JavaScript is disabled in your browser. Please enable JavaScript to view this website.
AB204126

Anti-IFNAR2 antibody

Be the first to review this product! Submit a review

|

(1 Publication)

Rabbit Polyclonal Ifnar2 antibody. Suitable for IHC-P and reacts with Rat samples. Cited in 1 publication. Immunogen corresponding to Synthetic Peptide within Mouse Ifnar2 aa 150-250 conjugated to Keyhole Limpet Haemocyanin.

View Alternative Names

Human interferon alpha/beta receptor, IFN alpha REC, IFN-R-2, IFN-a/闁煎绁2, IFN-a/闁煎绁查柤, IFN-alpha binding protein, IFN-alpha/beta receptor 2, IFNABR, IFNAR2, IFNARB, IFNR, INAR2_HUMAN, Interferon (alpha beta and omega) receptor 2, Interferon alpha binding protein, Interferon alpha/beta receptor 2, Interferon alpha/beta receptor beta chain, Type I interferon receptor, Type I interferon receptor 2

3 Images
Immunohistochemistry (Formalin/PFA-fixed paraffin-embedded sections) - Anti-IFNAR2 antibody (AB204126)
  • IHC-P

Supplier Data

Immunohistochemistry (Formalin/PFA-fixed paraffin-embedded sections) - Anti-IFNAR2 antibody (AB204126)

Immunohistochemical analysis of formalin-fixed, paraffin-embedded rat testis tissue labeling IFNAR2 with ab204126 at 1/200 dilution followed by Goat Anti-Rabbit IgG, Cy3 conjugated secondary antibody at 1/200 dilution.

Immunohistochemistry (Formalin/PFA-fixed paraffin-embedded sections) - Anti-IFNAR2 antibody (AB204126)
  • IHC-P

Supplier Data

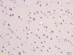
Immunohistochemistry (Formalin/PFA-fixed paraffin-embedded sections) - Anti-IFNAR2 antibody (AB204126)

Immunohistochemical analysis of formalin-fixed, paraffin-embedded rat brain tissue labeling IFNAR2 with ab204126 at 1/200 dilution followed by conjugation to the secondary antibody and DAB staining.

Immunohistochemistry (Formalin/PFA-fixed paraffin-embedded sections) - Anti-IFNAR2 antibody (AB204126)
  • IHC-P

Supplier Data

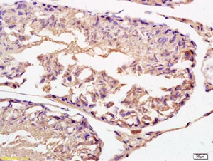
Immunohistochemistry (Formalin/PFA-fixed paraffin-embedded sections) - Anti-IFNAR2 antibody (AB204126)

Immunohistochemical analysis of formalin-fixed, paraffin-embedded rat testis tissue labeling IFNAR2 with ab204126 at 1/200 dilution followed by conjugation to the secondary antibody and DAB staining.

Key facts

Host species

Rabbit

Clonality

Polyclonal

Isotype

IgG

Carrier free

No

Reacts with

Rat

Applications

IHC-P

applications

Immunogen

Synthetic Peptide within Mouse Ifnar2 aa 150-250 conjugated to Keyhole Limpet Haemocyanin. The exact immunogen used to generate this antibody is proprietary information.

O35664

Reactivity data

{ "title": "Reactivity Data", "filters": { "stats": ["", "Species", "Dilution Info", "Notes"], "tabs": { "all-applications": {"fullname" : "All Applications", "shortname": "All Applications"}, "IHCP" : {"fullname" : "Immunohistochemistry (Formalin/PFA-fixed paraffin-embedded sections)", "shortname":"IHC-P"} }, "product-promise": { "all": "all", "testedAndGuaranteed": "tested", "guaranteed": "expected", "predicted": "predicted", "notRecommended": "not-recommended" } }, "values": { "Rat": { "IHCP-species-checked": "testedAndGuaranteed", "IHCP-species-dilution-info": "1/100 - 1/500", "IHCP-species-notes": "<p>When using a fluorescent probe the recommended dilution is 1/50 – 1/200.</p>" } } }

Properties and storage information

Form
Liquid
Purification technique
Affinity purification Protein A
Storage buffer
pH: 7.4 Preservative: 0.02% Proclin 300 Constituents: 50% Glycerol (glycerin, glycerine), 48.98% TBS, 1X, 1% BSA
Shipped at conditions
Blue Ice
Appropriate short-term storage duration
1-2 weeks
Appropriate short-term storage conditions
+4°C
Appropriate long-term storage conditions
-20°C
Aliquoting information
Upon delivery aliquot
Storage information
Avoid freeze / thaw cycle

Supplementary information

This supplementary information is collated from multiple sources and compiled automatically.

IFNAR2 also known as Interferon Alpha/Beta Receptor 2 is a critical part of the immune system. It pairs with IFNAR1 to form the receptor complex binding type I interferons such as IFN-alpha and IFN-beta. The IFNAR2 protein itself weighs roughly 60 kDa. You can find it expressed on the surface of almost all cell types making it a versatile participant in cellular immune responses. Cellular assays such as IFN-alpha ELISA often use IFNAR2 to quantify type I interferon activity and researchers frequently study it to understand its role in immune regulation.
Biological function summary

IFNAR2 plays a role in mediating the effects of type I interferons. It forms part of a receptor complex with IFNAR1 to initiate signal transduction upon binding to its ligands leading to activation of the JAK-STAT signaling pathway. This pathway then induces the expression of interferon-stimulated genes (ISGs) that promote antiviral defense cell growth control and modulation of the immune response. Without the function of IFNAR2 within this complex cells would be unable to respond appropriately to viral infections.

Pathways

IFNAR2 is widely recognized in its involvement with the JAK-STAT pathway. Through this pathway IFNAR2 interacts closely with various proteins like JAK1 and STAT1 propagating the signal that leads to the transcription of numerous ISGs. Another vital pathway involving IFNAR2 is the induction of cytokines which influences the adaptive immune response. Its position within these pathways illustrates its functional importance in antiviral defense and immune system regulation.

IFNAR2 has associations with multiple sclerosis and systemic lupus erythematosus. In multiple sclerosis type I interferon pathways mediated by IFNAR2 can modulate immune responses implicated in the progression of this neurodegenerative disorder. Increased IFNAR2 activity might exacerbate lupus characterized by improper immune system regulation. IFN-alpha a cytokine closely linked to IFNAR2 plays a pivotal role in these conditions highlighting its importance in disease development and potential therapeutic targeting.

Product protocols

For this product, it's our understanding that no specific protocols are required. You can visit:

Publications (1)

Recent publications for all applications. Explore the full list and refine your search

Immunity, inflammation and disease 10:e686 PubMed36039648

2022

Positive association of serum FUT8 activity with renal tubulointerstitial injury in IgA nephropathy patients.

Applications

Unspecified application

Species

Unspecified reactive species

Ning Yang,Long-Kai Li,Hui He,Xia-Nan Guo,Xue-Feng Yuan,Zhi-Tong Li,Wei-Dong Wang,Biao-Jie Qin,Xiang-Ning Du,Xu Zhang,Shu-Ni Chen,Hong-Li Lin
View all publications

Product promise

We are committed to supporting your work with high-quality reagents, and we're here for you every step of the way. In the unlikely event that one of our products does not perform as expected, you're protected by our Product Promise.
For full details, please see our Terms & Conditions

Please note: All products are 'FOR RESEARCH USE ONLY. NOT FOR USE IN DIAGNOSTIC OR THERAPEUTIC PROCEDURES'.

For licensing inquiries, please contact partnerships@abcam.com