JavaScript is disabled in your browser. Please enable JavaScript to view this website.
AB124795

Anti-IgD antibody [EPR6146]

Be the first to review this product! Submit a review

|

(5 Publications)

Rabbit Recombinant Monoclonal IgD antibody. Suitable for WB, IHC-P and reacts with Human samples. Cited in 5 publications.

View Alternative Names

Ig delta chain C region, Immunoglobulin heavy constant delta

6 Images
Immunohistochemistry (Formalin/PFA-fixed paraffin-embedded sections) - Anti-IgD antibody [EPR6146] (AB124795)
  • IHC-P

Unknown

Immunohistochemistry (Formalin/PFA-fixed paraffin-embedded sections) - Anti-IgD antibody [EPR6146] (AB124795)

Immunohistochemistry (Formalin/PFA-fixed paraffin-embedded sections) analysis of Human tonsil tissue sections labeling IgD with purified ab124795 at 1/3500 dilution (0.49 μg/ml). Heat mediated antigen retrieval was performed using ab93684 (Tris/EDTA buffer, pH 9.0). ImmunoHistoProbe one step HRP Polymer (ready to use) was used as the secondary antibody. Negative control : PBS instead of the primary antibody. Hematoxylin was used as a counterstain.

Immunohistochemistry (Formalin/PFA-fixed paraffin-embedded sections) - Anti-IgD antibody [EPR6146] (AB124795)
  • IHC-P

Unknown

Immunohistochemistry (Formalin/PFA-fixed paraffin-embedded sections) - Anti-IgD antibody [EPR6146] (AB124795)

ab124795, at a 1/1000 dilution, staining IgD in paraffin embedded Human tonsil tissue by Immunohistochemistry. Perform heat mediated antigen retrieval with Tris/EDTA buffer pH 9.0 before commencing with IHC staining protocol.

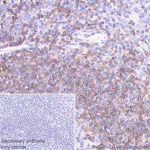
Immunohistochemistry (Formalin/PFA-fixed paraffin-embedded sections) - Anti-IgD antibody [EPR6146] (AB124795)
  • IHC-P

Unknown

Immunohistochemistry (Formalin/PFA-fixed paraffin-embedded sections) - Anti-IgD antibody [EPR6146] (AB124795)

ab124795, at a 1/1000 dilution, staining IgD in paraffin embedded Human tonsil tissue by Immunohistochemistry.

Perform heat mediated antigen retrieval with Tris/EDTA buffer pH 9.0 before commencing with IHC staining protocol.

Western blot - Anti-IgD antibody [EPR6146] (AB124795)
  • WB

Unknown

Western blot - Anti-IgD antibody [EPR6146] (AB124795)

All lanes:

Western blot - Anti-IgD antibody [EPR6146] (ab124795) at 1/1000 dilution

All lanes:

Human tonsil lysate at 10 µg

Secondary

All lanes:

HRP labelled goat anti-rabbit at 1/2000 dilution

Predicted band size: 47 kDa

false

Western blot - Anti-IgD antibody [EPR6146] (AB124795)
  • WB

Lab

Western blot - Anti-IgD antibody [EPR6146] (AB124795)

All lanes:

Western blot - Anti-IgD antibody [EPR6146] (ab124795) at 1/1000 dilution

All lanes:

Human plasma lysates at 15 µg

Secondary

All lanes:

Goat Anti-Rabbit IgG (HRP) with minimal cross-reactivity with human IgG at 1/2000 dilution

Predicted band size: 47 kDa

Observed band size: 75 kDa

false

OI-RD Scanning - Anti-IgD antibody [EPR6146] (AB124795)
  • OI-RD Scanning

Unknown

OI-RD Scanning - Anti-IgD antibody [EPR6146] (AB124795)

We have systematically measured KD (the equilibrium dissociation constant between the antibody and its antigen), of more than 840 recombinant antibodies to assess not only their individual KD values but also to see the average affinity of antibody. Based on the comparison with published literature values for mouse monoclonal antibodies, Recombinant antibodies appear to be on average 1-2 order of magnitude higher affinity.

  • Carrier free

    Anti-IgD antibody [EPR6146] - BSA and Azide free

Key facts

Host species

Rabbit

Clonality

Monoclonal

Clone number

EPR6146

Isotype

IgG

Carrier free

No

Reacts with

Human

Applications

IHC-P, WB

applications

Immunogen

The exact immunogen used to generate this antibody is proprietary information.

Reactivity data

{ "title": "Reactivity Data", "filters": { "stats": ["", "Species", "Dilution Info", "Notes"], "tabs": { "all-applications": {"fullname" : "All Applications", "shortname": "All Applications"}, "IP" : {"fullname" : "Immunoprecipitation", "shortname":"IP"}, "WB" : {"fullname" : "Western blot", "shortname":"WB"}, "IHCP" : {"fullname" : "Immunohistochemistry (Formalin/PFA-fixed paraffin-embedded sections)", "shortname":"IHC-P"}, "ICCIF" : {"fullname" : "Immunocytochemistry/ Immunofluorescence", "shortname":"ICC/IF"} }, "product-promise": { "all": "all", "testedAndGuaranteed": "tested", "guaranteed": "expected", "predicted": "predicted", "notRecommended": "not-recommended" } }, "values": { "Human": { "IP-species-checked": "notRecommended", "IP-species-dilution-info": "", "IP-species-notes": "", "WB-species-checked": "testedAndGuaranteed", "WB-species-dilution-info": "1/1000 - 1/1000", "WB-species-notes": "<p></p>", "IHCP-species-checked": "testedAndGuaranteed", "IHCP-species-dilution-info": "1/3500", "IHCP-species-notes": "<p><strong>For unpurified use at 1/1000 - 1/2000.</strong></p>", "ICCIF-species-checked": "notRecommended", "ICCIF-species-dilution-info": "", "ICCIF-species-notes": "" }, "Mouse": { "IP-species-checked": "notRecommended", "IP-species-dilution-info": "", "IP-species-notes": "<p></p>", "WB-species-checked": "notRecommended", "WB-species-dilution-info": "1/1000 - 1/10000", "WB-species-notes": "<p></p>", "IHCP-species-checked": "notRecommended", "IHCP-species-dilution-info": "1/3500", "IHCP-species-notes": "<p><strong>For unpurified use at 1/1000 - 1/2000.</strong></p>", "ICCIF-species-checked": "notRecommended", "ICCIF-species-dilution-info": "", "ICCIF-species-notes": "<p></p>" }, "Rat": { "IP-species-checked": "notRecommended", "IP-species-dilution-info": "", "IP-species-notes": "<p></p>", "WB-species-checked": "notRecommended", "WB-species-dilution-info": "1/1000 - 1/10000", "WB-species-notes": "<p></p>", "IHCP-species-checked": "notRecommended", "IHCP-species-dilution-info": "1/3500", "IHCP-species-notes": "<p><strong>For unpurified use at 1/1000 - 1/2000.</strong></p>", "ICCIF-species-checked": "notRecommended", "ICCIF-species-dilution-info": "", "ICCIF-species-notes": "<p></p>" } } }

Product details

Patented technology
Our RabMAb® technology is a patented hybridoma-based technology for making rabbit monoclonal antibodies. For details on our patents, please refer to RabMAb® patents.

What are the advantages of a recombinant monoclonal antibody?
This product is a recombinant monoclonal antibody, which offers several advantages including:

  • - High batch-to-batch consistency and reproducibility
  • - Improved sensitivity and specificity
  • - Long-term security of supply
  • - Animal-free batch production

For more information, read more on recombinant antibodies.

Properties and storage information

Form
Liquid
Purification technique
Affinity purification Protein A
Storage buffer
pH: 7.2 - 7.4 Preservative: 0.01% Sodium azide Constituents: PBS, 40% Glycerol (glycerin, glycerine), 0.05% BSA
Shipped at conditions
Blue Ice
Appropriate short-term storage conditions
+4°C
Appropriate long-term storage conditions
-20°C
Storage information
Stable for 12 months at -20°C

Supplementary information

This supplementary information is collated from multiple sources and compiled automatically.

IgD also known as Immunoglobulin D serves as a distinct antibody isotype expressed primarily on the surface of B cells. It is involved in the initiation of immune responses. IgD has a molecular weight of approximately 180 kDa. The full form of IgD is Immunoglobulin D. It is expressed mainly in the respiratory system the tonsils and lymphoid tissues playing a pivotal role in the early stages of immunity. Researchers often perform IgD tests to study its mechanical aspects and influence on immune cell functionality.
Biological function summary

IgD contributes to the activation and differentiation of B lymphocytes and may influence antibody affinity maturation. This immunoglobulin is not known to form part of a larger complex but acts in conjunction with other immunoglobulins like IgM to regulate immune responses. The presence of IgD on B cells suggests its involvement in signaling processes which help B cells transition from immature to fully functional states impacting how the immune system responds to pathogens.

Pathways

IgD plays roles in immune system signaling and pathogen recognition. It appears in pathways such as B cell receptor signaling and participates in complex interactions with other proteins such as IgM and CD79 which are essential for transmitting activation signals. These pathways are important enabling the immune system to identify and respond to antigens effectively offering a first line of defense against infections.

IgD has associations with recurrent respiratory infections and IgD myeloma a rare form of plasma cell neoplasm. The malfunction or dysregulation of IgD can impact B cell development and lead to immune system disorders. In such cases IgD levels often measured through IgD tests may serve as important indicators for monitoring disease progression. Moreover elevated levels of IgD can coexist with proteins such as IgE particularly in allergy-related responses and play roles in certain immunodeficiency conditions.

Product protocols

For this product, it's our understanding that no specific protocols are required. You can visit:

Publications (5)

Recent publications for all applications. Explore the full list and refine your search

Journal of proteome research 21:274-288 PubMed34878788

2021

Next-Generation Serology by Mass Spectrometry: Readout of the SARS-CoV-2 Antibody Repertoire.

Applications

Unspecified application

Species

Unspecified reactive species

Rafael D Melani,Benjamin J Des Soye,Jared O Kafader,Eleonora Forte,Michael Hollas,Voislav Blagojevic,Fernanda Negrão,John P McGee,Bryon Drown,Cameron Lloyd-Jones,Henrique S Seckler,Jeannie M Camarillo,Philip D Compton,Richard D LeDuc,Bryan Early,Ryan T Fellers,Byoung-Kyu Cho,Basil Baby Mattamana,Young Ah Goo,Paul M Thomas,Michelle K Ash,Pavan P Bhimalli,Lena Al-Harthi,Beverly E Sha,Jeffrey R Schneider,Neil L Kelleher

medRxiv : the preprint server for health sciences : PubMed34268518

2021

Next-generation Serology by Mass Spectrometry: Readout of the SARS-CoV-2 Antibody Repertoire.

Applications

Unspecified application

Species

Unspecified reactive species

Rafael D Melani,Benjamin J Des Soye,Jared O Kafader,Eleonora Forte,Michael Hollas,Voislav Blagojevic,Fernanda Negrão,John P McGee,Bryon Drown,Cameron Lloyd-Jones,Henrique S Seckler,Jeannie M Camarillo,Philip D Compton,Richard D LeDuc,Bryan Early,Ryan T Fellers,Byoung-Kyu Cho,Basil Baby Mattamana,Young Ah Goo,Paul M Thomas,Michelle K Ash,Pavan P Bhimalli,Lena Al-Harthi,Beverly E Sha,Jeffrey R Schneider,Neil L Kelleher

Frontiers in immunology 12:683396 PubMed34177929

2021

Characterization of Human Lymphoid Tissue Immune Cells by Multispectral Confocal Imaging and Quantitative Image Analysis; Implications for HIV Reservoir Characterization.

Applications

Unspecified application

Species

Unspecified reactive species

Eirini Moysi,Perla M Del Rio Estrada,Fernanda Torres-Ruiz,Gustavo Reyes-Terán,Richard A Koup,Constantinos Petrovas

The Journal of clinical investigation 128:3171-3185 PubMed29911996

2018

Altered immune cell follicular dynamics in HIV infection following influenza vaccination.

Applications

Unspecified application

Species

Unspecified reactive species

Eirini Moysi,Suresh Pallikkuth,Lesley R De Armas,Louis E Gonzalez,David Ambrozak,Varghese George,David Huddleston,Rajendra Pahwa,Richard A Koup,Constantinos Petrovas,Savita Pahwa

PloS one 12:e0160175 PubMed28510589

2017

Establishment of a combination scoring method for diagnosis of ocular adnexal lymphoproliferative disease.

Applications

IHC-P

Species

Human

Xiao-Li Qu,Yan Hei,Li Kang,Xin-Ji Yang,Yi Wang,Xiao-Zhong Lu,Li-Hua Xiao,Guang Yang
View all publications

Product promise

We are committed to supporting your work with high-quality reagents, and we're here for you every step of the way. In the unlikely event that one of our products does not perform as expected, you're protected by our Product Promise.
For full details, please see our Terms & Conditions

Please note: All products are 'FOR RESEARCH USE ONLY. NOT FOR USE IN DIAGNOSTIC OR THERAPEUTIC PROCEDURES'.

For licensing inquiries, please contact partnerships@abcam.com