JavaScript is disabled in your browser. Please enable JavaScript to view this website.
AB317491

Anti-IGF2 antibody [EPR25955-88] - BSA and Azide free

Be the first to review this product! Submit a review

|

(0 Publication)

Rabbit Recombinant Monoclonal IGF2 antibody. Carrier free. Suitable for WB, IP and reacts with Recombinant fragment - Human, Mouse samples.

View Alternative Names

Igf-2, Igf2, Insulin-like growth factor 2, Insulin-like growth factor II, Multiplication-stimulating polypeptide, IGF-II

3 Images
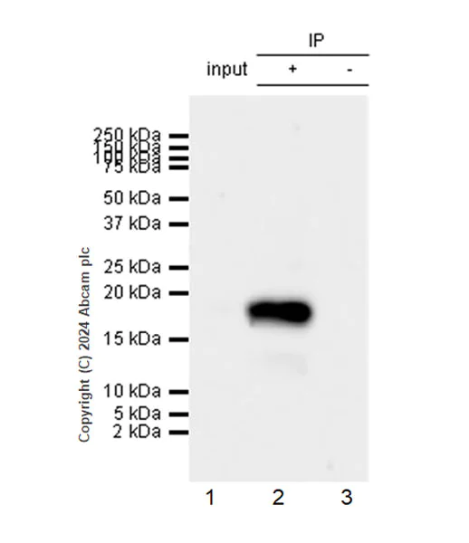
Immunoprecipitation - Anti-IGF2 antibody [EPR25955-88] - BSA and Azide free (AB317491)
  • IP

Supplier Data

Immunoprecipitation - Anti-IGF2 antibody [EPR25955-88] - BSA and Azide free (AB317491)

This data was developed using ab317490, the same antibody clone in a different buffer formulation.

IGF2 was immunoprecipitated from 0.35 mg Mouse placenta tissue lysate with ab317490 at 1/30 dilution (2ug in 0.35mg lysates). Western blot was performed on the immunoprecipitate using ab317490 at 1/1000 dilution. VeriBlot for IP secondary antibody(HRP)(ab131366) was used at 1/5000 dilution.

Lane 1 : Mouse placenta tissue lysate
Lane 2 : ab317490 IP in Mouse placenta tissue lysate
Lane 3 : Rabbit monoclonal IgG (ab172730) instead of ab317490 in mouse placenta tissue lysate

All lanes:

Immunoprecipitation - Anti-IGF2 antibody [EPR25955-88] (<a href='/en-us/products/primary-antibodies/igf2-antibody-epr25955-88-ab317490'>ab317490</a>) at 1/30 dilution

All lanes:

Mouse placenta tissue lysate with NFDM/TBST

Secondary

All lanes:

Immunoprecipitation - VeriBlot for IP Detection Reagent (HRP) (<a href='/en-us/products/reagents/veriblot-for-ip-detection-reagent-hrp-ab131366'>ab131366</a>) at 1/5000 dilution

false

Exposure time: 24s

Western blot - Anti-IGF2 antibody [EPR25955-88] - BSA and Azide free (AB317491)
  • WB

Supplier Data

Western blot - Anti-IGF2 antibody [EPR25955-88] - BSA and Azide free (AB317491)

This data was developed using ab317490, the same antibody clone in a different buffer formulation.

Low expression : pancreas, kidney, liver.

The identity of the bands higher than 25 kDa are unknown.

In Western blot, Anti-GAPDH antibody [EPR16891] - Loading Control (ab181602) staining at 1/200000 dilution.

All lanes:

Western blot - Anti-IGF2 antibody [EPR25955-88] (<a href='/en-us/products/primary-antibodies/igf2-antibody-epr25955-88-ab317490'>ab317490</a>) at 1/1000 dilution

Lane 1:

Mouse placenta tissue lysate at 30 µg with NFDM/TBST

Lane 2:

Mouse pancreas tissue lysate at 20 µg with NFDM/TBST

Lane 3:

Mouse kidney tissue lysate at 20 µg with NFDM/TBST

Lane 4:

Mouse liver tissue lysate at 20 µg with NFDM/TBST

Secondary

All lanes:

Western blot - Goat Anti-Rabbit IgG H&L (HRP) (<a href='/en-us/products/secondary-antibodies/goat-rabbit-igg-h-l-hrp-ab97051'>ab97051</a>) at 1/20000 dilution

Observed band size: 18 kDa,36 kDa

false

Exposure time: 180s

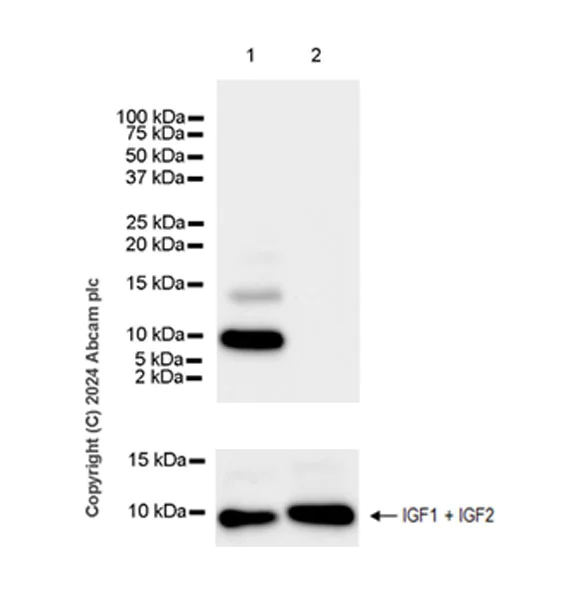
Western blot - Anti-IGF2 antibody [EPR25955-88] - BSA and Azide free (AB317491)
  • WB

Supplier Data

Western blot - Anti-IGF2 antibody [EPR25955-88] - BSA and Azide free (AB317491)

This data was developed using ab317490, the same antibody clone in a different buffer formulation.

This antibody does not cross-react with mouse IGF1.

In Western blot, Anti-IGF1 + IGF2 antibody - staining at 1/500 dilution.

All lanes:

Western blot - Anti-IGF2 antibody [EPR25955-88] (<a href='/en-us/products/primary-antibodies/igf2-antibody-epr25955-88-ab317490'>ab317490</a>) at 1/1000 dilution

Lane 1:

Mouse IGF2 active protein at 10 ng with NFDM/TBST

Lane 2:

Mouse IGF1 active protein at 10 ng with NFDM/TBST

Secondary

All lanes:

Western blot - Goat Anti-Rabbit IgG H&L (HRP) (<a href='/en-us/products/secondary-antibodies/goat-rabbit-igg-h-l-hrp-ab97051'>ab97051</a>) at 1/20000 dilution

Observed band size: 8 kDa

false

Exposure time: 15s

Key facts

Host species

Rabbit

Clonality

Monoclonal

Clone number

EPR25955-88

Isotype

IgG

Carrier free

Yes

Reacts with

Mouse

Applications

WB, IP

applications

Immunogen

The exact immunogen used to generate this antibody is proprietary information.

Reactivity data

{ "title": "Reactivity Data", "filters": { "stats": ["", "Species", "Dilution Info", "Notes"], "tabs": { "all-applications": {"fullname" : "All Applications", "shortname": "All Applications"}, "WB" : {"fullname" : "Western blot", "shortname":"WB"}, "IP" : {"fullname" : "Immunoprecipitation", "shortname":"IP"}, "FlowCytIntra" : {"fullname" : "Flow Cytometry (Intracellular)", "shortname":"Flow Cyt (Intra)"}, "ICCIF" : {"fullname" : "Immunocytochemistry/ Immunofluorescence", "shortname":"ICC/IF"}, "IHCP" : {"fullname" : "Immunohistochemistry (Formalin/PFA-fixed paraffin-embedded sections)", "shortname":"IHC-P"} }, "product-promise": { "all": "all", "testedAndGuaranteed": "tested", "guaranteed": "expected", "predicted": "predicted", "notRecommended": "not-recommended" } }, "values": { "Human": { "WB-species-checked": "notRecommended", "WB-species-dilution-info": "", "WB-species-notes": "<p></p>", "IP-species-checked": "notRecommended", "IP-species-dilution-info": "", "IP-species-notes": "", "FlowCytIntra-species-checked": "notRecommended", "FlowCytIntra-species-dilution-info": "", "FlowCytIntra-species-notes": "", "ICCIF-species-checked": "notRecommended", "ICCIF-species-dilution-info": "", "ICCIF-species-notes": "", "IHCP-species-checked": "notRecommended", "IHCP-species-dilution-info": "", "IHCP-species-notes": "<p></p>" }, "Mouse": { "WB-species-checked": "testedAndGuaranteed", "WB-species-dilution-info": "", "WB-species-notes": "<p></p>", "IP-species-checked": "testedAndGuaranteed", "IP-species-dilution-info": "", "IP-species-notes": "<p></p>", "FlowCytIntra-species-checked": "notRecommended", "FlowCytIntra-species-dilution-info": "", "FlowCytIntra-species-notes": "<p></p>", "ICCIF-species-checked": "notRecommended", "ICCIF-species-dilution-info": "", "ICCIF-species-notes": "<p></p>", "IHCP-species-checked": "notRecommended", "IHCP-species-dilution-info": "", "IHCP-species-notes": "<p></p>" }, "Rat": { "WB-species-checked": "notRecommended", "WB-species-dilution-info": "", "WB-species-notes": "<p></p>", "IP-species-checked": "notRecommended", "IP-species-dilution-info": "", "IP-species-notes": "", "FlowCytIntra-species-checked": "notRecommended", "FlowCytIntra-species-dilution-info": "", "FlowCytIntra-species-notes": "", "ICCIF-species-checked": "notRecommended", "ICCIF-species-dilution-info": "", "ICCIF-species-notes": "", "IHCP-species-checked": "notRecommended", "IHCP-species-dilution-info": "", "IHCP-species-notes": "<p></p>" }, "Recombinant fragment - Human": { "WB-species-checked": "testedAndGuaranteed", "WB-species-dilution-info": "", "WB-species-notes": "<p></p>", "IP-species-checked": "notRecommended", "IP-species-dilution-info": "", "IP-species-notes": "", "FlowCytIntra-species-checked": "notRecommended", "FlowCytIntra-species-dilution-info": "", "FlowCytIntra-species-notes": "", "ICCIF-species-checked": "notRecommended", "ICCIF-species-dilution-info": "", "ICCIF-species-notes": "", "IHCP-species-checked": "notRecommended", "IHCP-species-dilution-info": "", "IHCP-species-notes": "" } } }

Product details

ab317491 is the carrirer-free version of ab317490.

Patented technology
Our RabMAb® technology is a patented hybridoma-based technology for making rabbit monoclonal antibodies. For details on our patents, please refer to RabMAb® patents.

What are the advantages of a recombinant monoclonal antibody?
This product is a recombinant monoclonal antibody, which offers several advantages including:

  • - High batch-to-batch consistency and reproducibility
  • - Improved sensitivity and specificity
  • - Long-term security of supply
  • - Animal-free batch production

For more information, read more on recombinant antibodies.

Conjugation ready
Our carrier-free antibodies are typically supplied in a PBS-only formulation, purified and free of BSA, sodium azide and glycerol. This conjugation-ready format is designed for use with fluorochromes, metal isotopes, oligonucleotides, and enzymes, which makes them ideal for antibody labelling, functional and cell-based assays, flow-based assays (e.g. mass cytometry) and Multiplex Imaging applications.

Use our conjugation kits for antibody conjugates that are ready-to-use in as little as 20 minutes with 1 minute hands-on-time and 100% antibody recovery: available for fluorescent dyes, HRP, biotin and gold.

Compatibility
This product is compatible with the Maxpar® Antibody Labeling Kit from Fluidigm, without the need for antibody preparation. Maxpar® is a trademark of Fluidigm Canada Inc.

Properties and storage information

Form
Liquid
Purification technique
Affinity purification Protein A
Storage buffer
pH: 7.2 - 7.4 Constituents: PBS
Shipped at conditions
Blue Ice
Appropriate short-term storage conditions
+4°C
Appropriate long-term storage conditions
+4°C

Product protocols

For this product, it's our understanding that no specific protocols are required. You can visit:

Target data

The insulin-like growth factors possess growth-promoting activity (PubMed : 29440408). Major fetal growth hormone in mammals. Plays a key role in regulating fetoplacental development (Probable) (PubMed : 12087403, PubMed : 2330056). IGF2 is influenced by placental lactogen (Probable). Also involved in tissue differentiation (Probable). In adults, involved in glucose metabolism in adipose tissue, skeletal muscle and liver (Probable). Acts as a ligand for integrin which is required for IGF2 signaling (By similarity). Positively regulates myogenic transcription factor MYOD1 function by facilitating the recruitment of transcriptional coactivators, thereby controlling muscle terminal differentiation (PubMed : 16901893). Inhibits myoblast differentiation and modulates metabolism via increasing the mitochondrial respiration rate (PubMed : 32557799).. Preptin undergoes glucose-mediated co-secretion with insulin, and acts as a physiological amplifier of glucose-mediated insulin secretion. Exhibits osteogenic properties by increasing osteoblast mitogenic activity through phosphoactivation of MAPK1 and MAPK3.
See full target information Igf2

Product promise

We are committed to supporting your work with high-quality reagents, and we're here for you every step of the way. In the unlikely event that one of our products does not perform as expected, you're protected by our Product Promise.
For full details, please see our Terms & Conditions

Please note: All products are 'FOR RESEARCH USE ONLY. NOT FOR USE IN DIAGNOSTIC OR THERAPEUTIC PROCEDURES'.

For licensing inquiries, please contact partnerships@abcam.com