JavaScript is disabled in your browser. Please enable JavaScript to view this website.
AB184305

Anti-IGF2BP1/IMP1 antibody [EPR18791]

Be the first to review this product! Submit a review

|

(37 Publications)

Rabbit Recombinant Monoclonal IGF2BP1/IMP1 antibody. Suitable for IP, WB, IHC-P and reacts with Human samples. Cited in 37 publications.

View Alternative Names

CRDBP, VICKZ1, ZBP1, IGF2BP1, Insulin-like growth factor 2 mRNA-binding protein 1, IGF2 mRNA-binding protein 1, IMP-1, IMP1, Coding region determinant-binding protein, IGF-II mRNA-binding protein 1, VICKZ family member 1, Zipcode-binding protein 1, CRD-BP, ZBP-1

9 Images
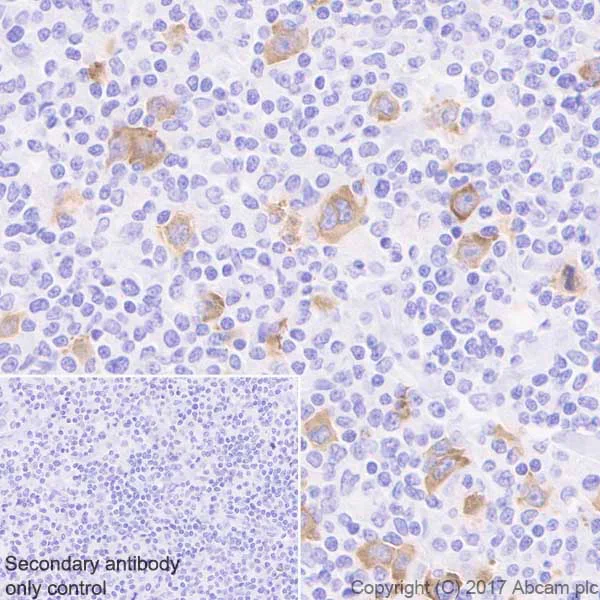
Immunohistochemistry (Formalin/PFA-fixed paraffin-embedded sections) - Anti-IGF2BP1/IMP1 antibody [EPR18791] (AB184305)
  • IHC-P

Unknown

Immunohistochemistry (Formalin/PFA-fixed paraffin-embedded sections) - Anti-IGF2BP1/IMP1 antibody [EPR18791] (AB184305)

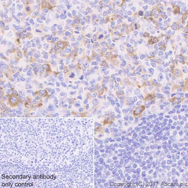
Immunohistochemical analysis of paraffin-embedded human Hodgkin's lymphoma tissue labeling IGF2BP1/IMP1 with ab184305 at 1/4000 dilution, followed by Goat Anti-Rabbit IgG H&L (HRP) Ready to use. Sporadic cytoplasmic staining in human Hodgkin's lymphoma (PMID : 17296566) is observed. Counter stained with Hematoxylin.

Secondary antibody only control : Used PBS instead of primary antibody, secondary antibody is Goat Anti-Rabbit IgG H&L (HRP) Ready to use.

Heat mediated antigen retrieval was performed with Tris/EDTA buffer pH 9.0 before commencing with IHC staining protocol.

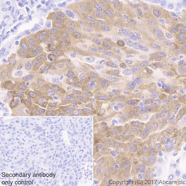
Immunohistochemistry (Formalin/PFA-fixed paraffin-embedded sections) - Anti-IGF2BP1/IMP1 antibody [EPR18791] (AB184305)
  • IHC-P

Unknown

Immunohistochemistry (Formalin/PFA-fixed paraffin-embedded sections) - Anti-IGF2BP1/IMP1 antibody [EPR18791] (AB184305)

Immunohistochemical analysis of paraffin-embedded human lung cancer tissue labeling IGF2BP1/IMP1 with ab184305 at 1/4000 dilution, followed by Goat Anti-Rabbit IgG H&L (HRP) Ready to use. Cytoplasmic staining in human lung cancer (PMID : 17255263) is observed. Counter stained with Hematoxylin.

Secondary antibody only control : Used PBS instead of primary antibody, secondary antibody is Goat Anti-Rabbit IgG H&L (HRP) Ready to use.

Heat mediated antigen retrieval was performed with Tris/EDTA buffer pH 9.0 before commencing with IHC staining protocol.

Immunohistochemistry (Formalin/PFA-fixed paraffin-embedded sections) - Anti-IGF2BP1/IMP1 antibody [EPR18791] (AB184305)
  • IHC-P

Unknown

Immunohistochemistry (Formalin/PFA-fixed paraffin-embedded sections) - Anti-IGF2BP1/IMP1 antibody [EPR18791] (AB184305)

Immunohistochemical analysis of paraffin-embedded human tonsil tissue labeling IGF2BP1/IMP1 with ab184305 at 1/4000 dilution, followed by Goat Anti-Rabbit IgG H&L (HRP) Ready to use. Cytoplasmic staining in germinal center of human tonsil (PMID : 17296566) is observed. Counter stained with Hematoxylin.

Secondary antibody only control : Used PBS instead of primary antibody, secondary antibody is Goat Anti-Rabbit IgG H&L (HRP) Ready to use.

Heat mediated antigen retrieval was performed with Tris/EDTA buffer pH 9.0 before commencing with IHC staining protocol.

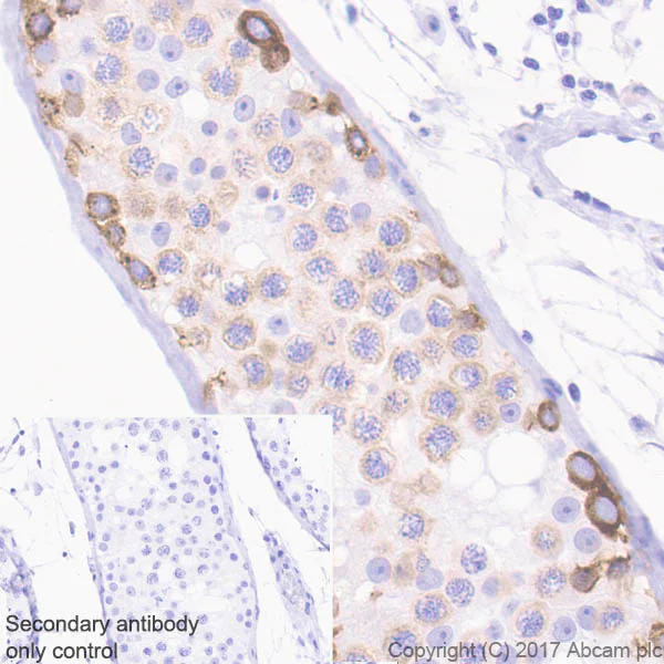
Immunohistochemistry (Formalin/PFA-fixed paraffin-embedded sections) - Anti-IGF2BP1/IMP1 antibody [EPR18791] (AB184305)
  • IHC-P

Unknown

Immunohistochemistry (Formalin/PFA-fixed paraffin-embedded sections) - Anti-IGF2BP1/IMP1 antibody [EPR18791] (AB184305)

Immunohistochemical analysis of paraffin-embedded human testis tissue labeling IGF2BP1/IMP1 with ab184305 at 1/4000 dilution, followed by Goat Anti-Rabbit IgG H&L (HRP) Ready to use. Cytoplasmic staining in human testis (PMID : 16049158) is observed. Counter stained with Hematoxylin.

Secondary antibody only control : Used PBS instead of primary antibody, secondary antibody is Goat Anti-Rabbit IgG H&L (HRP) Ready to use.

Heat mediated antigen retrieval was performed with Tris/EDTA buffer pH 9.0 before commencing with IHC staining protocol.

Immunoprecipitation - Anti-IGF2BP1/IMP1 antibody [EPR18791] (AB184305)
  • IP

Unknown

Immunoprecipitation - Anti-IGF2BP1/IMP1 antibody [EPR18791] (AB184305)

IGF2BP1/IMP1 was immunoprecipitated from 0.35 mg of K562 (human chronic myelogenous leukemia cell line from bone marrow) whole cell lysate with ab184305 at 1/30 dilution. Western blot was performed from the immunoprecipitate using ab184305 at 1/1000 dilution. VeriBlot for IP Detection Reagent (HRP) (ab131366), was used for detection at 1/10,000 dilution.

Lane 1 : K562 whole cell lysate 10 μg (Input).
Lane 2 : ab184305 IP in K562 whole cell lysate.
Lane 3 : Rabbit monoclonal IgG (ab172730) instead of ab184305 in K562 whole cell lysate.

Exposure time : 1 second.

Blocking and dilution buffer and concentration : 5% NFDM/TBST.

Faint, lower molecular mass bands are observed in some human cell lines including K562. These could be an isoform (Isoform 2 predicted to be 48.5kDa) and degradation products, as described in the literature (PMID : 11641779).

All lanes:

Immunoprecipitation - Anti-IGF2BP1/IMP1 antibody [EPR18791] (ab184305)

Predicted band size: 63 kDa

Observed band size: 64 kDa

true

Exposure time: 1s

Western blot - Anti-IGF2BP1/IMP1 antibody [EPR18791] (AB184305)
  • WB

Supplier Data

Western blot - Anti-IGF2BP1/IMP1 antibody [EPR18791] (AB184305)

Exposure times : Lane 1 : 102 seconds; Lanes 2,3 : 3 minutes.

Blocking/Dilution buffer : 5% NFDM/TBST.

Faint, lower molecular mass bands are observed in some human cell lines including K562. These could be an isoform (Isoform 2 predicted to be 48.5kDa) and degradation products, as described in the literature (PMID : 11641779). The BxPC-3 and MCF7 cell lines are negative controls (PMID 26917013).

Lane 1:

Western blot - Anti-IGF2BP1/IMP1 antibody [EPR18791] (ab184305) at 1/10000 dilution

Lanes 2 - 3:

Western blot - Anti-IGF2BP1/IMP1 antibody [EPR18791] (ab184305) at 1/1000 dilution

Lane 1:

K562 (human chronic myelogenous leukemia cell line from bone marrow) whole cell lysate at 10 µg

Lane 2:

MCF7 (human breast adenocarcinoma cell line) whole cell lysate at 10 µg

Lane 3:

BxPC-3 (human pancreas adenocarcinoma cell line) whole cell lysate at 10 µg

Secondary

All lanes:

Western blot - Goat Anti-Rabbit IgG H&L (HRP) (<a href='/en-us/products/secondary-antibodies/goat-rabbit-igg-h-l-hrp-ab97051'>ab97051</a>) at 1/100000 dilution

Predicted band size: 63 kDa

Observed band size: 64 kDa

true

Western blot - Anti-IGF2BP1/IMP1 antibody [EPR18791] (AB184305)
  • WB

Supplier Data

Western blot - Anti-IGF2BP1/IMP1 antibody [EPR18791] (AB184305)

Exposure times : Lane 1 : 8 seconds; Lanes 2,3 : 15 seconds; Lane 4 : 3 minutes.

Blocking/Dilution buffer : 5% NFDM/TBST.

Lane 1:

Western blot - Anti-IGF2BP1/IMP1 antibody [EPR18791] (ab184305) at 1/5000 dilution

Lanes 2 - 4:

Western blot - Anti-IGF2BP1/IMP1 antibody [EPR18791] (ab184305) at 1/1000 dilution

Lane 1:

HEK-293 (human epithelial cell line from embryonic kidney) whole cell lysate at 10 µg

Lane 2:

Human fetal liver tissue lysate at 10 µg

Lane 3:

HeLa (human epithelial cell line from cervix adenocarcinoma) whole cell lysate at 10 µg

Lane 4:

Human fetal kidney tissue lysate at 10 µg

Secondary

Lanes 1 - 3:

Western blot - Goat Anti-Rabbit IgG H&L (HRP) (<a href='/en-us/products/secondary-antibodies/goat-rabbit-igg-h-l-hrp-ab97051'>ab97051</a>) at 1/100000 dilution

Lane 4:

Western blot - VeriBlot for IP Detection Reagent (HRP) (<a href='/en-us/products/reagents/veriblot-for-ip-detection-reagent-hrp-ab131366'>ab131366</a>) at 1/100000 dilution

Predicted band size: 63 kDa

Observed band size: 64 kDa

true

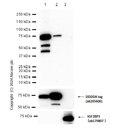
Western blot - Anti-IGF2BP1/IMP1 antibody [EPR18791] (AB184305)
  • WB

Supplier Data

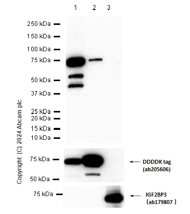
Western blot - Anti-IGF2BP1/IMP1 antibody [EPR18791] (AB184305)

Blocking and diluting buffer : 5% NFDM/TBST.

This antibody shows weak cross reactivity with IGF2BP2.

ab205606 was used as a loading control at 1/1000 dilution.

ab179807 was used at 1/1000 dilution.

Lanes 1 - 3:

Western blot - Anti-IGF2BP1/IMP1 antibody [EPR18791] (ab184305) at 1/1000 dilution

Lanes 1 - 3:

Western blot - Anti-IMP3 antibody [EPR12021-114] (<a href='/en-us/products/primary-antibodies/imp3-antibody-epr12021-114-ab179807'>ab179807</a>) at 1/1000 dilution

Lane 1:

C-Myc/DDK-tagged full length Human IGF2BP1 recombinant at 0.01 µg

Lane 2:

C-Myc/DDK-tagged full length Human IGF2BP2 recombinant protein at 0.01 µg

Lane 3:

N-His-tagged full length Human IGF2BP3 recombinant protein at 0.01 µg

Secondary

All lanes:

Western blot - Goat Anti-Rabbit IgG H&L (HRP) (<a href='/en-us/products/secondary-antibodies/goat-rabbit-igg-h-l-hrp-ab97051'>ab97051</a>) at 1/20000 dilution

Predicted band size: 63 kDa

Observed band size: 75 kDa

false

Exposure time: 180s

Western blot - Anti-IGF2BP1/IMP1 antibody [EPR18791] (AB184305)
  • WB

CiteAb

Western blot - Anti-IGF2BP1/IMP1 antibody [EPR18791] (AB184305)

IGF2BP1/IMP1 western blot using anti-IGF2BP1/IMP1 antibody [EPR18791] ab184305. Publication image and figure legend from Tang, L., Chen, Y., et al., 2020, J Cancer, PubMed 31897227.

ab184305 was used in this publication in western blot. This may not be the same as the application(s) guaranteed by Abcam. For a full list of applications guaranteed by Abcam for ab184305 please see the product overview.

DCST1-AS1 regulates the downstream proteins of miR-873-5p. (A) The expression level of IGF2BP1 in BRCA was analyzed by TCGA data. **, p < 0.0001. (B) TCGA data analysis showed that IGF2BP1 expressed higher levels in TNBC and luminal subtypes than normal controls, with significant differences. #, p < 0.05, *, p < 0.01. (C) The relationship between the expression of IGF2BP1 and the prognosis of BRCA patients was analyzed by TCGA data. P = 0.0054. (D) Western blot showed a decrease in the expression of IGF2BP1, MYC, LEF1 and CD44 in DCST1-AS1 interfering cells. (E) The miR-873-5p inhibitor was transfected into BT-549-si cells, and the expression of IGF2BP1 protein was measured by Western blot. (F) The miR-873-5p inhibitor was transfected into BT-549-si cells and cell proliferation was measured by CCK8 assay. *, p < 0.01. (G) The miR-873-5p inhibitor was transfected into BT-549-si cells and cell migration was measured by wound healing assay. *, p < 0.01.

false

Key facts

Host species

Rabbit

Clonality

Monoclonal

Clone number

EPR18791

Isotype

IgG

Carrier free

No

Reacts with

Human

Applications

IHC-P, IP, WB

applications

Immunogen

The exact immunogen used to generate this antibody is proprietary information.

Specificity

This antibody shows weak cross reactivity with IGF2BP2.

Reactivity data

{ "title": "Reactivity Data", "filters": { "stats": ["", "Species", "Dilution Info", "Notes"], "tabs": { "all-applications": {"fullname" : "All Applications", "shortname": "All Applications"}, "IP" : {"fullname" : "Immunoprecipitation", "shortname":"IP"}, "WB" : {"fullname" : "Western blot", "shortname":"WB"}, "IHCP" : {"fullname" : "Immunohistochemistry (Formalin/PFA-fixed paraffin-embedded sections)", "shortname":"IHC-P"} }, "product-promise": { "all": "all", "testedAndGuaranteed": "tested", "guaranteed": "expected", "predicted": "predicted", "notRecommended": "not-recommended" } }, "values": { "Human": { "IP-species-checked": "testedAndGuaranteed", "IP-species-dilution-info": "1/30", "IP-species-notes": "<p></p>", "WB-species-checked": "testedAndGuaranteed", "WB-species-dilution-info": "1/1000", "WB-species-notes": "<p></p>", "IHCP-species-checked": "testedAndGuaranteed", "IHCP-species-dilution-info": "1/4000", "IHCP-species-notes": "<p></p>" } } }

Product details

Patented technology
Our RabMAb® technology is a patented hybridoma-based technology for making rabbit monoclonal antibodies. For details on our patents, please refer to RabMAb® patents.

What are the advantages of a recombinant monoclonal antibody?
This product is a recombinant monoclonal antibody, which offers several advantages including:

  • - High batch-to-batch consistency and reproducibility
  • - Improved sensitivity and specificity
  • - Long-term security of supply
  • - Animal-free batch production

For more information, read more on recombinant antibodies.

Properties and storage information

Form
Liquid
Purification technique
Affinity purification Protein A
Storage buffer
pH: 7.2 Preservative: 0.01% Sodium azide Constituents: PBS, 40% Glycerol (glycerin, glycerine), 0.05% BSA
Shipped at conditions
Blue Ice
Appropriate short-term storage duration
1-2 weeks
Appropriate short-term storage conditions
+4°C
Appropriate long-term storage conditions
-20°C
Aliquoting information
Upon delivery aliquot
Storage information
Avoid freeze / thaw cycle

Product protocols

For this product, it's our understanding that no specific protocols are required. You can visit:

Target data

RNA-binding factor that recruits target transcripts to cytoplasmic protein-RNA complexes (mRNPs). This transcript 'caging' into mRNPs allows mRNA transport and transient storage. It also modulates the rate and location at which target transcripts encounter the translational apparatus and shields them from endonuclease attacks or microRNA-mediated degradation. Preferentially binds to N6-methyladenosine (m6A)-containing mRNAs and increases their stability (PubMed : 29476152, PubMed : 32245947). Plays a direct role in the transport and translation of transcripts required for axonal regeneration in adult sensory neurons (By similarity). Regulates localized beta-actin/ACTB mRNA translation, a crucial process for cell polarity, cell migration and neurite outgrowth. Co-transcriptionally associates with the ACTB mRNA in the nucleus. This binding involves a conserved 54-nucleotide element in the ACTB mRNA 3'-UTR, known as the 'zipcode'. The RNP thus formed is exported to the cytoplasm, binds to a motor protein and is transported along the cytoskeleton to the cell periphery. During transport, prevents ACTB mRNA from being translated into protein. When the RNP complex reaches its destination near the plasma membrane, IGF2BP1 is phosphorylated. This releases the mRNA, allowing ribosomal 40S and 60S subunits to assemble and initiate ACTB protein synthesis. Monomeric ACTB then assembles into the subcortical actin cytoskeleton (By similarity). During neuronal development, key regulator of neurite outgrowth, growth cone guidance and neuronal cell migration, presumably through the spatiotemporal fine tuning of protein synthesis, such as that of ACTB (By similarity). May regulate mRNA transport to activated synapses (By similarity). Binds to and stabilizes ABCB1/MDR-1 mRNA (By similarity). During interstinal wound repair, interacts with and stabilizes PTGS2 transcript. PTGS2 mRNA stabilization may be crucial for colonic mucosal wound healing (By similarity). Binds to the 3'-UTR of IGF2 mRNA by a mechanism of cooperative and sequential dimerization and regulates IGF2 mRNA subcellular localization and translation. Binds to MYC mRNA, in the coding region instability determinant (CRD) of the open reading frame (ORF), hence preventing MYC cleavage by endonucleases and possibly microRNA targeting to MYC-CRD (PubMed : 29476152). Binding to MYC mRNA is enhanced by m6A-modification of the CRD (PubMed : 29476152). Binds to the 3'-UTR of CD44 mRNA and stabilizes it, hence promotes cell adhesion and invadopodia formation in cancer cells. Binds to the oncofetal H19 transcript and to the neuron-specific TAU mRNA and regulates their localizations. Binds to and stabilizes BTRC/FBW1A mRNA. Binds to the adenine-rich autoregulatory sequence (ARS) located in PABPC1 mRNA and represses its translation. PABPC1 mRNA-binding is stimulated by PABPC1 protein. Prevents BTRC/FBW1A mRNA degradation by disrupting microRNA-dependent interaction with AGO2. Promotes the directed movement of tumor-derived cells by fine-tuning intracellular signaling networks. Binds to MAPK4 3'-UTR and inhibits its translation. Interacts with PTEN transcript open reading frame (ORF) and prevents mRNA decay. This combined action on MAPK4 (down-regulation) and PTEN (up-regulation) antagonizes HSPB1 phosphorylation, consequently it prevents G-actin sequestration by phosphorylated HSPB1, allowing F-actin polymerization. Hence enhances the velocity of cell migration and stimulates directed cell migration by PTEN-modulated polarization. Interacts with Hepatitis C virus (HCV) 5'-UTR and 3'-UTR and specifically enhances translation at the HCV IRES, but not 5'-cap-dependent translation, possibly by recruiting eIF3. Interacts with HIV-1 GAG protein and blocks the formation of infectious HIV-1 particles. Reduces HIV-1 assembly by inhibiting viral RNA packaging, as well as assembly and processing of GAG protein on cellular membranes. During cellular stress, such as oxidative stress or heat shock, stabilizes target mRNAs that are recruited to stress granules, including CD44, IGF2, MAPK4, MYC, PTEN, RAPGEF2 and RPS6KA5 transcripts.
See full target information IGF2BP1

Publications (37)

Recent publications for all applications. Explore the full list and refine your search

Amino acids 57:42 PubMed40844715

2025

IGF2BP1-mediated methylation of ABCA1 facilitates tumor progression by affecting cholesterol metabolism in lung adenocarcinoma.

Applications

Unspecified application

Species

Unspecified reactive species

Shaohua Xu,Kai Liu,Zhao Chen,Weijian Tang,Zhoumiao Chen

CytoJournal 22:38 PubMed40469707

2025

Methyltransferase 3-mediated m6A modification of Switch/sucrose non-fermenting-related matrix-associated actin-dependent regulator of chromatin subfamily a member 5 promotes mycobacterium tuberculosis-infected macrophage M1 polarization and inflammation.

Applications

Unspecified application

Species

Unspecified reactive species

Cong Chen,Hai Huang

NPJ precision oncology 9:80 PubMed40119070

2025

ARRB2 promotes cervical cancer progression via stabilizing CDC25A mRNA through m6A-IGF2BP1-dependent manner.

Applications

Unspecified application

Species

Unspecified reactive species

Lijie Li,Jie Zeng,Mengying Liu,Hui Cheng,Yuyin He,Sili He,Chen Wang

Acta diabetologica 62:1403-1416 PubMed39945887

2025

The UBR5 protein facilitates mesangial cell hypertrophy and glycolysis induced by high glucose by increasing the phosphorylation levels of AKT.

Applications

Unspecified application

Species

Unspecified reactive species

Lin Liao,Qiming Xu,Jie Xu,Jie Chen,Wenrui Liu,Wenhao Chen,Yunqing Tang,Lianxiang Duan,Yue Guo,Ziyang Liu,Pengyu Tao,Yu Cao,Jianrao Lu,Jing Hu

Journal of translational medicine 22:931 PubMed39402642

2024

m6A-modified circXPO1 accelerates colorectal cancer progression via interaction with FMRP to promote WWC2 mRNA decay.

Applications

Unspecified application

Species

Unspecified reactive species

Xiaowen Zhu,Pengxia Zhang

Iranian journal of basic medical sciences 27:1276-1283 PubMed39229575

2024

Curcumin chitosan microspheres regulate Th17/Treg balance via IGF2BP1- mediated m6A modification of LRP5 in ulcerative colitis.

Applications

Unspecified application

Species

Unspecified reactive species

Ling Chen,Yanru Xiang,Shirong Zhong,Yinglin Wu,Jiaqi Liu,Yan Wu,Zhizhi Wang,Guodong Huang

Kidney & blood pressure research 49:787-798 PubMed39159608

2024

METTL3 and IGF2BP1-Mediated m6A Modification of ZHX2 Promotes Tumor Property of Renal Cell Carcinoma.

Applications

Unspecified application

Species

Unspecified reactive species

Bangming Xiao,Yalan Li,Yong Yang,Congbo Chen,Shide Gong,Hao Li,Qisheng Yao,Li Wang

Scientific reports 14:19078 PubMed39154102

2024

LncRNA GHET1 from bone mesenchymal stem cell-derived exosomes improves doxorubicin-induced pyroptosis of cardiomyocytes by mediating NLRP3.

Applications

Unspecified application

Species

Unspecified reactive species

Xiaoya Zhai,Jiedong Zhou,Xingxiao Huang,Jingfan Weng,Hui Lin,Shimin Sun,Jufang Chi,Liping Meng

Journal of experimental & clinical cancer research : CR 43:185 PubMed38965575

2024

A novel lncRNA LOC101928222 promotes colorectal cancer angiogenesis by stabilizing HMGCS2 mRNA and increasing cholesterol synthesis.

Applications

Unspecified application

Species

Unspecified reactive species

Lisha Chang,Jie Ding,Juan Pu,Jing Zhu,Xiang Zhou,Qian Luo,Jie Li,Mengsen Qian,Shuhui Lin,Juan Li,Keming Wang

Human genomics 18:33 PubMed38566168

2024

Profiling the role of m6A effectors in the regulation of pluripotent reprogramming.

Applications

Unspecified application

Species

Unspecified reactive species

Wenjun Wang,Lei Zhou,Hui Li,Tingge Sun,Xue Wen,Wei Li,Miguel A Esteban,Andrew R Hoffman,Ji-Fan Hu,Jiuwei Cui
View all publications

Product promise

We are committed to supporting your work with high-quality reagents, and we're here for you every step of the way. In the unlikely event that one of our products does not perform as expected, you're protected by our Product Promise.
For full details, please see our Terms & Conditions

Please note: All products are 'FOR RESEARCH USE ONLY. NOT FOR USE IN DIAGNOSTIC OR THERAPEUTIC PROCEDURES'.

For licensing inquiries, please contact partnerships@abcam.com