JavaScript is disabled in your browser. Please enable JavaScript to view this website.
AB129071

Anti-IGF2BP1 + IGF2BP2 antibody [EPR6740(2)]

Be the first to review this product! Submit a review

|

(15 Publications)

Rabbit Recombinant Monoclonal IGF2BP2/IMP-2 antibody. Suitable for IHC-P, WB and reacts with Human, Recombinant full length protein - Human samples. Cited in 15 publications.

View Alternative Names

IMP2, VICKZ2, IGF2BP2, Insulin-like growth factor 2 mRNA-binding protein 2, IGF2 mRNA-binding protein 2, IMP-2, Hepatocellular carcinoma autoantigen p62, IGF-II mRNA-binding protein 2, VICKZ family member 2

4 Images
Immunohistochemistry (Formalin/PFA-fixed paraffin-embedded sections) - Anti-IGF2BP1 + IGF2BP2 antibody [EPR6740(2)] (AB129071)
  • IHC-P

Unknown

Immunohistochemistry (Formalin/PFA-fixed paraffin-embedded sections) - Anti-IGF2BP1 + IGF2BP2 antibody [EPR6740(2)] (AB129071)

ab129071 at 1/50 dilution staining IGF2BP1 + IGF2BP2 in paraffin-embedded Human colon tissue by Immunohistochemistry

Perform heat mediated antigen retrieval before commencing with IHC staining protocol.

Western blot - Anti-IGF2BP1 + IGF2BP2 antibody [EPR6740(2)] (AB129071)
  • WB

Unknown

Western blot - Anti-IGF2BP1 + IGF2BP2 antibody [EPR6740(2)] (AB129071)

All lanes:

Western blot - Anti-IGF2BP1 + IGF2BP2 antibody [EPR6740(2)] (ab129071) at 1/1000 dilution

Lane 1:

293T (Human embryonic kidney epithelial cell) cell lysate at 10 µg

Lane 2:

Caco-2 cell lysate at 10 µg

Secondary

All lanes:

Goat anti-Rabbit HRP at 1/2000 dilution

Predicted band size: 10 kDa,33 kDa,38 kDa,41 kDa,43 kDa,66 kDa,78 kDa

Observed band size: 10 kDa,38 kDa,78 kDa

false

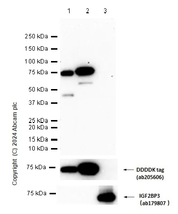
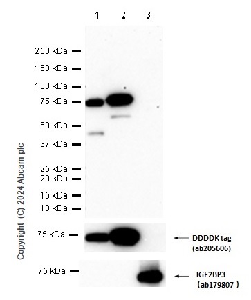
Western blot - Anti-IGF2BP1 + IGF2BP2 antibody [EPR6740(2)] (AB129071)
  • WB

Lab

Western blot - Anti-IGF2BP1 + IGF2BP2 antibody [EPR6740(2)] (AB129071)

Blocking and diluting buffer and concentration : 5% NFDM/TBST.

All lanes:

Western blot - Anti-IGF2BP1 + IGF2BP2 antibody [EPR6740(2)] (ab129071) at 1/1000 dilution

Lane 1:

C-Myc/DDK -tagged full length Human IGF2BP1 recombinant protein at 10 ng

Lane 2:

C-Myc/DDK -tagged full length Human IGF2BP2 recombinant protein at 10 ng

Lane 3:

N-His -tagged full length Human IGF2BP3 recombinant protein at 10 ng

Secondary

All lanes:

Western blot - Goat Anti-Rabbit IgG H&L (HRP) (<a href='/en-us/products/secondary-antibodies/goat-rabbit-igg-h-l-hrp-ab97051'>ab97051</a>) at 1/20000 dilution

Observed band size: 75 kDa

false

Exposure time: 180s

OI-RD Scanning - Anti-IGF2BP1 + IGF2BP2 antibody [EPR6740(2)] (AB129071)
  • OI-RD Scanning

Unknown

OI-RD Scanning - Anti-IGF2BP1 + IGF2BP2 antibody [EPR6740(2)] (AB129071)

We have systematically measured KD (the equilibrium dissociation constant between the antibody and its antigen), of more than 840 recombinant antibodies to assess not only their individual KD values but also to see the average affinity of antibody. Based on the comparison with published literature values for mouse monoclonal antibodies, Recombinant antibodies appear to be on average 1-2 order of magnitude higher affinity.

  • Carrier free

    Anti-IGF2BP1 + IGF2BP2 antibody [EPR6740(2)] - BSA and Azide free

Key facts

Host species

Rabbit

Clonality

Monoclonal

Clone number

EPR6740(2)

Isotype

IgG

Carrier free

No

Reacts with

Human

Applications

IHC-P, WB

applications

Immunogen

The exact immunogen used to generate this antibody is proprietary information.

Reactivity data

{ "title": "Reactivity Data", "filters": { "stats": ["", "Species", "Dilution Info", "Notes"], "tabs": { "all-applications": {"fullname" : "All Applications", "shortname": "All Applications"}, "IHCP" : {"fullname" : "Immunohistochemistry (Formalin/PFA-fixed paraffin-embedded sections)", "shortname":"IHC-P"}, "IP" : {"fullname" : "Immunoprecipitation", "shortname":"IP"}, "FlowCyt" : {"fullname" : "Flow Cytometry", "shortname":"Flow Cyt"}, "WB" : {"fullname" : "Western blot", "shortname":"WB"}, "ICCIF" : {"fullname" : "Immunocytochemistry/ Immunofluorescence", "shortname":"ICC/IF"} }, "product-promise": { "all": "all", "testedAndGuaranteed": "tested", "guaranteed": "expected", "predicted": "predicted", "notRecommended": "not-recommended" } }, "values": { "Human": { "IHCP-species-checked": "testedAndGuaranteed", "IHCP-species-dilution-info": "1/50 - 1/100", "IHCP-species-notes": "<p></p>", "IP-species-checked": "notRecommended", "IP-species-dilution-info": "", "IP-species-notes": "<p></p>", "FlowCyt-species-checked": "notRecommended", "FlowCyt-species-dilution-info": "", "FlowCyt-species-notes": "<p></p>", "WB-species-checked": "testedAndGuaranteed", "WB-species-dilution-info": "1/1000 - 1/10000", "WB-species-notes": "<p></p>", "ICCIF-species-checked": "notRecommended", "ICCIF-species-dilution-info": "", "ICCIF-species-notes": "<p></p>" }, "Mouse": { "IHCP-species-checked": "predicted", "IHCP-species-dilution-info": "", "IHCP-species-notes": "", "IP-species-checked": "notRecommended", "IP-species-dilution-info": "", "IP-species-notes": "", "FlowCyt-species-checked": "notRecommended", "FlowCyt-species-dilution-info": "", "FlowCyt-species-notes": "", "WB-species-checked": "predicted", "WB-species-dilution-info": "", "WB-species-notes": "", "ICCIF-species-checked": "notRecommended", "ICCIF-species-dilution-info": "", "ICCIF-species-notes": "" }, "Rat": { "IHCP-species-checked": "predicted", "IHCP-species-dilution-info": "", "IHCP-species-notes": "", "IP-species-checked": "notRecommended", "IP-species-dilution-info": "", "IP-species-notes": "", "FlowCyt-species-checked": "notRecommended", "FlowCyt-species-dilution-info": "", "FlowCyt-species-notes": "", "WB-species-checked": "predicted", "WB-species-dilution-info": "", "WB-species-notes": "", "ICCIF-species-checked": "notRecommended", "ICCIF-species-dilution-info": "", "ICCIF-species-notes": "" }, "Recombinant full length protein - Human": { "IHCP-species-checked": "notRecommended", "IHCP-species-dilution-info": "", "IHCP-species-notes": "", "IP-species-checked": "notRecommended", "IP-species-dilution-info": "", "IP-species-notes": "", "FlowCyt-species-checked": "notRecommended", "FlowCyt-species-dilution-info": "", "FlowCyt-species-notes": "", "WB-species-checked": "testedAndGuaranteed", "WB-species-dilution-info": "1/1000 - 1/10000", "WB-species-notes": "<p></p>", "ICCIF-species-checked": "notRecommended", "ICCIF-species-dilution-info": "", "ICCIF-species-notes": "" } } }

Product details

Patented technology
Our RabMAb® technology is a patented hybridoma-based technology for making rabbit monoclonal antibodies. For details on our patents, please refer to RabMAb® patents.

What are the advantages of a recombinant monoclonal antibody?
This product is a recombinant monoclonal antibody, which offers several advantages including:

  • - High batch-to-batch consistency and reproducibility
  • - Improved sensitivity and specificity
  • - Long-term security of supply
  • - Animal-free batch production

For more information, read more on recombinant antibodies.

Properties and storage information

Form
Liquid
Purification technique
Affinity purification Protein A
Storage buffer
pH: 7.2 - 7.4 Preservative: 0.01% Sodium azide Constituents: PBS, 50% Tissue culture supernatant, 40% Glycerol (glycerin, glycerine), 0.05% BSA
Shipped at conditions
Blue Ice
Appropriate short-term storage conditions
+4°C
Appropriate long-term storage conditions
-20°C
Storage information
Stable for 12 months at -20°C

Product protocols

For this product, it's our understanding that no specific protocols are required. You can visit:

Target data

RNA-binding factor that recruits target transcripts to cytoplasmic protein-RNA complexes (mRNPs). This transcript 'caging' into mRNPs allows mRNA transport and transient storage. It also modulates the rate and location at which target transcripts encounter the translational apparatus and shields them from endonuclease attacks or microRNA-mediated degradation (By similarity). Preferentially binds to N6-methyladenosine (m6A)-containing mRNAs and increases their stability (PubMed : 29476152). Binds to the 5'-UTR of the insulin-like growth factor 2 (IGF2) mRNAs (PubMed : 9891060). Binding is isoform-specific. Binds to beta-actin/ACTB and MYC transcripts. Increases MYC mRNA stability by binding to the coding region instability determinant (CRD) and binding is enhanced by m6A-modification of the CRD (PubMed : 29476152).
See full target information IGF2BP2

Additional targets

IGF2BP1

Publications (15)

Recent publications for all applications. Explore the full list and refine your search

The Journal of biological chemistry 300:107843 PubMed39357829

2024

N-methyladenosine modification of SLC38A7 promotes cell migration, invasion, oxidative phosphorylation, and mitochondrial function in gastric cancer.

Applications

Unspecified application

Species

Unspecified reactive species

Yi Hua,Wei-Jun Hua,Cun-Cheng Feng,Qiu-Wei Zhu

Journal of translational medicine 22:643 PubMed38982516

2024

METTL3-mediated NDUFB5 m6A modification promotes cell migration and mitochondrial respiration to promote the wound healing of diabetic foot ulcer.

Applications

Unspecified application

Species

Unspecified reactive species

Tao Wang,Xu Li,Yue Tao,Xiaojun Wang,Limeng Li,Jianjun Liu

Journal of translational medicine 22:5 PubMed38169393

2024

PIGT promotes cell growth, glycolysis, and metastasis in bladder cancer by modulating GLUT1 glycosylation and membrane trafficking.

Applications

Unspecified application

Species

Unspecified reactive species

Mingyue Tan,Qi Pan,Chao Yu,Xinyu Zhai,Jianyi Gu,Le Tao,Dongliang Xu

Journal of cellular and molecular medicine 28:e18085 PubMed38146129

2023

METTL14 promotes IL-6-induced viability, glycolysis and inflammation in HaCaT cells via the m6A modification of TRIM27.

Applications

Unspecified application

Species

Unspecified reactive species

Yiran Chen,Yanwei Xiang,Xiao Miao,Le Kuai,Xiaojie Ding,Tian Ma,Bin Li,Bin Fan

Heliyon 9:e20659 PubMed37842569

2023

Comprehensive analysis of the expression of the IGF2BPs gene family in head and neck squamous cell carcinoma: Association with prognostic value and tumor immunity.

Applications

Unspecified application

Species

Unspecified reactive species

Hai Tang,Jianjiang Zhao,Jingpeng Liu

Biology direct 18:53 PubMed37658413

2023

METTL3-induced lncRNA GBAP1 promotes hepatocellular carcinoma progression by activating BMP/SMAD pathway.

Applications

Unspecified application

Species

Unspecified reactive species

Runkun Liu,Guozhi Yin,Hang Tuo,Yixian Guo,Yifeng Zhu,Lei Zhang,Wei Yang,Qingguang Liu,Yufeng Wang

Andrology 12:643-654 PubMed37644905

2023

The role of hepatitis B virus surface protein in inducing Sertoli cell ferroptosis.

Applications

Unspecified application

Species

Unspecified reactive species

Chengshuang Pan,Xiangbin Kong,Zhigang Wu,Qianjin Fei

Journal of cellular biochemistry 124:239-253 PubMed36538649

2022

IGF2BP2 enhances LincRNA01116 stability via m A: A potential biomarker and therapeutic target for patients with pre-eclampsia.

Applications

Unspecified application

Species

Unspecified reactive species

Tingting Zhang,Xiaotong Tang,Yuanyuan Zhu,Cong Wang,Ziyan Jiang,Nana Yang,Tianjun Wang,Lijun Shu,Yetao Xu,Lizhou Sun

Cellular & molecular biology letters 27:51 PubMed35761192

2022

WTAP-mediated N-methyladenosine modification of NLRP3 mRNA in kidney injury of diabetic nephropathy.

Applications

Unspecified application

Species

Unspecified reactive species

Jianzi Lan,Bowen Xu,Xin Shi,Qi Pan,Qing Tao

ESC heart failure 9:2955-2966 PubMed35730141

2022

HOXA cluster antisense RNA 2 elevates KIAA1522 expression through microRNA-520d-3p and insulin like growth factor 2 mRNA binding protein 3 to promote the growth of vascular smooth muscle cells in thoracic aortic aneurysm.

Applications

Unspecified application

Species

Unspecified reactive species

Minghui Ou,Yaonan Chu,Qian Zhang,Huidong Zhao,Qiang Song
View all publications

Product promise

We are committed to supporting your work with high-quality reagents, and we're here for you every step of the way. In the unlikely event that one of our products does not perform as expected, you're protected by our Product Promise.
For full details, please see our Terms & Conditions

Please note: All products are 'FOR RESEARCH USE ONLY. NOT FOR USE IN DIAGNOSTIC OR THERAPEUTIC PROCEDURES'.

For licensing inquiries, please contact partnerships@abcam.com