JavaScript is disabled in your browser. Please enable JavaScript to view this website.
AB227316

Anti-IGFBP2 antibody

Be the first to review this product! Submit a review

|

(1 Publication)

Rabbit Polyclonal IGFBP2 antibody. Suitable for WB, IHC-P and reacts with Human samples. Cited in 1 publication. Immunogen corresponding to Recombinant Fragment Protein within Human IGFBP2.

View Alternative Names

BP2, IBP2, IGFBP2, Insulin-like growth factor-binding protein 2, IBP-2, IGF-binding protein 2, IGFBP-2

2 Images
Immunohistochemistry (Formalin/PFA-fixed paraffin-embedded sections) - Anti-IGFBP2 antibody (AB227316)
  • IHC-P

Supplier Data

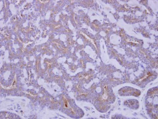
Immunohistochemistry (Formalin/PFA-fixed paraffin-embedded sections) - Anti-IGFBP2 antibody (AB227316)

Paraffin-embedded human breast cancer tissue stained for IGFBP2 using ab227316 at 1/250 dilution in immunohistochemical analysis.

Western blot - Anti-IGFBP2 antibody (AB227316)
  • WB

Supplier Data

Western blot - Anti-IGFBP2 antibody (AB227316)

10% SDS-PAGE gel.

All lanes:

Western blot - Anti-IGFBP2 antibody (ab227316) at 1/1000 dilution

All lanes:

NTERA-2 cl.D1 [NT2/D1] (human malignant pluripotent embryonic carcinoma cell line) whole cell lysate at 30 µg

Predicted band size: 35 kDa

false

Key facts

Host species

Rabbit

Clonality

Polyclonal

Isotype

IgG

Carrier free

No

Reacts with

Human

Applications

WB, IHC-P

applications

Immunogen

Recombinant Fragment Protein within Human IGFBP2. The exact immunogen used to generate this antibody is proprietary information.

P18065

Reactivity data

{ "title": "Reactivity Data", "filters": { "stats": ["", "Species", "Dilution Info", "Notes"], "tabs": { "all-applications": {"fullname" : "All Applications", "shortname": "All Applications"}, "WB" : {"fullname" : "Western blot", "shortname":"WB"}, "IHCP" : {"fullname" : "Immunohistochemistry (Formalin/PFA-fixed paraffin-embedded sections)", "shortname":"IHC-P"} }, "product-promise": { "all": "all", "testedAndGuaranteed": "tested", "guaranteed": "expected", "predicted": "predicted", "notRecommended": "not-recommended" } }, "values": { "Human": { "WB-species-checked": "testedAndGuaranteed", "WB-species-dilution-info": "1/500 - 1/3000", "WB-species-notes": "<p></p>", "IHCP-species-checked": "testedAndGuaranteed", "IHCP-species-dilution-info": "1/100 - 1/1000", "IHCP-species-notes": "<p></p>" }, "Mouse": { "WB-species-checked": "predicted", "WB-species-dilution-info": "", "WB-species-notes": "", "IHCP-species-checked": "predicted", "IHCP-species-dilution-info": "", "IHCP-species-notes": "" }, "Rat": { "WB-species-checked": "predicted", "WB-species-dilution-info": "", "WB-species-notes": "", "IHCP-species-checked": "predicted", "IHCP-species-dilution-info": "", "IHCP-species-notes": "" }, "Cow": { "WB-species-checked": "predicted", "WB-species-dilution-info": "", "WB-species-notes": "", "IHCP-species-checked": "predicted", "IHCP-species-dilution-info": "", "IHCP-species-notes": "" }, "Pig": { "WB-species-checked": "predicted", "WB-species-dilution-info": "", "WB-species-notes": "", "IHCP-species-checked": "predicted", "IHCP-species-dilution-info": "", "IHCP-species-notes": "" }, "Sheep": { "WB-species-checked": "predicted", "WB-species-dilution-info": "", "WB-species-notes": "", "IHCP-species-checked": "predicted", "IHCP-species-dilution-info": "", "IHCP-species-notes": "" } } }

Properties and storage information

Form
Liquid
Purification technique
Affinity purification Immunogen
Storage buffer
pH: 7 Preservative: 0.01% Thimerosal (merthiolate) Constituents: 20% Glycerol (glycerin, glycerine), 1.21% Tris, 0.75% Glycine
Shipped at conditions
Blue Ice
Appropriate short-term storage duration
1-2 weeks
Appropriate short-term storage conditions
+4°C
Appropriate long-term storage conditions
-20°C
Aliquoting information
Upon delivery aliquot
Storage information
Avoid freeze / thaw cycle

Product protocols

For this product, it's our understanding that no specific protocols are required. You can visit:

Target data

Multifunctional protein that plays a critical role in regulating the availability of IGFs such as IGF1 and IGF2 to their receptors and thereby regulates IGF-mediated cellular processes including proliferation, differentiation, and apoptosis in a cell-type specific manner (PubMed : 18563800, PubMed : 38796567). Functions coordinately with receptor protein tyrosine phosphatase beta/PTPRB and the IGF1 receptor to regulate IGF1-mediated signaling by stimulating the phosphorylation of PTEN leading to its inactivation and AKT1 activation (PubMed : 22869525). Plays a positive role in cell migration via interaction with integrin alpha5/ITGA5 through an RGD motif (PubMed : 16569642). Additionally, interaction with ITGA5/ITGB1 enhances the adhesion of endothelial progenitor cells to endothelial cells (PubMed : 26076738). Upon mitochondrial damage, facilitates apoptosis with ITGA5 of podocytes, and then activates the phosphorylation of focal adhesion kinase (FAK)-mediated mitochondrial injury (PubMed : 38796567).
See full target information IGFBP2

Publications (1)

Recent publications for all applications. Explore the full list and refine your search

BMC biology 23:214 PubMed40660178

2025

Organic cation transporter 3 on neuronal mitochondria mediates MPP-induced mitochondrial dysfunction and neurotoxicity in a TIMM22-dependent manner.

Applications

Unspecified application

Species

Unspecified reactive species

Ao Guan,Sida Han,Suzhen Liang,Weiwei Shen,Min Guo,Mei Cui
View all publications

Product promise

We are committed to supporting your work with high-quality reagents, and we're here for you every step of the way. In the unlikely event that one of our products does not perform as expected, you're protected by our Product Promise.
For full details, please see our Terms & Conditions

Please note: All products are 'FOR RESEARCH USE ONLY. NOT FOR USE IN DIAGNOSTIC OR THERAPEUTIC PROCEDURES'.

For licensing inquiries, please contact partnerships@abcam.com