JavaScript is disabled in your browser. Please enable JavaScript to view this website.
AB182408

Anti-IGF1 Receptor antibody [EPR19322]

  • RabMAb
  • Recombinant
  • KO Validated
  • 20ul selling size
  • What is this?

4

(2 Reviews)

|

(93 Publications)

Anti-IGF1 Receptor antibody [EPR19322] (ab182408) is a rabbit monoclonal antibody detecting IGF1 Receptor in Western Blot, Flow Cytometry (Intra), Flow Cytometry, IP, ICC/IF. Suitable for Human, Mouse, Rat.

- KO validated for confirmed specificity
- Biophysical QC for unrivalled batch-batch consistency
- Over 50 publications

View Alternative Names

CD221, Insulin-like growth factor 1 receptor, Insulin-like growth factor I receptor, IGF-I receptor, IGF1R

13 Images
Flow Cytometry (Intracellular) - Anti-IGF1 Receptor antibody [EPR19322] (AB182408)
  • Flow Cyt (Intra)

Supplier Data

Flow Cytometry (Intracellular) - Anti-IGF1 Receptor antibody [EPR19322] (AB182408)

Intracellular flow cytometric analysis of 4% paraformaldehyde-fixed, 90% methanol permeabilized C2C12 (Mouse myoblast cell line) cells labeling IGF1 Receptor with ab182408 at 1/80 dilution (red) compared with a Rabbit IgG, monoclonal [EPR25A] - Isotype Control (ab172730) (black) and an unlabelled control (cells without incubation with primary antibody and secondary antibody) (blue). Goat anti Rabbit IgG (Alexa Fluor® 488) at 1/500 dilution was used as the secondary antibody.

Immunocytochemistry/ Immunofluorescence - Anti-IGF1 Receptor antibody [EPR19322] (AB182408)
  • ICC/IF

Supplier Data

Immunocytochemistry/ Immunofluorescence - Anti-IGF1 Receptor antibody [EPR19322] (AB182408)

Immunofluorescent analysis of 4% paraformaldehyde-fixed, 0.1% Triton X-100 permeabilized C2C12 (Mouse myoblast cell line) cells labeling IGF1 Receptor with ab182408 at 1/1000 dilution, followed by Goat anti-rabbit IgG (Alexa Fluor® 488) (ab150077) secondary antibody at 1/1000 dilution (green). Confocal image showing membranous and cytoplasmic staining on C2C12 cell line. The nuclear counter stain is DAPI (blue).

Tubulin is detected with Anti-alpha Tubulin antibody [DM1A] - Loading Control (ab7291) at 1/1000 dilution and Goat Anti-Mouse IgG H&L (Alexa Fluor® 594) preadsorbed (ab150120) at 1/1000 dilution (red).

The negative controls are as follows :

-ve control 1 : ab182408 at 1/1000 dilution followed by ab150120 at 1/1000 dilution.
-ve control 2 : ab7291 at 1/1000 dilution followed by ab150077 at 1/1000 dilution.

Immunocytochemistry/ Immunofluorescence - Anti-IGF1 Receptor antibody [EPR19322] (AB182408)
  • ICC/IF

Supplier Data

Immunocytochemistry/ Immunofluorescence - Anti-IGF1 Receptor antibody [EPR19322] (AB182408)

Immunofluorescent analysis of 4% paraformaldehyde-fixed, 0.1% Triton X-100 permeabilized C6 (Rat glial tumor cell line) cells labeling IGF1 Receptor with ab182408 at 1/1000 dilution, followed by Goat anti-rabbit IgG (Alexa Fluor® 488) (ab150077) secondary antibody at 1/1000 dilution (green). Confocal image showing membranous and cytoplasmic staining on C6 cell line. The nuclear counter stain is DAPI (blue).

Tubulin is detected with Anti-alpha Tubulin antibody [DM1A] - Loading Control (ab7291) at 1/1000 dilution and Goat Anti-Mouse IgG H&L (Alexa Fluor® 594) preadsorbed (ab150120) at 1/1000 dilution (red).

The negative controls are as follows :

-ve control 1 : ab182408 at 1/1000 dilution followed by ab150120 at 1/1000 dilution.
-ve control 2 : ab7291 at 1/1000 dilution followed by ab150077 at 1/1000 dilution.

Immunoprecipitation - Anti-IGF1 Receptor antibody [EPR19322] (AB182408)
  • IP

Supplier Data

Immunoprecipitation - Anti-IGF1 Receptor antibody [EPR19322] (AB182408)

IGF1 Receptor was immunoprecipitated from 1mg of C2C12 (Mouse myoblast cell line) whole cell lysate with ab182408 at 1/50 dilution. Western blot was performed from the immunoprecipitate using ab182408 at 1/1000 dilution. VeriBlot for IP Detection Reagent (HRP) (ab131366), was used for detection at 1/10000 dilution.

Lane 1 : C2C12 whole cell lysate, 10μg (Input).

Lane 2 : ab182408 IP in C2C12 whole cell lysate.

Lane 3 : Rabbit IgG,monoclonal [EPR25A] - Isotype Control (ab172730) instead of ab182408 in C2C12 whole cell lysate.

Blocking and dilution buffer and concentration : 5% NFDM/TBST.

Exposure time : 3 seconds.

All lanes:

Immunoprecipitation - Anti-IGF1 Receptor antibody [EPR19322] (ab182408)

Predicted band size: 154 kDa

false

Western blot - Anti-IGF1 Receptor antibody [EPR19322] (AB182408)
  • WB

Supplier Data

Western blot - Anti-IGF1 Receptor antibody [EPR19322] (AB182408)

Blocking and diluting buffer and concentration : 5% NFDM/TBST.

This blot was developed using a high sensitivity ECL substrate. The high-sensitivity ECL substrate used allows for the detection of proteins in the mid-femtogram range.

In Western blot, Anti-IGF1 Receptor antibody [EPR19322] (ab182408) staining at 1/1000 dilution

All lanes:

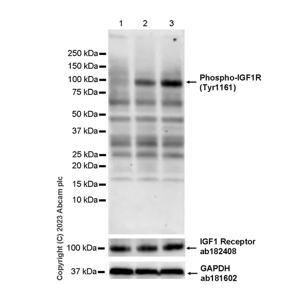
Western blot - Anti-IGF1R (pY1161) + INSR (pY1185) + INSRR (pY1141) antibody [EPR26123-29] (<a href='/en-us/products/primary-antibodies/igf1r-py1161-insr-py1185-insrr-py1141-antibody-epr26123-29-ab314116'>ab314116</a>) at 1/1000 dilution

Lane 1:

HeLa (human cervix adenocarcinoma epithelial cell) starved for 18 hours whole cell lysate (untreated membrane) at 30 µg

Lane 2:

HeLa starved for 18 hours, then treated with 100ng/mL IGF-1 for 10 minutes whole cell lysate (untreated membrane) at 30 µg

Lane 3:

HeLa starved for 18 hours whole cell lysate (alkaline phosphatase treated membrane) at 30 µg

Lane 4:

HeLa starved for 18 hours, then treated with 100ng/mL IGF-1 for 10 minutes whole cell lysate (alkaline phosphatase treated membrane) at 30 µg

Secondary

All lanes:

Western blot - Goat Anti-Rabbit IgG H&L (HRP) (<a href='/en-us/products/secondary-antibodies/goat-rabbit-igg-h-l-hrp-ab97051'>ab97051</a>) at 1/100000 dilution

Observed band size: 100 kDa

true

Exposure time: 81s

Western blot - Anti-IGF1 Receptor antibody [EPR19322] (AB182408)
  • WB

Lab

Western blot - Anti-IGF1 Receptor antibody [EPR19322] (AB182408)

False colour image of Western blot : Anti-IGF1 Receptor antibody [EPR19322] staining at 1/1000 dilution, shown in green; Mouse anti-CANX [CANX/1543] (ab238078) loading control staining at 1/20000 dilution, shown in red. In Western blot, ab182408 was shown to bind specifically to IGF1 Receptor. A band was observed at 82 kDa (beta chain) in wild-type MCF7 cell lysates with no signal observed at this size in IGF1R knockout cell line. To generate this image, wild-type and IGF1R knockout MCF7 cell lysates were analysed. First, samples were run on an SDS-PAGE gel then transferred onto a nitrocellulose membrane. Membranes were blocked in fluorescent western blot (TBS-based) blocking solution before incubation with primary antibodies overnight at 4°C. Blots were washed four times in TBS-T, incubated with secondary antibodies for 1 h at room temperature, washed again four times then imaged. Secondary antibodies used were Goat anti-Rabbit IgG H&L 800CW and Goat anti-Mouse IgG H&L 680RD at 1/20000 dilution.

All lanes:

Western blot - Anti-IGF1 Receptor antibody [EPR19322] (ab182408) at 1/1000 dilution

Lane 1:

Wild-type MCF7 cell lysate at 20 µg

Lane 2:

IGF1R knockout MCF7 cell lysate at 20 µg

Lane 3:

HeLa cell lysate at 20 µg

Lane 4:

HDLM-2 cell lysate at 20 µg

Observed band size: 82 kDa

false

Western blot - Anti-IGF1 Receptor antibody [EPR19322] (AB182408)
  • WB

Lab

Western blot - Anti-IGF1 Receptor antibody [EPR19322] (AB182408)

Lane 1 : Wild-type HAP1 whole cell lysate (40 μg)
Lane 2 : IGF1R knockout HAP1 whole cell lysate (40 μg)
Lane 3 : HeLa whole cell lysate (40 μg)

Lanes 1 - 3 Merged signal (red and green). Green - ab182408 observed at 100 kDa. Red - loading control, ab8245, observed at 37 kDa.

ab182408 was shown to specifically recognize IGF1R in wild-type HAP1 cells along with additional cross-reactve bands. No band was observed when IGF1R knockout samples were examined. Wild-type and IGF1R knockout samples were subjected to SDS-PAGE. ab182408 and ab8245 (Mouse anti GAPDH loading control) were incubated overnight at 4°C at 1/2000 dilution and 1/10,000 dilution respectively. Blots were developed with Goat anti-Rabbit IgG H&L (IRDye® 800CW) preabsorbed ab216773 and Goat anti-Mouse IgG H&L (IRDye® 680RD) preabsorbed ab216776 secondary antibodies at 1/10,000 dilution for 1 hour at room temperature before imaging.

All lanes:

Western blot - Anti-IGF1 Receptor antibody [EPR19322] (ab182408)

Predicted band size: 154 kDa

false

Western blot - Anti-IGF1 Receptor antibody [EPR19322] (AB182408)
  • WB

Supplier Data

Western blot - Anti-IGF1 Receptor antibody [EPR19322] (AB182408)

Blocking and diluting buffer and concentration : 5% NFDM/TBST.

This blot was developed using a high sensitivity ECL substrate. The high-sensitivity ECL substrate used allows for the detection of proteins in the mid-femtogram range.

In Western blot, Anti-GAPDH antibody [EPR16891] - Loading Control (ab181602) staining at 1/200000 dilution.

In Western blot, Anti-IGF1 Receptor antibody [EPR19322] (ab182408) staining at 1/1000 dilution.

All lanes:

Western blot - Anti-IGF1R (pY1161) + INSR (pY1185) + INSRR (pY1141) antibody [EPR26123-29] (<a href='/en-us/products/primary-antibodies/igf1r-py1161-insr-py1185-insrr-py1141-antibody-epr26123-29-ab314116'>ab314116</a>) at 1/1000 dilution

Lane 1:

HeLa (human cervix adenocarcinoma epithelial cell) starved for 18 hours whole cell lysate at 30 µg

Lane 2:

HeLa starved for 18 hours, then treated with 100ng/ml IGF-1 for 5 minutes whole cell lysate at 30 µg

Lane 3:

HeLa starved for 18 hours, then treated with 100ng/ml IGF-1 for 20 minutes whole cell lysate at 30 µg

Secondary

All lanes:

Western blot - Goat Anti-Rabbit IgG H&L (HRP) (<a href='/en-us/products/secondary-antibodies/goat-rabbit-igg-h-l-hrp-ab97051'>ab97051</a>) at 1/100000 dilution

Observed band size: 100 kDa

true

Exposure time: 92s

Western blot - Anti-IGF1 Receptor antibody [EPR19322] (AB182408)
  • WB

Lab

Western blot - Anti-IGF1 Receptor antibody [EPR19322] (AB182408)

Anti-IGF1R antibody [EPR19322] (ab182408) staining at 1/1000 dilution, shown in green; Mouse anti-CANX [CANX/1543] (ab238078) loading control staining at 1/20000 dilution, shown in red. In Western blot, ab182408 was shown to bind specifically to IGF1R. A band was observed at 82 kDa in wild-type HCT 116 cell lysates with no signal observed at this size in IGF1R knockout cell line. To generate this image, wild-type and IGF1R knockout HCT 116 cell lysates were analysed. First, samples were run on an SDS-PAGE gel then transferred onto a nitrocellulose membrane. Membranes were blocked in fluorescent western blot (TBS-based) blocking solution before incubation with primary antibodies overnight at 4 °C. Blots were washed four times in TBS-T, incubated with secondary antibodies for 1 h at room temperature, washed again four times then imaged. Secondary antibodies used were Goat anti-Rabbit IgG H&L 800CW and Goat anti-Mouse IgG H&L 680RD at 1/20000 dilution.

All lanes:

Western blot - Anti-IGF1 Receptor antibody [EPR19322] (ab182408) at 1/1000 dilution

Lanes 1 - 4:

Western blot at 20 µg

Lane 2:

Western blot - Human IGF1R knockout HCT116 cell line (<a href='/en-us/products/cell-lines/human-igf1r-knockout-hct116-cell-line-ab287509'>ab287509</a>)

Secondary

All lanes:

Goat anti-Rabbit IgG H&L 800CW and Goat anti-Mouse IgG H&L 680RD at 1/20000 dilution

Predicted band size: 154 kDa

Observed band size: 82 kDa

false

Western blot - Anti-IGF1 Receptor antibody [EPR19322] (AB182408)
  • WB

Lab

Western blot - Anti-IGF1 Receptor antibody [EPR19322] (AB182408)

Lanes 1- 2 : Merged signal (red and green). Green - ab182408 observed at 100 kDa. Red - Anti-GAPDH antibody [6C5] - Loading Control (ab8245) observed at 37 kDa.

ab182408 was shown to react with IGF1 Receptor in wild-type HeLa cells in western blot. Loss of signal was observed when knockout cell line ab264801 (knockout cell lysate ab256951) was used. Wild-type HeLa and IGF1R knockout HeLa cell lysates were subjected to SDS-PAGE. Membrane was blocked for 1 hour at room temperature in 0.1% TBST with 3% non-fat dried milk. ab182408 and Anti-GAPDH antibody [6C5] - Loading Control (ab8245) overnight at 4°C at a 1 in 1000 dilution and a 1 in 20000 dilution respectively. Blots were developed with Goat anti-Rabbit IgG H&L (IRDye®800CW) preadsorbed (ab216773) and Goat anti-Mouse IgG H&L (IRDye®680RD) preadsorbed (ab216776) secondary antibodies at 1 in 20000 dilution for 1 hour at room temperature before imaging.

All lanes:

Western blot - Anti-IGF1 Receptor antibody [EPR19322] (ab182408) at 1/1000 dilution

Lane 1:

Wild-type HeLa cell lysate at 20 µg

Lane 2:

IGF1R knockout HeLa cell lysate at 20 µg

Lane 2:

Western blot - Human IGF1R (IGF1 Receptor) knockout HeLa cell line (<a href='/en-us/products/cell-lines/human-igf1r-igf1-receptor-knockout-hela-cell-line-ab264801'>ab264801</a>)

Predicted band size: 154 kDa

Observed band size: 100 kDa

false

Western blot - Anti-IGF1 Receptor antibody [EPR19322] (AB182408)
  • WB

Supplier Data

Western blot - Anti-IGF1 Receptor antibody [EPR19322] (AB182408)

Blocking/Dilution buffer : 5% NFDM/TBST.

Exposure time : Lane 1 : 5 seconds; Lane 2-4 : 3 minutes; Lane 5/6 : 2 seconds.

The expression profile observed is consistent with what has been described in the literature (PMID : 11402025).

Lanes 1 - 4:

Western blot - Anti-IGF1 Receptor antibody [EPR19322] (ab182408) at 1/2000 dilution

Lanes 5 - 6:

Western blot - Anti-IGF1 Receptor antibody [EPR19322] (ab182408) at 1/1000 dilution

Lane 1:

C2C12 (Mouse myoblast cell line) whole cell lysate at 20 µg

Lane 2:

HeLa (Human epithelial cell line from cervix adenocarcinoma) whole cell lysate at 20 µg

Lane 3:

293 (Human epithelial cell line from embryonic kidney) whole cell lysate at 20 µg

Lane 4:

MCF7 (Human breast adenocarcinoma cell line) whole cell lysate at 20 µg

Lane 5:

C6 (Rat glial tumor cell line) whole cell lysate at 10 µg

Lane 6:

NIH/3T3 (Mouse embryonic fibroblast cell line) whole cell lysate at 10 µg

Secondary

All lanes:

Western blot - Goat Anti-Rabbit IgG H&L (HRP) (<a href='/en-us/products/secondary-antibodies/goat-rabbit-igg-h-l-hrp-ab97051'>ab97051</a>) at 1/100000 dilution

Predicted band size: 154 kDa

Observed band size: 100 kDa,200 kDa

false

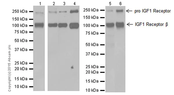
Western blot - Anti-IGF1 Receptor antibody [EPR19322] (AB182408)
  • WB

Supplier Data

Western blot - Anti-IGF1 Receptor antibody [EPR19322] (AB182408)

Blocking/Dilution buffer : 5% NFDM/TBST.

Exposure time : Lane 1 : 10 seconds; Lane 2 : 3 minutes; Lane 3 : 1 minute.

The expression profile observed is consistent with what has been described in the literature (PMID : 11402025).

Lane 1:

Western blot - Anti-IGF1 Receptor antibody [EPR19322] (ab182408) at 1/1000 dilution

Lanes 2 - 3:

Western blot - Anti-IGF1 Receptor antibody [EPR19322] (ab182408) at 1/5000 dilution

Lane 1:

Mouse brain lysate at 10 µg

Lane 2:

Mouse spleen lysate at 10 µg

Lane 3:

Rat brain lysate at 10 µg

Secondary

All lanes:

Western blot - Goat Anti-Rabbit IgG H&L (HRP) (<a href='/en-us/products/secondary-antibodies/goat-rabbit-igg-h-l-hrp-ab97051'>ab97051</a>) at 1/100000 dilution

Predicted band size: 154 kDa

Observed band size: 100 kDa,200 kDa

false

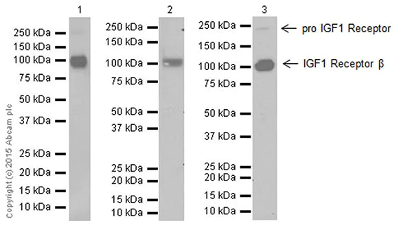
Western blot - Anti-IGF1 Receptor antibody [EPR19322] (AB182408)
  • WB

CiteAb

Western blot - Anti-IGF1 Receptor antibody [EPR19322] (AB182408)

IGF1 Receptor western blot using anti-IGF1 Receptor antibody [EPR19322] ab182408. Publication image and figure legend from Su, M., Fan, S., et al., 2020, Front Physiol, PubMed 32733269.

ab182408 was used in this publication in western blot. This may not be the same as the application(s) guaranteed by Abcam. For a full list of applications guaranteed by Abcam for ab182408 please see the product overview.

MiR-223 directly targets the IGF-1R, which inhibits the phosphorylation of Akt and GSK3β. (A) Bioinformatics analysis identified a binding site for miR-223 in the 3'-UTR of IGF-1R. Luciferase activity assay in VSMCs following introduction of IGF-1R 3' UTR or mutant 3' UTR (mut) with or without miR-223 mimic (n = 3). VSMCs were transfected with miR-223 mimic for 48 h. (B,C) The expression of IGF-1R in VSMC was detected with western blot analysis. (D) The rate of proliferation was determined by CCK8 assay in VSMCs transfected with overexpression of IGF-1R. (E,F) The phosphorylation of Akt and GSK3β in VSMC was determined with western blot analysis. Data are presented as mean ± SD (n = 6). Comparisons between two groups were analyzed using unpaired nonparametric Student's t-test. *p < 0.05, **p < 0.01, ***p < 0.001 vs Ctrl (miR-NC).

false

  • 660 APC

    APC Anti-IGF1 Receptor antibody [EPR19322]

  • 519 Alexa Fluor® 488

    Alexa Fluor® 488 Anti-IGF1 Receptor antibody [EPR19322]

  • Carrier free

    Anti-IGF1 Receptor antibody [EPR19322] - BSA and Azide free

  • 578 PE

    PE Anti-IGF1 Receptor antibody [EPR19322]

  • Carrier free

    Anti-IGF1 Receptor antibody [EPR19322] - Low endotoxin, Azide free

Key facts

Host species

Rabbit

Clonality

Monoclonal

Clone number

EPR19322

Isotype

IgG

Carrier free

No

Reacts with

Mouse, Rat, Human

Applications

Flow Cyt (Intra), ICC/IF, WB, IP

applications

Immunogen

The exact immunogen used to generate this antibody is proprietary information.

Reactivity data

{ "title": "Reactivity Data", "filters": { "stats": ["", "Species", "Dilution Info", "Notes"], "tabs": { "all-applications": {"fullname" : "All Applications", "shortname": "All Applications"}, "IP" : {"fullname" : "Immunoprecipitation", "shortname":"IP"}, "WB" : {"fullname" : "Western blot", "shortname":"WB"}, "ICCIF" : {"fullname" : "Immunocytochemistry/ Immunofluorescence", "shortname":"ICC/IF"}, "FlowCytIntra" : {"fullname" : "Flow Cytometry (Intracellular)", "shortname":"Flow Cyt (Intra)"} }, "product-promise": { "all": "all", "testedAndGuaranteed": "tested", "guaranteed": "expected", "predicted": "predicted", "notRecommended": "not-recommended" } }, "values": { "Human": { "IP-species-checked": "guaranteed", "IP-species-dilution-info": "", "IP-species-notes": "", "WB-species-checked": "testedAndGuaranteed", "WB-species-dilution-info": "1/1000", "WB-species-notes": "<p></p>", "ICCIF-species-checked": "guaranteed", "ICCIF-species-dilution-info": "", "ICCIF-species-notes": "", "FlowCytIntra-species-checked": "guaranteed", "FlowCytIntra-species-dilution-info": "", "FlowCytIntra-species-notes": "" }, "Mouse": { "IP-species-checked": "testedAndGuaranteed", "IP-species-dilution-info": "1/50", "IP-species-notes": "<p></p>", "WB-species-checked": "testedAndGuaranteed", "WB-species-dilution-info": "1/1000", "WB-species-notes": "<p></p>", "ICCIF-species-checked": "testedAndGuaranteed", "ICCIF-species-dilution-info": "1/1000", "ICCIF-species-notes": "<p></p>", "FlowCytIntra-species-checked": "testedAndGuaranteed", "FlowCytIntra-species-dilution-info": "1/80", "FlowCytIntra-species-notes": "<p></p>" }, "Rat": { "IP-species-checked": "guaranteed", "IP-species-dilution-info": "", "IP-species-notes": "", "WB-species-checked": "testedAndGuaranteed", "WB-species-dilution-info": "1/1000", "WB-species-notes": "<p></p>", "ICCIF-species-checked": "testedAndGuaranteed", "ICCIF-species-dilution-info": "1/1000", "ICCIF-species-notes": "<p></p>", "FlowCytIntra-species-checked": "guaranteed", "FlowCytIntra-species-dilution-info": "", "FlowCytIntra-species-notes": "" } } }

Product details

What is this antibody validated in?
Anti-IGF1 Receptor antibody [EPR19322] (ab182408) is a rabbit recombinant monoclonal antibody and is validated for use in Western Blot (WB), Flow Cytometry (Intra), Flow Cytometry (Flow Cyt), Immunoprecipitation (IP), Immunocytochemistry/immunofluorescence (ICC/IF) in Human, Mouse, Rat samples.

What is the molecular weight of IGF1 Receptor?
Anti-IGF1 Receptor [EPR19322] (ab182408) specifically detects a band for IGF1 Receptor (UniProt: Q60751) at a molecular weight of 156kDa.

Trusted by the scientific community
Anti-IGF1 Receptor [EPR19322] (ab182408) was first used in a scientific publication in 2016 and has been cited over 50 times in peer-reviewed journals.

Trial sizes available!
Test your antibody or perform pre-screening before committing to a larger quantity. Sold in 10µl. Discover our selection of trial-size antibodies.

Specificity confirmed
The specificity of Anti-IGF1 Receptor antibody [EPR19322] (ab182408) has been confirmed by Western blot testing in IGF1R Knockout HAP1 cells.

Other related products
We have a range of other formats of antibody clone [EPR19322] also available for your convenience: ab182408, APC - ab225298, PE - ab225299, Alexa Fluor® 488 - ab225300, Carrier free - ab232380, Carrier free - ab246702

Patented technology
Our RabMAb® technology is a patented hybridoma-based technology for making rabbit monoclonal antibodies. For details on our patents, please refer to RabMAb® patents.

What are the advantages of a recombinant monoclonal antibody?
This product is a recombinant monoclonal antibody, which offers several advantages including:

  • - High batch-to-batch consistency and reproducibility
  • - Improved sensitivity and specificity
  • - Long-term security of supply
  • - Animal-free batch production

For more information, read more on recombinant antibodies.

Properties and storage information

Form
Liquid
Purification technique
Affinity purification Protein A
Storage buffer
pH: 7.2 Preservative: 0.01% Sodium azide Constituents: PBS, 40% Glycerol (glycerin, glycerine), 0.05% BSA
Shipped at conditions
Blue Ice
Appropriate short-term storage duration
1-2 weeks
Appropriate short-term storage conditions
+4°C
Appropriate long-term storage conditions
-20°C
Aliquoting information
Upon delivery aliquot
Storage information
Avoid freeze / thaw cycle

Supplementary information

This supplementary information is collated from multiple sources and compiled automatically.

The IGF1 Receptor often referred to as IGF-1R is a transmembrane receptor protein composed of alpha and beta subunits. Studies indicate that the IGF1R protein is involved in mediating the effects of insulin-like growth factor 1 (IGF-1) and plays an important role in cellular signaling. It has a molecular weight of approximately 180 kDa and is widely expressed in various tissues with high concentrations in the liver muscle and brain. Being a tyrosine kinase receptor IGF1R plays an essential role in growth and metabolism.
Biological function summary

IGF1R contributes to several cellular processes including cell proliferation differentiation and survival. This receptor forms a complex upon ligand binding and undergoes autophosphorylation to activate intracellular signaling cascades. IGF1R activation recruits and phosphorylates insulin receptor substrates enabling the downstream signaling pathways that promote cell growth and survival. Its function in cellular responses makes it a focal point in understanding cell biology.

Pathways

IGF1R holds a central position in the PI3K/AKT and MAPK signaling cascades. These pathways play significant roles in cellular growth proliferation and survival. IGF1R phosphorylates various downstream effectors such as IRS-1 and Shc linking it to the activation of AKT and ERK respectively. Therefore it shares pathways with related proteins like the insulin receptor highlighting its importance in mediating similar biological responses.

IGF1R has been implicated in cancers and diabetes. Overexpression of IGF1R has been observed in various malignancies including breast cancer where it relates to resistance in treatment and poor prognosis with cell lines like MCF-7 often being studied in this context. Additionally disruptions in IGF1R signaling link to insulin resistance an important feature of type 2 diabetes. These connections make IGF1R a potential therapeutic target with IGF1R inhibitors currently under exploration to address these health challenges.

Product protocols

For this product, it's our understanding that no specific protocols are required. You can visit:

Target data

Receptor tyrosine kinase which mediates actions of insulin-like growth factor 1 (IGF1). Binds IGF1 with high affinity and IGF2 and insulin (INS) with a lower affinity. The activated IGF1R is involved in cell growth and survival control. IGF1R is crucial for tumor transformation and survival of malignant cell. Ligand binding activates the receptor kinase, leading to receptor autophosphorylation, and tyrosines phosphorylation of multiple substrates, that function as signaling adapter proteins including, the insulin-receptor substrates (IRS1/2), Shc and 14-3-3 proteins. Phosphorylation of IRSs proteins lead to the activation of two main signaling pathways : the PI3K-AKT/PKB pathway and the Ras-MAPK pathway. The result of activating the MAPK pathway is increased cellular proliferation, whereas activating the PI3K pathway inhibits apoptosis and stimulates protein synthesis. Phosphorylated IRS1 can activate the 85 kDa regulatory subunit of PI3K (PIK3R1), leading to activation of several downstream substrates, including protein AKT/PKB. AKT phosphorylation, in turn, enhances protein synthesis through mTOR activation and triggers the antiapoptotic effects of IGFIR through phosphorylation and inactivation of BAD. In parallel to PI3K-driven signaling, recruitment of Grb2/SOS by phosphorylated IRS1 or Shc leads to recruitment of Ras and activation of the ras-MAPK pathway. In addition to these two main signaling pathways IGF1R signals also through the Janus kinase/signal transducer and activator of transcription pathway (JAK/STAT). Phosphorylation of JAK proteins can lead to phosphorylation/activation of signal transducers and activators of transcription (STAT) proteins. In particular activation of STAT3, may be essential for the transforming activity of IGF1R. The JAK/STAT pathway activates gene transcription and may be responsible for the transforming activity. JNK kinases can also be activated by the IGF1R. IGF1 exerts inhibiting activities on JNK activation via phosphorylation and inhibition of MAP3K5/ASK1, which is able to directly associate with the IGF1R.. When present in a hybrid receptor with INSR, binds IGF1. PubMed : 12138094 shows that hybrid receptors composed of IGF1R and INSR isoform Long are activated with a high affinity by IGF1, with low affinity by IGF2 and not significantly activated by insulin, and that hybrid receptors composed of IGF1R and INSR isoform Short are activated by IGF1, IGF2 and insulin. In contrast, PubMed : 16831875 shows that hybrid receptors composed of IGF1R and INSR isoform Long and hybrid receptors composed of IGF1R and INSR isoform Short have similar binding characteristics, both bind IGF1 and have a low affinity for insulin.
See full target information IGF1R

Publications (93)

Recent publications for all applications. Explore the full list and refine your search

Journal of translational internal medicine 13:281-294 PubMed40896287

2025

N-acetylglucosaminyltransferase V attenuates myocardial infarction by mediating the insulin-like growth factor 1 receptor signaling pathway.

Applications

Unspecified application

Species

Unspecified reactive species

Tianqi Chang,Yangya'nan Jin,Chenyu Fan,Hu Wang,Ling Jin,Yidan Shi,Houhua Li,Jiaxing Wang,Ming Xu

Frontiers in oncology 15:1619171 PubMed40837013

2025

SPOCK1 promotes the progression of breast cancer by modulating cancer-associated fibroblasts and exerts a synergistic effect with ANXA2.

Applications

Unspecified application

Species

Unspecified reactive species

Yuan Jie,Xin Fei,Meng Fan

The Journal of international medical research 53:3000605251362984 PubMed40794423

2025

CircDock6 drives metabolic dysfunction-associated steatotic liver disease progression in mice and mouse hepatocytes via mmu-let-7g-5p/insulin-like growth factor 1 receptor regulation.

Applications

Unspecified application

Species

Unspecified reactive species

Hongpeng Lu,Xiaoyun Ding,Peifei Li

The Journal of biological chemistry 301:110447 PubMed40615043

2025

Vacuole protein sorting 18 (Vps18) suppresses epithelial growth factor receptor (EGFR) expression and lung tumorigenesis.

Applications

Unspecified application

Species

Unspecified reactive species

Wuhou Dai,Shujing Zhang,Shunfei Yan,Hao Zhang,Sha Zou,Tonglu Yu,Wufan Tao,Hengning Ke,Xingrong Du

Scientific reports 15:23083 PubMed40593070

2025

Exercise ameliorates nonalcoholic fatty liver disease by reducing the IGFBP5 to IGF1 ratio to activate AMPK pathway.

Applications

Unspecified application

Species

Unspecified reactive species

Yang Yu,Guanxiong Zhu,Zeyu Zhang,Huiguo Wang,Liting Zeng,Jingbo Xia,Xiaoguang Liu,Chunlu Fang,Shujing Liu,Yunjie Yang,Lina Yu

Life science alliance 8: PubMed40523800

2025

No evidence that human GIGYF2 interacts with GRB10: implications for human disease.

Applications

Unspecified application

Species

Unspecified reactive species

Jung-Hyun Choi,Israel Shpilman,Niaz Mahmood,Shaghayegh Farhangmehr,Ulrich Braunschweig,Nathalia Gomide Cruz,Jun Luo,Reese Jalal Ladak,Angelos Pistofidis,Jiannis Ragoussis,T Martin Schmeing,Seyed Mehdi Jafarnejad,Benjamin J Blencowe,Nahum Sonenberg

Discover oncology 16:1058 PubMed40500564

2025

IGF1/IGF1R signaling promotes the expansion of liver CSCs and serves as a potential therapeutic target in HCC.

Applications

Unspecified application

Species

Unspecified reactive species

Qiuju Tian,Qun Zhang,Bin Wang,Yanzhi Qian,Fengchao Liu

PloS one 20:e0324209 PubMed40489480

2025

Hepatic transcriptome profiling unveils candidate genes in cattle with liver abscesses under the influence of beef genetics in dairy cattle.

Applications

Unspecified application

Species

Unspecified reactive species

Luana D Felizari,Sydney M Bowman,Chiquito J Crasto,Jhones O Sarturi,Dale R Woerner,Bradley J Johnson

International urogynecology journal 36:1523-1531 PubMed40478270

2025

Expressions of IGF-1, pAKT, and pS6 in Uterosacral Ligaments of Patients with Pelvic Organ Prolapse.

Applications

Unspecified application

Species

Unspecified reactive species

Hongling Xu,Gensheng Wang,Qing Li,Xuemei Wang,Dongdi Xu

Drug design, development and therapy 19:4123-4138 PubMed40416794

2025

Potential of Sivelestat for Pulmonary Arterial Hypertension Treatment: Network Pharmacology-Based Target Identification and Mechanistic Exploration.

Applications

Unspecified application

Species

Unspecified reactive species

Xiaodong Deng,Pengcheng Qiu,Xin Li,Yukun Hu,Qing Que,Kunchi Zhang,Tianlin Deng,Yi Liu
View all publications

Product promise

We are committed to supporting your work with high-quality reagents, and we're here for you every step of the way. In the unlikely event that one of our products does not perform as expected, you're protected by our Product Promise.
For full details, please see our Terms & Conditions

Please note: All products are 'FOR RESEARCH USE ONLY. NOT FOR USE IN DIAGNOSTIC OR THERAPEUTIC PROCEDURES'.

For licensing inquiries, please contact partnerships@abcam.com