JavaScript is disabled in your browser. Please enable JavaScript to view this website.
AB305231

Anti-IFIT2 antibody [EPR26404-119]

  • BOND RX™ Validated
  • 20ul selling size
  • RabMAb
  • Recombinant
  • What is this?

Be the first to review this product! Submit a review

|

(1 Publication)

Rabbit Recombinant Monoclonal IFIT2 antibody. Suitable for WB, IHC-P, Flow Cyt (Intra), IP and reacts with Human samples. Cited in 1 publication.

View Alternative Names

CIG-42, G10P2, IFI54, ISG54, IFIT2, Interferon-induced protein with tetratricopeptide repeats 2, IFIT-2, ISG-54 K, Interferon-induced 54 kDa protein, IFI-54K, P54

8 Images
Immunohistochemistry (Formalin/PFA-fixed paraffin-embedded sections) - Anti-IFIT2 antibody [EPR26404-119] (AB305231)
  • IHC-P

Supplier Data

Immunohistochemistry (Formalin/PFA-fixed paraffin-embedded sections) - Anti-IFIT2 antibody [EPR26404-119] (AB305231)

Immunohistochemical analysis of paraffin-embedded Human skeletal muscle tissue labeling IFIT2 with ab305231 at 1/500 (1.006 µg/ml) followed by a LeicaDS9800 (Bond™ Polymer Refine Detection) was used at Ready to use dilution. Negative control : no staining on human skeletal muscle. The section was incubated with ab305231 for 30 mins at room temperature. The immunostaining was performed on a Leica Biosystems BOND® RX instrument Counterstained with Hematoxylin. Secondary antibody only control : Secondary antibody is LeicaDS9800 (Bond™ Polymer Refine Detection) was used at Ready to use dilution. Heat mediated antigen retrieval was performed with Tris-EDTA buffer (pH 9.0, Epitope Retrieval Solution2) for 20 mins

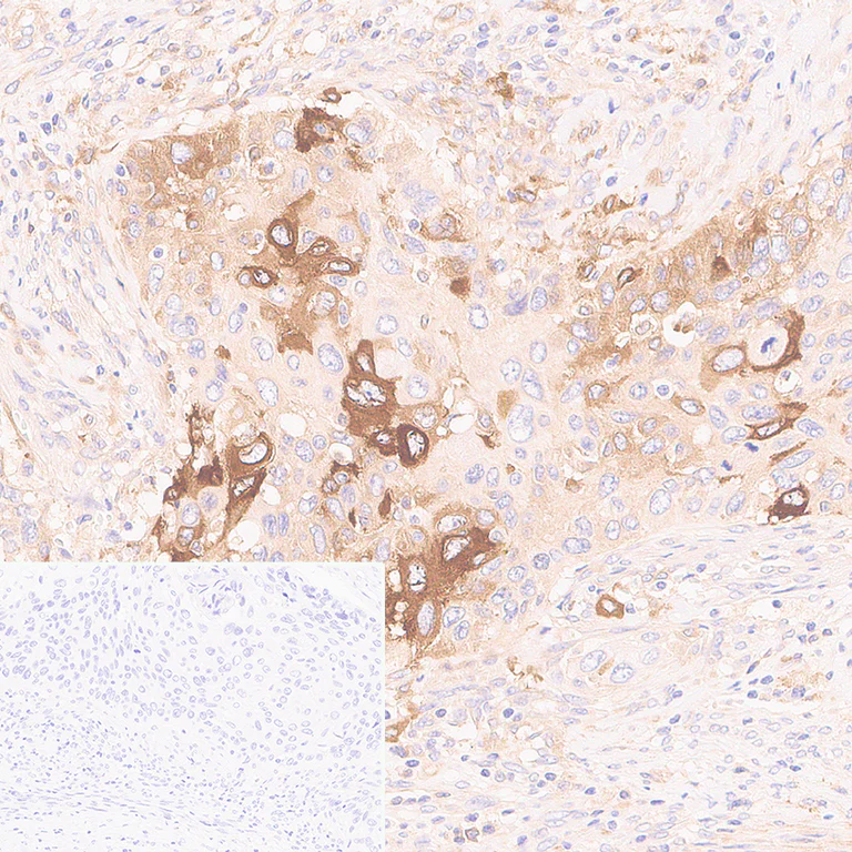
Immunohistochemistry (Formalin/PFA-fixed paraffin-embedded sections) - Anti-IFIT2 antibody [EPR26404-119] (AB305231)
  • IHC-P

Supplier Data

Immunohistochemistry (Formalin/PFA-fixed paraffin-embedded sections) - Anti-IFIT2 antibody [EPR26404-119] (AB305231)

Immunohistochemical analysis of paraffin-embedded Human cervical carcinoma tissue labeling IFIT2 with ab305231 at 1/500 (1.006 µg/ml) followed by a LeicaDS9800 (Bond™ Polymer Refine Detection) was used at Ready to use dilution. Positive staining on human cervical carcinoma. The section was incubated with ab305231 for 30 mins at room temperature. The immunostaining was performed on a Leica Biosystems BOND® RX instrument Counterstained with Hematoxylin. Secondary antibody only control : Secondary antibody is LeicaDS9800 (Bond™ Polymer Refine Detection) was used at Ready to use dilution. Heat mediated antigen retrieval was performed with Tris-EDTA buffer (pH 9.0, Epitope Retrieval Solution2) for 20 mins

Immunohistochemistry (Formalin/PFA-fixed paraffin-embedded sections) - Anti-IFIT2 antibody [EPR26404-119] (AB305231)
  • IHC-P

Supplier Data

Immunohistochemistry (Formalin/PFA-fixed paraffin-embedded sections) - Anti-IFIT2 antibody [EPR26404-119] (AB305231)

Immunohistochemical analysis of paraffin-embedded Human kidney tissue labeling IFIT2 with ab305231 at 1/500 (1.006 µg/ml) followed by a LeicaDS9800 (Bond™ Polymer Refine Detection) was used at Ready to use dilution. Positive staining on human kidney. The section was incubated with ab305231 for 30 mins at room temperature. The immunostaining was performed on a Leica Biosystems BOND® RX instrument Counterstained with Hematoxylin. Secondary antibody only control : Secondary antibody is LeicaDS9800 (Bond™ Polymer Refine Detection) was used at Ready to use dilution. Heat mediated antigen retrieval was performed with Tris-EDTA buffer (pH 9.0, Epitope Retrieval Solution2) for 20 mins

Immunohistochemistry (Formalin/PFA-fixed paraffin-embedded sections) - Anti-IFIT2 antibody [EPR26404-119] (AB305231)
  • IHC-P

Supplier Data

Immunohistochemistry (Formalin/PFA-fixed paraffin-embedded sections) - Anti-IFIT2 antibody [EPR26404-119] (AB305231)

Immunohistochemical analysis of paraffin-embedded A, A431 (Human epidermoid tissue labeling IFIT2 with ab305231 at 1/500 (1.006 µg/ml) followed by a LeicaDS9800 (Bond™ Polymer Refine Detection) was used at Ready to use dilution. Positive staining on A431 cell pellet and almost no staining on HCT 116 cell pellet. The section was incubated with ab305231 for 30 mins at room temperature. The immunostaining was performed on a Leica Biosystems BOND® RX instrument Counterstained with Hematoxylin. Secondary antibody only control : Secondary antibody is LeicaDS9800 (Bond™ Polymer Refine Detection) was used at Ready to use dilution. Heat mediated antigen retrieval was performed with Tris-EDTA buffer (pH 9.0, Epitope Retrieval Solution2) for 20 mins

Flow Cytometry (Intracellular) - Anti-IFIT2 antibody [EPR26404-119] (AB305231)
  • Flow Cyt (Intra)

Supplier Data

Flow Cytometry (Intracellular) - Anti-IFIT2 antibody [EPR26404-119] (AB305231)

Flow cytometric analysis of 4% paraformaldehyde fixed 90% methanol permeabilized A431 (human epidermoid carcinoma epithelial cell) cells labelling IFIT2 with ab305231 at 1/50 dilution (1ug) (Red) compared with a Rabbit monoclonal IgG (ab172730) (Black) isotype control and an unlabelled control (cells without incubation with primary antibody and secondary antibody) (Blue). A Goat Anti-Rabbit IgG (Alexa Fluor® 488, ab150081) at 1/2000 dilution was used as the secondary antibody.

Immunoprecipitation - Anti-IFIT2 antibody [EPR26404-119] (AB305231)
  • IP

Supplier Data

Immunoprecipitation - Anti-IFIT2 antibody [EPR26404-119] (AB305231)

IFIT2 was immunoprecipitated from 0.35 mg A431 (human epidermoid carcinoma epithelial cell) whole cell lysate 10 μg with ab305231 at 1/30 dilution (2μg in 0.35mg lysates). Western blot was performed on the immunoprecipitate using ab305231 at dilution. VeriBlot for IP secondary antibody(HRP)(ab131366) was used at 1/5000 dilution. Lane 1 : A431 (human epidermoid carcinoma epithelial cell) whole cell lysate 10 μg Lane 2 : ab305231 IP in A431 whole cell lysate Lane 3 : Rabbit monoclonal IgG (ab172730) instead of ab305231 in A431 whole cell lysate Blocking and dilution buffer and concentration : 5% NFDM/TBST. Exposure time : 3 minutes

All lanes:

Immunoprecipitation - Anti-IFIT2 antibody [EPR26404-119] (ab305231) at 1/30 dilution

All lanes:

A431 (human epidermoid carcinoma epithelial cell)

Secondary

All lanes:

Immunoprecipitation - VeriBlot for IP Detection Reagent (HRP) (<a href='/en-us/products/reagents/veriblot-for-ip-detection-reagent-hrp-ab131366'>ab131366</a>) at 1/5000 dilution

Observed band size: 55 kDa

false

Exposure time: 3min

Western blot - Anti-IFIT2 antibody [EPR26404-119] (AB305231)
  • WB

Supplier Data

Western blot - Anti-IFIT2 antibody [EPR26404-119] (AB305231)

Blocking and diluting buffer and concentration : 5% NFDM/TBST This antibody does not cross-react with human IFIT1, IFIT3, or IFIT4. Exposure time : 8 seconds

All lanes:

Western blot - Anti-IFIT2 antibody [EPR26404-119] (ab305231) at 1/1000 dilution

Lane 1:

HEK-293T transfected with human IFIT1 expression vector containi a myc-His-tag®, whole cell lysate at 40 µg

Lane 2:

HEK-293T transfected with human IFIT2 expression vector containi a myc-His-tag®, whole cell lysate at 20 µg

Lane 3:

HEK-293T transfected with human IFIT3 expression vector containi a myc-His-tag®, whole cell lysate 20 at 20 µg

Lane 4:

HEK-293T transfected with human IFIT4 expression vector containi a myc-His-tag®, whole cell lysate 20 at 20 µg

Secondary

All lanes:

Western blot - Goat Anti-Rabbit IgG H&L (HRP) (<a href='/en-us/products/secondary-antibodies/goat-rabbit-igg-h-l-hrp-ab97051'>ab97051</a>) at 1/100000 dilution

Observed band size: 55 kDa

false

Exposure time: 8s

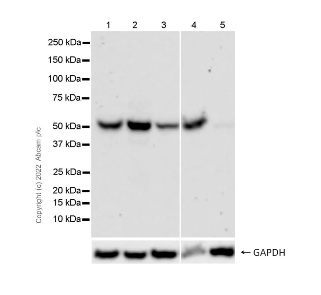
Western blot - Anti-IFIT2 antibody [EPR26404-119] (AB305231)
  • WB

Supplier Data

Western blot - Anti-IFIT2 antibody [EPR26404-119] (AB305231)

Blocking and diluting buffer and concentration : 5% NFDM/TBST Low expression : HCT116 (PMID : 29245969). Exposure time : 3 minutes

All lanes:

Western blot - Anti-IFIT2 antibody [EPR26404-119] (ab305231) at 1/1000 dilution

Lane 1:

Human liver tissue lysate at 20 µg

Lane 2:

Human lu tissue lysate at 20 µg

Lane 3:

Human kidney tissue lysate at 20 µg

Lane 4:

A431 (human epidermoid carcinoma epithelial cell), whole cell lysate at 20 µg

Lane 5:

HCT116 (human colorectal carcinoma epithelial cell), whole cell lysate at 20 µg

Secondary

All lanes:

Western blot - Goat Anti-Rabbit IgG H&L (HRP) (<a href='/en-us/products/secondary-antibodies/goat-rabbit-igg-h-l-hrp-ab97051'>ab97051</a>) at 1/100000 dilution

Observed band size: 55 kDa

false

Exposure time: 3min

  • Carrier free

    Anti-IFIT2 antibody [EPR26404-119] - BSA and Azide free

Key facts

Host species

Rabbit

Clonality

Monoclonal

Clone number

EPR26404-119

Isotype

IgG

Carrier free

No

Reacts with

Human

Applications

WB, Flow Cyt (Intra), IHC-P, IP

applications

Immunogen

The exact immunogen used to generate this antibody is proprietary information.

Reactivity data

{ "title": "Reactivity Data", "filters": { "stats": ["", "Species", "Dilution Info", "Notes"], "tabs": { "all-applications": {"fullname" : "All Applications", "shortname": "All Applications"}, "WB" : {"fullname" : "Western blot", "shortname":"WB"}, "IHCP" : {"fullname" : "Immunohistochemistry (Formalin/PFA-fixed paraffin-embedded sections)", "shortname":"IHC-P"}, "ICCIF" : {"fullname" : "Immunocytochemistry/ Immunofluorescence", "shortname":"ICC/IF"}, "FlowCytIntra" : {"fullname" : "Flow Cytometry (Intracellular)", "shortname":"Flow Cyt (Intra)"}, "IP" : {"fullname" : "Immunoprecipitation", "shortname":"IP"} }, "product-promise": { "all": "all", "testedAndGuaranteed": "tested", "guaranteed": "expected", "predicted": "predicted", "notRecommended": "not-recommended" } }, "values": { "Human": { "WB-species-checked": "testedAndGuaranteed", "WB-species-dilution-info": "1/1000", "WB-species-notes": "<p></p>", "IHCP-species-checked": "testedAndGuaranteed", "IHCP-species-dilution-info": "1/500", "IHCP-species-notes": "<p></p> Perform heat-mediated antigen retrieval with Tris/EDTA buffer pH 9.0 before commencing with IHC staining protocol.", "ICCIF-species-checked": "notRecommended", "ICCIF-species-dilution-info": "", "ICCIF-species-notes": "<p></p>", "FlowCytIntra-species-checked": "testedAndGuaranteed", "FlowCytIntra-species-dilution-info": "1/50", "FlowCytIntra-species-notes": "<p></p>", "IP-species-checked": "testedAndGuaranteed", "IP-species-dilution-info": "1/30", "IP-species-notes": "<p></p>" }, "Mouse": { "WB-species-checked": "notRecommended", "WB-species-dilution-info": "1/1000", "WB-species-notes": "<p></p>", "IHCP-species-checked": "notRecommended", "IHCP-species-dilution-info": "1/500", "IHCP-species-notes": "<p></p> Perform heat-mediated antigen retrieval with Tris/EDTA buffer pH 9.0 before commencing with IHC staining protocol.", "ICCIF-species-checked": "notRecommended", "ICCIF-species-dilution-info": "", "ICCIF-species-notes": "<p></p>", "FlowCytIntra-species-checked": "notRecommended", "FlowCytIntra-species-dilution-info": "", "FlowCytIntra-species-notes": "<p></p>", "IP-species-checked": "notRecommended", "IP-species-dilution-info": "", "IP-species-notes": "" }, "Rat": { "WB-species-checked": "notRecommended", "WB-species-dilution-info": "1/1000", "WB-species-notes": "<p></p>", "IHCP-species-checked": "notRecommended", "IHCP-species-dilution-info": "1/500", "IHCP-species-notes": "<p></p> Perform heat-mediated antigen retrieval with Tris/EDTA buffer pH 9.0 before commencing with IHC staining protocol.", "ICCIF-species-checked": "notRecommended", "ICCIF-species-dilution-info": "", "ICCIF-species-notes": "", "FlowCytIntra-species-checked": "notRecommended", "FlowCytIntra-species-dilution-info": "", "FlowCytIntra-species-notes": "", "IP-species-checked": "notRecommended", "IP-species-dilution-info": "", "IP-species-notes": "" } } }

Product details

Patented technology
Our RabMAb® technology is a patented hybridoma-based technology for making rabbit monoclonal antibodies. For details on our patents, please refer to RabMAb® patents.

What are the advantages of a recombinant monoclonal antibody?
This product is a recombinant monoclonal antibody, which offers several advantages including:

  • - High batch-to-batch consistency and reproducibility
  • - Improved sensitivity and specificity
  • - Long-term security of supply
  • - Animal-free batch production

For more information, read more on recombinant antibodies.

Properties and storage information

Form
Liquid
Purification technique
Affinity purification Protein A
Storage buffer
pH: 7.2 - 7.4 Preservative: 0.01% Sodium azide Constituents: PBS, 40% Glycerol (glycerin, glycerine), 0.05% BSA
Shipped at conditions
Blue Ice
Appropriate short-term storage duration
1-2 weeks
Appropriate short-term storage conditions
+4°C
Appropriate long-term storage conditions
-20°C
Aliquoting information
Upon delivery aliquot
Storage information
Avoid freeze / thaw cycle

Supplementary information

This supplementary information is collated from multiple sources and compiled automatically.

IFIT2 also known as Interferon-Induced Protein with Tetratricopeptide Repeats 2 functions as a critical player in antiviral defense mechanisms. This protein possesses a molecular mass of approximately 54 kDa. IFIT2 expression occurs mostly in cells that respond to type I interferons and during viral infections. The protein locates within the cytoplasm where it acts by recognizing non-self RNA aiding in the inhibition of viral replication.
Biological function summary

The protein exerts its influence by binding to RNA molecules lacking 2'-O-methylation a modification that is usually absent in viral RNA. IFIT2 works as both a solo entity and as part of a larger complex that includes other members like IFIT1 and IFIT3. The coordination among these proteins helps modulate the immune response influencing protein synthesis regulation in cells that are under viral attack.

Pathways

IFIT2 plays an essential role in the innate immune response particularly the interferon signaling pathway. It contributes to this pathway through its interactions with other proteins ensuring the rapid activation of antiviral states. Furthermore IFIT2 also connects to the toll-like receptor (TLR) signaling pathway playing a part in recognizing viral components. Through these pathways IFIT2 typically associates with proteins like TLR3 which facilitate detection and response to viral pathogens.

Chronic viral infections and certain types of cancer show a significant connection with IFIT2. In viral diseases reduced or impaired IFIT2 activity can lead to increased viral replication exacerbating the infection. This protein also gets involved in mechanisms affecting cancer progression often in connection with pathways involving the protein p53 a well-known tumor suppressor. The interaction between IFIT2 and these disease-related pathways highlights its potential as a target for therapeutic development.

Product protocols

For this product, it's our understanding that no specific protocols are required. You can visit:

Target data

IFN-induced antiviral protein which inhibits expression of viral messenger RNAs lacking 2'-O-methylation of the 5' cap. The ribose 2'-O-methylation would provide a molecular signature to distinguish between self and non-self mRNAs by the host during viral infection. Viruses evolved several ways to evade this restriction system such as encoding their own 2'-O-methylase for their mRNAs or by stealing host cap containing the 2'-O-methylation (cap snatching mechanism). Binds AU-rich viral RNAs, with or without 5' triphosphorylation, RNA-binding is required for antiviral activity. Can promote apoptosis.
See full target information IFIT2

Publications (1)

Recent publications for all applications. Explore the full list and refine your search

The Journal of biological chemistry 300:107783 PubMed39303913

2024

Downregulation of the mA reader YTHDC2 upregulates exosome content in lung adenocarcinoma via inhibiting IFIT and OAS family members.

Applications

Unspecified application

Species

Unspecified reactive species

Zhixin Yin,Lifang Ma,Xiaoting Tian,Qi Sun,Congcong Zhang,Yikun Wang,Yayou Miao,Xiangfei Xue,Yongjie Wang,Jiayi Wang,Xiao Zhang,Xumin Hou
View all publications

Product promise

We are committed to supporting your work with high-quality reagents, and we're here for you every step of the way. In the unlikely event that one of our products does not perform as expected, you're protected by our Product Promise.
For full details, please see our Terms & Conditions

Please note: All products are 'FOR RESEARCH USE ONLY. NOT FOR USE IN DIAGNOSTIC OR THERAPEUTIC PROCEDURES'.

For licensing inquiries, please contact partnerships@abcam.com