JavaScript is disabled in your browser. Please enable JavaScript to view this website.
AB290736

Anti-IGF2BP1/IMP1 antibody [EPR26408-18]

  • BOND RX™ Validated
  • 20ul selling size
  • RabMAb
  • Advanced Validation
  • Recombinant
  • What is this?

Be the first to review this product! Submit a review

|

(10 Publications)

Rabbit Recombinant Monoclonal IGF2BP1/IMP1 antibody. Suitable for ICC/IF, WB, Flow Cyt (Intra), IHC-P, mIHC and reacts with Mouse, Human, Rat samples. Cited in 10 publications.

View Alternative Names

CRDBP, VICKZ1, ZBP1, IGF2BP1, Insulin-like growth factor 2 mRNA-binding protein 1, IGF2 mRNA-binding protein 1, IMP-1, IMP1, Coding region determinant-binding protein, IGF-II mRNA-binding protein 1, VICKZ family member 1, Zipcode-binding protein 1, CRD-BP, ZBP-1

12 Images
Immunohistochemistry (Formalin/PFA-fixed paraffin-embedded sections) - Anti-IGF2BP1/IMP1 antibody [EPR26408-18] (AB290736)
  • IHC-P

Supplier Data

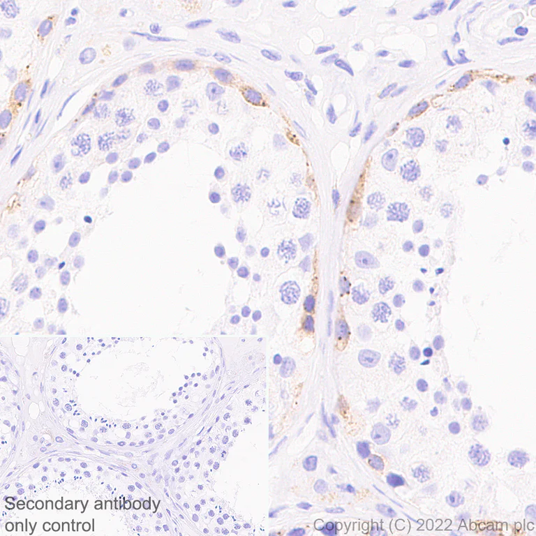
Immunohistochemistry (Formalin/PFA-fixed paraffin-embedded sections) - Anti-IGF2BP1/IMP1 antibody [EPR26408-18] (AB290736)

Immunohistochemical analysis of paraffin-embedded Human testis tissue labelling IGF2BP1/IMP1 with ab290736 at 1/2000 (0.284 ug/ml) followed by a ready to use LeicaDS9800 (BONDTM Polymer Refine Detection). Positive staining on human testis (PMID : 28333300) . The section was incubated with ab290736 for 30 mins at room temperature.The immunostaining was performed on a Leica Biosystems BOND® RX instrument Counterstained with Hematoxylin.

Secondary antibody only control : Secondary antibody is a ready to use LeicaDS9800 (BONDTM Polymer Refine Detection).

Heat mediated antigen retrieval with Tris-EDTA buffer (pH 9.0, epitope retrieval solution2) for 20 mins

Multiplex immunohistochemistry - Anti-IGF2BP1/IMP1 antibody [EPR26408-18] (AB290736)
  • mIHC

Lab

Multiplex immunohistochemistry - Anti-IGF2BP1/IMP1 antibody [EPR26408-18] (AB290736)

Fluorescence multiplex immunohistochemical analysis of formalin/PFA-fixed paraffin-embedded Human testis tissue. Panel A : Merged staining of anti-IGF2BP1/IMP1 (green; Opal™690), anti-TPTE (gray; Opal™520) and anti-SAGE1 (red; Opal™570) on human testis. Panel B : Anti-IGF2BP1/IMP1 stained on cytoplasm of spermatogonia. Panel C : Anti-TPTE stained on spermatocytes. Panel D : Anti-SAGE1 stained on nucleus of spermatogonia. The section was incubated in three rounds of staining : in the order of ab290736, ab250148, and ab233388 for 30 mins at room temperature. Each round was followed by a separate fluorescent tyramide signal amplification system.The immunostaining was performed on a Leica Biosystems BOND® RX instrument with an Opal™ 4-color kit. Image acquisition was performed with Leica SP8 confocal microscope. Heat mediated antigen retrieval with Tris-EDTA buffer (pH 9.0, epitope retrieval solution 2) for 20 mins. Counterstained with DAPI.

Flow Cytometry (Intracellular) - Anti-IGF2BP1/IMP1 antibody [EPR26408-18] (AB290736)
  • Flow Cyt (Intra)

Supplier Data

Flow Cytometry (Intracellular) - Anti-IGF2BP1/IMP1 antibody [EPR26408-18] (AB290736)

Intracellular flow cytometric analysis of 4% paraformaldehyde fixed 90% methanol permeabilized U-2 OS (human bone osteosarcoma epithelial cell, Left) / Caco-2 (human colorectal adenocarcinoma epithelial cell, Right) cells labelling IGF2BP1/IMP1 with ab290736 at 1/500 dilution (0.1ug) (Red) compared with a Rabbit monoclonal IgG (ab172730) (Black) isotype control and an unlabelled control (cells without incubation with primary antibody and secondary antibody) (Blue). A Goat Anti-Rabbit IgG (Alexa Fluor® 488, ab150081) at 1/2000 dilution was used as the secondary antibody. Negative control : U-2 OS (PMID : 26917013)

Multiplex immunohistochemistry - Anti-IGF2BP1/IMP1 antibody [EPR26408-18] (AB290736)
  • mIHC

Lab

Multiplex immunohistochemistry - Anti-IGF2BP1/IMP1 antibody [EPR26408-18] (AB290736)

Fluorescence multiplex immunohistochemical analysis of formalin/PFA-fixed paraffin-embedded Human testis tissue. Panel A : Merged staining of anti-AKAP4 (magenta; Opal™690), anti-TPTE (green; Opal™520) and anti-IGF2BP1/IMP1 (red; Opal™570) on human testis. Panel B : Anti-IGF2BP1/IMP1 stained on spermatogonia. Panel C : Anti-TPTE stained on spermatocytes. Panel D : Anti-AKAP4 stained on spermatids. The section was incubated in three rounds of staining : in the order of ab238887, ab250148, and ab290736 for 30 mins at room temperature. Each round was followed by a separate fluorescent tyramide signal amplification system. The immunostaining was performed on a Leica Biosystems BOND® RX instrument with an Opal™ 4-color kit. Image acquisition was performed with Leica SP8 confocal microscope. Heat mediated antigen retrieval with Tris-EDTA buffer (pH 9.0, epitope retrieval solution 2) for 20 mins. Counterstained with DAPI.

Immunocytochemistry/ Immunofluorescence - Anti-IGF2BP1/IMP1 antibody [EPR26408-18] (AB290736)
  • ICC/IF

Supplier Data

Immunocytochemistry/ Immunofluorescence - Anti-IGF2BP1/IMP1 antibody [EPR26408-18] (AB290736)

Immunofluorescent analysis of 4% Paraformaldehyde-fixed, 0.1% TritonX-100 permeilized Caco-2 (human colorectal adenocarcinoma epithelial cell) cells lebelling IGF2BP1/IMP1 with ab290736 at 1/50 (11.34 ug/ml) dilution, followed by ab150081 Goat Anti-Rabbit IgG H&L (Alexa Fluor® 488) preadsorbed antibody at 1/1000 (2 ug/ml) dilution (Green). Confocal image showing cytoplasmic staining in Caco-2 cell line. Negative control : U-2 OS (PMID : 23069990). ab195889 Anti-alpha Tubulin mouse monoclonal antibody - Microtubule Marker (Alexa Fluor® 594) was used to counterstain tubulin at 1/200 (2.5 ug/ml) dilution (Red). The Nuclear counterstain was DAPI (Blue).

Secondary antibody only control : Secondary antibody is ab150081 Goat Anti-Rabbit IgG H&L (Alexa Fluor® 488) preadsorbed at 1/1000 (2 ug/ml) dilution.

Immunohistochemistry (Formalin/PFA-fixed paraffin-embedded sections) - Anti-IGF2BP1/IMP1 antibody [EPR26408-18] (AB290736)
  • IHC-P

Supplier Data

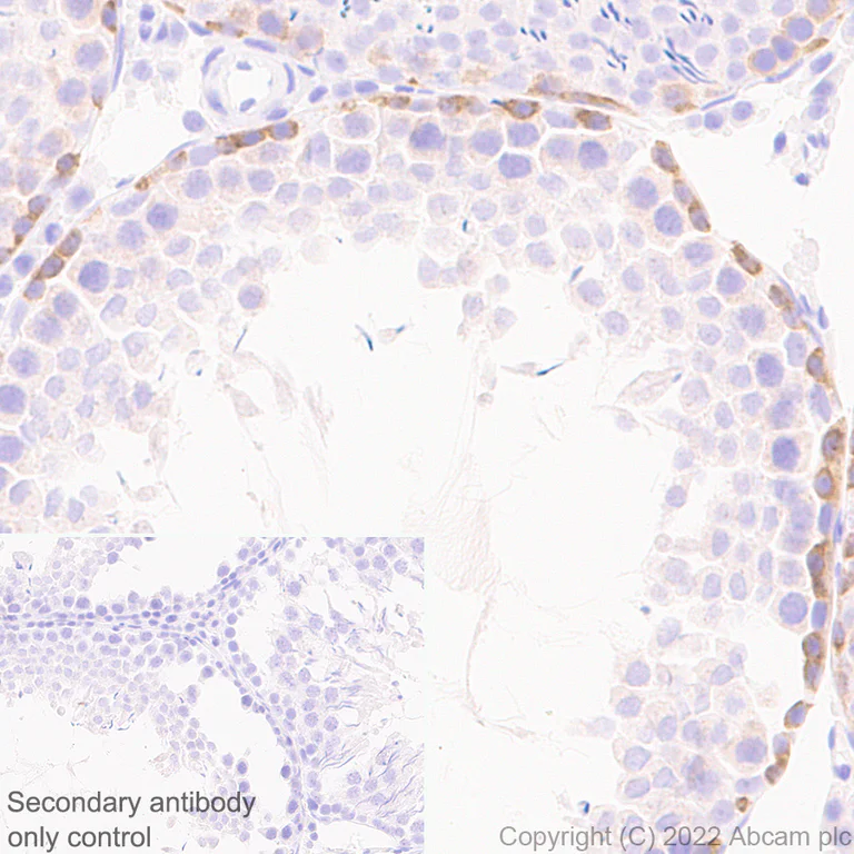
Immunohistochemistry (Formalin/PFA-fixed paraffin-embedded sections) - Anti-IGF2BP1/IMP1 antibody [EPR26408-18] (AB290736)

Immunohistochemical analysis of paraffin-embedded Mouse testis tissue labelling IGF2BP1/IMP1 with ab290736 at 1/2000 (0.284 ug/ml) followed by a ready to use LeicaDS9800 (BONDTM Polymer Refine Detection). Positive staining on mouse testis. The section was incubated with ab290736 for 30 mins at room temperature.The immunostaining was performed on a Leica Biosystems BOND® RX instrument Counterstained with Hematoxylin.

Secondary antibody only control : Secondary antibody is a ready to use LeicaDS9800 (BONDTM Polymer Refine Detection).

Heat mediated antigen retrieval with Tris-EDTA buffer (pH 9.0, epitope retrieval solution2) for 20 mins

Immunocytochemistry/ Immunofluorescence - Anti-IGF2BP1/IMP1 antibody [EPR26408-18] (AB290736)
  • ICC/IF

Supplier Data

Immunocytochemistry/ Immunofluorescence - Anti-IGF2BP1/IMP1 antibody [EPR26408-18] (AB290736)

Immunofluorescent analysis of 4% Paraformaldehyde-fixed, 0.1% TritonX-100 permeilized NIH/3T3 (mouse embryonic fibroblast) cells lebelling IGF2BP1/IMP1 with ab290736 at 1/50 (11.34 ug/ml) dilution, followed by ab150081 Goat Anti-Rabbit IgG H&L (Alexa Fluor® 488) preadsorbed antibody at 1/1000 (2 ug/ml) dilution (Green). Confocal image showing cytoplasmic staining in NIH/3T3 cell line is observed. ab195889 Anti-alpha Tubulin mouse monoclonal antibody - Microtubule Marker (Alexa Fluor® 594) was used to counterstain tubulin at 1/200 (2.5 ug/ml) dilution (Red). The Nuclear counterstain was DAPI (Blue).

Secondary antibody only control : Secondary antibody is ab150081 Goat Anti-Rabbit IgG H&L (Alexa Fluor® 488) preadsorbed at 1/1000 (2 ug/ml) dilution.

Immunohistochemistry (Formalin/PFA-fixed paraffin-embedded sections) - Anti-IGF2BP1/IMP1 antibody [EPR26408-18] (AB290736)
  • IHC-P

Supplier Data

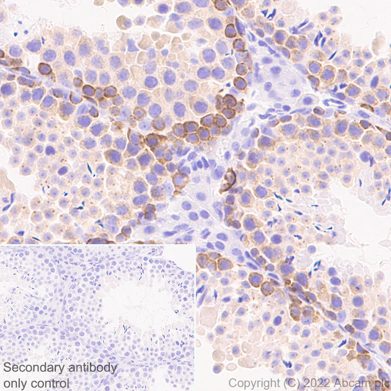
Immunohistochemistry (Formalin/PFA-fixed paraffin-embedded sections) - Anti-IGF2BP1/IMP1 antibody [EPR26408-18] (AB290736)

Immunohistochemical analysis of paraffin-embedded Rat testis tissue labelling IGF2BP1/IMP1 with ab290736 at 1/2000 (0.284 ug/ml) followed by a ready to use LeicaDS9800 (BONDTM Polymer Refine Detection). Positive staining on rat testis. The section was incubated with ab290736 for 30 mins at room temperature.The immunostaining was performed on a Leica Biosystems BOND® RX instrument Counterstained with Hematoxylin.

Secondary antibody only control : Secondary antibody is a ready to use LeicaDS9800 (BONDTM Polymer Refine Detection) was used.

Heat mediated antigen retrieval with Tris-EDTA buffer (pH 9.0, epitope retrieval solution2) for 20 mins

Flow Cytometry (Intracellular) - Anti-IGF2BP1/IMP1 antibody [EPR26408-18] (AB290736)
  • Flow Cyt (Intra)

Supplier Data

Flow Cytometry (Intracellular) - Anti-IGF2BP1/IMP1 antibody [EPR26408-18] (AB290736)

Intracellular flow cytometric analysis of 4% paraformaldehyde fixed 90% methanol permeabilized NIH/3T3 (Mouse embryonic fibroblast) cells labelling IGF2BP1/IMP1 with ab290736 at 1/500 dilution (0.1ug) (Red) compared with a Rabbit monoclonal IgG (ab172730) (Black) isotype control and an unlabelled control (cells without incubation with primary antibody and secondary antibody) (Blue). A Goat Anti-Rabbit IgG (Alexa Fluor® 488, ab150081) at 1/2000 dilution was used as the secondary antibody.

Western blot - Anti-IGF2BP1/IMP1 antibody [EPR26408-18] (AB290736)
  • WB

Lab

Western blot - Anti-IGF2BP1/IMP1 antibody [EPR26408-18] (AB290736)

Blocking / Diluent buffer and concentration : 5% NFDM/TBST

Exposure time :

Lane 1-3 : 10 seconds
Lane 4 : 26 seconds

Negative control : U-2 OS (PMID : 26917013)

All lanes:

Western blot - Anti-IGF2BP1/IMP1 antibody [EPR26408-18] (ab290736) at 1/1000 dilution

Lane 1:

Caco-2 (human colorectal adenocarcinoma epithelial cell) whole cell lysate at 20 µg

Lane 2:

U-2 OS (human bone osteosarcoma epithelial cell) whole cell lysate at 20 µg

Lane 3:

293T (human embryonic kidney epithelial cell) whole cell lysate at 20 µg

Lane 4:

NIH/3T3 (mouse embryonic fibroblast) whole cell lysate at 20 µg

Secondary

All lanes:

Western blot - Goat Anti-Rabbit IgG H&L (HRP) (<a href='/en-us/products/secondary-antibodies/goat-rabbit-igg-h-l-hrp-ab97051'>ab97051</a>) at 1/100000 dilution

Predicted band size: 63 kDa

Observed band size: 65 kDa

false

Western blot - Anti-IGF2BP1/IMP1 antibody [EPR26408-18] (AB290736)
  • WB

Lab

Western blot - Anti-IGF2BP1/IMP1 antibody [EPR26408-18] (AB290736)

Blocking / Dilution buffer and concentration : 5% NFDM/TBST

The expression profile observed is consistent with that described in the literature (PMID : 26917013).
Negative control : mouse liver, mouse kidney (PMID : 26917013).
Two unidentified bands around 37 kDa were observed.

All lanes:

Western blot - Anti-IGF2BP1/IMP1 antibody [EPR26408-18] (ab290736) at 1/1000 dilution

Lane 1:

Mouse testis tissue lysate at 20 µg

Lane 2:

Mouse liver tissue lysate at 20 µg

Lane 3:

Mouse kidney tissue lysate at 20 µg

Secondary

All lanes:

Western blot - Goat Anti-Rabbit IgG H&L (HRP) (<a href='/en-us/products/secondary-antibodies/goat-rabbit-igg-h-l-hrp-ab97051'>ab97051</a>) at 1/100000 dilution

Predicted band size: 63 kDa

Observed band size: 65 kDa

false

Exposure time: 3min

Western blot - Anti-IGF2BP1/IMP1 antibody [EPR26408-18] (AB290736)
  • WB

Lab

Western blot - Anti-IGF2BP1/IMP1 antibody [EPR26408-18] (AB290736)

Blocking / Diluting buffer and concentration : 5% NFDM/TBST

All lanes:

Western blot - Anti-IGF2BP1/IMP1 antibody [EPR26408-18] (ab290736) at 1/1000 dilution

Lane 1:

MYC/DDK-tagged mouse IGF2BP1 full-length recombinant protein 10 ng

Lane 2:

MYC/DDK- tagged mouse IGF2BP2 full-length recombinant protein 10 ng

Lane 3:

His-tagged mouse IGF2BP3 full-length recombinant protein 10 ng

Secondary

All lanes:

Western blot - Goat Anti-Rabbit IgG H&L (HRP) (<a href='/en-us/products/secondary-antibodies/goat-rabbit-igg-h-l-hrp-ab97051'>ab97051</a>) at 1/100000 dilution

Predicted band size: 63 kDa

false

Exposure time: 48s

  • Carrier free

    Anti-IGF2BP1/IMP1 antibody [EPR26408-18] - BSA and Azide free

Key facts

Host species

Rabbit

Clonality

Monoclonal

Clone number

EPR26408-18

Isotype

IgG

Carrier free

No

Reacts with

Rat, Human, Mouse

Applications

ICC/IF, IHC-P, mIHC, WB, Flow Cyt (Intra)

applications

Immunogen

The exact immunogen used to generate this antibody is proprietary information.

Reactivity data

{ "title": "Reactivity Data", "filters": { "stats": ["", "Species", "Dilution Info", "Notes"], "tabs": { "all-applications": {"fullname" : "All Applications", "shortname": "All Applications"}, "ICCIF" : {"fullname" : "Immunocytochemistry/ Immunofluorescence", "shortname":"ICC/IF"}, "IP" : {"fullname" : "Immunoprecipitation", "shortname":"IP"}, "WB" : {"fullname" : "Western blot", "shortname":"WB"}, "FlowCytIntra" : {"fullname" : "Flow Cytometry (Intracellular)", "shortname":"Flow Cyt (Intra)"}, "IHCP" : {"fullname" : "Immunohistochemistry (Formalin/PFA-fixed paraffin-embedded sections)", "shortname":"IHC-P"}, "mIHC" : {"fullname" : "Multiplex immunohistochemistry", "shortname":"mIHC"} }, "product-promise": { "all": "all", "testedAndGuaranteed": "tested", "guaranteed": "expected", "predicted": "predicted", "notRecommended": "not-recommended" } }, "values": { "Human": { "ICCIF-species-checked": "testedAndGuaranteed", "ICCIF-species-dilution-info": "1/50", "ICCIF-species-notes": "<p></p>", "IP-species-checked": "notRecommended", "IP-species-dilution-info": "", "IP-species-notes": "<p></p>", "WB-species-checked": "testedAndGuaranteed", "WB-species-dilution-info": "1/1000", "WB-species-notes": "<p></p>", "FlowCytIntra-species-checked": "testedAndGuaranteed", "FlowCytIntra-species-dilution-info": "1/500", "FlowCytIntra-species-notes": "<p></p>", "IHCP-species-checked": "testedAndGuaranteed", "IHCP-species-dilution-info": "1/2000", "IHCP-species-notes": "<p></p>", "mIHC-species-checked": "testedAndGuaranteed", "mIHC-species-dilution-info": "1/500", "mIHC-species-notes": "<p></p>" }, "Mouse": { "ICCIF-species-checked": "testedAndGuaranteed", "ICCIF-species-dilution-info": "1/50", "ICCIF-species-notes": "<p></p>", "IP-species-checked": "notRecommended", "IP-species-dilution-info": "", "IP-species-notes": "<p></p>", "WB-species-checked": "testedAndGuaranteed", "WB-species-dilution-info": "1/1000", "WB-species-notes": "<p></p>", "FlowCytIntra-species-checked": "testedAndGuaranteed", "FlowCytIntra-species-dilution-info": "1/500", "FlowCytIntra-species-notes": "<p></p>", "IHCP-species-checked": "testedAndGuaranteed", "IHCP-species-dilution-info": "1/2000", "IHCP-species-notes": "<p></p>", "mIHC-species-checked": "guaranteed", "mIHC-species-dilution-info": "", "mIHC-species-notes": "" }, "Rat": { "ICCIF-species-checked": "guaranteed", "ICCIF-species-dilution-info": "", "ICCIF-species-notes": "", "IP-species-checked": "notRecommended", "IP-species-dilution-info": "", "IP-species-notes": "", "WB-species-checked": "notRecommended", "WB-species-dilution-info": "1/1000", "WB-species-notes": "<p></p>", "FlowCytIntra-species-checked": "guaranteed", "FlowCytIntra-species-dilution-info": "", "FlowCytIntra-species-notes": "", "IHCP-species-checked": "testedAndGuaranteed", "IHCP-species-dilution-info": "1/2000", "IHCP-species-notes": "<p></p>", "mIHC-species-checked": "guaranteed", "mIHC-species-dilution-info": "", "mIHC-species-notes": "" } } }

Product details

Patented technology
Our RabMAb® technology is a patented hybridoma-based technology for making rabbit monoclonal antibodies. For details on our patents, please refer to RabMAb® patents.

What are the advantages of a recombinant monoclonal antibody?
This product is a recombinant monoclonal antibody, which offers several advantages including:

  • - High batch-to-batch consistency and reproducibility
  • - Improved sensitivity and specificity
  • - Long-term security of supply
  • - Animal-free batch production

For more information, read more on recombinant antibodies.

Properties and storage information

Form
Liquid
Purification technique
Affinity purification Protein A
Storage buffer
pH: 7.2 - 7.4 Preservative: 0.01% Sodium azide Constituents: PBS, 40% Glycerol (glycerin, glycerine), 0.05% BSA
Shipped at conditions
Blue Ice
Appropriate short-term storage duration
1-2 weeks
Appropriate short-term storage conditions
+4°C
Appropriate long-term storage conditions
-20°C
Aliquoting information
Upon delivery aliquot
Storage information
Avoid freeze / thaw cycle

Product protocols

For this product, it's our understanding that no specific protocols are required. You can visit:

Target data

RNA-binding factor that recruits target transcripts to cytoplasmic protein-RNA complexes (mRNPs). This transcript 'caging' into mRNPs allows mRNA transport and transient storage. It also modulates the rate and location at which target transcripts encounter the translational apparatus and shields them from endonuclease attacks or microRNA-mediated degradation. Preferentially binds to N6-methyladenosine (m6A)-containing mRNAs and increases their stability (PubMed : 29476152, PubMed : 32245947). Plays a direct role in the transport and translation of transcripts required for axonal regeneration in adult sensory neurons (By similarity). Regulates localized beta-actin/ACTB mRNA translation, a crucial process for cell polarity, cell migration and neurite outgrowth. Co-transcriptionally associates with the ACTB mRNA in the nucleus. This binding involves a conserved 54-nucleotide element in the ACTB mRNA 3'-UTR, known as the 'zipcode'. The RNP thus formed is exported to the cytoplasm, binds to a motor protein and is transported along the cytoskeleton to the cell periphery. During transport, prevents ACTB mRNA from being translated into protein. When the RNP complex reaches its destination near the plasma membrane, IGF2BP1 is phosphorylated. This releases the mRNA, allowing ribosomal 40S and 60S subunits to assemble and initiate ACTB protein synthesis. Monomeric ACTB then assembles into the subcortical actin cytoskeleton (By similarity). During neuronal development, key regulator of neurite outgrowth, growth cone guidance and neuronal cell migration, presumably through the spatiotemporal fine tuning of protein synthesis, such as that of ACTB (By similarity). May regulate mRNA transport to activated synapses (By similarity). Binds to and stabilizes ABCB1/MDR-1 mRNA (By similarity). During interstinal wound repair, interacts with and stabilizes PTGS2 transcript. PTGS2 mRNA stabilization may be crucial for colonic mucosal wound healing (By similarity). Binds to the 3'-UTR of IGF2 mRNA by a mechanism of cooperative and sequential dimerization and regulates IGF2 mRNA subcellular localization and translation. Binds to MYC mRNA, in the coding region instability determinant (CRD) of the open reading frame (ORF), hence preventing MYC cleavage by endonucleases and possibly microRNA targeting to MYC-CRD (PubMed : 29476152). Binding to MYC mRNA is enhanced by m6A-modification of the CRD (PubMed : 29476152). Binds to the 3'-UTR of CD44 mRNA and stabilizes it, hence promotes cell adhesion and invadopodia formation in cancer cells. Binds to the oncofetal H19 transcript and to the neuron-specific TAU mRNA and regulates their localizations. Binds to and stabilizes BTRC/FBW1A mRNA. Binds to the adenine-rich autoregulatory sequence (ARS) located in PABPC1 mRNA and represses its translation. PABPC1 mRNA-binding is stimulated by PABPC1 protein. Prevents BTRC/FBW1A mRNA degradation by disrupting microRNA-dependent interaction with AGO2. Promotes the directed movement of tumor-derived cells by fine-tuning intracellular signaling networks. Binds to MAPK4 3'-UTR and inhibits its translation. Interacts with PTEN transcript open reading frame (ORF) and prevents mRNA decay. This combined action on MAPK4 (down-regulation) and PTEN (up-regulation) antagonizes HSPB1 phosphorylation, consequently it prevents G-actin sequestration by phosphorylated HSPB1, allowing F-actin polymerization. Hence enhances the velocity of cell migration and stimulates directed cell migration by PTEN-modulated polarization. Interacts with Hepatitis C virus (HCV) 5'-UTR and 3'-UTR and specifically enhances translation at the HCV IRES, but not 5'-cap-dependent translation, possibly by recruiting eIF3. Interacts with HIV-1 GAG protein and blocks the formation of infectious HIV-1 particles. Reduces HIV-1 assembly by inhibiting viral RNA packaging, as well as assembly and processing of GAG protein on cellular membranes. During cellular stress, such as oxidative stress or heat shock, stabilizes target mRNAs that are recruited to stress granules, including CD44, IGF2, MAPK4, MYC, PTEN, RAPGEF2 and RPS6KA5 transcripts.
See full target information IGF2BP1

Publications (10)

Recent publications for all applications. Explore the full list and refine your search

Amino acids 57:42 PubMed40844715

2025

IGF2BP1-mediated methylation of ABCA1 facilitates tumor progression by affecting cholesterol metabolism in lung adenocarcinoma.

Applications

Unspecified application

Species

Unspecified reactive species

Shaohua Xu,Kai Liu,Zhao Chen,Weijian Tang,Zhoumiao Chen

Cell death & disease 16:294 PubMed40229267

2025

β-adrenergic receptor inhibits heart regeneration by downregulating Yap m6A modification.

Applications

Unspecified application

Species

Unspecified reactive species

Kaihang Guan,Zijian Li

NPJ precision oncology 9:80 PubMed40119070

2025

ARRB2 promotes cervical cancer progression via stabilizing CDC25A mRNA through m6A-IGF2BP1-dependent manner.

Applications

Unspecified application

Species

Unspecified reactive species

Lijie Li,Jie Zeng,Mengying Liu,Hui Cheng,Yuyin He,Sili He,Chen Wang

Cell biology and toxicology 41:60 PubMed40111649

2025

Olfactory mucosal mesenchymal stem cell-derived exosome Lnc A2M-AS1 ameliorates oxidative stress by regulating TP53INP1-mediated mitochondrial autophagy through interacting with IGF2BP1 in Parkinson's diseases.

Applications

Unspecified application

Species

Unspecified reactive species

Jiangshan Zhang,Chuang Wang,Guoshuai Yang,Yanhui Zhou,Dan Hou,Ying Xia

Acta diabetologica 62:1403-1416 PubMed39945887

2025

The UBR5 protein facilitates mesangial cell hypertrophy and glycolysis induced by high glucose by increasing the phosphorylation levels of AKT.

Applications

Unspecified application

Species

Unspecified reactive species

Lin Liao,Qiming Xu,Jie Xu,Jie Chen,Wenrui Liu,Wenhao Chen,Yunqing Tang,Lianxiang Duan,Yue Guo,Ziyang Liu,Pengyu Tao,Yu Cao,Jianrao Lu,Jing Hu

Journal of inflammation research 17:11331-11346 PubMed39722730

2024

The METTL3/m6A Reader Protein YTHDF1 Regulates Endothelial Cell Pyroptosis by Enhancing NLRP3 Expression to Affect Soft Tissue Injury.

Applications

Unspecified application

Species

Unspecified reactive species

Xuesong Xie,Fang Fang

Epigenomics 16:985-998 PubMed39072366

2024

promotes colorectal cancer malignant progression by binding with IGF2BP1 to enhance the stability of connective tissue growth factor mRNA.

Applications

Unspecified application

Species

Unspecified reactive species

Weijian Lun,Xiaobin Zhang,Yinsheng Hong,Canhua Luo,Yongjia Liu

Molecular cancer 23:79 PubMed38658974

2024

Co-transcriptional R-loops-mediated epigenetic regulation drives growth retardation and docetaxel chemosensitivity enhancement in advanced prostate cancer.

Applications

Unspecified application

Species

Unspecified reactive species

Yufan Ying,Yuqing Wu,Fenghao Zhang,Yijie Tang,Jiahe Yi,Xueyou Ma,Jiangfeng Li,Danni Chen,Xiao Wang,Xiaoyan Liu,Ben Liu,Jindan Luo,Xiangyi Zheng,Liping Xie

Molecular therapy : the journal of the American Society of Gene Therapy 31:1615-1635 PubMed36566349

2022

A positive feedback circuit between RN7SK snRNA and mA readers is essential for tumorigenesis.

Applications

Unspecified application

Species

Unspecified reactive species

Xin Xu,Lifang Ma,Xiao Zhang,Susu Guo,Wanxin Guo,Yikun Wang,Shiyu Qiu,Xiaoting Tian,Yayou Miao,Yongchun Yu,Jiayi Wang

Cell death & disease 13:1020 PubMed36470869

2022

FUNDC1 protects against doxorubicin-induced cardiomyocyte PANoptosis through stabilizing mtDNA via interaction with TUFM.

Applications

Unspecified application

Species

Unspecified reactive species

Yaguang Bi,Haixia Xu,Xiang Wang,Hong Zhu,Junbo Ge,Jun Ren,Yingmei Zhang
View all publications

Product promise

We are committed to supporting your work with high-quality reagents, and we're here for you every step of the way. In the unlikely event that one of our products does not perform as expected, you're protected by our Product Promise.
For full details, please see our Terms & Conditions

Please note: All products are 'FOR RESEARCH USE ONLY. NOT FOR USE IN DIAGNOSTIC OR THERAPEUTIC PROCEDURES'.

For licensing inquiries, please contact partnerships@abcam.com