Lifang Ma,Xiaoting Tian,Qi Sun,Congcong Zhang,Yikun Wang,Yayou Miao,Xiangfei Xue,Yongjie Wang,Jiayi Wang,Xiao Zhang,Xumin Hou

Neoplasia (New York, N.Y.) 35:100850 PubMed36371909

2022

Fusobacterium nucleatum stimulates cell proliferation and promotes PD-L1 expression via IFIT1-related signal in colorectal cancer.

Applications

Unspecified application

Species

Unspecified reactive species

Yaqi Gao,Tianhui Zou,Pingping Xu,Yingchao Wang,Yi Jiang,Ying-Xuan Chen,Haoyan Chen,Jie Hong,Jing-Yuan Fang

Acta physiologica (Oxford, England) 215:89-104 PubMed26235702

2015

Mouse white adipose tissue-derived mesenchymal stem cells gain pericentral and periportal hepatocyte features after differentiation in vitro, which are preserved in vivo after hepatic transplantation.

Applications

Unspecified application

Species

Unspecified reactive species

S Winkler,M Hempel,S Brückner,F Mallek,A Weise,T Liehr,H-M Tautenhahn,M Bartels,B Christ

Proteomics 15:2113-35 PubMed25900405

2015

Comparative proteomic analyses of two reovirus T3D subtypes and comparison to T1L identifies multiple novel proteins in key cellular pathogenic pathways.

Applications

Unspecified application

Species

Unspecified reactive species

Alicia R Berard,Alberto Severini,Kevin M Coombs
View all publications

Product promise

We are committed to supporting your work with high-quality reagents, and we're here for you every step of the way. In the unlikely event that one of our products does not perform as expected, you're protected by our Product Promise.
For full details, please see our Terms & Conditions

Please note: All products are 'FOR RESEARCH USE ONLY. NOT FOR USE IN DIAGNOSTIC OR THERAPEUTIC PROCEDURES'.

For licensing inquiries, please contact partnerships@abcam.com