JavaScript is disabled in your browser. Please enable JavaScript to view this website.
AB246342

Anti-IGF2BP2/IMP-2 antibody [EPR6741(B)] - BSA and Azide free

Be the first to review this product! Submit a review

|

(1 Publication)

Rabbit Recombinant Monoclonal IGF2BP2/IMP-2 antibody. Carrier free. Suitable for IHC-P, WB, ICC/IF and reacts with Human, Mouse, Rat samples. Cited in 1 publication.

View Alternative Names

IMP2, VICKZ2, IGF2BP2, Insulin-like growth factor 2 mRNA-binding protein 2, IGF2 mRNA-binding protein 2, IMP-2, Hepatocellular carcinoma autoantigen p62, IGF-II mRNA-binding protein 2, VICKZ family member 2

6 Images
Immunohistochemistry (Formalin/PFA-fixed paraffin-embedded sections) - Anti-IGF2BP2/IMP-2 antibody [EPR6741(B)] - BSA and Azide free (AB246342)
  • IHC-P

Unknown

Immunohistochemistry (Formalin/PFA-fixed paraffin-embedded sections) - Anti-IGF2BP2/IMP-2 antibody [EPR6741(B)] - BSA and Azide free (AB246342)

ab124930 (unpurified), at 1/50 dilution, staining IGF2BP2/IMP-2 in formalin-fixed, paraffin-embedded Human colon tissue by immunohistochemistry.

This data was developed using the same antibody clone in a different buffer formulation containing PBS, BSA, glycerol, and sodium azide (ab124930).

Perform heat mediated antigen retrieval with citrate buffer pH 6 before commencing with IHC staining protocol.

Immunocytochemistry/ Immunofluorescence - Anti-IGF2BP2/IMP-2 antibody [EPR6741(B)] - BSA and Azide free (AB246342)
  • ICC/IF

Lab

Immunocytochemistry/ Immunofluorescence - Anti-IGF2BP2/IMP-2 antibody [EPR6741(B)] - BSA and Azide free (AB246342)

Immunocytochemistry/Immunofluorescence analysis of HepG2 (Human liver hepatocellular carcinoma cell line) cells labeling IGF2BP2/IMP-2 with purified ab124930 at 1/250 dilution (3.8μg/ml). Cells were fixed in 4% paraformaldehyde and permeabilized with 0.1% tritonX-100. Cells were counterstained with ab195889, an anti-alpha Tubulin antibody [DM1A] - Microtubule Marker (Alexa Fluor® 594) at 1/200 (2.5 μg/ml). ab150077, a Goat anti-rabbit IgG (Alexa Fluor® 488) was used as the secondary antibody at 1/1000 dilution. DAPI nuclear counterstain. PBS instead of the primary antibody was used as the secondary antibody only control.

This data was developed using the same antibody clone in a different buffer formulation containing PBS, BSA, glycerol, and sodium azide (ab124930).

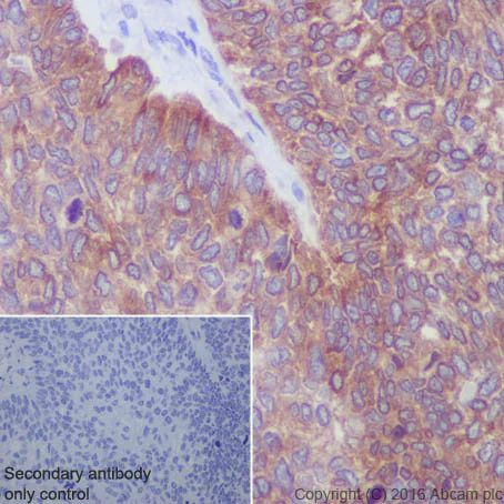
Immunohistochemistry (Formalin/PFA-fixed paraffin-embedded sections) - Anti-IGF2BP2/IMP-2 antibody [EPR6741(B)] - BSA and Azide free (AB246342)
  • IHC-P

Lab

Immunohistochemistry (Formalin/PFA-fixed paraffin-embedded sections) - Anti-IGF2BP2/IMP-2 antibody [EPR6741(B)] - BSA and Azide free (AB246342)

Immunohistochemistry (Formalin/PFA-fixed paraffin-embedded sections) analysis of human lung carcinoma tissue sections labeling IGF2BP2/IMP-2 with purified ab124930 at 1/200 dilution (4.8 μg/ml). Heat mediated antigen retrieval was performed using EDTA Buffer, PH9. Hematoxylin was used to counter stain. ImmunoHistoProbe one step HRP Polymer (ready to use) was used as the secondary antibody at 1/0 dilution. PBS instead of the primary antibody was used as the negative control.

This data was developed using the same antibody clone in a different buffer formulation containing PBS, BSA, glycerol, and sodium azide (ab124930).

Western blot - Anti-IGF2BP2/IMP-2 antibody [EPR6741(B)] - BSA and Azide free (AB246342)
  • WB

Lab

Western blot - Anti-IGF2BP2/IMP-2 antibody [EPR6741(B)] - BSA and Azide free (AB246342)

This data was developed using ab124930, the same antibody clone in a different buffer formulation.

Blocking and diluting buffer and concentration : 5% NFDM/TBST.

In Western blot, Anti-GAPDH antibody [EPR16891] - Loading Control (ab181602) staining at 1/1000000 dilution.

All lanes:

Western blot - Anti-IGF2BP2/IMP-2 antibody [EPR6741(B)] (<a href='/en-us/products/primary-antibodies/igf2bp2-imp-2-antibody-epr6741b-ab124930'>ab124930</a>) at 1/1000 dilution

Lane 1:

Human adrenal gland tissue lysate at 20 µg

Lane 2:

Mouse adrenal gland tissue lysate 20ug at 20 µg

Lane 3:

Mouse brain tissue lysate at 20 µg

Lane 4:

Mouse heart tissue lysate at 20 µg

Secondary

All lanes:

Goat Anti-Rabbit IgG (HRP) with minimal cross-reactivity with human IgG at 1/2000 dilution

Observed band size: 70 kDa,15 kDa

false

Exposure time: 180s

Western blot - Anti-IGF2BP2/IMP-2 antibody [EPR6741(B)] - BSA and Azide free (AB246342)
  • WB

Supplier Data

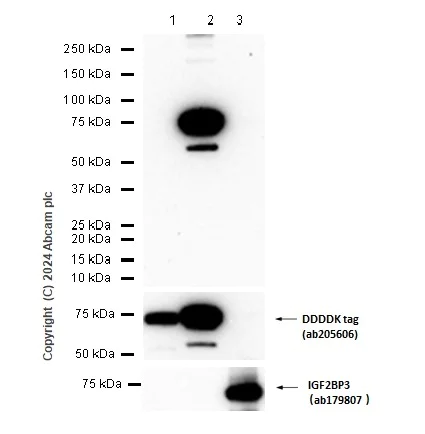
Western blot - Anti-IGF2BP2/IMP-2 antibody [EPR6741(B)] - BSA and Azide free (AB246342)

This data was developed using the same antibody clone in a different buffer formulation containing PBS, BSA, glycerol, and sodium azide (ab124930).

Blocking and diluting buffer : 5% NFDM/TBST.

ab205606 was used as a loading control at 1/1000 dilution.

ab179807 was used at 1/1000 dilution.

Lanes 1 - 3:

Western blot - Anti-IGF2BP2/IMP-2 antibody [EPR6741(B)] (<a href='/en-us/products/primary-antibodies/igf2bp2-imp-2-antibody-epr6741b-ab124930'>ab124930</a>) at 1/1000 dilution

Lanes 1 - 3:

Western blot - Anti-IMP3 antibody [EPR12021-114] (<a href='/en-us/products/primary-antibodies/imp3-antibody-epr12021-114-ab179807'>ab179807</a>) at 1/1000 dilution

Lane 1:

C-Myc/DDK-tagged full length Human IGF2BP1 recombinant protein at 0.01 µg

Lane 2:

C-Myc/DDK-tagged full length Human IGF2BP2 recombinant protein at 0.01 µg

Lane 3:

N-His-tagged full length Human IGF2BP3 recombinant protein at 0.01 µg

Secondary

All lanes:

Western blot - Goat Anti-Rabbit IgG H&L (HRP) (<a href='/en-us/products/secondary-antibodies/goat-rabbit-igg-h-l-hrp-ab97051'>ab97051</a>) at 1/20000 dilution

Predicted band size: 66 kDa

Observed band size: 75 kDa

false

Exposure time: 180s

OI-RD Scanning - Anti-IGF2BP2/IMP-2 antibody [EPR6741(B)] - BSA and Azide free (AB246342)
  • OI-RD Scanning

Unknown

OI-RD Scanning - Anti-IGF2BP2/IMP-2 antibody [EPR6741(B)] - BSA and Azide free (AB246342)

We have systematically measured KD (the equilibrium dissociation constant between the antibody and its antigen), of more than 840 recombinant antibodies to assess not only their individual KD values but also to see the average affinity of antibody. Based on the comparison with published literature values for mouse monoclonal antibodies, Recombinant antibodies appear to be on average 1-2 order of magnitude higher affinity.

Key facts

Host species

Rabbit

Clonality

Monoclonal

Clone number

EPR6741(B)

Isotype

IgG

Carrier free

Yes

Reacts with

Mouse, Rat, Human

Applications

WB, IHC-P, ICC/IF

applications

Immunogen

The exact immunogen used to generate this antibody is proprietary information.

Reactivity data

{ "title": "Reactivity Data", "filters": { "stats": ["", "Species", "Dilution Info", "Notes"], "tabs": { "all-applications": {"fullname" : "All Applications", "shortname": "All Applications"}, "IHCP" : {"fullname" : "Immunohistochemistry (Formalin/PFA-fixed paraffin-embedded sections)", "shortname":"IHC-P"}, "WB" : {"fullname" : "Western blot", "shortname":"WB"}, "ICCIF" : {"fullname" : "Immunocytochemistry/ Immunofluorescence", "shortname":"ICC/IF"} }, "product-promise": { "all": "all", "testedAndGuaranteed": "tested", "guaranteed": "expected", "predicted": "predicted", "notRecommended": "not-recommended" } }, "values": { "Human": { "IHCP-species-checked": "testedAndGuaranteed", "IHCP-species-dilution-info": "", "IHCP-species-notes": "<p></p> Perform heat-mediated antigen retrieval with citrate buffer pH 6 before commencing with IHC staining protocol.", "WB-species-checked": "testedAndGuaranteed", "WB-species-dilution-info": "", "WB-species-notes": "<p></p>", "ICCIF-species-checked": "testedAndGuaranteed", "ICCIF-species-dilution-info": "", "ICCIF-species-notes": "<p></p>" }, "Mouse": { "IHCP-species-checked": "guaranteed", "IHCP-species-dilution-info": "", "IHCP-species-notes": "", "WB-species-checked": "testedAndGuaranteed", "WB-species-dilution-info": "", "WB-species-notes": "<p></p>", "ICCIF-species-checked": "guaranteed", "ICCIF-species-dilution-info": "", "ICCIF-species-notes": "" }, "Rat": { "IHCP-species-checked": "guaranteed", "IHCP-species-dilution-info": "", "IHCP-species-notes": "", "WB-species-checked": "testedAndGuaranteed", "WB-species-dilution-info": "", "WB-species-notes": "<p></p>", "ICCIF-species-checked": "guaranteed", "ICCIF-species-dilution-info": "", "ICCIF-species-notes": "" } } }

Product details

ab246342 is the carrier-free version of ab124930.

The mouse and rat recommendation is based on the WB results. This antibody may not be suitable for IHC with mouse or rat samples.

Patented technology
Our RabMAb® technology is a patented hybridoma-based technology for making rabbit monoclonal antibodies. For details on our patents, please refer to RabMAb® patents.

What are the advantages of a recombinant monoclonal antibody?
This product is a recombinant monoclonal antibody, which offers several advantages including:

  • - High batch-to-batch consistency and reproducibility
  • - Improved sensitivity and specificity
  • - Long-term security of supply
  • - Animal-free batch production

For more information, read more on recombinant antibodies.

Conjugation ready
Our carrier-free antibodies are typically supplied in a PBS-only formulation, purified and free of BSA, sodium azide and glycerol. This conjugation-ready format is designed for use with fluorochromes, metal isotopes, oligonucleotides, and enzymes, which makes them ideal for antibody labelling, functional and cell-based assays, flow-based assays (e.g. mass cytometry) and Multiplex Imaging applications.

Use our conjugation kits for antibody conjugates that are ready-to-use in as little as 20 minutes with 1 minute hands-on-time and 100% antibody recovery: available for fluorescent dyes, HRP, biotin and gold.

Compatibility
This product is compatible with the Maxpar® Antibody Labeling Kit from Fluidigm, without the need for antibody preparation. Maxpar® is a trademark of Fluidigm Canada Inc.

Properties and storage information

Form
Liquid
Purification technique
Affinity purification Protein A
Storage buffer
pH: 7.2 - 7.4 Constituents: PBS
Shipped at conditions
Blue Ice
Appropriate short-term storage conditions
+4°C
Appropriate long-term storage conditions
+4°C
Storage information
Do Not Freeze

Product protocols

For this product, it's our understanding that no specific protocols are required. You can visit:

Target data

RNA-binding factor that recruits target transcripts to cytoplasmic protein-RNA complexes (mRNPs). This transcript 'caging' into mRNPs allows mRNA transport and transient storage. It also modulates the rate and location at which target transcripts encounter the translational apparatus and shields them from endonuclease attacks or microRNA-mediated degradation (By similarity). Preferentially binds to N6-methyladenosine (m6A)-containing mRNAs and increases their stability (PubMed : 29476152). Binds to the 5'-UTR of the insulin-like growth factor 2 (IGF2) mRNAs (PubMed : 9891060). Binding is isoform-specific. Binds to beta-actin/ACTB and MYC transcripts. Increases MYC mRNA stability by binding to the coding region instability determinant (CRD) and binding is enhanced by m6A-modification of the CRD (PubMed : 29476152).
See full target information IGF2BP2

Publications (1)

Recent publications for all applications. Explore the full list and refine your search

Molecular therapy. Nucleic acids 33:698-712 PubMed37662970

2023

Selection of a novel cell-internalizing RNA aptamer specific for CD22 antigen in B cell acute lymphoblastic leukemia.

Applications

Unspecified application

Species

Unspecified reactive species

Dario Ruiz-Ciancio,Li-Hsien Lin,Suresh Veeramani,Maya N Barros,Diego Sanchez,Ary Lautaro Di Bartolo,Diego Masone,Paloma H Giangrande,María Belén Mestre,William H Thiel
View all publications

Product promise

We are committed to supporting your work with high-quality reagents, and we're here for you every step of the way. In the unlikely event that one of our products does not perform as expected, you're protected by our Product Promise.
For full details, please see our Terms & Conditions

Please note: All products are 'FOR RESEARCH USE ONLY. NOT FOR USE IN DIAGNOSTIC OR THERAPEUTIC PROCEDURES'.

For licensing inquiries, please contact partnerships@abcam.com