JavaScript is disabled in your browser. Please enable JavaScript to view this website.
AB121195

Anti-IFT43 antibody

Be the first to review this product! Submit a review

|

(2 Publications)

Rabbit Polyclonal IFT43 antibody. Suitable for IHC-P, WB, ICC/IF and reacts with Human samples. Cited in 2 publications. Immunogen corresponding to Recombinant Fragment Protein within Human IFT43 aa 100 to C-terminus.

View Alternative Names

C14orf179, IFT43, Intraflagellar transport protein 43 homolog

3 Images
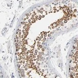
Immunohistochemistry (Formalin/PFA-fixed paraffin-embedded sections) - Anti-IFT43 antibody (AB121195)
  • IHC-P

Unknown

Immunohistochemistry (Formalin/PFA-fixed paraffin-embedded sections) - Anti-IFT43 antibody (AB121195)

ab121195 at 1/50 dilution staining IFT43 in Paraffin-embedded Human testis tissue by Immunohistochemistry.

Immunocytochemistry/ Immunofluorescence - Anti-IFT43 antibody (AB121195)
  • ICC/IF

Unknown

Immunocytochemistry/ Immunofluorescence - Anti-IFT43 antibody (AB121195)

Immunofluorescent staining of Human cell line U-251MG shows positivity in cytoskeleton. Recommended concentration of ab121195 1-4 µg/ml. Cells treated with PFA/Triton X-100.

Western blot - Anti-IFT43 antibody (AB121195)
  • WB

Unknown

Western blot - Anti-IFT43 antibody (AB121195)

All lanes:

Western blot - Anti-IFT43 antibody (ab121195) at 1/250 dilution

Lane 1:

Vector only transfected HEK293T lysate

Lane 2:

IFT43-transfected HEK293T lysate (Co-expressed with a C-terminal myc-DDK tag ~3.1 kDa)

Predicted band size: 24 kDa

true

Key facts

Host species

Rabbit

Clonality

Polyclonal

Isotype

IgG

Carrier free

No

Reacts with

Human

Applications

IHC-P, ICC/IF, WB

applications

Immunogen

Recombinant Fragment Protein within Human IFT43 aa 100 to C-terminus. The exact immunogen used to generate this antibody is proprietary information.

Q96FT9

Reactivity data

{ "title": "Reactivity Data", "filters": { "stats": ["", "Species", "Dilution Info", "Notes"], "tabs": { "all-applications": {"fullname" : "All Applications", "shortname": "All Applications"}, "IHCP" : {"fullname" : "Immunohistochemistry (Formalin/PFA-fixed paraffin-embedded sections)", "shortname":"IHC-P"}, "WB" : {"fullname" : "Western blot", "shortname":"WB"}, "ICCIF" : {"fullname" : "Immunocytochemistry/ Immunofluorescence", "shortname":"ICC/IF"} }, "product-promise": { "all": "all", "testedAndGuaranteed": "tested", "guaranteed": "expected", "predicted": "predicted", "notRecommended": "not-recommended" } }, "values": { "Human": { "IHCP-species-checked": "testedAndGuaranteed", "IHCP-species-dilution-info": "1/50 - 1/200", "IHCP-species-notes": "<p></p> Perform heat-mediated antigen retrieval with citrate buffer pH 6 before commencing with IHC staining protocol.", "WB-species-checked": "testedAndGuaranteed", "WB-species-dilution-info": "0.04-0.4 µg/mL", "WB-species-notes": "<p></p>", "ICCIF-species-checked": "testedAndGuaranteed", "ICCIF-species-dilution-info": "0.25-2 µg/mL", "ICCIF-species-notes": "<p></p>" } } }

Properties and storage information

Form
Liquid
Purification technique
Affinity purification Immunogen
Storage buffer
pH: 7.2 Preservative: 0.02% Sodium azide Constituents: PBS, 40% Glycerol (glycerin, glycerine)
Shipped at conditions
Blue Ice
Appropriate short-term storage conditions
+4°C
Appropriate long-term storage conditions
-20°C
Aliquoting information
Upon delivery aliquot
Storage information
Avoid freeze / thaw cycle

Supplementary information

This supplementary information is collated from multiple sources and compiled automatically.

IFT43 also known as Intraflagellar Transport 43 plays a significant role at a mechanical level in cellular processes. It is part of the intraflagellar transport (IFT) complex B essential for the movement of protein cargo along ciliary and flagellar axonemes. IFT43 has a molecular mass of approximately 43 kDa. This protein is expressed in various tissues particularly in cells possessing cilia such as those found in the kidney and respiratory tract. It directly contributes to the assembly and maintenance of the cilia structure by mediating the transport of necessary components.
Biological function summary

IFT43 functions as an important component of the IFT-B complex facilitating the bidirectional movement of proteins within the cilia. This protein ensures proper ciliary assembly and disassembly affecting overall cilia function. By participating in the IFT-B complex IFT43 directly influences ciliogenesis which is fundamental for the correct signaling and sensory activities of cells. Dysfunction in this context can significantly impact cellular signaling and fluid movement across epithelial surfaces.

Pathways

IFT43 engages prominently within the ciliary assembly pathway and the Hedgehog signaling pathway. Within these pathways IFT43 partners with other IFT-B complex proteins such as IFT88 and IFT52 to maintain ciliary integrity and function. Through these interactions it affects processes ranging from embryonic development to tissue homeostasis. Any disruption in these pathways can lead to significant developmental abnormalities and homeostatic imbalance.

IFT43 has associations with conditions such as Bardet-Biedl syndrome and Joubert syndrome. In these disorders defects in IFT43 disrupt normal ciliary function leading to a range of symptoms including developmental delay and issues with organ function. Additionally IFT43 interactions with proteins like IFT172 contribute to the pathology of these conditions emphasizing the protein's critical role in maintaining ciliary health and function.

Product protocols

For this product, it's our understanding that no specific protocols are required. You can visit:

Target data

As a component of IFT complex A (IFT-A), a complex required for retrograde ciliary transport and entry into cilia of G protein-coupled receptors (GPCRs), it is involved in ciliogenesis (PubMed : 28400947, PubMed : 28973684). Involved in retrograde ciliary transport along microtubules from the ciliary tip to the base (PubMed : 21378380).
See full target information IFT43

Publications (2)

Recent publications for all applications. Explore the full list and refine your search

BMC cancer 25:1512 PubMed41053731

2025

NFKBIE as a prognostic biomarker and therapeutic target for GBM: role in Hedgehog signaling activation.

Applications

Unspecified application

Species

Unspecified reactive species

Feng Mo,Yang Li,Ce Dong,Lijun Yang,Xiaoli Ma,Baogen Pan,Zhenzeng Fan

BioMed research international 2022:6532253 PubMed35968244

2022

LTBP2 Knockdown Promotes Ferroptosis in Gastric Cancer Cells through p62-Keap1-Nrf2 Pathway.

Applications

Unspecified application

Species

Unspecified reactive species

TingAn Wang,ZiHan Zhou,ChunMiao Wang,YuZhou Qin,Liucheng Wu,BangLi Hu,QinWen Jin,WeiYuan Wei,MingWei Huang
View all publications

Product promise

We are committed to supporting your work with high-quality reagents, and we're here for you every step of the way. In the unlikely event that one of our products does not perform as expected, you're protected by our Product Promise.
For full details, please see our Terms & Conditions

Please note: All products are 'FOR RESEARCH USE ONLY. NOT FOR USE IN DIAGNOSTIC OR THERAPEUTIC PROCEDURES'.

For licensing inquiries, please contact partnerships@abcam.com