JavaScript is disabled in your browser. Please enable JavaScript to view this website.
AB39675

Anti-IGF1 Receptor antibody

3

(4 Reviews)

|

(64 Publications)

Rabbit Polyclonal IGF1 Receptor antibody. Suitable for IHC-P, WB and reacts with Human samples. Cited in 64 publications. Immunogen corresponding to Synthetic Peptide within Human IGF1R.

View Alternative Names

CD221, Insulin-like growth factor 1 receptor, Insulin-like growth factor I receptor, IGF-I receptor, IGF1R

3 Images
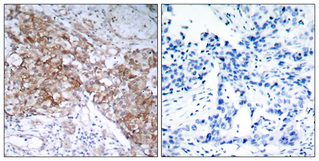
Immunohistochemistry (Formalin/PFA-fixed paraffin-embedded sections) - Anti-IGF1 Receptor antibody (AB39675)
  • IHC-P

Supplier Data

Immunohistochemistry (Formalin/PFA-fixed paraffin-embedded sections) - Anti-IGF1 Receptor antibody (AB39675)

Paraffin-embedded human breast carcinoma tissue stained for IGF1 Receptor using ab39675 in immunohistochemical analysis. The image on the right is blocked with the synthesized peptide.

Western blot - Anti-IGF1 Receptor antibody (AB39675)
  • WB

Supplier Data

Western blot - Anti-IGF1 Receptor antibody (AB39675)

All lanes:

Western blot - Anti-IGF1 Receptor antibody (ab39675)

All lanes:

HeLa cell lysate

Predicted band size: 154 kDa

false

Western blot - Anti-IGF1 Receptor antibody (AB39675)
  • WB

Unknown

Western blot - Anti-IGF1 Receptor antibody (AB39675)

Western blot analysis using IGF1 Receptor antibody (ab39675, Lane 1, 2 and 3) and IGF1 Receptor (phospho-Tyr1161) antibody (ab39398, Lane 4 and 5). Lane 1 and 5 treated with insulin (10mU/ml).

All lanes:

Western blot - Anti-IGF1 Receptor antibody (ab39675)

Lanes 1 and 5:

293 cell lysate treated with insulin (10mU/ml)

Lane 2:

SK-OV3 cell lysate

Lane 3:

SK-OV3 cell lysate with Synthesized peptide

Lane 4:

293 cell lysate

Predicted band size: 154 kDa

false

Key facts

Host species

Rabbit

Clonality

Polyclonal

Isotype

IgG

Carrier free

No

Reacts with

Human

Applications

WB, IHC-P

applications

Immunogen

Synthetic Peptide within Human IGF1R. The exact immunogen used to generate this antibody is proprietary information.

P08069

Specificity

This antibody detects endogenous levels of total IGF1 Receptor protein. Crossreacts with insulin receptor (P06213) and insulin receptor related protein (P14616).

Reactivity data

{ "title": "Reactivity Data", "filters": { "stats": ["", "Species", "Dilution Info", "Notes"], "tabs": { "all-applications": {"fullname" : "All Applications", "shortname": "All Applications"}, "IHCP" : {"fullname" : "Immunohistochemistry (Formalin/PFA-fixed paraffin-embedded sections)", "shortname":"IHC-P"}, "WB" : {"fullname" : "Western blot", "shortname":"WB"} }, "product-promise": { "all": "all", "testedAndGuaranteed": "tested", "guaranteed": "expected", "predicted": "predicted", "notRecommended": "not-recommended" } }, "values": { "Human": { "IHCP-species-checked": "testedAndGuaranteed", "IHCP-species-dilution-info": "1/50 - 1/100", "IHCP-species-notes": "<p></p>", "WB-species-checked": "testedAndGuaranteed", "WB-species-dilution-info": "1/500 - 1/1000", "WB-species-notes": "<p></p>" }, "Mouse": { "IHCP-species-checked": "predicted", "IHCP-species-dilution-info": "", "IHCP-species-notes": "", "WB-species-checked": "predicted", "WB-species-dilution-info": "", "WB-species-notes": "" }, "Rat": { "IHCP-species-checked": "predicted", "IHCP-species-dilution-info": "", "IHCP-species-notes": "", "WB-species-checked": "predicted", "WB-species-dilution-info": "", "WB-species-notes": "" } } }

Properties and storage information

Form
Liquid
Purification technique
Affinity purification Immunogen
Purification notes
This antibody was affinity purified from rabbit antiserum by affinity chromatography using epitope specific immunogen.
Storage buffer
pH: 7.4 Preservative: 0.02% Sodium azide Constituents: PBS, 50% Glycerol (glycerin, glycerine), 0.87% Sodium chloride
Shipped at conditions
Blue Ice
Appropriate short-term storage conditions
+4°C
Appropriate long-term storage conditions
-20°C
Aliquoting information
Upon delivery aliquot
Storage information
Avoid freeze / thaw cycle

Supplementary information

This supplementary information is collated from multiple sources and compiled automatically.

The IGF1 Receptor often referred to as IGF-1R is a transmembrane receptor protein composed of alpha and beta subunits. Studies indicate that the IGF1R protein is involved in mediating the effects of insulin-like growth factor 1 (IGF-1) and plays an important role in cellular signaling. It has a molecular weight of approximately 180 kDa and is widely expressed in various tissues with high concentrations in the liver muscle and brain. Being a tyrosine kinase receptor IGF1R plays an essential role in growth and metabolism.
Biological function summary

IGF1R contributes to several cellular processes including cell proliferation differentiation and survival. This receptor forms a complex upon ligand binding and undergoes autophosphorylation to activate intracellular signaling cascades. IGF1R activation recruits and phosphorylates insulin receptor substrates enabling the downstream signaling pathways that promote cell growth and survival. Its function in cellular responses makes it a focal point in understanding cell biology.

Pathways

IGF1R holds a central position in the PI3K/AKT and MAPK signaling cascades. These pathways play significant roles in cellular growth proliferation and survival. IGF1R phosphorylates various downstream effectors such as IRS-1 and Shc linking it to the activation of AKT and ERK respectively. Therefore it shares pathways with related proteins like the insulin receptor highlighting its importance in mediating similar biological responses.

IGF1R has been implicated in cancers and diabetes. Overexpression of IGF1R has been observed in various malignancies including breast cancer where it relates to resistance in treatment and poor prognosis with cell lines like MCF-7 often being studied in this context. Additionally disruptions in IGF1R signaling link to insulin resistance an important feature of type 2 diabetes. These connections make IGF1R a potential therapeutic target with IGF1R inhibitors currently under exploration to address these health challenges.

Product protocols

For this product, it's our understanding that no specific protocols are required. You can visit:

Target data

Receptor tyrosine kinase which mediates actions of insulin-like growth factor 1 (IGF1). Binds IGF1 with high affinity and IGF2 and insulin (INS) with a lower affinity. The activated IGF1R is involved in cell growth and survival control. IGF1R is crucial for tumor transformation and survival of malignant cell. Ligand binding activates the receptor kinase, leading to receptor autophosphorylation, and tyrosines phosphorylation of multiple substrates, that function as signaling adapter proteins including, the insulin-receptor substrates (IRS1/2), Shc and 14-3-3 proteins. Phosphorylation of IRSs proteins lead to the activation of two main signaling pathways : the PI3K-AKT/PKB pathway and the Ras-MAPK pathway. The result of activating the MAPK pathway is increased cellular proliferation, whereas activating the PI3K pathway inhibits apoptosis and stimulates protein synthesis. Phosphorylated IRS1 can activate the 85 kDa regulatory subunit of PI3K (PIK3R1), leading to activation of several downstream substrates, including protein AKT/PKB. AKT phosphorylation, in turn, enhances protein synthesis through mTOR activation and triggers the antiapoptotic effects of IGFIR through phosphorylation and inactivation of BAD. In parallel to PI3K-driven signaling, recruitment of Grb2/SOS by phosphorylated IRS1 or Shc leads to recruitment of Ras and activation of the ras-MAPK pathway. In addition to these two main signaling pathways IGF1R signals also through the Janus kinase/signal transducer and activator of transcription pathway (JAK/STAT). Phosphorylation of JAK proteins can lead to phosphorylation/activation of signal transducers and activators of transcription (STAT) proteins. In particular activation of STAT3, may be essential for the transforming activity of IGF1R. The JAK/STAT pathway activates gene transcription and may be responsible for the transforming activity. JNK kinases can also be activated by the IGF1R. IGF1 exerts inhibiting activities on JNK activation via phosphorylation and inhibition of MAP3K5/ASK1, which is able to directly associate with the IGF1R.. When present in a hybrid receptor with INSR, binds IGF1. PubMed : 12138094 shows that hybrid receptors composed of IGF1R and INSR isoform Long are activated with a high affinity by IGF1, with low affinity by IGF2 and not significantly activated by insulin, and that hybrid receptors composed of IGF1R and INSR isoform Short are activated by IGF1, IGF2 and insulin. In contrast, PubMed : 16831875 shows that hybrid receptors composed of IGF1R and INSR isoform Long and hybrid receptors composed of IGF1R and INSR isoform Short have similar binding characteristics, both bind IGF1 and have a low affinity for insulin.
See full target information IGF1R

Publications (64)

Recent publications for all applications. Explore the full list and refine your search

Communications medicine 5:206 PubMed40437228

2025

Computational and biological modeling of IGF1R inhibition for multifocal medulloblastoma.

Applications

Unspecified application

Species

Unspecified reactive species

Alyssa G Almer,Samuel V Rasmussen,Dina Kats,Matthew N Svalina,Bonnie L Cole,Mohammadreza Khani,Sonja Chen,Samuel H Cheshier,Bryn A Martin,Noah E Berlow,Charles Keller

Biology direct 19:75 PubMed39198845

2024

Gastrin-related circRNA_0017065 promotes the proliferation and metastasis of colorectal cancer through the miR-3174/RBFOX2 axis.

Applications

Unspecified application

Species

Unspecified reactive species

Xu Wang,Tianjiao Sun,Jiapeng Fan,Xueliang Zuo,Jiading Mao

Microbiology spectrum 12:e0283823 PubMed38197658

2024

Application of bacteriophage φPaP11-13 attenuates rat infection lesions by promoting keratinocytes apoptosis via inhibiting PI3K/Akt pathway.

Applications

Unspecified application

Species

Unspecified reactive species

Yuanyuan Liu,Ni Zhen,Danxi Liao,Jiahui Niu,Ruolan Liu,Zijiao Li,Zeyuan Lei,Zichen Yang

Oncology 102:494-502 PubMed37989120

2023

Immunohistochemical Expression of Insulin-Like Growth Factor-1 Receptor and Its Association with Clinicopathological Parameters in Hepatocellular Carcinoma.

Applications

Unspecified application

Species

Unspecified reactive species

Maria Luiza Peloso Maia,Ronniel Morais Albuquerque,Serena Dafne do Carmo Silva,Cristiano Xavier Lima,Paulo Henrique Costa Diniz,Paula Vieira Teixeira Vidigal

Frontiers in oncology 12:1096438 PubMed36713521

2023

Evaluating the local expression pattern of IGF-1R in tumor tissues and the circulating levels of IGF-1, IGFBP-1, and IGFBP-3 in the blood of patients with different primary bone tumors.

Applications

Unspecified application

Species

Unspecified reactive species

Mohammad Amin Vaezi,Amir Reza Eghtedari,Banafsheh Safizadeh,Pegah Babaheidarian,Vahid Salimi,Fatemeh Adjaminezhad-Fard,Sahar Yarahmadi,Alireza Mirzaei,Mahtab Rahbar,Masoumeh Tavakoli-Yaraki

Pharmaceuticals (Basel, Switzerland) 15: PubMed35890118

2022

Bioactive Peptides and Exercise Modulate the AMPK/SIRT1/PGC-1α/FOXO3 Pathway as a Therapeutic Approach for Hypertensive Rats.

Applications

Unspecified application

Species

Unspecified reactive species

Jou-Hsuan Ho,Rathinasamy Baskaran,Ming-Fu Wang,Hong-Siang Yang,Yun-Hsin Lo,Zuhair M Mohammedsaleh,Wan-Teng Lin

Environmental toxicology 36:1466-1475 PubMed33881220

2021

Cardioprotective effects of transplanted adipose-derived stem cells under Ang II stress with Danggui administration augments cardiac function through upregulation of insulin-like growth factor 1 receptor in late-stage hypertension rats.

Applications

Unspecified application

Species

Unspecified reactive species

Parthasarathi Barik,Marthandam Asokan Shibu,Dennis Jine-Yuan Hsieh,Cecilia Hsuan Day,Ray-Jade Chen,Wei-Wen Kuo,Yung-Ming Chang,V Vijaya Padma,Tsung-Jung Ho,Chih-Yang Huang

Journal of cellular and molecular medicine 25:3205-3215 PubMed33724692

2021

Cardiomyocyte protective effects of thyroid hormone during hypoxia/reoxygenation injury through activating of IGF-1-mediated PI3K/Akt signalling.

Applications

Unspecified application

Species

Unspecified reactive species

Bin Zeng,Lei Liu,Xiaoting Liao,Caixia Zhang

Journal of cellular and molecular medicine 26:1806-1816 PubMed33621401

2021

Circular RNA circ_0002137 regulated the progression of osteosarcoma through regulating miR-433-3p/ IGF1R axis.

Applications

Unspecified application

Species

Unspecified reactive species

Meng Zhang,Guang-Yang Yu,Gang Liu,Wei-Dong Liu

Cancer management and research 12:12667-12678 PubMed33328764

2020

Quantitative Tyrosine Phosphoproteomic Analysis of Resistance to Radiotherapy in Nasopharyngeal Carcinoma Cells.

Applications

Unspecified application

Species

Unspecified reactive species

Lin Shen,Zhanzhan Li,Liangfang Shen
View all publications

Product promise

We are committed to supporting your work with high-quality reagents, and we're here for you every step of the way. In the unlikely event that one of our products does not perform as expected, you're protected by our Product Promise.
For full details, please see our Terms & Conditions

Please note: All products are 'FOR RESEARCH USE ONLY. NOT FOR USE IN DIAGNOSTIC OR THERAPEUTIC PROCEDURES'.

For licensing inquiries, please contact partnerships@abcam.com