JavaScript is disabled in your browser. Please enable JavaScript to view this website.
AB122422

Anti-IFT46 antibody

Be the first to review this product! Submit a review

|

(6 Publications)

Rabbit Polyclonal IFT46 antibody. Suitable for IHC-P, ICC/IF and reacts with Human samples. Cited in 6 publications. Immunogen corresponding to Recombinant Fragment Protein within Human IFT46 aa 1-150.

View Alternative Names

C11orf2, C11orf60, IFT46, Intraflagellar transport protein 46 homolog

2 Images
Immunocytochemistry/ Immunofluorescence - Anti-IFT46 antibody (AB122422)
  • ICC/IF

Unknown

Immunocytochemistry/ Immunofluorescence - Anti-IFT46 antibody (AB122422)

Immunofluorescent staining of Human cell line U-251 MG shows positivity in cytoplasm. Recommended concentration of ab122422 1-4 µg/ml. Cells treated with PFA/Triton X-100.

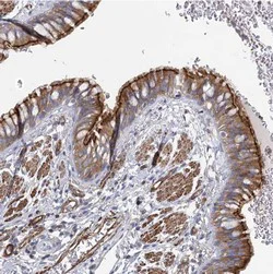
Immunohistochemistry (Formalin/PFA-fixed paraffin-embedded sections) - Anti-IFT46 antibody (AB122422)
  • IHC-P

Unknown

Immunohistochemistry (Formalin/PFA-fixed paraffin-embedded sections) - Anti-IFT46 antibody (AB122422)

ab122422 at 1/1000 dilution staining IFT46 in Paraffin-embedded Human bronchus tissue by Immunohistochemistry.

Key facts

Host species

Rabbit

Clonality

Polyclonal

Isotype

IgG

Carrier free

No

Reacts with

Human

Applications

IHC-P, ICC/IF

applications

Immunogen

Recombinant Fragment Protein within Human IFT46 aa 1-150. The exact immunogen used to generate this antibody is proprietary information.

Q9NQC8

Reactivity data

{ "title": "Reactivity Data", "filters": { "stats": ["", "Species", "Dilution Info", "Notes"], "tabs": { "all-applications": {"fullname" : "All Applications", "shortname": "All Applications"}, "IHCP" : {"fullname" : "Immunohistochemistry (Formalin/PFA-fixed paraffin-embedded sections)", "shortname":"IHC-P"}, "ICCIF" : {"fullname" : "Immunocytochemistry/ Immunofluorescence", "shortname":"ICC/IF"} }, "product-promise": { "all": "all", "testedAndGuaranteed": "tested", "guaranteed": "expected", "predicted": "predicted", "notRecommended": "not-recommended" } }, "values": { "Human": { "IHCP-species-checked": "testedAndGuaranteed", "IHCP-species-dilution-info": "1/500 - 1/1000", "IHCP-species-notes": "<p></p> Perform heat-mediated antigen retrieval with citrate buffer pH 6 before commencing with IHC staining protocol.", "ICCIF-species-checked": "testedAndGuaranteed", "ICCIF-species-dilution-info": "1-4 µg/mL", "ICCIF-species-notes": "<p>Recommend PFA Fixation and Triton X-100 treatment</p>" } } }

Properties and storage information

Form
Liquid
Purification technique
Affinity purification Immunogen
Storage buffer
pH: 7.2 Preservative: 0.02% Sodium azide Constituents: PBS, 40% Glycerol (glycerin, glycerine)
Shipped at conditions
Blue Ice
Appropriate short-term storage conditions
+4°C
Appropriate long-term storage conditions
-20°C
Aliquoting information
Upon delivery aliquot
Storage information
Avoid freeze / thaw cycle

Supplementary information

This supplementary information is collated from multiple sources and compiled automatically.

IFT46 also known as Intraflagellar Transport 46 is a component of the intraflagellar transport (IFT) complex B. It plays a mechanical role in the assembly and maintenance of cilia and flagella by transporting cargo along the axonemal microtubules. IFT46 has a molecular mass of approximately 41 kDa. This protein is generally expressed in cells possessing cilia or flagella such as those in the respiratory tract and reproductive system.
Biological function summary

IFT46 interacts with other IFT complex B proteins to facilitate efficient transport within cilia and flagella. It acts as a linker that binds both the IFT-B complex and cargo ensuring proper docking and transport. IFT46 forms part of a complex that includes proteins like IFT52 and IFT88 which are integral for the regular functioning of ciliary transport.

Pathways

IFT46 participates in the intraflagellar transport pathway that is essential for cilia formation and maintenance. IFT46 operates in conjunction with proteins such as IFT52 and IFT81 which are also part of the IFT-B complex within this pathway. This pathway is important for the Hedgehog signaling pathway closely tied to developmental signaling and cellular homeostasis.

IFT46 mutations or malfunctions have been linked to ciliopathies such as Joubert syndrome and Bardet-Biedl syndrome. These disorders arise from defective ciliary function. In the context of Joubert syndrome IFT proteins like IFT88 and IFT172 may also be involved indicating shared molecular pathways and potential shared therapeutic targets.

Product protocols

For this product, it's our understanding that no specific protocols are required. You can visit:

Target data

Forms part of a complex involved in intraflagellar transport (IFT), the bi-directional movement of particles required for the assembly, maintenance and functioning of primary cilia. May play a role in chondrocyte maturation and skeletogenesis (By similarity).
See full target information IFT46

Publications (6)

Recent publications for all applications. Explore the full list and refine your search

Scientific reports 15:2127 PubMed39820844

2025

Loss of Kat2b impairs intraflagellar transport and the Hedgehog signaling pathway in primary cilia.

Applications

Unspecified application

Species

Unspecified reactive species

Jae Hee Jun,Hwayeon Cha,Je Yeong Ko,Ho-Shik Kim,Kyung Hyun Yoo,Jong Hoon Park

Journal of the American Society of Nephrology : JASN 33:1726-1741 PubMed35961787

2022

KLC3 Regulates Ciliary Trafficking and Cyst Progression in CILK1 Deficiency-Related Polycystic Kidney Disease.

Applications

Unspecified application

Species

Unspecified reactive species

Gyuyeong Rah,Hwayeon Cha,Joohee Kim,Jieun Song,Hyunho Kim,Yun Kyu Oh,Curie Ahn,Minyong Kang,Jongmin Kim,Kyung Hyun Yoo,Min Jung Kim,Hyuk Wan Ko,Je Yeong Ko,Jong Hoon Park

Hepatology (Baltimore, Md.) 71:2067-2079 PubMed31595528

2020

Biallelic Mutations in Tetratricopeptide Repeat Domain 26 (Intraflagellar Transport 56) Cause Severe Biliary Ciliopathy in Humans.

Applications

Unspecified application

Species

Unspecified reactive species

Ranad Shaheen,Saud Alsahli,Nour Ewida,Fatema Alzahrani,Hanan E Shamseldin,Nisha Patel,Awad Al Qahtani,Homoud Alhebbi,Amal Alhashem,Tarfa Al-Sheddi,Rana Alomar,Eman Alobeid,Mohamed Abouelhoda,Dorota Monies,Abdulrahman Al-Hussaini,Muneerah A Alzouman,Mohammad Shagrani,Eissa Faqeih,Fowzan S Alkuraya

American journal of human genetics 104:731-737 PubMed30905400

2019

Bi-allelic Mutations in FAM149B1 Cause Abnormal Primary Cilium and a Range of Ciliopathy Phenotypes in Humans.

Applications

Unspecified application

Species

Unspecified reactive species

Ranad Shaheen,Nan Jiang,Fatema Alzahrani,Nour Ewida,Tarfa Al-Sheddi,Eman Alobeid,Damir Musaev,Valentina Stanley,Mais Hashem,Niema Ibrahim,Firdous Abdulwahab,Abduljabbar Alshenqiti,Fatma Mujgan Sonmez,Nadia Saqati,Hamad Alzaidan,Mohammad M Al-Qattan,Futwan Al-Mohanna,Joseph G Gleeson,Fowzan S Alkuraya

Molecular and cellular biology 37: PubMed27956704

2017

Tgif1 and Tgif2 Repress Expression of the RabGAP Evi5l.

Applications

Unspecified application

Species

Unspecified reactive species

Anoush E Anderson,Kenichiro Taniguchi,Yi Hao,Tiffany A Melhuish,Anant Shah,Stephen D Turner,Ann E Sutherland,David Wotton

Genes to cells : devoted to molecular & cellular mechanisms 21:728-39 PubMed27353389

2016

Transport of the outer dynein arm complex to cilia requires a cytoplasmic protein Lrrc6.

Applications

Unspecified application

Species

Unspecified reactive species

Yasuko Inaba,Kyosuke Shinohara,Yanick Botilde,Ryo Nabeshima,Katsuyoshi Takaoka,Rieko Ajima,Lynda Lamri,Hiroyuki Takeda,Yumiko Saga,Tetsuya Nakamura,Hiroshi Hamada
View all publications

Product promise

We are committed to supporting your work with high-quality reagents, and we're here for you every step of the way. In the unlikely event that one of our products does not perform as expected, you're protected by our Product Promise.
For full details, please see our Terms & Conditions

Please note: All products are 'FOR RESEARCH USE ONLY. NOT FOR USE IN DIAGNOSTIC OR THERAPEUTIC PROCEDURES'.

For licensing inquiries, please contact partnerships@abcam.com