JavaScript is disabled in your browser. Please enable JavaScript to view this website.
AB220429

Anti-IGFBP3 antibody [EPR22152-22]

Be the first to review this product! Submit a review

|

(8 Publications)

Rabbit Recombinant Monoclonal IGFBP3 antibody. Suitable for WB, IP and reacts with Mouse, Recombinant full length protein - Mouse, Rat samples. Cited in 8 publications.

View Alternative Names

Igfbp-3, Igfbp3, Insulin-like growth factor-binding protein 3, IBP-3, IGF-binding protein 3, IGFBP-3

4 Images
Western blot - Anti-IGFBP3 antibody [EPR22152-22] (AB220429)
  • WB

Supplier Data

Western blot - Anti-IGFBP3 antibody [EPR22152-22] (AB220429)

Blocking and dilution buffer : 5% NFDM/TBST.

Exposure times.

Lane 1 : 8 seconds, Lane 2 : 81 seconds, Lane 3 : 3 minutes

IGFBP3 exists as both glycosylated (46 kDa) and non-glycosylated (29 kDa) form. The molecular weight observed is consistent with what has been described in the literature (PMID 10352394; PMID : 9698597; PMID 22910030).

All lanes:

Western blot - Anti-IGFBP3 antibody [EPR22152-22] (ab220429) at 1/1000 dilution

Lane 1:

Mouse lung primary cell culture supernatant at 20 µL

Lane 2:

Mouse serum at 20 µg

Lane 3:

Rat serum at 20 µg

Secondary

All lanes:

Western blot - Goat Anti-Rabbit IgG H&L (HRP) (<a href='/en-us/products/secondary-antibodies/goat-rabbit-igg-h-l-hrp-ab97051'>ab97051</a>) at 1/50000 dilution

Predicted band size: 32 kDa

Observed band size: 29 kDa,46 kDa

false

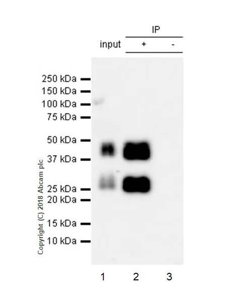
Immunoprecipitation - Anti-IGFBP3 antibody [EPR22152-22] (AB220429)
  • IP

Unknown

Immunoprecipitation - Anti-IGFBP3 antibody [EPR22152-22] (AB220429)

IGFBP3 was immunoprecipitated from 0.35 mg of rat serum with ab220429 at 1/30 dilution. Western blot was performed from the immunoprecipitate using ab220429 at 1/1000 dilution. VeriBlot for IP Detection Reagent (HRP) (ab131366), was used for detection at 1/5000 dilution.

Lane 1 : Rat serum 10 μg (Input).
Lane 2 : ab220429 IP in rat serum (+).
Lane 3 : Rabbit monoclonal IgG (ab172730) instead of ab20429 in rat serum.

Blocking and dilution buffer and concentration : 5% NFDM/TBST.
Exposure time : 30 seconds.

Both glycosylated (46 kDa) and non-glycosylated (29 kDa) IGFBP-3 are detected in rat serum. The molecular weight observed is consistent with what has been described in the literature (PMID 10352394; PMID : 9698597).

All lanes:

Immunoprecipitation - Anti-IGFBP3 antibody [EPR22152-22] (ab220429)

Predicted band size: 32 kDa

Observed band size: 29 kDa,46 kDa

false

Immunoprecipitation - Anti-IGFBP3 antibody [EPR22152-22] (AB220429)
  • IP

Unknown

Immunoprecipitation - Anti-IGFBP3 antibody [EPR22152-22] (AB220429)

IGFBP3 was immunoprecipitated from 0.35 mg of mouse serum with ab220429 at 1/30 dilution. Western blot was performed from the immunoprecipitate using ab220429 at 1/1000 dilution. VeriBlot for IP Detection Reagent (HRP) (ab131366), was used for detection at 1/5000 dilution.

Lane 1 : Mouse serum 10 μg (Input).
Lane 2 : ab220429 IP in mouse serum (+).
Lane 3 : Rabbit monoclonal IgG (ab172730) instead of ab20429 in mouse serum.

Blocking and dilution buffer and concentration : 5% NFDM/TBST.
Exposure time : 30 seconds.

Non-glycosylated IGFBP-3 (29 kDa) is detected in mouse serum. The molecular weight observed is consistent with what has been described in the literature (PMID 10352394).

All lanes:

Immunoprecipitation - Anti-IGFBP3 antibody [EPR22152-22] (ab220429)

Predicted band size: 32 kDa

Observed band size: 29 kDa

false

Western blot - Anti-IGFBP3 antibody [EPR22152-22] (AB220429)
  • WB

Supplier Data

Western blot - Anti-IGFBP3 antibody [EPR22152-22] (AB220429)

Blocking and dilution buffer : 5% NFDM/TBST.

The recombinant fragment was expressed in a mammalian expression system.

All lanes:

Western blot - Anti-IGFBP3 antibody [EPR22152-22] (ab220429) at 1/1000 dilution

All lanes:

Mouse IGFBP3 recombinant protein (aa22-291) at 0.02 µg

Secondary

All lanes:

Western blot - Goat Anti-Rabbit IgG H&L (HRP) (<a href='/en-us/products/secondary-antibodies/goat-rabbit-igg-h-l-hrp-ab97051'>ab97051</a>) at 1/50000 dilution

Predicted band size: 32 kDa

Observed band size: 29 kDa,46 kDa

false

Exposure time: 3s

Key facts

Host species

Rabbit

Clonality

Monoclonal

Clone number

EPR22152-22

Isotype

IgG

Carrier free

No

Reacts with

Mouse, Rat

Applications

WB, IP

applications

Immunogen

The exact immunogen used to generate this antibody is proprietary information.

Reactivity data

{ "title": "Reactivity Data", "filters": { "stats": ["", "Species", "Dilution Info", "Notes"], "tabs": { "all-applications": {"fullname" : "All Applications", "shortname": "All Applications"}, "WB" : {"fullname" : "Western blot", "shortname":"WB"}, "IP" : {"fullname" : "Immunoprecipitation", "shortname":"IP"} }, "product-promise": { "all": "all", "testedAndGuaranteed": "tested", "guaranteed": "expected", "predicted": "predicted", "notRecommended": "not-recommended" } }, "values": { "Mouse": { "WB-species-checked": "testedAndGuaranteed", "WB-species-dilution-info": "1/1000", "WB-species-notes": "<p></p>", "IP-species-checked": "testedAndGuaranteed", "IP-species-dilution-info": "1/30", "IP-species-notes": "<p></p>" }, "Rat": { "WB-species-checked": "testedAndGuaranteed", "WB-species-dilution-info": "1/1000", "WB-species-notes": "<p></p>", "IP-species-checked": "testedAndGuaranteed", "IP-species-dilution-info": "1/30", "IP-species-notes": "<p></p>" }, "Recombinant full length protein - Mouse": { "WB-species-checked": "testedAndGuaranteed", "WB-species-dilution-info": "1/1000", "WB-species-notes": "<p></p>", "IP-species-checked": "notRecommended", "IP-species-dilution-info": "", "IP-species-notes": "" } } }

Product details

Patented technology
Our RabMAb® technology is a patented hybridoma-based technology for making rabbit monoclonal antibodies. For details on our patents, please refer to RabMAb® patents.

What are the advantages of a recombinant monoclonal antibody?
This product is a recombinant monoclonal antibody, which offers several advantages including:

  • - High batch-to-batch consistency and reproducibility
  • - Improved sensitivity and specificity
  • - Long-term security of supply
  • - Animal-free batch production

For more information, read more on recombinant antibodies.

Properties and storage information

Form
Liquid
Purification technique
Affinity purification Protein A
Storage buffer
pH: 7.2 - 7.4 Preservative: 0.01% Sodium azide Constituents: PBS, 40% Glycerol (glycerin, glycerine), 0.05% BSA
Shipped at conditions
Blue Ice
Appropriate short-term storage duration
1-2 weeks
Appropriate short-term storage conditions
+4°C
Appropriate long-term storage conditions
-20°C
Aliquoting information
Upon delivery aliquot
Storage information
Avoid freeze / thaw cycle

Product protocols

For this product, it's our understanding that no specific protocols are required. You can visit:

Target data

IGF-binding proteins prolong the half-life of the IGFs and have been shown to either inhibit or stimulate the growth promoting effects of the IGFs on cell culture. They alter the interaction of IGFs with their cell surface receptors. Also exhibits IGF-independent antiproliferative and apoptotic effects mediated by its receptor TMEM219/IGFBP-3R. Promotes testicular germ cell apoptosis.
See full target information Igfbp3

Publications (8)

Recent publications for all applications. Explore the full list and refine your search

Journal of translational internal medicine 13:281-294 PubMed40896287

2025

N-acetylglucosaminyltransferase V attenuates myocardial infarction by mediating the insulin-like growth factor 1 receptor signaling pathway.

Applications

Unspecified application

Species

Unspecified reactive species

Tianqi Chang,Yangya'nan Jin,Chenyu Fan,Hu Wang,Ling Jin,Yidan Shi,Houhua Li,Jiaxing Wang,Ming Xu

Frontiers in pharmacology 16:1590096 PubMed40406492

2025

Rutin ameliorates LPS-induced acute lung injury in mice by inhibiting the cGAS-STING-NLRP3 signaling pathway.

Applications

Unspecified application

Species

Unspecified reactive species

Xin Zhou,Zhibin Wang,Yuting Wang,Guofeng Xu,Min Luo,Mengwei Zhang,Yuying Li

Cell biology and toxicology 41:85 PubMed40369223

2025

IGFBP3 enhances adipose-derived stem cell function in soft tissue injury repair via ITGB1 and ERK pathway activation.

Applications

Unspecified application

Species

Unspecified reactive species

Sirui Tian,Haiyang Yu,Ruoxuan Yang,Heshi Wang,Baohong Zhao,Danning Wang

European journal of medical research 30:144 PubMed40022250

2025

The mechanism of high mobility group box-1 in the proliferation and macrophage polarization in esophageal squamous cell carcinoma cells.

Applications

Unspecified application

Species

Unspecified reactive species

Liling Luo,Chao Jiang,Songxi Xie

Nutrients 16: PubMed38674874

2024

Differential Effects of -3 and -6 Polyunsaturated Fatty Acids on Placental and Embryonic Growth and Development in Diabetic Pregnant Mice.

Applications

Unspecified application

Species

Unspecified reactive species

Huiying Li,Chuanjing Chen,Shiyi Liu,Yan Shi,Xiaotong Kuang,Xiaolei Song,Duo Li,Kelei Li

International journal of molecular medicine 50: PubMed35929517

2022

Effects and potential mechanism of Ca/calmodulin‑dependent protein kinase II pathway inhibitor KN93 on the development of ovarian follicle.

Applications

Unspecified application

Species

Unspecified reactive species

Jianjie Yu,Xianguo Xie,Yabo Ma,Yi Yang,Chao Wang,Guoliang Xia,Xiangbin Ding,Xinfeng Liu

Experimental and therapeutic medicine 22:1114 PubMed34504568

2021

Role of C5a and C5aR in doxorubicin-induced cardiomyocyte senescence.

Applications

Unspecified application

Species

Unspecified reactive species

Yahui Wen,Feiyan Shen,Haibin Wu

Advances in clinical and experimental medicine : official organ Wroclaw Medical University 30:661-672 PubMed34118139

2021

MicroRNA-197 promotes proliferation and inhibits apoptosis of gallbladder cancer cells by targeting insulin-like growth factor-binding protein 3.

Applications

Unspecified application

Species

Unspecified reactive species

Li Tong,Jinglin Cheng,Heping Zuo,Jingrong Li
View all publications

Product promise

We are committed to supporting your work with high-quality reagents, and we're here for you every step of the way. In the unlikely event that one of our products does not perform as expected, you're protected by our Product Promise.
For full details, please see our Terms & Conditions

Please note: All products are 'FOR RESEARCH USE ONLY. NOT FOR USE IN DIAGNOSTIC OR THERAPEUTIC PROCEDURES'.

For licensing inquiries, please contact partnerships@abcam.com