JavaScript is disabled in your browser. Please enable JavaScript to view this website.
AB124930

Anti-IGF2BP2/IMP-2 antibody [EPR6741(B)]

4

(1 Review)

|

(55 Publications)

Anti-IGF2BP2/IMP-2 antibody [EPR6741(B)] (ab124930) is a rabbit monoclonal antibody detecting IGF2BP2/IMP-2 in Western Blot, IHC-P, ICC/IF. Suitable for Human, Mouse, Rat.

- Biophysical QC for unrivalled batch-batch consistency
- Over 20 publications

View Alternative Names

IMP2, VICKZ2, IGF2BP2, Insulin-like growth factor 2 mRNA-binding protein 2, IGF2 mRNA-binding protein 2, IMP-2, Hepatocellular carcinoma autoantigen p62, IGF-II mRNA-binding protein 2, VICKZ family member 2

9 Images
Immunohistochemistry (Formalin/PFA-fixed paraffin-embedded sections) - Anti-IGF2BP2/IMP-2 antibody [EPR6741(B)] (AB124930)
  • IHC-P

Unknown

Immunohistochemistry (Formalin/PFA-fixed paraffin-embedded sections) - Anti-IGF2BP2/IMP-2 antibody [EPR6741(B)] (AB124930)

ab124930 (unpurified), at 1/50 dilution, staining IGF2BP2/IMP-2 in formalin-fixed, paraffin-embedded Human colon tissue by immunohistochemistry.

Perform heat mediated antigen retrieval with citrate buffer pH 6 before commencing with IHC staining protocol.

Immunocytochemistry/ Immunofluorescence - Anti-IGF2BP2/IMP-2 antibody [EPR6741(B)] (AB124930)
  • ICC/IF

Lab

Immunocytochemistry/ Immunofluorescence - Anti-IGF2BP2/IMP-2 antibody [EPR6741(B)] (AB124930)

Immunocytochemistry/ Immunofluorescence analysis of HepG2 (Human liver hepatocellular carcinoma cell line) cells labeling IGF2BP2/IMP-2 with purified ab124930 at 1/250 dilution (3.8μg/ml). Cells were fixed in 4% paraformaldehyde and permeabilized with 0.1% tritonX-100. Cells were counterstained with ab195889, an anti-alpha Tubulin antibody [DM1A] - Microtubule Marker (Alexa Fluor® 594) at 1/200 (2.5 μg/ml). ab150077, a Goat anti-rabbit IgG (Alexa Fluor® 488) was used as the secondary antibody at 1/1000 dilution. DAPI nuclear counterstain. PBS instead of the primary antibody was used as the secondary antibody only control.

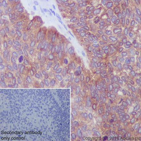
Immunohistochemistry (Formalin/PFA-fixed paraffin-embedded sections) - Anti-IGF2BP2/IMP-2 antibody [EPR6741(B)] (AB124930)
  • IHC-P

Lab

Immunohistochemistry (Formalin/PFA-fixed paraffin-embedded sections) - Anti-IGF2BP2/IMP-2 antibody [EPR6741(B)] (AB124930)

Immunohistochemistry (Formalin/PFA-fixed paraffin-embedded sections) analysis of human lung carcinoma tissue sections labeling IGF2BP2/IMP-2 with purified ab124930 at 1/200 dilution (4.8 μg/ml). Heat mediated antigen retrieval was performed using EDTA Buffer, PH9. Hematoxylin was used to counter stain. ImmunoHistoProbe one step HRP Polymer (ready to use) was used as the secondary antibody at 1/0 dilution. PBS instead of the primary antibody was used as the negative control.

Western blot - Anti-IGF2BP2/IMP-2 antibody [EPR6741(B)] (AB124930)
  • WB

Supplier Data

Western blot - Anti-IGF2BP2/IMP-2 antibody [EPR6741(B)] (AB124930)

Blocking and diluting buffer : 5% NFDM/TBST.

ab205606 was used as a loading control at 1/1000 dilution.

ab179807 was used at 1/1000 dilution.

Lanes 1 - 3:

Western blot - Anti-IGF2BP2/IMP-2 antibody [EPR6741(B)] (ab124930) at 1/1000 dilution

Lanes 1 - 3:

Western blot - Anti-IMP3 antibody [EPR12021-114] (<a href='/en-us/products/primary-antibodies/imp3-antibody-epr12021-114-ab179807'>ab179807</a>) at 1/1000 dilution

Lane 1:

C-Myc/DDK-tagged full length Human IGF2BP1 recombinant protein at 0.01 µg

Lane 2:

C-Myc/DDK-tagged full length Human IGF2BP2 recombinant protein at 0.01 µg

Lane 3:

N-His-tagged full length Human IGF2BP3 recombinant protein at 0.01 µg

Secondary

All lanes:

Western blot - Goat Anti-Rabbit IgG H&L (HRP) (<a href='/en-us/products/secondary-antibodies/goat-rabbit-igg-h-l-hrp-ab97051'>ab97051</a>) at 1/20000 dilution

Predicted band size: 66 kDa

Observed band size: 75 kDa

false

Exposure time: 180s

Western blot - Anti-IGF2BP2/IMP-2 antibody [EPR6741(B)] (AB124930)
  • WB

Lab

Western blot - Anti-IGF2BP2/IMP-2 antibody [EPR6741(B)] (AB124930)

Blocking buffer and concentration 5% NFDM/TBST
Diluting buffer and concentration 5% NFDM/TBST

The double bands are consistent with what has been described in PMID 23177649.

All lanes:

Western blot - Anti-IGF2BP2/IMP-2 antibody [EPR6741(B)] (ab124930) at 1/5000 dilution

Lane 1:

293T (Human embryonic kidney epithelial cell) whole cell lysates at 20 µg

Lane 2:

HeLa (Human cervix adenocarcinoma epithelial cell) whole cell lysates at 20 µg

Lane 3:

HepG2 (Human hepatocellular carcinoma epithelial cell) whole cell lysates at 20 µg

Secondary

All lanes:

Western blot - Goat Anti-Rabbit IgG H&L (HRP) (<a href='/en-us/products/secondary-antibodies/goat-rabbit-igg-h-l-hrp-ab97051'>ab97051</a>) at 1/20000 dilution

Predicted band size: 66 kDa

Observed band size: 60 kDa,62 kDa

false

Exposure time: 60s

Western blot - Anti-IGF2BP2/IMP-2 antibody [EPR6741(B)] (AB124930)
  • WB

Lab

Western blot - Anti-IGF2BP2/IMP-2 antibody [EPR6741(B)] (AB124930)

Blocking and diluting buffer and concentration : 5% NFDM/TBST.

In Western blot, Anti-GAPDH antibody [EPR16891] - Loading Control (ab181602) staining at 1/1000000 dilution.

All lanes:

Western blot - Anti-IGF2BP2/IMP-2 antibody [EPR6741(B)] (ab124930) at 1/1000 dilution

Lane 1:

Human adrenal gland tissue lysate at 20 µg

Lane 2:

Mouse adrenal gland tissue lysate 20ug at 20 µg

Lane 3:

Mouse brain tissue lysate at 20 µg

Lane 4:

Mouse heart tissue lysate at 20 µg

Secondary

All lanes:

Goat Anti-Rabbit IgG (HRP) with minimal cross-reactivity with human IgG at 1/2000 dilution

Observed band size: 70 kDa,15 kDa

false

Exposure time: 180s

Western blot - Anti-IGF2BP2/IMP-2 antibody [EPR6741(B)] (AB124930)
  • WB

Lab

Western blot - Anti-IGF2BP2/IMP-2 antibody [EPR6741(B)] (AB124930)

Blocking and diluting buffer : 5% NFDM/TBST.

All lanes:

Western blot - Anti-IGF2BP2/IMP-2 antibody [EPR6741(B)] (ab124930) at 1/2000 dilution

Lane 1:

293T (Human embryonic kidney epithelial cell) whole cell lysate at 20 µg

Lane 2:

SH-SY5Y (Human neuroblastoma epithelial cell) whole cell lysate at 20 µg

Lane 3:

Rat brain lysate at 20 µg

Secondary

All lanes:

Western blot - Goat Anti-Rabbit IgG H&L (HRP) (<a href='/en-us/products/secondary-antibodies/goat-rabbit-igg-h-l-hrp-ab97051'>ab97051</a>) at 1/20000 dilution

Predicted band size: 66 kDa

Observed band size: 66 kDa

false

Western blot - Anti-IGF2BP2/IMP-2 antibody [EPR6741(B)] (AB124930)
  • WB

Lab

Western blot - Anti-IGF2BP2/IMP-2 antibody [EPR6741(B)] (AB124930)

Blocking and diluting buffer : 5% NFDM/TBST.

All lanes:

Western blot - Anti-IGF2BP2/IMP-2 antibody [EPR6741(B)] (ab124930) at 1/10000 dilution

All lanes:

Mouse heart lysate at 15 µg

Secondary

All lanes:

Western blot - Goat Anti-Rabbit IgG H&L (HRP) (<a href='/en-us/products/secondary-antibodies/goat-rabbit-igg-h-l-hrp-ab97051'>ab97051</a>) at 1/20000 dilution

Predicted band size: 66 kDa

Observed band size: 66 kDa

false

OI-RD Scanning - Anti-IGF2BP2/IMP-2 antibody [EPR6741(B)] (AB124930)
  • OI-RD Scanning

Unknown

OI-RD Scanning - Anti-IGF2BP2/IMP-2 antibody [EPR6741(B)] (AB124930)

We have systematically measured KD (the equilibrium dissociation constant between the antibody and its antigen), of more than 840 recombinant antibodies to assess not only their individual KD values but also to see the average affinity of antibody. Based on the comparison with published literature values for mouse monoclonal antibodies, Recombinant antibodies appear to be on average 1-2 order of magnitude higher affinity.

  • Carrier free

    Anti-IGF2BP2/IMP-2 antibody [EPR6741(B)] - BSA and Azide free

  • 519 Alexa Fluor® 488

    Alexa Fluor® 488 Anti-IGF2BP2/IMP-2 antibody [EPR6741(B)]

  • 665 Alexa Fluor® 647

    Alexa Fluor® 647 Anti-IGF2BP2/IMP-2 antibody [EPR6741(B)]

Key facts

Host species

Rabbit

Clonality

Monoclonal

Clone number

EPR6741(B)

Isotype

IgG

Carrier free

No

Reacts with

Mouse, Rat, Human

Applications

ICC/IF, IHC-P, WB

applications

Immunogen

The exact immunogen used to generate this antibody is proprietary information.

Reactivity data

{ "title": "Reactivity Data", "filters": { "stats": ["", "Species", "Dilution Info", "Notes"], "tabs": { "all-applications": {"fullname" : "All Applications", "shortname": "All Applications"}, "IHCP" : {"fullname" : "Immunohistochemistry (Formalin/PFA-fixed paraffin-embedded sections)", "shortname":"IHC-P"}, "WB" : {"fullname" : "Western blot", "shortname":"WB"}, "ICCIF" : {"fullname" : "Immunocytochemistry/ Immunofluorescence", "shortname":"ICC/IF"} }, "product-promise": { "all": "all", "testedAndGuaranteed": "tested", "guaranteed": "expected", "predicted": "predicted", "notRecommended": "not-recommended" } }, "values": { "Human": { "IHCP-species-checked": "testedAndGuaranteed", "IHCP-species-dilution-info": "1/200", "IHCP-species-notes": "<p></p> Perform heat-mediated antigen retrieval with citrate buffer pH 6 before commencing with IHC staining protocol.", "WB-species-checked": "testedAndGuaranteed", "WB-species-dilution-info": "1/2000 - 1/5000", "WB-species-notes": "<p></p>", "ICCIF-species-checked": "testedAndGuaranteed", "ICCIF-species-dilution-info": "1/100 - 1/250", "ICCIF-species-notes": "<p></p>" }, "Mouse": { "IHCP-species-checked": "guaranteed", "IHCP-species-dilution-info": "", "IHCP-species-notes": "", "WB-species-checked": "testedAndGuaranteed", "WB-species-dilution-info": "1/2000 - 1/5000", "WB-species-notes": "<p></p>", "ICCIF-species-checked": "guaranteed", "ICCIF-species-dilution-info": "", "ICCIF-species-notes": "" }, "Rat": { "IHCP-species-checked": "guaranteed", "IHCP-species-dilution-info": "", "IHCP-species-notes": "", "WB-species-checked": "testedAndGuaranteed", "WB-species-dilution-info": "1/2000 - 1/5000", "WB-species-notes": "<p></p>", "ICCIF-species-checked": "guaranteed", "ICCIF-species-dilution-info": "", "ICCIF-species-notes": "" } } }

Product details

What is this antibody validated in?
Anti-IGF2BP2/IMP-2 antibody [EPR6741(B)] (ab124930) is a rabbit recombinant monoclonal antibody and is validated for use in Western Blot (WB), Immunohistochemistry (IHC-P), Immunocytochemistry/immunofluorescence (ICC/IF) in Human, Mouse, Rat samples.

What is the molecular weight of IGF2BP2/IMP-2?
Anti-IGF2BP2/IMP-2 [EPR6741(B)] (ab124930) specifically detects a band for IGF2BP2/IMP-2 (UniProt: Q9Y6M1) at a molecular weight of 66kDa.

Trusted by the scientific community
Anti-IGF2BP2/IMP-2 [EPR6741(B)] (ab124930) was first used in a scientific publication in 2012 and has been cited over 20 times in peer-reviewed journals.

Trial sizes available!
Test your antibody or perform pre-screening before committing to a larger quantity. Sold in 10µl. Discover our selection of trial-size antibodies.

Other related products
We have a range of other formats of antibody clone [EPR6741(B)] also available for your convenience: ab124930, Carrier free - ab246342, Alexa Fluor® 488 - ab319129, Alexa Fluor® 647 - ab322024

Patented technology
Our RabMAb® technology is a patented hybridoma-based technology for making rabbit monoclonal antibodies. For details on our patents, please refer to RabMAb® patents.

What are the advantages of a recombinant monoclonal antibody?
This product is a recombinant monoclonal antibody, which offers several advantages including:

  • - High batch-to-batch consistency and reproducibility
  • - Improved sensitivity and specificity
  • - Long-term security of supply
  • - Animal-free batch production

For more information, read more on recombinant antibodies.

Properties and storage information

Form
Liquid
Purification technique
Affinity purification Protein A
Storage buffer
pH: 7.2 - 7.4 Preservative: 0.01% Sodium azide Constituents: PBS, 40% Glycerol (glycerin, glycerine), 0.05% BSA
Shipped at conditions
Blue Ice
Appropriate short-term storage duration
1-2 weeks
Appropriate short-term storage conditions
+4°C
Appropriate long-term storage conditions
-20°C
Aliquoting information
Upon delivery aliquot
Storage information
Avoid freeze / thaw cycle|Stable for 12 months at -20°C

Product protocols

For this product, it's our understanding that no specific protocols are required. You can visit:

Target data

RNA-binding factor that recruits target transcripts to cytoplasmic protein-RNA complexes (mRNPs). This transcript 'caging' into mRNPs allows mRNA transport and transient storage. It also modulates the rate and location at which target transcripts encounter the translational apparatus and shields them from endonuclease attacks or microRNA-mediated degradation (By similarity). Preferentially binds to N6-methyladenosine (m6A)-containing mRNAs and increases their stability (PubMed : 29476152). Binds to the 5'-UTR of the insulin-like growth factor 2 (IGF2) mRNAs (PubMed : 9891060). Binding is isoform-specific. Binds to beta-actin/ACTB and MYC transcripts. Increases MYC mRNA stability by binding to the coding region instability determinant (CRD) and binding is enhanced by m6A-modification of the CRD (PubMed : 29476152).
See full target information IGF2BP2

Publications (55)

Recent publications for all applications. Explore the full list and refine your search

iScience 28:113520 PubMed41069850

2025

ALKBH5-IGF2BP2 axis mediates prostate cancer progression and docetaxel resistance via m6A-stabilized CLSPN RNA.

Applications

Unspecified application

Species

Unspecified reactive species

Yutong Chen,Yang Li,Zongzhu Liang,Zhao Yang,Haotian Ren,Wanqing Wei,Yuanjie Niu,Zhiqun Shang

Nature communications 16:8609 PubMed41022764

2025

Direct circMAN1A2(2,3,4,5)-CENPB mRNA interaction regulates cell proliferation and cancer progression.

Applications

Unspecified application

Species

Unspecified reactive species

Mei Cao,Guo-Hua Yuan,Shi-Meng Cao,Yu-Xin Liu,Chu-Xiao Liu,Yi-Feng Xu,Jia Wei,Yi-Lin Guo,Ling-Ling Chen,Li Yang

Cell death discovery 11:417 PubMed40883266

2025

METTL3-mediated m6A modification of circCDKAL1 regulates macrophage M1 polarization and nasal epithelial cell barrier function in allergic rhinitis through IGF2BP2/JARID2/HMGB1 axis.

Applications

Unspecified application

Species

Unspecified reactive species

Jiabin Zhan,Dan Luo,Yunlong Fu,Yu Zhou,Rui Li,Xin Wei

Clinical and experimental medicine 25:283 PubMed40775333

2025

METTL3 stabilizes DDX17 mRNA via IGF2BP2-mediated m6A modification to suppress endometrial cancer progression.

Applications

Unspecified application

Species

Unspecified reactive species

Yuan Zhang,Mengjun Liu,Jing Liu,Jing Zhang

Open medicine (Warsaw, Poland) 20:20251191 PubMed40727611

2025

METTL3 blocked the progression of diabetic retinopathy through m6A-modified SOX2.

Applications

Unspecified application

Species

Unspecified reactive species

Xiujuan Chen,Qipeng Ling,Jie Xu,Yunyao Ye,Lili Dong

Hepatology communications 9: PubMed40366121

2025

Single-cell transcription reveals hepatocyte-to-cholangiocyte reprogramming and biliary gene profile in biliary atresia.

Applications

Unspecified application

Species

Unspecified reactive species

Lingdu Meng,Min Du,Haodong Li,Fanyang Kong,Jiajian Yang,Rui Dong,Shan Zheng,Gong Chen,Zhen Shen,Junfeng Wang

Cell division 20:9 PubMed40251670

2025

METTL16/IGF2BP2 axis enhances malignant progression and DDP resistance through up-regulating COL4A1 by mediating the m6A methylation modification of LAMA4 in hepatocellular carcinoma.

Applications

Unspecified application

Species

Unspecified reactive species

Liming Cao,Wei Bi

Cancer cell international 25:122 PubMed40158101

2025

The m6A reader IGF2BP2 promotes pancreatic cancer progression through the m6A-SLC1A5-mTORC1 axis.

Applications

Unspecified application

Species

Unspecified reactive species

Xi Pu,Yuting Wu,Weiguo Long,Xinyu Sun,Xiao Yuan,Deqiang Wang,Xu Wang,Min Xu

Journal of translational medicine 23:376 PubMed40148953

2025

Circ-ITCH promotes the ubiquitination degradation of HOXC10 to facilitate osteogenic differentiation in disuse osteoporosis through stabilizing BRCA1 mRNA via IGF2BP2-mediated mA modification.

Applications

Unspecified application

Species

Unspecified reactive species

Da Zhong,Xi Li,Zhen Yin,Peng Chen,Yusheng Li,Jian Tian,Long Wang,Hua Liu,Ke Yin,Lemei Zhu,Lingyu Kong,Kunli Chen,Yaochun Li,Chungu Hong,Chenggong Wang

Acta pharmaceutica Sinica. B 15:296-313 PubMed40041896

2025

-Methyladenosine modification of circDcbld2 in Kupffer cells promotes hepatic fibrosis targeting miR-144-3p/ axis.

Applications

Unspecified application

Species

Unspecified reactive species

Sai Zhu,Xin Chen,Lijiao Sun,Xiaofeng Li,Yu Chen,Liangyun Li,Xiaoguo Suo,Chuanhui Xu,Minglu Ji,Jianan Wang,Hua Wang,Lei Zhang,Xiaoming Meng,Cheng Huang,Jun Li
View all publications

Product promise

We are committed to supporting your work with high-quality reagents, and we're here for you every step of the way. In the unlikely event that one of our products does not perform as expected, you're protected by our Product Promise.
For full details, please see our Terms & Conditions

Please note: All products are 'FOR RESEARCH USE ONLY. NOT FOR USE IN DIAGNOSTIC OR THERAPEUTIC PROCEDURES'.

For licensing inquiries, please contact partnerships@abcam.com