JavaScript is disabled in your browser. Please enable JavaScript to view this website.
AB193910

Anti-IGFBP3 antibody [EPR18680-153]

Be the first to review this product! Submit a review

|

(9 Publications)

Rabbit Recombinant Monoclonal IGFBP3 antibody. Suitable for IP, WB and reacts with Human samples. Cited in 9 publications.

View Alternative Names

IBP3, IGFBP3, Insulin-like growth factor-binding protein 3, IBP-3, IGF-binding protein 3, IGFBP-3

2 Images
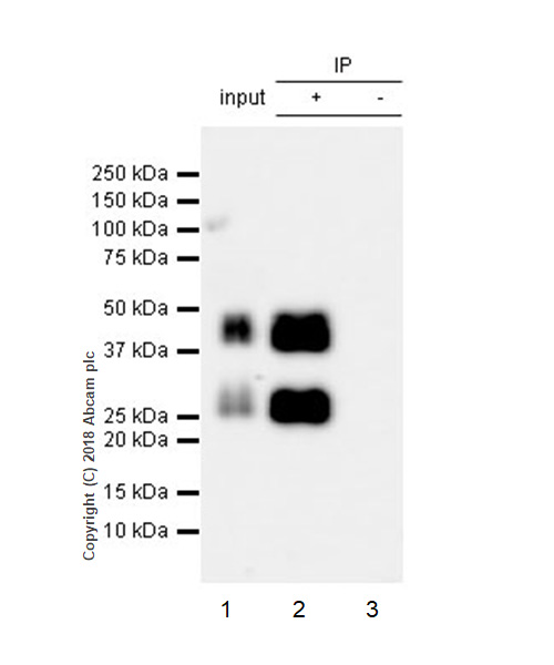
Immunoprecipitation - Anti-IGFBP3 antibody [EPR18680-153] (AB193910)
  • IP

Supplier Data

Immunoprecipitation - Anti-IGFBP3 antibody [EPR18680-153] (AB193910)

IGFBP3 was immunoprecipitated from 0.35 mg of human serum with ab193910 at 1/70 dilution. Western blot was performed from the immunoprecipitate using ab193910 at 1/500 dilution. VeriBlot for IP Detection Reagent (HRP) (ab131366), was used for detection at 1/1000 dilution.

Lane 1 : Human serum 10 μg (Input).

Lane 2 : ab193910 IP in human serum.

Lane 3 : Rabbit monoclonal IgG (ab172730) instead of ab193910 in human serum.

Blocking and dilution buffer and concentration : 5% NFDM/TBST.

Exposure time : 3 seconds.

The bands at 41 kDa and 44 kDa have previously been documented as IGFBP3 doublets (PMID : 16816363).

All lanes:

Immunoprecipitation - Anti-IGFBP3 antibody [EPR18680-153] (ab193910)

Predicted band size: 32 kDa

Observed band size: 32 kDa

true

Western blot - Anti-IGFBP3 antibody [EPR18680-153] (AB193910)
  • WB

Supplier Data

Western blot - Anti-IGFBP3 antibody [EPR18680-153] (AB193910)

Blocking and dilution buffer : 5% NFDM/TBST.

All lanes:

Western blot - Anti-IGFBP3 antibody [EPR18680-153] (ab193910) at 1/1000 dilution

All lanes:

Human serum at 10 µg

Secondary

All lanes:

Western blot - VeriBlot for IP Detection Reagent (HRP) (<a href='/en-us/products/reagents/veriblot-for-ip-detection-reagent-hrp-ab131366'>ab131366</a>) at 1/2000 dilution

Predicted band size: 32 kDa

Observed band size: 32 kDa

true

Exposure time: 10s

  • Carrier free

    Anti-IGFBP3 antibody [EPR18680-153] - BSA and Azide free

Key facts

Host species

Rabbit

Clonality

Monoclonal

Clone number

EPR18680-153

Isotype

IgG

Carrier free

No

Reacts with

Human

Applications

WB, IP

applications

Immunogen

The exact immunogen used to generate this antibody is proprietary information.

Reactivity data

{ "title": "Reactivity Data", "filters": { "stats": ["", "Species", "Dilution Info", "Notes"], "tabs": { "all-applications": {"fullname" : "All Applications", "shortname": "All Applications"}, "IP" : {"fullname" : "Immunoprecipitation", "shortname":"IP"}, "WB" : {"fullname" : "Western blot", "shortname":"WB"} }, "product-promise": { "all": "all", "testedAndGuaranteed": "tested", "guaranteed": "expected", "predicted": "predicted", "notRecommended": "not-recommended" } }, "values": { "Human": { "IP-species-checked": "testedAndGuaranteed", "IP-species-dilution-info": "1/70", "IP-species-notes": "<p></p>", "WB-species-checked": "testedAndGuaranteed", "WB-species-dilution-info": "1/1000", "WB-species-notes": "<p></p>" } } }

Product details

Patented technology
Our RabMAb® technology is a patented hybridoma-based technology for making rabbit monoclonal antibodies. For details on our patents, please refer to RabMAb® patents.

What are the advantages of a recombinant monoclonal antibody?
This product is a recombinant monoclonal antibody, which offers several advantages including:

  • - High batch-to-batch consistency and reproducibility
  • - Improved sensitivity and specificity
  • - Long-term security of supply
  • - Animal-free batch production

For more information, read more on recombinant antibodies.

Properties and storage information

Form
Liquid
Purification technique
Affinity purification Protein A
Storage buffer
pH: 7.2 - 7.4 Preservative: 0.01% Sodium azide Constituents: PBS, 40% Glycerol (glycerin, glycerine), 0.05% BSA
Shipped at conditions
Blue Ice
Appropriate short-term storage duration
1-2 weeks
Appropriate short-term storage conditions
+4°C
Appropriate long-term storage conditions
-20°C
Aliquoting information
Upon delivery aliquot
Storage information
Avoid freeze / thaw cycle

Product protocols

For this product, it's our understanding that no specific protocols are required. You can visit:

Target data

Multifunctional protein that plays a critical role in regulating the availability of IGFs such as IGF1 and IGF2 to their receptors and thereby regulates IGF-mediated cellular processes including proliferation, differentiation, and apoptosis in a cell-type specific manner (PubMed : 10874028, PubMed : 19556345). Also exhibits IGF-independent antiproliferative and apoptotic effects mediated by its receptor TMEM219/IGFBP-3R (PubMed : 20353938). Inhibits the positive effect of humanin on insulin sensitivity (PubMed : 19623253). Promotes testicular germ cell apoptosis (PubMed : 19952275). Acts via LRP-1/alpha2M receptor, also known as TGF-beta type V receptor, to mediate cell growth inhibition independent of IGF1 (PubMed : 9252371). Mechanistically, induces serine-specific dephosphorylation of IRS1 or IRS2 upon ligation to its receptor, leading to the inhibitory cascade (PubMed : 15371331). In the nucleus, interacts with transcription factors such as retinoid X receptor-alpha/RXRA to regulate transcriptional signaling and apoptosis (PubMed : 10874028).
See full target information IGFBP3

Publications (9)

Recent publications for all applications. Explore the full list and refine your search

International journal of oncology 64: PubMed38186306

2024

CDK12 regulates angiogenesis of advanced prostate cancer by IGFBP3.

Applications

Unspecified application

Species

Unspecified reactive species

Kun Zhong,Wenwu Luo,Nan Li,Xin Tan,Yuqing Li,Shiyuan Yin,Yuhang Huang,Linna Fang,Wei Ma,Yongping Cai,Yu Yin

Nature cardiovascular research 1:1195-1214 PubMed39196168

2022

Insulin-like growth factor-binding protein-7 (IGFBP7) links senescence to heart failure.

Applications

Unspecified application

Species

Unspecified reactive species

Liyong Zhang,David Smyth,Mohammad Al-Khalaf,Alice Blet,Qiujiang Du,Jordan Bernick,Michael Gong,Xu Chi,Yena Oh,Malaika Roba-Oshin,Elizabeth Coletta,Michel Feletou,Anthony O Gramolini,Kyoung-Han Kim,Thais Coutinho,James L Januzzi,Benoit Tyl,Andre Ziegler,Peter P Liu

International journal of chronic obstructive pulmonary disease 17:2079-2092 PubMed36101791

2022

Circ_0040929 Serves as Promising Biomarker and Potential Target for Chronic Obstructive Pulmonary Disease.

Applications

Unspecified application

Species

Unspecified reactive species

Yi Miao,Junfang Wu,Runmiao Wu,Enguang Wang,Jing Wang

Genes & nutrition 17:11 PubMed35858845

2022

MicroRNA-205-5p plays a suppressive role in the high-fat diet-induced atrial fibrosis through regulation of the EHMT2/IGFBP3 axis.

Applications

Unspecified application

Species

Unspecified reactive species

Zezhou Xiao,Yu Xie,Fangze Huang,Jie Yang,Ximao Liu,Xuefeng Lin,Peng Zhu,Shaoyi Zheng

Cell reports 38:110349 PubMed35139382

2022

PD-L1 promotes myofibroblastic activation of hepatic stellate cells by distinct mechanisms selective for TGF-β receptor I versus II.

Applications

Unspecified application

Species

Unspecified reactive species

Liankang Sun,Yuanguo Wang,Xianghu Wang,Amaia Navarro-Corcuera,Sumera Ilyas,Nidhi Jalan-Sakrikar,Can Gan,Xinyi Tu,Yu Shi,Kangsheng Tu,Qingguang Liu,Zhenkun Lou,Haidong Dong,Arlene H Sharpe,Vijay H Shah,Ningling Kang

Cell death & disease 12:767 PubMed34349117

2021

TRAIP modulates the IGFBP3/AKT pathway to enhance the invasion and proliferation of osteosarcoma by promoting KANK1 degradation.

Applications

Unspecified application

Species

Unspecified reactive species

Mi Li,Wei Wu,Sisi Deng,Zengwu Shao,Xin Jin

Nature aging 1:698-714 PubMed34746803

2021

Senescent cells suppress innate smooth muscle cell repair functions in atherosclerosis.

Applications

Unspecified application

Species

Unspecified reactive species

Bennett G Childs,Cheng Zhang,Fahad Shuja,Ines Sturmlechner,Shawn Trewartha,Raul Fierro Velasco,Darren Baker,Hu Li,Jan M van Deursen

Frontiers in oncology 11:654995 PubMed34094948

2021

XBP1- IGFBP3 Signaling Pathway Promotes NSCLC Invasion and Metastasis.

Applications

Unspecified application

Species

Unspecified reactive species

Qingxi Luo,Wenwen Shi,Bo Dou,Jun Wang,Wei Peng,Xianyu Liu,Deze Zhao,Faqing Tang,Yingfang Wu,Xizhe Li,Jiajia Li,Siqi Wen,Chunfang Zhang,Chaojun Duan

Scientific reports 10:16533 PubMed33024131

2020

Characterization of two types of intranuclear hepatocellular inclusions in NAFLD.

Applications

Unspecified application

Species

Unspecified reactive species

Suzan Schwertheim,Julia Kälsch,Holger Jastrow,Christoph Matthias Schaefer,Sarah Theurer,Saskia Ting,Ali Canbay,Heiner Wedemeyer,Kurt Werner Schmid,Hideo Andreas Baba
View all publications

Product promise

We are committed to supporting your work with high-quality reagents, and we're here for you every step of the way. In the unlikely event that one of our products does not perform as expected, you're protected by our Product Promise.
For full details, please see our Terms & Conditions

Please note: All products are 'FOR RESEARCH USE ONLY. NOT FOR USE IN DIAGNOSTIC OR THERAPEUTIC PROCEDURES'.

For licensing inquiries, please contact partnerships@abcam.com