JavaScript is disabled in your browser. Please enable JavaScript to view this website.
AB309141

Anti-IgE antibody [EPR26777-14]

Be the first to review this product! Submit a review

|

(0 Publication)

Rabbit Recombinant Monoclonal IgE antibody. Suitable for Flow Cyt (Intra), WB, ICC/IF and reacts with Human samples.

View Alternative Names

Immunoglobulin heavy constant epsilon, Ig epsilon chain C region, Ig epsilon chain C region ND, IGHE

3 Images
Immunocytochemistry/ Immunofluorescence - Anti-IgE antibody [EPR26777-14] (AB309141)
  • ICC/IF

Supplier Data

Immunocytochemistry/ Immunofluorescence - Anti-IgE antibody [EPR26777-14] (AB309141)

Immunofluorescent analysis of 4% Paraformaldehyde-fixed, 0.1% TritonX-100 permeabilized U266B1 (human multiple myeloma B lymphocyte) cells labelling IgE with ab309141 at 1/500 (0.994 ug/ml) dilution, followed by ab150081 Goat Anti-Rabbit IgG H&L (Alexa Fluor® 488) preadsorbed antibody at 1/1000 2 ug/ml dilution (Green). Confocal image showing cytoplasmic staining in U266B1 cell line.Negative control : Jurkat.Image was taken with a confocal microscope(Leica-Microsystems, TCS SP8). is observed. ab195889 Anti-alpha Tubulin mouse monoclonal antibody - Microtubule Marker (Alexa Fluor® 594) was used to counterstain tubulin at 1/200 2.5ug/ml dilution (Red). The Nuclear counterstain was DAPI (Blue). Secondary antibody only control : Secondary antibody is ab150081 Goat Anti-Rabbit IgG H&L (Alexa Fluor® 488) preadsorbed at 1/1000 2 ug/ml dilution.

Flow Cytometry (Intracellular) - Anti-IgE antibody [EPR26777-14] (AB309141)
  • Flow Cyt (Intra)

Supplier Data

Flow Cytometry (Intracellular) - Anti-IgE antibody [EPR26777-14] (AB309141)

Flow cytometric analysis of 4% paraformaldehyde fixed 90% methanol permeabilized Jurkat (human T cell leukemia T lymphocyte from peripheral blood, Left) / U266B1 (human multiple myeloma B lymphocyte, Right) cells labelling IgE with ab309141 at 1/500 dilution (0.1 ug)/Red (Red) compared with a Rabbit monoclonal IgG (ab172730) (Black) isotype control and an unlabelled control (cells without incubation with primary antibody and secondary antibody) (Blue). A Goat Anti-Rabbit IgG (Alexa Fluor® 488, ab150081) at 1/5000 dilution was used as the secondary antibody. Negative control : Jurkat.

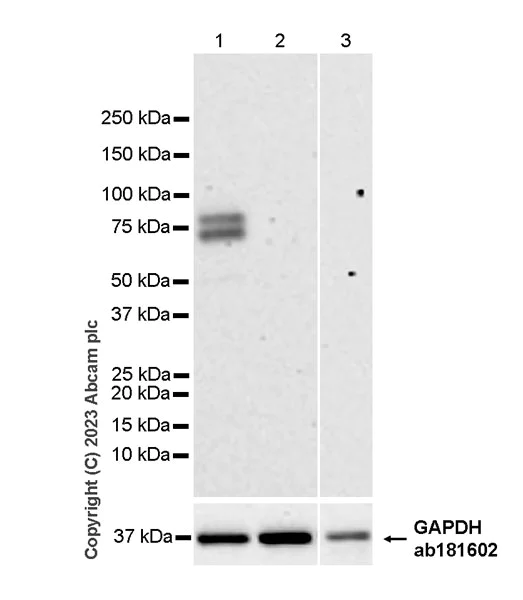
Western blot - Anti-IgE antibody [EPR26777-14] (AB309141)
  • WB

Supplier Data

Western blot - Anti-IgE antibody [EPR26777-14] (AB309141)

Blocking and diluting buffer and concentration : 5% NFDM/TBST Negative control : Jurkat. Low expression : A431(PMID : 18480840). The expression molecular weight observed is consistent with what has been described in the literature (PMID : 7995941). In Western blot, anti-GAPDH antibody (ab181602) loading control staining at 1/200000 dilution. Exposure time : 180 seconds

All lanes:

Western blot - Anti-IgE antibody [EPR26777-14] (ab309141) at 1/1000 dilution

Lane 1:

U266B1 (human mtiple myeloma B lymphocyte) whole cell lysate at 20 µg

Lane 2:

Jurkat (human t cell leukemia t lymphocyte from peripheral blood) whole cell lysate at 20 µg

Lane 3:

A431 (human epidermoid carcinoma epithelial cell) whole cell lysate at 20 µg

Secondary

All lanes:

Western blot - Goat Anti-Rabbit IgG H&L (HRP) (<a href='/en-us/products/secondary-antibodies/goat-rabbit-igg-h-l-hrp-ab97051'>ab97051</a>) at 1/100000 dilution

Observed band size: 74 kDa,79 kDa

false

Exposure time: 180s

Key facts

Host species

Rabbit

Clonality

Monoclonal

Clone number

EPR26777-14

Isotype

IgG

Carrier free

No

Reacts with

Human

Applications

WB, Flow Cyt (Intra), ICC/IF

applications

Immunogen

The exact immunogen used to generate this antibody is proprietary information.

Reactivity data

{ "title": "Reactivity Data", "filters": { "stats": ["", "Species", "Dilution Info", "Notes"], "tabs": { "all-applications": {"fullname" : "All Applications", "shortname": "All Applications"}, "FlowCytIntra" : {"fullname" : "Flow Cytometry (Intracellular)", "shortname":"Flow Cyt (Intra)"}, "WB" : {"fullname" : "Western blot", "shortname":"WB"}, "ICCIF" : {"fullname" : "Immunocytochemistry/ Immunofluorescence", "shortname":"ICC/IF"}, "IHCP" : {"fullname" : "Immunohistochemistry (Formalin/PFA-fixed paraffin-embedded sections)", "shortname":"IHC-P"}, "IP" : {"fullname" : "Immunoprecipitation", "shortname":"IP"} }, "product-promise": { "all": "all", "testedAndGuaranteed": "tested", "guaranteed": "expected", "predicted": "predicted", "notRecommended": "not-recommended" } }, "values": { "Human": { "FlowCytIntra-species-checked": "testedAndGuaranteed", "FlowCytIntra-species-dilution-info": "1/500", "FlowCytIntra-species-notes": "<p></p>", "WB-species-checked": "testedAndGuaranteed", "WB-species-dilution-info": "1/1000", "WB-species-notes": "<p></p>", "ICCIF-species-checked": "testedAndGuaranteed", "ICCIF-species-dilution-info": "1/500", "ICCIF-species-notes": "<p></p>", "IHCP-species-checked": "notRecommended", "IHCP-species-dilution-info": "", "IHCP-species-notes": "<p></p>", "IP-species-checked": "notRecommended", "IP-species-dilution-info": "", "IP-species-notes": "<p></p>" }, "Mouse": { "FlowCytIntra-species-checked": "notRecommended", "FlowCytIntra-species-dilution-info": "", "FlowCytIntra-species-notes": "", "WB-species-checked": "notRecommended", "WB-species-dilution-info": "", "WB-species-notes": "<p></p>", "ICCIF-species-checked": "notRecommended", "ICCIF-species-dilution-info": "", "ICCIF-species-notes": "", "IHCP-species-checked": "notRecommended", "IHCP-species-dilution-info": "", "IHCP-species-notes": "<p></p>", "IP-species-checked": "notRecommended", "IP-species-dilution-info": "", "IP-species-notes": "" }, "Rat": { "FlowCytIntra-species-checked": "notRecommended", "FlowCytIntra-species-dilution-info": "", "FlowCytIntra-species-notes": "", "WB-species-checked": "notRecommended", "WB-species-dilution-info": "", "WB-species-notes": "<p></p>", "ICCIF-species-checked": "notRecommended", "ICCIF-species-dilution-info": "", "ICCIF-species-notes": "", "IHCP-species-checked": "notRecommended", "IHCP-species-dilution-info": "", "IHCP-species-notes": "<p></p>", "IP-species-checked": "notRecommended", "IP-species-dilution-info": "", "IP-species-notes": "" } } }

Product details

Patented technology
Our RabMAb® technology is a patented hybridoma-based technology for making rabbit monoclonal antibodies. For details on our patents, please refer to RabMAb® patents.

What are the advantages of a recombinant monoclonal antibody?
This product is a recombinant monoclonal antibody, which offers several advantages including:

  • - High batch-to-batch consistency and reproducibility
  • - Improved sensitivity and specificity
  • - Long-term security of supply
  • - Animal-free batch production

For more information, read more on recombinant antibodies.

Properties and storage information

Form
Liquid
Purification technique
Affinity purification Protein A
Storage buffer
pH: 7.2 - 7.4 Preservative: 0.01% Sodium azide Constituents: PBS, 40% Glycerol (glycerin, glycerine), 0.05% BSA
Shipped at conditions
Blue Ice
Appropriate short-term storage duration
1-2 weeks
Appropriate short-term storage conditions
+4°C
Appropriate long-term storage conditions
-20°C
Aliquoting information
Upon delivery aliquot
Storage information
Avoid freeze / thaw cycle

Supplementary information

This supplementary information is collated from multiple sources and compiled automatically.

The IgE protein [also known as immunoglobulin E] is a type of antibody with a molecular mass of approximately 190 kDa. IgE is expressed primarily on the surface of mast cells and basophils. It plays a central role in the immune system by binding to allergens and triggering the release of inflammatory mediators from mast cells and basophils. IgE's high-affinity binding to its receptor FcεRI on these effector cells facilitates this process. IgE's activity is central to initiating immediate hypersensitivity reactions which are a part of the body's immune response.
Biological function summary

The IgE protein functions as a mediator in allergic reactions. It does not operate as part of a complex but directly interacts with allergens and the IgE-specific receptors on immune cells. IgE's role is important in defense against parasitic infections where it performs a protective function by promoting eosinophil activation and degranulation. This action helps the body to expel the parasites. In the absence of parasitic infection IgE's function translates into its role in allergic responses where it becomes responsible for the symptoms associated with allergic diseases.

Pathways

IgE is an important player in the immune response pathway. The protein interacts with allergy-related pathways such as the T helper 2 (Th2) pathway. IgE's role in this pathway involves cooperation with cytokines notably IL-4 and IL-13 which are produced by Th2 cells and promote IgE synthesis in B cells. Also IgE is linked to the FcεRI receptor signaling pathway that initiates the release of histamines and other mediators when IgE binds to an allergen leading to an allergic response.

IgE is closely linked to allergic conditions like asthma and allergic rhinitis. These conditions result from IgE-mediated inflammatory responses that affect the respiratory system. In asthma IgE antibodies play a role in airway inflammation and hyperreactivity by promoting the activation of multiple immune cells including eosinophils and mast cells. IgE's involvement in allergic rhinitis manifests through similar mechanisms with nasal inflammation and irritation. IgE's interaction with other proteins such as histamine-releasing factor exacerbates these conditions by increasing the release of histamine which intensifies the allergic symptoms.

Product protocols

For this product, it's our understanding that no specific protocols are required. You can visit:

Target data

Constant region of immunoglobulin heavy chains. Immunoglobulins, also known as antibodies, are membrane-bound or secreted glycoproteins produced by B lymphocytes. In the recognition phase of humoral immunity, the membrane-bound immunoglobulins serve as receptors which, upon binding of a specific antigen, trigger the clonal expansion and differentiation of B lymphocytes into immunoglobulins-secreting plasma cells. Secreted immunoglobulins mediate the effector phase of humoral immunity, which results in the elimination of bound antigens (PubMed : 20176268, PubMed : 22158414). The antigen binding site is formed by the variable domain of one heavy chain, together with that of its associated light chain. Thus, each immunoglobulin has two antigen binding sites with remarkable affinity for a particular antigen. The variable domains are assembled by a process called V-(D)-J rearrangement and can then be subjected to somatic hypermutations which, after exposure to antigen and selection, allow affinity maturation for a particular antigen (PubMed : 17576170, PubMed : 20176268).. Isoform 1. Constant region of secreted IgE, also known as the Fc region of IgE antibody. Mediates IgE effector functions on myeloid and lymphoid cells primarily via two Fc receptors, the high-affinity IgE Fc receptor complex/FCER1A : MS4A2 : FCGR1A and the low-affinity FCER2 receptor, which upon antigen/allergen cross-linking initiate signaling pathways that lead to immune cell activation and differentiation (PubMed : 2167225, PubMed : 25629393, PubMed : 33840121, PubMed : 7544003, PubMed : 8114916, PubMed : 8551243). Triggers the immediate hypersensitivity response to allergens as a host defense mechanism against helminth parasites, pathogenic bacteria and venom toxicity. When dysregulated, it can elicit harmful life-threatening allergic and anaphylactic reactions (PubMed : 25629393, PubMed : 33840121, PubMed : 7544003, PubMed : 8114916, PubMed : 8551243). Stimulates the high-affinity IgE Fc receptor complex/FCER1A : MS4A2 : FCGR1A on mast cells, basophils and eosinophils leading to secretion of vasoactive amines, lipid mediators and cytokines that contribute to inflammatory response, tissue remodeling and cytotoxicity against microbes (PubMed : 25629393, PubMed : 8114916, PubMed : 8551243). On macrophages, cross-linking of FCER2 by IgE immune complexes induces intracellular killing of parasites through activation of L-Arginine-nitric oxide pathway (PubMed : 7544003). Activates macrophages to kill tumor cells via antigen-specific antibody-dependent cytotoxicity (ADCC). Triggers differentiation of quiescent M0 macrophages toward M1 state and reprograms M2 macrophages toward a proinflammatory state with antitumor functions (PubMed : 30956175). Stimulates FCER2 on B cells and initiates IgE-dependent antigen uptake and presentation to T cells (PubMed : 2167225).. Isoform 2. Constant region of membrane-bound IgE (long mIgE), part of the B cell receptor complex (BCR). Upon antigen cross-linking triggers quick BCR signaling, ensuring survival of IgE-switched B cells and differentiation into plasma cells, thus regulating both primary and memory IgE responses.. Isoform 3. Constant region of membrane-bound IgE (short mIgE), part of the B cell receptor complex (BCR). Upon antigen cross-linking initiates slower but sustained BCR signaling that negatively regulates mature B cell proliferation.
See full target information IGHE

Product promise

We are committed to supporting your work with high-quality reagents, and we're here for you every step of the way. In the unlikely event that one of our products does not perform as expected, you're protected by our Product Promise.
For full details, please see our Terms & Conditions

Please note: All products are 'FOR RESEARCH USE ONLY. NOT FOR USE IN DIAGNOSTIC OR THERAPEUTIC PROCEDURES'.

For licensing inquiries, please contact partnerships@abcam.com