JavaScript is disabled in your browser. Please enable JavaScript to view this website.
AB223036

Anti-IFT46 antibody

Be the first to review this product! Submit a review

|

(3 Publications)

Rabbit Polyclonal IFT46 antibody. Suitable for WB, IHC-P and reacts with Mouse, Human samples. Cited in 3 publications. Immunogen corresponding to Recombinant Full Length Protein corresponding to Human IFT46.

View Alternative Names

C11orf2, C11orf60, IFT46, Intraflagellar transport protein 46 homolog

3 Images
Immunohistochemistry (Formalin/PFA-fixed paraffin-embedded sections) - Anti-IFT46 antibody (AB223036)
  • IHC-P

Supplier Data

Immunohistochemistry (Formalin/PFA-fixed paraffin-embedded sections) - Anti-IFT46 antibody (AB223036)

Paraffin-embedded human liver tissue stained for IFT46 using ab223036 at 1/100 dilution in immunohistochemical analysis.

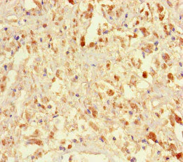
Immunohistochemistry (Formalin/PFA-fixed paraffin-embedded sections) - Anti-IFT46 antibody (AB223036)
  • IHC-P

Supplier Data

Immunohistochemistry (Formalin/PFA-fixed paraffin-embedded sections) - Anti-IFT46 antibody (AB223036)

Paraffin-embedded human melanoma cancer tissue stained for IFT46 using ab223036 at 1/100 dilution in immunohistochemical analysis.

Western blot - Anti-IFT46 antibody (AB223036)
  • WB

Supplier Data

Western blot - Anti-IFT46 antibody (AB223036)

All lanes:

Western blot - Anti-IFT46 antibody (ab223036) at 1/1000 dilution

All lanes:

Mouse skeletal muscle tissue lysate

Secondary

All lanes:

Goat Anti-Rabbit IgG at 1/10000 dilution

Predicted band size: 34 kDa

Observed band size: 34 kDa

false

Key facts

Host species

Rabbit

Clonality

Polyclonal

Isotype

IgG

Carrier free

No

Reacts with

Mouse, Human

Applications

WB, IHC-P

applications

Immunogen

Recombinant Full Length Protein corresponding to Human IFT46.

Q9NQC8

Reactivity data

{ "title": "Reactivity Data", "filters": { "stats": ["", "Species", "Dilution Info", "Notes"], "tabs": { "all-applications": {"fullname" : "All Applications", "shortname": "All Applications"}, "WB" : {"fullname" : "Western blot", "shortname":"WB"}, "IHCP" : {"fullname" : "Immunohistochemistry (Formalin/PFA-fixed paraffin-embedded sections)", "shortname":"IHC-P"} }, "product-promise": { "all": "all", "testedAndGuaranteed": "tested", "guaranteed": "expected", "predicted": "predicted", "notRecommended": "not-recommended" } }, "values": { "Human": { "WB-species-checked": "guaranteed", "WB-species-dilution-info": "", "WB-species-notes": "", "IHCP-species-checked": "testedAndGuaranteed", "IHCP-species-dilution-info": "1/20 - 1/200", "IHCP-species-notes": "<p></p>" }, "Mouse": { "WB-species-checked": "testedAndGuaranteed", "WB-species-dilution-info": "1/1000 - 1/5000", "WB-species-notes": "<p></p>", "IHCP-species-checked": "guaranteed", "IHCP-species-dilution-info": "", "IHCP-species-notes": "" } } }

Properties and storage information

Form
Liquid
Purification technique
Affinity purification Protein G
Purification notes
Purity >95%
Storage buffer
pH: 7.4 Preservative: 0.03% Proclin 300 Constituents: PBS, 50% Glycerol (glycerin, glycerine)
Shipped at conditions
Blue Ice
Appropriate short-term storage duration
1-2 weeks
Appropriate short-term storage conditions
+4°C
Appropriate long-term storage conditions
-20°C
Aliquoting information
Upon delivery aliquot
Storage information
Avoid freeze / thaw cycle

Supplementary information

This supplementary information is collated from multiple sources and compiled automatically.

IFT46 also known as Intraflagellar Transport 46 is a component of the intraflagellar transport (IFT) complex B. It plays a mechanical role in the assembly and maintenance of cilia and flagella by transporting cargo along the axonemal microtubules. IFT46 has a molecular mass of approximately 41 kDa. This protein is generally expressed in cells possessing cilia or flagella such as those in the respiratory tract and reproductive system.
Biological function summary

IFT46 interacts with other IFT complex B proteins to facilitate efficient transport within cilia and flagella. It acts as a linker that binds both the IFT-B complex and cargo ensuring proper docking and transport. IFT46 forms part of a complex that includes proteins like IFT52 and IFT88 which are integral for the regular functioning of ciliary transport.

Pathways

IFT46 participates in the intraflagellar transport pathway that is essential for cilia formation and maintenance. IFT46 operates in conjunction with proteins such as IFT52 and IFT81 which are also part of the IFT-B complex within this pathway. This pathway is important for the Hedgehog signaling pathway closely tied to developmental signaling and cellular homeostasis.

IFT46 mutations or malfunctions have been linked to ciliopathies such as Joubert syndrome and Bardet-Biedl syndrome. These disorders arise from defective ciliary function. In the context of Joubert syndrome IFT proteins like IFT88 and IFT172 may also be involved indicating shared molecular pathways and potential shared therapeutic targets.

Product protocols

For this product, it's our understanding that no specific protocols are required. You can visit:

Target data

Forms part of a complex involved in intraflagellar transport (IFT), the bi-directional movement of particles required for the assembly, maintenance and functioning of primary cilia. May play a role in chondrocyte maturation and skeletogenesis (By similarity).
See full target information IFT46

Publications (3)

Recent publications for all applications. Explore the full list and refine your search

American journal of physiology. Lung cellular and molecular physiology 324:L325-L334 PubMed36719084

2023

Hyperoxia impairs intraflagellar transport and causes dysregulated metabolism with resultant decreased cilia length.

Applications

Unspecified application

Species

Unspecified reactive species

Daniella Teape,Abigail Peterson,Nagib Ahsan,Kimberlyn Ellis,Nicholas Correia,Ryan Luo,Katy Hegarty,Hongwei Yao,Phyllis Dennery

Computational and structural biotechnology journal 19:2775-2789 PubMed34093992

2021

Employing hypoxia characterization to predict tumour immune microenvironment, treatment sensitivity and prognosis in hepatocellular carcinoma.

Applications

Unspecified application

Species

Unspecified reactive species

Fanhong Zeng,Yue Zhang,Xu Han,Min Zeng,Yi Gao,Jun Weng

Genes to cells : devoted to molecular & cellular mechanisms 24:731-745 PubMed31554018

2019

Ciliogenesis-coupled accumulation of IFT-B proteins in a novel cytoplasmic compartment.

Applications

Unspecified application

Species

Unspecified reactive species

Lynda Lamri,Wang Kyaw Twan,Takanobu A Katoh,Yanick Botilde,Katsuyoshi Takaoka,Yayoi Ikawa,Hiromi Nishimura,Akemi Fukumoto,Katsura Minegishi,Katsutoshi Mizuno,Hiroshi Hamada
View all publications

Product promise

We are committed to supporting your work with high-quality reagents, and we're here for you every step of the way. In the unlikely event that one of our products does not perform as expected, you're protected by our Product Promise.
For full details, please see our Terms & Conditions

Please note: All products are 'FOR RESEARCH USE ONLY. NOT FOR USE IN DIAGNOSTIC OR THERAPEUTIC PROCEDURES'.

For licensing inquiries, please contact partnerships@abcam.com