JavaScript is disabled in your browser. Please enable JavaScript to view this website.
AB17921

Anti-IgA Secretory Component antibody [SPM217]

Be the first to review this product! Submit a review

|

(2 Publications)

Mouse Monoclonal IgA Secretory Component antibody. Suitable for IHC-P and reacts with Human samples. Cited in 2 publications.
1 Images
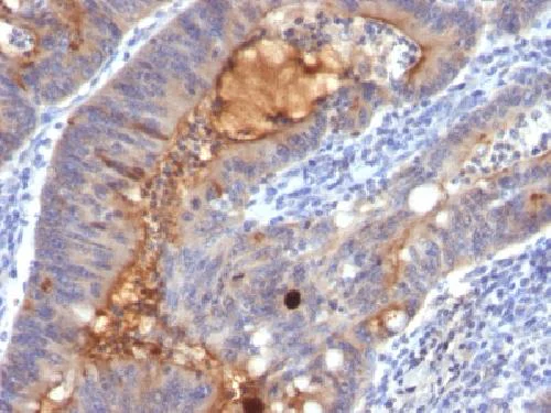
Immunohistochemistry (Formalin/PFA-fixed paraffin-embedded sections) - Anti-IgA Secretory Component antibody [SPM217] (AB17921)
  • IHC-P

Supplier Data

Immunohistochemistry (Formalin/PFA-fixed paraffin-embedded sections) - Anti-IgA Secretory Component antibody [SPM217] (AB17921)

Immunohistochemical analysis of formalin fixed, paraffin embedded Human colon carcinoma tissue labeling IgA Secretory Component with ab17921 at 1 µg/ml.

Key facts

Host species

Mouse

Clonality

Monoclonal

Clone number

SPM217

Isotype

IgG1

Light chain type

kappa

Carrier free

No

Reacts with

Human

Applications

IHC-P

applications

Epitope

Not determined

Reactivity data

{ "title": "Reactivity Data", "filters": { "stats": ["", "Species", "Dilution Info", "Notes"], "tabs": { "all-applications": {"fullname" : "All Applications", "shortname": "All Applications"}, "IHCP" : {"fullname" : "Immunohistochemistry (Formalin/PFA-fixed paraffin-embedded sections)", "shortname":"IHC-P"} }, "product-promise": { "all": "all", "testedAndGuaranteed": "tested", "guaranteed": "expected", "predicted": "predicted", "notRecommended": "not-recommended" } }, "values": { "Human": { "IHCP-species-checked": "testedAndGuaranteed", "IHCP-species-dilution-info": "1/50", "IHCP-species-notes": "<p></p> Perform enzymatic antigen retrieval before commencing with IHC staining protocol." }, "Rat": { "IHCP-species-checked": "predicted", "IHCP-species-dilution-info": "", "IHCP-species-notes": "" } } }

Properties and storage information

Form
Liquid
Purification technique
Affinity purification Protein G
Storage buffer
pH: 7.2 - 7.4 Preservative: 0.09% Sodium azide Constituents: BSA, 0.0268% PBS
Shipped at conditions
Blue Ice
Appropriate short-term storage conditions
+4°C
Appropriate long-term storage conditions
-20°C
Aliquoting information
Upon delivery aliquot
Storage information
Avoid freeze / thaw cycle

Supplementary information

This supplementary information is collated from multiple sources and compiled automatically.

The IgA Secretory Component often referred to as IgA SC or Anti-Secretory is an important segment of the polymeric immunoglobulin receptor (pIgR) with a mass around 83 kDa. It is primarily expressed on epithelial cells where it plays a role in mucosal immunity. This component facilitates the transcytosis of polymeric IgA antibodies across epithelial layers and plays an important role in the secretion of IgA into mucosal networks. Due to its mechanism of action the Secretory Component ensures that IgA antibodies reach the mucosal surface where they help in neutralizing pathogens and toxins.
Biological function summary

The IgA Secretory Component is essential in forming a complex with polymeric IgA to create Secretory IgA (SIgA). This complex is integral to mucosal surfaces such as the respiratory gastrointestinal and urogenital tracts providing a defense mechanism against environmental pathogens. The association between IgA SC and polymeric IgA confers stability and protection to the IgA dimers from proteolytic enzymes ensuring their functional role in local immunological responses at mucosal sites.

Pathways

IgA Secretory Component is involved in pathways for mucosal immunity and IgA antibody transport. It interacts with proteins related to the immune response including J-chain which binds to the polymeric IgA facilitating its binding to the pIgR. This interaction denotes a critical step in the active transport and subsequent secretion of SIgA at epithelial surfaces which are vital in immunological defense mechanisms.

IgA Secretory Component is linked to conditions such as selective IgA deficiency and inflammatory bowel disease (IBD). In selective IgA deficiency where there is a lack or reduced levels of IgA dysfunction in IgA SC may disrupt mucosal immunity. In inflammatory bowel disease improper regulation or expression of the IgA SC plays a role impacting the protective SIgA along the gut mucosa. Such conditions show connections to other proteins within the immune system like cytokines that influence inflammatory responses and immune regulation at the mucosal barriers.

Product protocols

For this product, it's our understanding that no specific protocols are required. You can visit:

Publications (2)

Recent publications for all applications. Explore the full list and refine your search

Gut microbes 14:2143220 PubMed36369946

2022

Kidney microbiota dysbiosis contributes to the development of hypertension.

Applications

Unspecified application

Species

Unspecified reactive species

Xin-Yu Liu,Jing Li,Yamei Zhang,Luyun Fan,Yanli Xia,Yongyang Wu,Junru Chen,Xinyu Zhao,Qiannan Gao,Bing Xu,Chunlai Nie,Zhengyu Li,Aiping Tong,Wenjie Wang,Jun Cai

Respiratory research 23:200 PubMed35922811

2022

Decreased humoral immune response in the bronchi of rapid decliners with chronic obstructive pulmonary disease.

Applications

Unspecified application

Species

Unspecified reactive species

Antonino Di Stefano,Francesca Dossena,Isabella Gnemmi,Silvestro Ennio D'Anna,Paola Brun,Bruno Balbi,Alessio Piraino,Antonio Spanevello,Francesco Nucera,Vitina Carriero,Francesca Bertolini,Mauro Maniscalco,Ian M Adcock,Gaetano Caramori,Fabio L M Ricciardolo
View all publications

Product promise

We are committed to supporting your work with high-quality reagents, and we're here for you every step of the way. In the unlikely event that one of our products does not perform as expected, you're protected by our Product Promise.
For full details, please see our Terms & Conditions

Please note: All products are 'FOR RESEARCH USE ONLY. NOT FOR USE IN DIAGNOSTIC OR THERAPEUTIC PROCEDURES'.

For licensing inquiries, please contact partnerships@abcam.com