JavaScript is disabled in your browser. Please enable JavaScript to view this website.
AB39398

Anti-IGF1 Receptor (phospho Y1161) antibody

4

(18 Reviews)

|

(85 Publications)

Rabbit Polyclonal IGF1 Receptor phospho Y1161 antibody. Suitable for WB, IHC-P and reacts with Recombinant fragment, Human samples. Cited in 85 publications. Immunogen corresponding to Synthetic Peptide within Human IGF1R phospho Y1161.

View Alternative Names

CD221, Insulin-like growth factor 1 receptor, Insulin-like growth factor I receptor, IGF-I receptor, IGF1R

4 Images
Immunohistochemistry (Formalin/PFA-fixed paraffin-embedded sections) - Anti-IGF1 Receptor (phospho Y1161) antibody (AB39398)
  • IHC-P

AbReview15719****

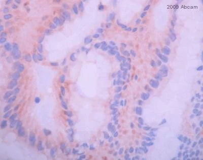
Immunohistochemistry (Formalin/PFA-fixed paraffin-embedded sections) - Anti-IGF1 Receptor (phospho Y1161) antibody (AB39398)

Immunohistochemistry (Formalin/PFA-fixed paraffin-embedded sections) analysis of human stomach tissue sections labeling IGF1 Receptor (phospho Y1161) with ab39398 at 1/100 dilution. The tissue was fixed with formaldehyde; heat mediated antigen retrieval was performed using a citrate buffer pH 6.0. The tissue was blocked with 5% serum for 1 hour at 23°C followed by incubation with ab39398 at 1/100 for 1 hour at 23°C. An undiluted polyclonal goat anti-rabbit HRP conjugated secondary antibody was used.

This image is courtesy of an anonymous abreview.

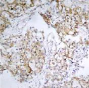
Immunohistochemistry (Formalin/PFA-fixed paraffin-embedded sections) - Anti-IGF1 Receptor (phospho Y1161) antibody (AB39398)
  • IHC-P

Unknown

Immunohistochemistry (Formalin/PFA-fixed paraffin-embedded sections) - Anti-IGF1 Receptor (phospho Y1161) antibody (AB39398)

Immunohistochemical analysis of paraffin-embedded human breast carcinoma tissue using ab39398 diluted 1 : 50 after pre-incubation with the immunogen (synthetic phosphopeptide)

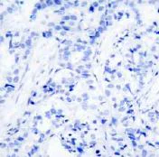
Immunohistochemistry (Formalin/PFA-fixed paraffin-embedded sections) - Anti-IGF1 Receptor (phospho Y1161) antibody (AB39398)
  • IHC-P

Unknown

Immunohistochemistry (Formalin/PFA-fixed paraffin-embedded sections) - Anti-IGF1 Receptor (phospho Y1161) antibody (AB39398)

Immunohistochemical analysis of paraffin-embedded human breast carcinoma tissue using ab39398 diluted 1 : 50.

Western blot - Anti-IGF1 Receptor (phospho Y1161) antibody (AB39398)
  • WB

Unknown

Western blot - Anti-IGF1 Receptor (phospho Y1161) antibody (AB39398)

Western blot analysis using IGF1 Receptor antibody (ab39675, Lane 1, 2 and 3) and IGF1 Receptor (phospho-Tyr1161) antibody (ab39398, Lane 4 and 5).

All lanes:

Western blot - Anti-IGF1 Receptor (phospho Y1161) antibody (ab39398)

Predicted band size: 154 kDa

false

Key facts

Host species

Rabbit

Clonality

Polyclonal

Isotype

IgG

Carrier free

No

Reacts with

Human

Applications

WB, IHC-P

applications

Immunogen

Synthetic Peptide within Human IGF1R phospho Y1161. The exact immunogen used to generate this antibody is proprietary information.

P08069

Reactivity data

{ "title": "Reactivity Data", "filters": { "stats": ["", "Species", "Dilution Info", "Notes"], "tabs": { "all-applications": {"fullname" : "All Applications", "shortname": "All Applications"}, "WB" : {"fullname" : "Western blot", "shortname":"WB"}, "IHCP" : {"fullname" : "Immunohistochemistry (Formalin/PFA-fixed paraffin-embedded sections)", "shortname":"IHC-P"} }, "product-promise": { "all": "all", "testedAndGuaranteed": "tested", "guaranteed": "expected", "predicted": "predicted", "notRecommended": "not-recommended" } }, "values": { "Human": { "WB-species-checked": "guaranteed", "WB-species-dilution-info": "", "WB-species-notes": "", "IHCP-species-checked": "testedAndGuaranteed", "IHCP-species-dilution-info": "1/50 - 1/100", "IHCP-species-notes": "<p></p>" }, "Mouse": { "WB-species-checked": "predicted", "WB-species-dilution-info": "", "WB-species-notes": "", "IHCP-species-checked": "predicted", "IHCP-species-dilution-info": "", "IHCP-species-notes": "" }, "Rat": { "WB-species-checked": "predicted", "WB-species-dilution-info": "", "WB-species-notes": "", "IHCP-species-checked": "predicted", "IHCP-species-dilution-info": "", "IHCP-species-notes": "" }, "Recombinant fragment": { "WB-species-checked": "testedAndGuaranteed", "WB-species-dilution-info": "1/500 - 1/1000", "WB-species-notes": "<p></p>", "IHCP-species-checked": "notRecommended", "IHCP-species-dilution-info": "", "IHCP-species-notes": "" } } }

Properties and storage information

Form
Liquid
Purification technique
Affinity purification Immunogen
Purification notes
ab39398 was affinity purified from rabbit antiserum by affinity chromatography using an epitope specific phosphopeptide. The antibody against non-phosphopeptide was removed by chromatography using a non-phosphopeptide corresponding to the phosphorylation site.
Storage buffer
pH: 7 Preservative: 0.02% Sodium azide Constituents: PBS, 50% Glycerol (glycerin, glycerine), 0.87% Sodium chloride
Shipped at conditions
Blue Ice
Appropriate short-term storage conditions
+4°C
Appropriate long-term storage conditions
-20°C
Aliquoting information
Upon delivery aliquot
Storage information
Avoid freeze / thaw cycle

Supplementary information

This supplementary information is collated from multiple sources and compiled automatically.

The IGF1 Receptor often referred to as IGF-1R is a transmembrane receptor protein composed of alpha and beta subunits. Studies indicate that the IGF1R protein is involved in mediating the effects of insulin-like growth factor 1 (IGF-1) and plays an important role in cellular signaling. It has a molecular weight of approximately 180 kDa and is widely expressed in various tissues with high concentrations in the liver muscle and brain. Being a tyrosine kinase receptor IGF1R plays an essential role in growth and metabolism.
Biological function summary

IGF1R contributes to several cellular processes including cell proliferation differentiation and survival. This receptor forms a complex upon ligand binding and undergoes autophosphorylation to activate intracellular signaling cascades. IGF1R activation recruits and phosphorylates insulin receptor substrates enabling the downstream signaling pathways that promote cell growth and survival. Its function in cellular responses makes it a focal point in understanding cell biology.

Pathways

IGF1R holds a central position in the PI3K/AKT and MAPK signaling cascades. These pathways play significant roles in cellular growth proliferation and survival. IGF1R phosphorylates various downstream effectors such as IRS-1 and Shc linking it to the activation of AKT and ERK respectively. Therefore it shares pathways with related proteins like the insulin receptor highlighting its importance in mediating similar biological responses.

IGF1R has been implicated in cancers and diabetes. Overexpression of IGF1R has been observed in various malignancies including breast cancer where it relates to resistance in treatment and poor prognosis with cell lines like MCF-7 often being studied in this context. Additionally disruptions in IGF1R signaling link to insulin resistance an important feature of type 2 diabetes. These connections make IGF1R a potential therapeutic target with IGF1R inhibitors currently under exploration to address these health challenges.

Product protocols

For this product, it's our understanding that no specific protocols are required. You can visit:

Target data

Receptor tyrosine kinase which mediates actions of insulin-like growth factor 1 (IGF1). Binds IGF1 with high affinity and IGF2 and insulin (INS) with a lower affinity. The activated IGF1R is involved in cell growth and survival control. IGF1R is crucial for tumor transformation and survival of malignant cell. Ligand binding activates the receptor kinase, leading to receptor autophosphorylation, and tyrosines phosphorylation of multiple substrates, that function as signaling adapter proteins including, the insulin-receptor substrates (IRS1/2), Shc and 14-3-3 proteins. Phosphorylation of IRSs proteins lead to the activation of two main signaling pathways : the PI3K-AKT/PKB pathway and the Ras-MAPK pathway. The result of activating the MAPK pathway is increased cellular proliferation, whereas activating the PI3K pathway inhibits apoptosis and stimulates protein synthesis. Phosphorylated IRS1 can activate the 85 kDa regulatory subunit of PI3K (PIK3R1), leading to activation of several downstream substrates, including protein AKT/PKB. AKT phosphorylation, in turn, enhances protein synthesis through mTOR activation and triggers the antiapoptotic effects of IGFIR through phosphorylation and inactivation of BAD. In parallel to PI3K-driven signaling, recruitment of Grb2/SOS by phosphorylated IRS1 or Shc leads to recruitment of Ras and activation of the ras-MAPK pathway. In addition to these two main signaling pathways IGF1R signals also through the Janus kinase/signal transducer and activator of transcription pathway (JAK/STAT). Phosphorylation of JAK proteins can lead to phosphorylation/activation of signal transducers and activators of transcription (STAT) proteins. In particular activation of STAT3, may be essential for the transforming activity of IGF1R. The JAK/STAT pathway activates gene transcription and may be responsible for the transforming activity. JNK kinases can also be activated by the IGF1R. IGF1 exerts inhibiting activities on JNK activation via phosphorylation and inhibition of MAP3K5/ASK1, which is able to directly associate with the IGF1R.. When present in a hybrid receptor with INSR, binds IGF1. PubMed : 12138094 shows that hybrid receptors composed of IGF1R and INSR isoform Long are activated with a high affinity by IGF1, with low affinity by IGF2 and not significantly activated by insulin, and that hybrid receptors composed of IGF1R and INSR isoform Short are activated by IGF1, IGF2 and insulin. In contrast, PubMed : 16831875 shows that hybrid receptors composed of IGF1R and INSR isoform Long and hybrid receptors composed of IGF1R and INSR isoform Short have similar binding characteristics, both bind IGF1 and have a low affinity for insulin.
See full target information IGF1R phospho Y1161

Publications (85)

Recent publications for all applications. Explore the full list and refine your search

Frontiers in immunology 16:1638526 PubMed40969744

2025

Immunoprevention of triple-negative breast cancer with a novel multivalent vaccine.

Applications

Unspecified application

Species

Unspecified reactive species

Sang Beom Lee,Jianfei Qian,Jing Pan,Shizuko Sei,Yian Wang,Ming You

Communications medicine 5:206 PubMed40437228

2025

Computational and biological modeling of IGF1R inhibition for multifocal medulloblastoma.

Applications

Unspecified application

Species

Unspecified reactive species

Alyssa G Almer,Samuel V Rasmussen,Dina Kats,Matthew N Svalina,Bonnie L Cole,Mohammadreza Khani,Sonja Chen,Samuel H Cheshier,Bryn A Martin,Noah E Berlow,Charles Keller

Cell communication and signaling : CCS 23:188 PubMed40254588

2025

IGF-1 promotes trophectoderm cell proliferation of porcine embryos by activating the Wnt/β-catenin pathway.

Applications

Unspecified application

Species

Unspecified reactive species

Min Ju Kim,Hyo-Gu Kang,Se-Been Jeon,Ji Hyeon Yun,Eun Young Choi,Pil-Soo Jeong,Bong-Seok Song,Sun-Uk Kim,Seong-Keun Cho,Bo-Woong Sim

World journal of gastrointestinal oncology 16:3585-3599 PubMed39171181

2024

Insulin-like growth factor 2 targets IGF1R signaling transduction to facilitate metastasis and imatinib resistance in gastrointestinal stromal tumors.

Applications

Unspecified application

Species

Unspecified reactive species

De-Gang Li,Jia-Peng Jiang,Fan-Ye Chen,Wei Wu,Jun Fu,Gong-He Wang,Yu-Bo Li

Microbiology spectrum 12:e0283823 PubMed38197658

2024

Application of bacteriophage φPaP11-13 attenuates rat infection lesions by promoting keratinocytes apoptosis via inhibiting PI3K/Akt pathway.

Applications

Unspecified application

Species

Unspecified reactive species

Yuanyuan Liu,Ni Zhen,Danxi Liao,Jiahui Niu,Ruolan Liu,Zijiao Li,Zeyuan Lei,Zichen Yang

Communications medicine 3:60 PubMed37117276

2023

Digital morphometry and cluster analysis identifies four types of melanocyte during uveal melanoma progression.

Applications

Unspecified application

Species

Unspecified reactive species

Gustav Stålhammar,Viktor Torgny Gill

Acta neuropathologica communications 11:35 PubMed36890580

2023

Insulin-like growth factor-1 receptor controls the function of CNS-resident macrophages and their contribution to neuroinflammation.

Applications

Unspecified application

Species

Unspecified reactive species

Daniela C Ivan,Kristina Carolin Berve,Sabrina Walthert,Gianni Monaco,Katharina Borst,Elisa Bouillet,Filipa Ferreira,Henry Lee,Jasmin Steudler,Thorsten Buch,Marco Prinz,Britta Engelhardt,Giuseppe Locatelli

Pharmaceuticals (Basel, Switzerland) 16: PubMed37259440

2023

Targeting the IGF-Axis in Cultured Pediatric High-Grade Glioma Cells Inhibits Cell Cycle Progression and Survival.

Applications

Unspecified application

Species

Unspecified reactive species

Yinhsuan Michely Chen,Matthew Leibovitch,Michele Zeinieh,Nada Jabado,Pnina Brodt

Frontiers in immunology 13:955800 PubMed36405701

2022

mutation predicts the effect of immune checkpoint inhibitor: From NSCLC to multiple cancers.

Applications

Unspecified application

Species

Unspecified reactive species

Wenxiang Ji,Xiaomin Niu,Yongfeng Yu,Ziming Li,LinPing Gu,Shun Lu

Genetics research 2022:1500768 PubMed36325267

2022

Upregulation of Klotho Aggravates Insulin Resistance in Gestational Diabetes Mellitus Trophoblast Cells.

Applications

Unspecified application

Species

Unspecified reactive species

Li Lin,Xinyu Wang,Weihua Zhao,Yaxuan Chen
View all publications

Product promise

We are committed to supporting your work with high-quality reagents, and we're here for you every step of the way. In the unlikely event that one of our products does not perform as expected, you're protected by our Product Promise.
For full details, please see our Terms & Conditions

Please note: All products are 'FOR RESEARCH USE ONLY. NOT FOR USE IN DIAGNOSTIC OR THERAPEUTIC PROCEDURES'.

For licensing inquiries, please contact partnerships@abcam.com