JavaScript is disabled in your browser. Please enable JavaScript to view this website.
AB235520

Anti-IFRD2 antibody

Be the first to review this product! Submit a review

|

(1 Publication)

Rabbit Polyclonal IFRD2 antibody. Suitable for WB, IHC-P and reacts with Human samples. Cited in 1 publication. Immunogen corresponding to Recombinant Fragment Protein within Human IFRD2 aa 1-250.

View Alternative Names

Interferon-related developmental regulator 2, Protein SKMC15, IFRD2

2 Images
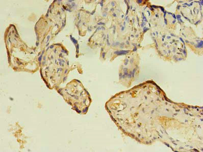
Immunohistochemistry (Formalin/PFA-fixed paraffin-embedded sections) - Anti-IFRD2 antibody (AB235520)
  • IHC-P

Supplier Data

Immunohistochemistry (Formalin/PFA-fixed paraffin-embedded sections) - Anti-IFRD2 antibody (AB235520)

Paraffin-embedded human placenta tissue stained for IFRD2 using ab235520 at 1/100 dilution in immunohistochemical analysis.

Western blot - Anti-IFRD2 antibody (AB235520)
  • WB

Supplier Data

Western blot - Anti-IFRD2 antibody (AB235520)

All lanes:

Western blot - Anti-IFRD2 antibody (ab235520) at 1/500 dilution

Lane 1:

HeLa (human epithelial cell line from cervix adenocarcinoma) whole cell lysate

Lane 2:

PC-3 (human prostate adenocarcinoma cell line) whole cell lysate

Secondary

All lanes:

Goat polyclonal to Rabbit IgG at 1/10000 dilution

Predicted band size: 55 kDa

false

Key facts

Host species

Rabbit

Clonality

Polyclonal

Isotype

IgG

Carrier free

No

Reacts with

Human

Applications

WB, IHC-P

applications

Immunogen

Recombinant Fragment Protein within Human IFRD2 aa 1-250. The exact immunogen used to generate this antibody is proprietary information.

Q12894

Reactivity data

{ "title": "Reactivity Data", "filters": { "stats": ["", "Species", "Dilution Info", "Notes"], "tabs": { "all-applications": {"fullname" : "All Applications", "shortname": "All Applications"}, "WB" : {"fullname" : "Western blot", "shortname":"WB"}, "IHCP" : {"fullname" : "Immunohistochemistry (Formalin/PFA-fixed paraffin-embedded sections)", "shortname":"IHC-P"} }, "product-promise": { "all": "all", "testedAndGuaranteed": "tested", "guaranteed": "expected", "predicted": "predicted", "notRecommended": "not-recommended" } }, "values": { "Human": { "WB-species-checked": "testedAndGuaranteed", "WB-species-dilution-info": "1/500 - 1/2000", "WB-species-notes": "<p></p>", "IHCP-species-checked": "testedAndGuaranteed", "IHCP-species-dilution-info": "1/20 - 1/200", "IHCP-species-notes": "<p></p>" } } }

Properties and storage information

Form
Liquid
Purification technique
Affinity purification Protein G
Purification notes
Purity >95%
Storage buffer
pH: 7.4 Preservative: 0.03% Proclin 300 Constituents: PBS, 50% Glycerol (glycerin, glycerine)
Shipped at conditions
Blue Ice
Appropriate short-term storage duration
1-2 weeks
Appropriate short-term storage conditions
+4°C
Appropriate long-term storage conditions
-20°C
Aliquoting information
Upon delivery aliquot
Storage information
Avoid freeze / thaw cycle

Supplementary information

This supplementary information is collated from multiple sources and compiled automatically.

IFRD2 also known as Interferon-Related Developmental Regulator 2 is a protein with a mass of approximately 35 kDa. This protein belongs to the IFRD family and is expressed in various tissues with higher levels observed in the brain and muscle tissues. It participates in transcription regulation and signal transduction. IFRD2's expression is modulated in response to different cytokines and growth factors indicating its involvement in cell signaling and development.
Biological function summary

IFRD2 influences cell differentiation and development by regulating gene expression. It forms part of a larger complex interacting with other proteins involved in transcriptional modulation. This protein plays a role in cellular responses to environmental changes and cellular growth. Its presence contributes to the fine-tuning of transcriptional machinery essential for proper cellular function.

Pathways

IFRD2 is involved in the cellular response to stress and developmental pathways. It participates in the interactions between nuclear factor kappa-light-chain-enhancer of activated B cells (NF-κB) and histone deacetylases (HDACs) important for inflammatory response regulation. IFRD2 affects these pathways by modulating the activity and interactions of proteins within these signaling networks.

IFRD2 exhibits connections to neurodegenerative diseases and muscle disorders. Alterations in IFRD2 expression have shown links to conditions such as Alzheimer's disease where it interacts with tau proteins affecting neurofibrillary tangle formation. In muscle disorders variations in IFRD2 levels correlate with muscle atrophy in association with proteins like myostatin influencing muscle mass and function. Its role in these conditions highlights its potential target for therapeutic intervention.

Product protocols

For this product, it's our understanding that no specific protocols are required. You can visit:

Target data

Ribosome-binding protein that acts as an inhibitor of mRNA translation by promoting ribosome inactivation (PubMed : 30355441). Associates with the P- and E-sites of the ribosome and inserts a C-terminal helix into the mRNA exit channel to preclude translation (By similarity).
See full target information IFRD2

Publications (1)

Recent publications for all applications. Explore the full list and refine your search

Cancer medicine 12:5035-5054 PubMed36205357

2022

Systemic analysis of the DNA replication regulator origin recognition complex in lung adenocarcinomas identifies prognostic and expression significance.

Applications

Unspecified application

Species

Unspecified reactive species

Min Tang,Juan Chen,Tian Zeng,Dong-Mei Ye,Yu-Kun Li,Juan Zou,Yu-Ping Zhang
View all publications

Product promise

We are committed to supporting your work with high-quality reagents, and we're here for you every step of the way. In the unlikely event that one of our products does not perform as expected, you're protected by our Product Promise.
For full details, please see our Terms & Conditions

Please note: All products are 'FOR RESEARCH USE ONLY. NOT FOR USE IN DIAGNOSTIC OR THERAPEUTIC PROCEDURES'.

For licensing inquiries, please contact partnerships@abcam.com